歯科衛生士さんの募集要項
患者さんの笑顔を見るのが好きな衛生士さんへ
患者さんの将来は歯科衛生士さんで大きく変わる
「歯医者は痛いところ、できれば通いたくない…」
そう考えている患者さんは、多いです。
そんな患者さんのイメージを大きく変えてくれるのが歯科衛生士さんだと思っています。
親切なTBI
快適な歯面清掃
楽しく通える定期メンテナンス などなど
どんなに良質な治療を受けていても、定期的なメンテナンスを続けないと、歯の寿命は長持ちしないかもしれません。
しかし、せっかく嫌な治療が終わった患者さん、人は楽しく感じないものは長続きしません。
残念ながら、治療を中心に担当してる歯科医師には、それを満足に提供する事ができません。
高円寺PAL歯科医院では、細かな技術よりも、歯科衛生士としての基本を大切に、患者さんやスタッフと楽しく接しようとする人柄のあなたと、一緒に働きたいと思っていますので、ご興味のある方は、クリニック見学からでも可能ですので、ご連絡ください。
経験の少ない方も、いきいき働けるよう親身にサポートしています
経験が浅くて自信がない方や新卒の方でも、一生懸命練習すれば誰でも一定レベルまで出来るようになれる、というのが当院の考えです。
当院で一緒に働いた衛生士さんが、一般歯科医院で末永くオールマイティーに活躍できる人材となっていただける事を目標にしています。
私たちは、経験が浅い、今まで勤めた歯科医院で馴染めなかった、等が原因で、
「やる気はとってもあるんだけど、なかなか自信が持てない…(><)」
という謙虚なあなたが大好きです(根拠のない自信を持ってる人よりずっといい!)ので、全力でバックアップする事をお約束します。
高円寺PAL歯科医院で働くメリット
高円寺PAL歯科医院で一緒に働いてくれる衛生士さんに大事にしているところ、スタッフがメリットに感じてくれているというポイントをあげてみました。
やる気のあるあなたを親身になってサポートします
経験の浅くて自信がない方でも、練習すれば誰でも一定レベルまで出来るようになれるというのが高円寺PAL歯科医院の信念です。
私たちは「やる気はとってもあるんだけど、自信が持てない…(><)」というあなたが大好きです(根拠のない自信を持ってる人よりずっといい!)ので、全力でバックアップします。
あなたもドクターと患者さんの病状を共有できる知識を
衛生士さんが単独で診断・治療をする事はありませんが、自身がメンテナンス担当した患者さんのカリエスや不良補綴物などの発見や、ドクターがレントゲンから何を考えてるのかわかるように、治療や研修を通して少しずつお伝えしています。
大事な身体に負担をかけないように
なるべくお口を覗き込まないで治療できるように、拡大ルーペをご用意しています。
小さな歯を遠くから確認できますので、一日の身体にかかる負担も軽減出来ます。
「なんか難しそう…」の先入観で使用した経験のない方も、思ったほど難しくない、少し練習すれば慣れますので、ご安心ください。
衛生士さんの研修風景の一コマ
歯科衛生士さんのお仕事について
歯科衛生士の皆さんもご承知のとおり、歯科衛生士のお仕事と一口に言っても、医院によって大きく異なるのが現状です。
歯科助手と大差ない仕事しか割り振られない医院もあれば、インプラント処置のアシストがメインの医院もあり、実際のところどうなの?というのは、皆さん気になるところだと思いますので、できるだけ詳しくご紹介します。
スケーリング・SRP
衛生士さんの仕事の代表格と言えば、何と言っても、スケーリングやSRPといった、P処置です。
まずは、自覚症状の乏しい歯周病の理解を患者さんに広め、治療を行ってください。
![]() |
![]() |
![]() |
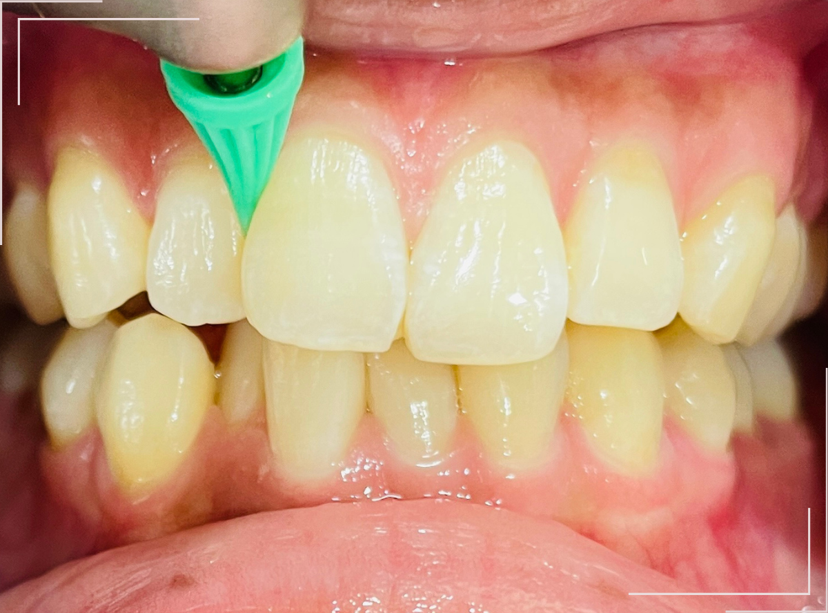
メンテナンス
3ヶ月メンテナンスを基本に行っています。
口腔内検査
P検査
TBI
SC
歯面研磨
