ホワイトニング
-
- STEP 1マウストレーにジェルをセット
- 前に念入りに歯磨きをしてもらい、マウストレーの歯の唇側(くちびる側)に少量のジェルを入れてください。
-
- STEP 2マウストレーを歯に装着
- マウストレーを歯に装着します。
※1日1-2時間を目安にしてください。
※歯がしみて辛い場合は、使用を中止してください。
※ジェルが溢れて歯ぐきについた場合、一時的に歯ぐきが白くなったり炎症をおこしたりする恐れがあるので、ティッシュですぐにふきとって下さい。
-
- STEP 3お口をすすいで、歯を良く磨きます
- マウスピースを外して、お口をすすいで、歯を良く磨きます。
マウスピースも、お水で良く洗ってください。
※毎日続けた場合、通常は約2週間で目に見える効果が表れます。
安定した結果を得るために、さらに1~2週間続けてください。
-
- STEP 1プレートの装着
- お口の状態と、歯の色調を確認後、上下の歯が当たらないようにプレートを噛んでもらいます。
-
- STEP 2保護剤を塗布
- 歯ぐきに保護剤を塗布します。
-
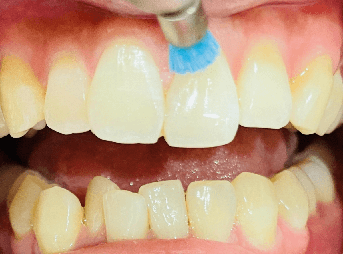
- STEP 3光照射
- ホワイトニングジェルの塗布を行い、光照射を行います。
静かに寝ててもらいます。
-
- STEP 4洗浄
- よく、お口の中を洗浄します。
これを2セット繰り返します。
- Qホワイトニングの種類には何がありますか?
- A大きく分けて、オフィス・ホワイトニングと、ホーム・ホワイトニングの2種類があります。
オフィス・ホワイトニングは、歯科医院で直接施術する方法、
ホーム・ホワイトニングは、歯科医院で製作したマウスピースを使って自宅で患者さん自身で行ってもらうものになります。 - Qホワイトニングは痛かったり、しみたりしますか?
- A知覚過敏症状が起こる事があります。
漂白成分が象牙細管を一時的に開くため、歯がしみるなどの知覚過敏症状が起こることがありますが、ホワイトニングを中止して経過観察していただければ、多くは数日で収まります。 - Qホワイトニングは何歳から受けられますか?
- A永久歯が生えそろう中学生以降が対象です。
16歳未満は歯の神経が大きく、過酸化剤による刺激が強いため避ける場合があります。 - Qホワイトニングの効果はどれくらい持続しますか?
- A一般に6か月~1年程度持続します。
もともとの歯の明るさや、飲食習慣や喫煙などの生活習慣などでも左右されます。 - Qホワイトニング後に周りの歯と色が合わなくなる事はありますか?
- Aつめものやさし歯との色が合わなくなる事があります。
ホワイトニングでレジンやセラミックの詰め物は白くならないため、ホワイトニング後に詰め物の色合わせをやり直すケースもあります。 - Qホワイトニングできない場合はありますか?
- Aあります。
虫歯の修復部分(つめもの、さし歯)、神経の治療をした歯は、白くする事ができません。 - Qホワイトニングした歯の白さを長持ちさせる方法はありますか?
- Aあります。
定期的なプロフェッショナルクリーニング(PMTC)や、1年に1回程度のタッチアップ(再漂白)で白さをキープできます。
また、飲食後にうがいをする習慣をつけると色素沈着を防ぐ事ができます 。 - Qホワイトニング後の歯磨き粉は、どんなものが良いですか?
- Aフッ素配合かつ、研磨剤の少ない知覚過敏用の歯磨き粉をおすすめします。
ホワイトニング後の歯を守りつつケアできます。 - Q市販の歯磨き粉やマウスウォッシュでは、どれくらい白くなりますか?
