根管治療

    高円寺駅南口徒歩2分の歯医者、高円寺PAL歯科医院の根管治療

    治療をしたはずなのに噛むと痛い、違和感が続く――

    その奥には、トラブルが隠れているかもしれません。

    根管治療は、歯を残すための繊細な処置。
    見えない部分だからこそ、手を抜けない治療です

     

    根管治療とは?

    高円寺駅南口徒歩2分の歯医者、高円寺PAL歯科医院の根管治療

    根管(こんかん)治療とは、虫歯や外傷などで歯の内部にある神経(歯髄)が感染や炎症を起こしたときに、神経を取り除き、内部をきれいにして密封する治療です。

    「歯の神経を取る治療」「歯の根の治療」などと説明されることもあります。
    歯を残すための最後の砦ともいえる、とても大切な治療です。

     

    根管治療が必要となる所見、症状

    高円寺駅南口徒歩2分の歯医者、高円寺PAL歯科医院の根管治療

    虫歯が深く進行し、神経まで達している

    強い痛み、冷たい・熱いものでしみる

    以前神経を取った歯が再び痛む

    噛むと違和感や鈍い痛みがある

    歯ぐきに膿が出ている・腫れている

     

    なぜ、神経をとらなければいけないのか?

    高円寺駅南口徒歩2分の歯医者、高円寺PAL歯科医院の根管治療

    通常、虫歯が進行して神経にまで達すると、細菌感染で強い痛みや腫れが起こります。
    ですが、症状はケースバイケースで、自覚症状を感じない場合もあります。
    そでも、やはり治療の必要があります。

    症状がないからと放置すると、歯の根の先に膿が溜まり、歯の周囲の骨まで溶かしてしまう危険性もあります。
    場合によっては細菌が顎全体に波及し、大きな炎症を引き起こすことすらあります。

    そこで、感染した神経を取り除き、根の中をきれいにして密封する必要があるのです。

     

    歯髄炎と根管性歯周炎

    根管治療が必要な歯の根の病気には、大きく分けて二種類あります。

     

    歯髄炎

    高円寺駅南口徒歩2分の歯医者、高円寺PAL歯科医院の根管治療

    歯髄炎とは、進行したむし歯や外傷が原因で、歯の神経が炎症を起こした状態です。
    生きている歯の神経が炎症によって圧迫されることで、ズキズキと激しい痛みが生じるのが特徴です。

    治療は神経を除去する、抜髄を行った後に、根管治療へと移行します。

     

    根尖性歯周炎

    高円寺駅南口徒歩2分の歯医者、高円寺PAL歯科医院の根管治療

    根尖性歯周炎とは、歯の根の先端に膿が溜まる病気のことです。
    神経が死んでしまっていることがほとんどなので、歯髄炎ほど激しい痛みにならない事が多いですが、炎症が大きいと、歯髄炎に匹敵する痛みを生じたり、大きな腫れを引き起こすこともあります。
    長い時間をかけて炎症が拡大しているため、根尖性歯周炎の治療は、長引く事が多いです。
    治療は、歯の根の中を治療・消毒する根管治療を行います。

     

    根管治療の流れ

    文章にすると一見簡単ですが、実際には非常に繊細で根気が必要な治療になります。

    治療中断によるトラブルは非常に多いの注意してください。
    治療を中断しないために、治療を受ける患者さんのモチベーションも治療に左右しますので、そのためにも治療に対する正しい理解が必要です(^^;)>

    • 高円寺駅南口徒歩2分の歯医者、高円寺PAL歯科医院の根管治療の流れ
      STEP 1抜髄、もしくは、根管治療
      歯髄炎であれば歯髄(歯の神経)を、根尖性歯周炎であれば歯内部の薬剤を除去し、ファイルという器具で根管内を綺麗に洗浄します。
    • 高円寺駅南口徒歩2分の歯医者、高円寺PAL歯科医院の根管治療の流れ
      STEP 2根管貼薬
      根管治療で綺麗にした根管にを薬剤で消毒薬を入れて蓋をします。
      この根管治療、貼薬のステップが週に1~2回程度の治療が数週間~場合によっては数ヶ月必要な場合もあります。
      大変な治療ですがこのステップを適切に行わないと、後々痛みがでてしまったり、根っこの先で感染を起こしてしまい、根っこの治療のやり直しになってしまうことが多いです。
    • 高円寺駅南口徒歩2分の歯医者、高円寺PAL歯科医院の根管治療の流れ
      STEP 3根管充填
      痛みや違和感がなく、問題がないと判断出来れば、神経の替わりになるお薬を入れます。
      このステップを根管充填といいます。
      ここで、根管治療は一区切りです。
    • 高円寺駅南口徒歩2分の歯医者、高円寺PAL歯科医院の根管治療の流れ
      STEP 4支台築造(歯に土台を入れる)
      その後、多くの場合、神経を取った根の部分に土台を作ります。
      土台にも種類があります。
    • 高円寺駅南口徒歩2分の歯医者、高円寺PAL歯科医院の根管治療の流れ
      STEP 5クラウン(さし歯)セット
      土台を入れた歯にクラウン(さし歯)をセットします。