上記を基本45分で行います。実際に院長がメンテナンスの患者さんを担当して最低限必要だなと感じたチェアタイムです。
技術的には、最初はここまで出来れば大丈夫です。
TBI |
スケーリング |
ポリッシング |
ホワイトニング・口腔内マッサージ
通常のP処置だけではなく、「もっとキレイな口元になりたい」という患者さんのために、ホーム/オフィス・ホワイトニングも行っています。
空き時間などを利用して、ホワイトニングの練習などもおこなっています。
![]() スタッフを相手にホワイトニングの練習をします |
![]() 患者さんとシェードの確認 |
![]() リップマッサージで口腔内の血流を改善します |
TEC(仮歯)
それほど多い処置ではありませんが、前歯が折れてしまった急患の方でどうしてもないと困る、という時があります。
そんな時に、短時間で綺麗に作製出来ると、とても助かります。
TECを苦手とするDrやDHは意外と多いので、少しずつ、覚えてもらいたい処置の一つです。
![]() |
![]() |
![]() |
受付業務
メインの仕事ではないですが、処置がない時に並行して受付業務も行っていただいています。
土曜日などはバタバタせわしない時もありますが、
「一日中、スケーリングやTBIばかりするよりも気分転換になって良い」とも言われます。
受付スタッフとして患者さんと接した事はありますか?
そこではいつもと違った視点での患者さんとの接し方がありますよ。
![]() |
![]() |
![]() |
高円寺PAL歯科医院での初期研修について
高円寺PAL歯科医院で働いていただいた衛生士さんには、衛生士としての手の技術だけではなく、診療に関わる知識や保険診療の知識なども習得していただき、歯科医院全般の仕事をオールマイティーにこなせる「つぶしのきく」衛生士さんになっていただきたいと思っています。
今まで、色々な衛生士さんと仕事をしてきましたが、TVにもたまに出るような有名な先生のクリニックで勤めていた衛生士さんでも、虫歯の診断などがさっぱりでメンテナンス後のチェックすると虫歯を見逃しまくりなんていう事もありました。
「完全分業制のクリニック、メンテナンス業務に集中できます!」とは聞こえがいいですが、一日中それだけですと、スケーリングとTBI以外は何も出来ないDHになってしまう危険もあるのではないでしょうか?
日頃、見て触ってないと、知識や技術は薄れていきますよね(^^;)
抜去歯牙を使っての研修
臨床経験の少ない衛生士さんは、抜去歯牙を使って、ルーペをかけながら歯石除去の練習から始めます。
裸眼からルーペをかけると、スケーラーを動かす動作が丁寧になるのを体感してもらっています。
また、超音波スケーラー、ハンドスケーラーによる歯石の取れ方の違いなども目と手の感触で覚えます。
![]() 抜去歯牙を使って、手先の動きを確認しながら、超音波を動かします |
![]() 自分の手で動かしてから、コツを聞くと頭に入りやすいと思います |
![]() ルーペをしながら、ハンドスケーラーを操作すると、より手の動きが繊細になります |
顎模型での研修
また、顎模型を使用して、TECの練習なども空き時間に行います。
患者さんのお口の中と違っていて、意外と難しいです。
![]() TECは筆積み、団子を作ってからの作り方などを練習します |
![]() 自分の手で動かしてから、コツを聞くと頭に入りやすいと思います |
![]() TEC作りは、DHだけではなく、Drも苦手な方が多いですので、短時間で上手く作れるようになると、アドバンテージになると思います |
レントゲン写真や口腔内写真を使って、口腔内診査の研修
当院では、衛生士さんにもパノラマ写真を見て、虫歯・歯周病・かみ合わせの基本的な診断ができるようになっていただきます。
スケーリングやSRPをしている時に、ただ、歯石やプラークが取れてるかだけしか見ていませんか?