- A着色を落とす程度の効果です。
研磨剤入りや着色除去成分配合の製品は外部のステイン(着色)を落とす効果がありますが、漂白作用は弱く、ホワイトニングと同等の効果は望めません。 - Qコーヒーや紅茶を毎日飲む人はどうすればいいですか?
- A少し工夫をしてもらうといいです。
飲用後すぐに水でゆすぐ、ストローを使う、定期的にPMTCやホームホワイトニングのタッチアップ(再漂白)を行うと効果的です。
鏡を見たとき、
「あれ、歯の色…?」
と気になったことはありませんか?
歯を削らずに白くするホワイトニングで、
上品な笑顔と清潔感を手に入れてみませんか?
ホワイトニングとは?
「ホワイトニング」は、薬剤を使って 、歯の内面の色素を分解して歯そのものを白くする方法で、歯と歯茎の状態が健康な18歳以上のほとんどが受けられる施術です。
歯みがきやクリーニングでは落ちない、元々の歯の色が気になる方や、年齢が原因で変色した歯を削ることなく、その方本来の歯の色よりも 白くする事ができます。
歯が明るくなることによって、自然に笑顔が格段にアップし、あなたの生活をもっと華やかにしてくれます。
ホワイトニング可能な歯とは?
とはいえ、残念ながらホワイトニングでどんな歯でも白くなるわけではありません。
虫歯やさし歯のない、健康な歯が対象です。
着色していない歯
虫歯でない歯
つめものやさし歯でない歯
歯の神経の治療をしていない歯
当院では、お口の審査/診断/治療をした後に、ホワイトニングを実施しています。
なぜ、歯科医院でのホワイトニング?
ホワイトニング・サロンとの違いとは?
最近では、街中のエステサロンなどでもホワイトニングを行う場所があります。
サロンでは1回あたり2,000円〜5,000円でホワイトニングできる場所もあるそうで、安さ重視で選んでしまいそうですが、歯科医院で行うホワイトニングとは明確に違いがあります。
歯科医院で行うホワイトニングの特徴をご紹介します。
歯科医師による審査・診断を行った後に、ご提案します
歯の変色には様々な理由があり、ホワイトニング以外の施術をしないと改善されない歯もありますが、患者さんには見分けがつきません。それらの総合的な診査・診断を、専門知識と技術を持った歯科医師が行った後に、あなたに合ったホワイトニングをご提案します。
安心してご相談ください。
歯そのものを白くするために、厚生省が効果を認めた薬剤を使用しています
ホワイトニングで使用する薬剤は、過酸化水素・過酸化尿素といって、医療機関でしか取り扱えないものです。
歯科医院以外で行われるホワイトニングや市販の歯みがき粉などに配合されている薬剤は、過酸化水素や過酸化尿素のような歯そのものを漂白する効果ではなく、歯の表面の色素沈着(ステインなど)を除去する作用のため、歯本来の白さを取り戻す効果になります。
国家資格を持った、歯科医師・歯科衛生士が担当します
歯やお口の中に手を触れることは国家資格を持つ歯科医師または歯科衛生士にしかできません。
国家資格を保有する歯科医師や歯科衛生士が歯の汚れや着色を事前に除去し、ホワイトニングを実施します。
歯を白くするだけでなく、その後の歯のケアについてもお任せください。
ホワイトニングの種類について
ホワイトニングには、
自宅で行う「ホームホワイトニング」
歯科医院で行う「オフィスホワイトニング」
の2種類があります。
ホーム・ホワイトニングとは?