     

    根管治療後の注意点

    辛い抜髄や根管治療に耐えれば、すぐに痛みから解放されて楽になる!と考えがちですが、現実はなかなか甘くはありません。 歯の神経には、細い管の中に血管や繊維などが集まった複雑な形をしており、問題なく治療が進んでいても、

    治療後に違う痛みが出てとれない

    なかなか治療が終わらない

    抜歯になった


    など、治療後のトラブルが起こりやすいのが、根管治療です。

     

    特に、抜髄直後は治療後に腫れたり痛みが出やすいです。

    麻酔が切れて痛みだした場合は、処方される痛み止めを飲んで安静にしてもらう必要があります。
    根管治療の際、細菌の死骸や薬剤の刺激が原因で、歯の根の周囲に炎症が起きて、一時的に痛みや腫れが出ることがあります。
    これは、体が細菌や異物に反応して治そうとしている証拠です。

     

    治療が問題なく進んでいても、長期間大きな痛みが続く場合もあります。

    根の先に膿の袋(根尖病変)が大きかった場合、それが自然に吸収されるまでに時間がかかることがあります。
    炎症の回復や周囲組織の反応には、時間がかかることもあるのです。
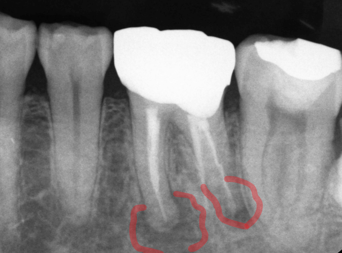
    根尖病巣の大きさや炎症の程度はレントゲン写真でかなり判断できますが、必ずしも症状と一致しない事が多いのもやっかいなところで、「根管治療は難しい」とい言われる理由の一つです。

     

    完治まで期間がかかる事が多い治療です(目安として、1ケ月程度~)。

    根管治療でいちばん大切な事は、歯の中から細菌を完全に取り除くことです。
    歯の中は複雑な形態で細菌を完全に取り除くのは困難なうえ、細菌が残ってしまうと、再発や膿(うみ)がたまる原因になってしまいます。
    完治の判断には慎重な判断が必要で、しばらく経過観察をすることも多いです。

     

    治療期間中に経過不良で抜歯が必要になる事があります。

    歯を残すために根管治療を進めていくわけですが、治療中に“より詳しい状態がわかってくる”ことで「この歯は残すのが難しい」と判断されることがあります。

    ① 歯の根が割れている(歯根破折)
    治療の途中で、歯の中を詳しく見ていくと、歯の根にヒビや割れが見つかることがあります。
    こうしたヒビは、外からでは見えにくく、治療を始めて初めて気づくこともあります。

    ② 歯の中がボロボロで、土台を作れない
    重度の虫歯や古い被せ物の下にある虫歯が大きく進行していると、根管治療をしても、
    ・土台(コア)を立てる部分がない
    ・被せ物を安定させることができない
    ・噛む力に耐えられず、すぐに壊れてしまう
    という状態になるため、抜歯の判断が必要になります。

    ③炎症が深く、症状が改善されない
    どんなに根管治療を繰り返しても、症状が改善されず、抜歯せざるを得ない事もあります。

     

    神経のない歯は、抜歯に近づいてしまう・・・

    根管治療は、「このままだと抜歯しかない」という状態の歯を、なんとか残すための治療」ですが、苦労して根管治療が終了した歯でも、神経が生きている歯に比べて耐久性が弱くなり、抜歯につながりやすいのも残酷な現実です。
    それには、以下のような理由があります。

    歯の神経がなくなると、歯は「枯れ木」のようになる
    神経を取った歯は、血液や栄養の供給がなくなるため、時間が経つと乾燥し、もろくなります。
    特に奥歯は噛む力が強いため、ヒビが入ったり、割れたりするリスクが高くなります。

    歯が折れてしまい、抜歯(歯根破折)(ブログ)