レントゲンを見ながら治療をする癖をつける事で、Drがチェックの際につい見落としてしまうような不良補綴物や2次カリエスを見つけられる衛生士さんになれます。
![]() 空き時間などに、レントゲン写真のコピーを使って、虫歯や歯周病のトレースをして診断力をつけます |
![]() レントゲン写真と口腔内を見比べる癖をつける事で、メンテナンス時にカリエスを見つける事ができるようになりました |
![]() インレーやクラウンの模型にマークをしながら、何を考えて形成をしているのかを考えてもらっています |
![]() できるだけ多くの患者さんの口腔内を撮影・記録するようにしています |
![]() 口腔内写真を撮るのは最初は難しかったですが、練習を重ねる事で慣れてきました |
![]() SRPをする前の歯肉の状態を記録・比較する事で、診断以外にも治療のモチベーションにもなっています。 |
対患者さんを想定しての研修
スタッフを患者さんに見立てて、問診やスケーリングの練習をします。
スケーリング時に不快な動作があった時は(バキュームやミラーの当て方など)合図してもらい、確認します。
![]() 初診時の問診はとても重要です |
![]() 自分の手で動かしてから、コツを聞くと頭に入りやすいと思います |
![]() ルーペをしながら、器具を操作するのに慣れると、より手の動きが繊細になるのが実感できました |
バックヤードでの研修・おしごと
当院では、アルジネート印象材は自動練和機を使っています。
使い方に慣れれば、短時間で精密に練れてとても便利ですが、慣れるまでは一定期間練習が必要ですので空き時間に練習します。
慣れていない石こう注ぎは、ベテランの歯科助手さんのアドバイスも参考にしながら、練習しています。
仕事に慣れてきたら、簡単なマウスピース作りも覚えていただいてます。
![]() 石こう注ぎが慣れない方には、スタッフや院長が横について教えています |
![]() 石こう模型をトリミングして、マウスピースを製作する事もあります |
![]() 練習が必要ですが、慣れれば早く綺麗に練和ができるアルジネート練和器を使用しています |
受付での研修
メインの仕事ではないですが、一通り、受付業務も覚えていただいています。
患者さんの予約の取り方や、お金の合わせ方など。
特に予約の取り方は重要で、単に、患者さんの都合に合わせるだけではなく、仕事が円滑に進みやすいように工夫する事で一日の流れも大きく変わってきます。
また、歯科衛生士さんには単に治療だけでなく、基本的な保険診療の流れも、頭に入れておいていただきたいです。
時に、P処置やメンテナンスの保険診療の流れはややこしいです。
受付業務を通して保険診療流れもお伝えしています。
![]() スムーズな診療を行うために予約の取り方は重要です |
![]() 初めての方・慣れない方には、しばらく院長やスタッフが横についてお伝えします |
![]() 受付のレセコンに触れる事で、保険診療やお金の流れが頭に入ります |
おまけ
当院には、屋外にテラスもありますので、暖かい日は外で自由にランチも可能です♪
オンオフを上手く切り替えて、ストレスをためないように仕事してください(^^)
歯科衛生士さんの募集要項
応募条件 |
お仕事なので、楽しくない事もあるかと思いますが、前向きに仕事に取り組んでいただける方 |
雇用形態 |
正社員 |
勤務時間 |
【正社員】 |
給与 |
【正社員】 |
賞与 |
年2回 |
交通費 |
全額支給 |
休日・休暇 |
完全週休2日 |
加入保険 |
社会保険、厚生年金、労災、雇用保険 |
福利厚生 |
勤務時間内のマッサージ手当もしくは、それに付随したリラクゼーション手当 |
応募フォーム
ここまで読んで、当院のおしごとに興味を持たれた方は、以下のフォームに必要事項をご記入の上、「送信内容を確認する」ボタンをクリックしてお問い合わせください。



TBI
スケーリング
ポリッシング





