ホームホワイトニングは、歯科医院に何度も通わずに自宅でできるホワイトニングです。
クリニックで作製したマウスピースに、ホワイトニング用の薬剤を入れて装着することで、自分のタイミングで歯を白くするホワイトニング法です。
道具と材料があればどこでも行うことが可能ですので、仕事などが忙しくて歯医者さんにひんぱんに通えないという方に人気があります。
ホームホワイトニングのメカニズム
ホームホワイトニングでは、過酸化尿素という薬剤を使用します。
過酸化尿素は、歯の内側までじっくり浸透してから、歯を白くし始めます。
オフィスホワイトニングと比べて色素の分解が細かくなるため、色戻りまでの期間が長い(=色持ちが良い)と言う点がメリットの1つです。
ゆっくり時間を掛けて白くすることで、歯の表面荒れも抑えることができ、透明感のある自然な仕上がりになります。
ホワイトニングする際の注意点
ホワイトニングで注意する点は、一時的に歯がしみる事です。
強い薬剤を使うオフィスホワイトニングは、歯のしみる症状も強く出ますので、ホワイトニング初診者の方には、まずホームホワイトニングをお試ししてみる事をおススメしています。
ホーム・ホワイトニングの価格
初回(薬剤 10本+マウスピース)
¥34,800(税込)
2回目以降(薬剤 10本)
¥29,800(税込)
少量ご希望の方(薬剤 1本単位)
¥3,980円(税込み)
ホーム・ホワイトニングの流れ
オフィス・ホワイトニングとは?
「オフィス・ホワイトニング」とは歯科医院で歯科医師や歯科衛生士の手で施術を行うホワイトニングです。
薬機法で制限されている高濃度の薬剤を使用するため、エステなどの歯科医院以外で取り扱っているホワイトニングサービスよりも白くする事ができます。