    根管治療をした歯は再感染しやすい
    歯の内部はとても複雑で、完全に無菌にするのが難しい部分です。
    根管治療後にすき間ができたり、被せ物が合っていなかったりすると、そこから細菌が再び侵入し、炎症を繰り返してしまうことがあります。

    根管治療は、治療のたびに成功率は下がる
    根管治療は行う度に治療の成功率は下がります。
    また、歯の内部の歯質が薄くなり、強度がどんどん落ちていきます。
    再根管治療を繰り返した結果、「もうこれ以上残すのは難しい」と、最終的に抜歯が必要になります。

     

    歯の寿命を延ばすための考え方

    高円寺駅南口徒歩2分の歯医者、高円寺PAL歯科医院の根管治療

    根管治療は、あくまで、「歯を残すための最後の砦」治療で、根管治療が必要ない状況を目指すのが、歯の寿命を延ばす最善の策です。

    根管治療が必要な状況は、ほとんどの場合、「神経まで達した虫歯」です。
    世の中から、犯罪を全くなくすのが不可能なように、完全に虫歯にならない環境を作るのは難しいですが、「神経まで達する虫歯(C3)」は、定期的な歯科メンテナンス受診で、ほぼ防ぐことが可能です。
    逆を言うと、「痛くなったら歯医者に駆け込む」という通院の仕方は、「C3にならないと歯医者に行かない」と言っているようなものなので、いつまでたっても、「根管治療→抜歯」のサイクルから抜けられないわけです。

    「症状がなくても、定期的なメンテナンス受診」で根管治療の必要がない生活を目指しましょう。

     

    よくある質問

    Q根管治療が必要になるのは、どのような場合ですか?
    A以下のような場合に根管治療が必要となります。
    深いむし歯が歯の神経まで進行し、激しい痛みがある場合(抜髄
    過去の神経の治療後に根管内で細菌が繁殖し、炎症や膿が生じた場合
    歯の神経が死んでしまい、根の先に病巣(膿の袋)ができた場合
    外傷などにより歯の神経が死んでしまった場合
    Q自覚症状がない歯でも根管治療することがありますか?
    Aあります。 レントゲンで大きな透過像(根尖病変)が認められると、自覚症状がなくても治療を検討します。
    Q根管治療をせずに放置するとどうなりますか?
    A根管内の感染が進行し、激しい痛みを引き起こしたり、歯ぐきが大きく腫れたりします。
    さらに悪化すると、周囲の骨を溶かしたり、抜歯が必要になったりする可能性もありますので、根管治療が必要と診断された場合は、早期に治療を受けることをおすすめします。
    Q根管治療は何回くらい通院する必要がありますか?
    A一般的には数回(2〜5回程度)の通院が必要です。
    根管の状態や感染の程度によって異なりますが、根管内の清掃・消毒を丁寧に行う必要があるため、治療期間が長くなることもあります。
    Q根管治療の期間はどのくらいかかりますか?
    A通院回数と同様に、根管の状態によって大きく異なります。
    ただし、回数と同じく、症状の経過次第で、数週間で終わることもあれば、数ヶ月かかる場合もあります。
    根気強く治療を続けることが大切です。
    Q根管治療後に感じる痛みはどれくらい続きますか?
    A通常は1週間以内に軽減します。
    感染部周囲組織の炎症への刺激が痛みの原因であり、感染部の状況により、長引く場合もあります。
    Q根管治療後、気をつけることはありますか?
    A噛み合わせに注意し、安静に過ごすようにしてください。
    治療直後は、噛んだ時に痛みを感じたり、腫れたりすることがあります。
    硬い食べ物は避け、安静に過ごすようにしてください。
    また、治療後の歯はもろくなっています、さし歯が装着されるまでは特に注意が必要です。
    Q根管治療後にさし歯を作る必要な理由は何故ですか?
    A神経の治療をした歯質は強度が低下しているためです。
    さし歯で保護しないと歯根破折や二次的な細菌侵入リスクが高まります。
    Q以前に根管治療した歯が再び痛むのはなぜですか?
    A様々な理由で再感染を起こすためです。
    歯の内部で新たな感染や古い補綴物の隙間から細菌が再感染し、再治療が必要になることがあります。
    Q根管治療をした歯は、もう虫歯にならないですか?
    A虫歯による痛みはなくなりますが、虫歯になる可能性はあります。
    むしろ、痛みがなくなるため、虫歯になっても気づかずに、虫歯が進行しやすく抜歯につながりやすいです。
    早期発見・早期治療のために、治療後の定期的なメンテナンス受診が必要です。

     

PAGE TOP