オフィス・ホワイトニングのメカニズム
オフィス・ホワイトニングには、消毒用のオキシドールと同じ成分の過酸化水素を使用します。
過酸化水素は、歯に塗布して光を当てることで歯を白くします。
劇薬のため、皮膚に付着してしまうと炎症やただれを引き起こしてしまう恐れがあり、国家資格を有する歯医者さんでしか取り扱えません。
ホワイトニングする際の注意点
オフィス・ホワイトニングには、消毒用のオキシドールと同じ成分の過酸化水素を使用します。
過酸化水素は、歯に塗布して光を当てることで歯を白くします。
劇薬のため、皮膚に付着してしまうと炎症やただれを引き起こしてしまう恐れがあり、国家資格を有する歯医者さんでしか取り扱えません。
オフィス・ホワイトニングの価格
1回/2セット(90分)(検査・クリーニング代込)
¥34,800(税込)
★ホームホワイトニングから移行<デュアル・ホワイトニング>の方は、10,000円引き★
オフィス・ホワイトニングの手順
ホワイトニングの種類・まとめ
| ホーム・ホワイトニング | オフィス・ホワイトニング | |
|---|---|---|
| 種類 | マウス・ピースを使ったセルフ・ホワイトニング |
クリニックで行う、ホワイトニング |
| 価格 | 初回(薬剤10本+マウスピース)\34,800(税込) |
1回2セット \34,800(税込) |
| 来院回数 (カウンセリング除く) |
2回 | 1回 |
| 効果 | 白くなるまで時間がかかるが、後戻りしにくい |
早く白くなるが、後戻りも早い |
| しみやすさ | しみにくい |
しみやすい |
| 当院では | 初めての方にまずオススメ |
ホームホワイトニングよりも白くしたい方など |
さらに歯を白くしたい方のために、デュアル・ホワイトニング
ホーム・ホワイトニングよりもさらに歯を白くしたい方は、クリニックで行うオフィスホワイトニングを併用するとより効果的でおすすめしています(デュアル・ホワイトニング)
ホーム・ホワイトニングからデュアルホワイトニングに移行される方は、オフィス・ホワイトニングの料金から、10,000円引きいたします
ホワイトニング直後に、注意して欲しい飲食物
①色の濃い調味料や食材
カレー、味噌、醤油、ソース、トマトソースなど
②色の濃い飲み物
お茶、コーヒー、ココア、赤ワインなど
③イソフラボンを含むもの
豆腐、豆乳など
ポリフェノールは、歯に着色を起こしやすい物です。
大豆製品に含まれるイソフラボンも、ポリフェノールの一種です。
④酸性度の高いもの
レモン、わさび、からし、酢、マスタード、ヨーグルト
こんなものなら、大丈夫です♪
色の薄い飲み物、色の薄い野菜
お米、パン
カルボラーナ、クリームシチュー
ラーメン(豚骨、塩、鶏白湯)
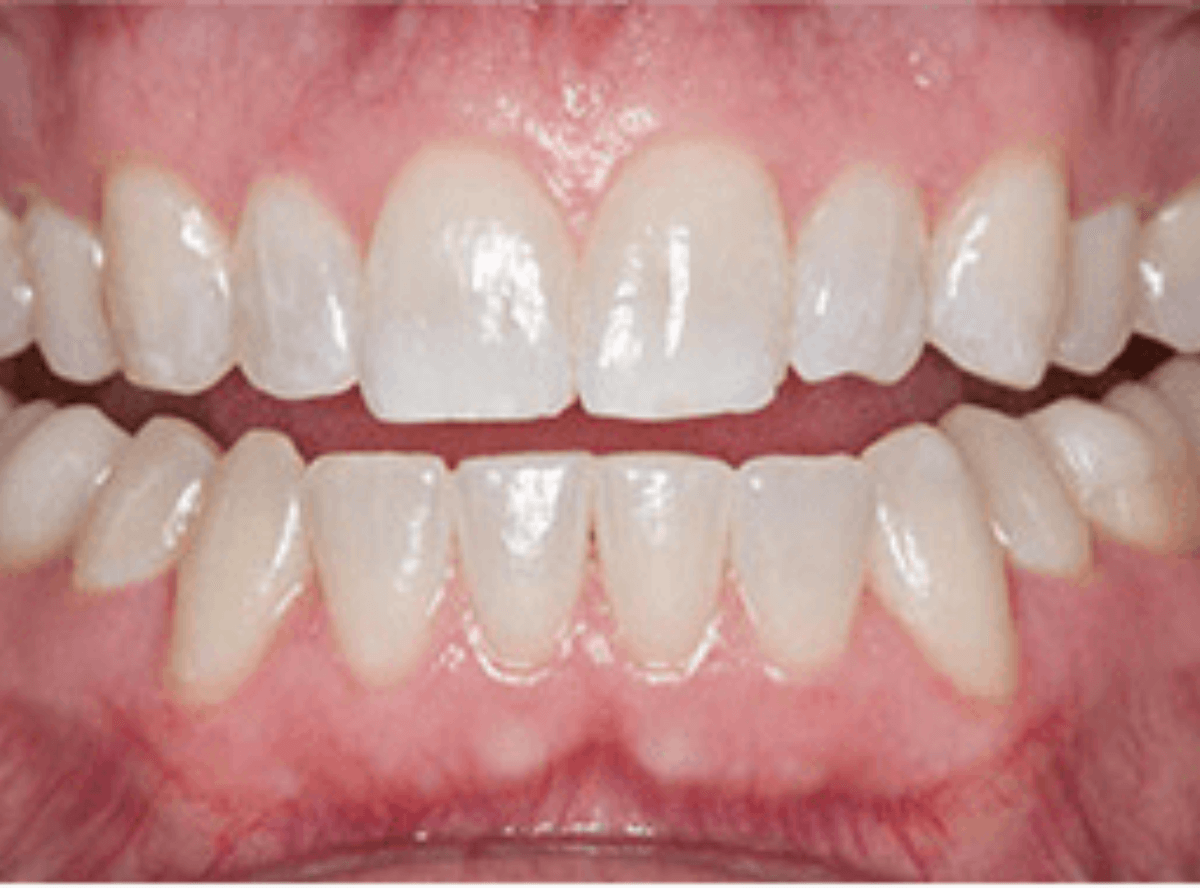
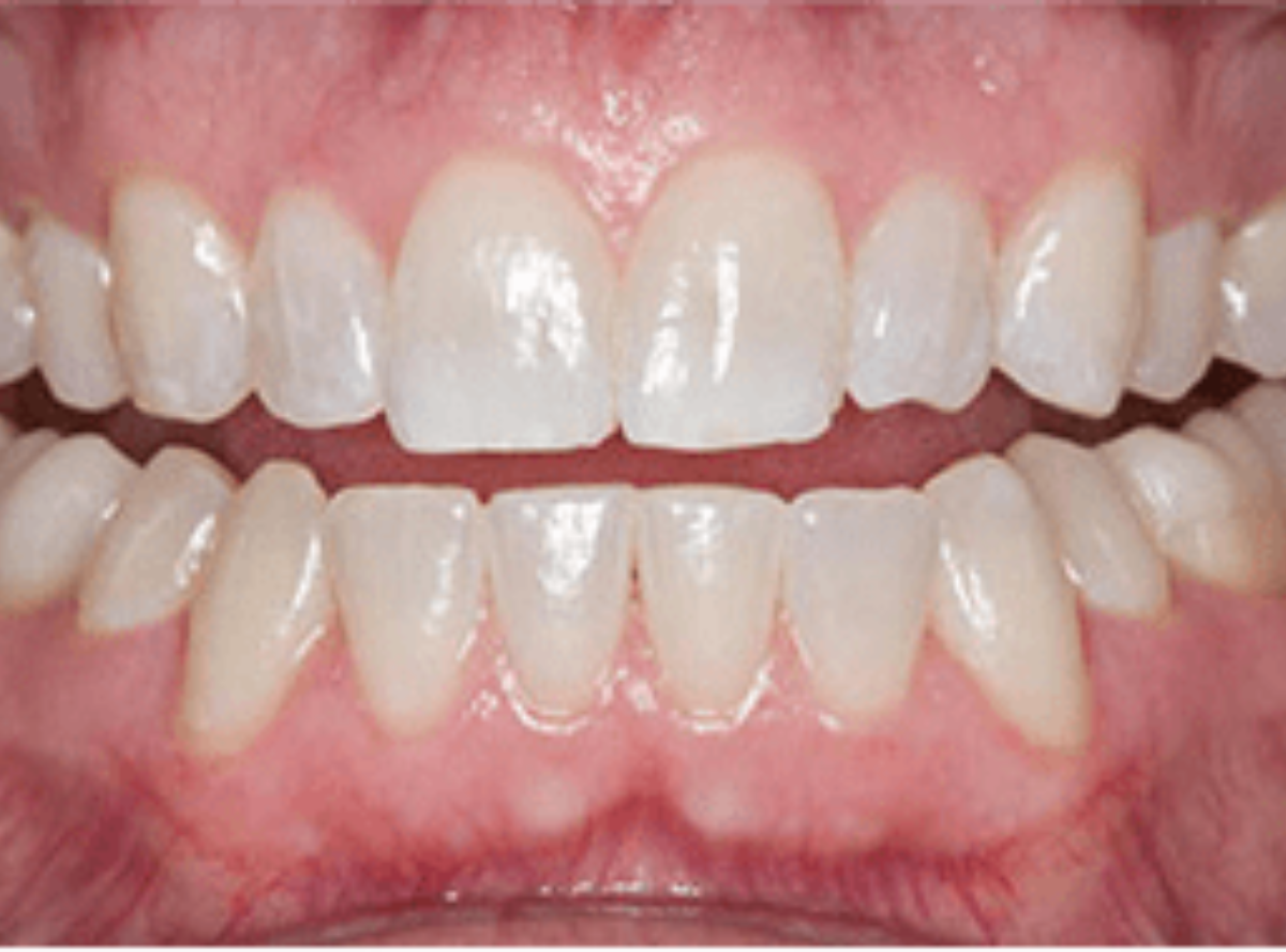
ホワイトニングの効果と、効果を長持ちさせるコツ
ホワイトニングの効果には個人差があり、効果が出てくるまで時間がかかる方もいらっしゃいますので、根気よく続けてください。
また、少しずつ着色したり、明るさが後戻りします。定期的なクリーニングやホワイトニングを継続する事で明るさを持続させる事ができます。
![]() |
![]() |
よくある質問


