インプラント
-
- STEP 1サージカル・ガイドのチェック
- 事前に作製した手術用マウスピース(サージカルガイド)をお口の中に合わせて、緩み・がたつき、きちんとお口を開けられるか、などチェックします。
-
- STEP 21次手術
- インプラント本体部分をお口の中に埋めこむ手術を行い歯肉を縫合します。
インプラント治療でメインとなる治療です。
-
- STEP 3抜糸
- インプラント手術後7日から10日程度し、切り開いた傷口が治癒したタイミングで抜糸を行います。
-
- STEP 43ヶ月後チェック
- 3ヶ月後にお口の中のチェック、メンテナンスを行います。
レントゲン撮影をして、インプラントと骨の状態も確認します。
-
- STEP 52次手術
- インプラント周囲の歯肉にキャップを取り付ける手術を行います。
キャップを取り付けることによって、型どりに理想的な歯肉の形態ができます。
-
- STEP 6型取り
- インプラントの歯型部分の型どりをします。
(2週間ほど、期間をいただきます)
-
- STEP 7治療完了
- 人工の歯をsetし、治療完了です。お疲れさまでした。
治療後、半年以内のメンテナンス受診をお願いいたします。
- Qインプラント治療のメリットは何ですか?
- A天然歯のような、違和感のない自然な噛み心地です。
インプラント治療には以下のメリットがあります。
自然な噛み心地: 自分の歯のようにしっかりと噛むことができます。
美しい見た目: 天然の歯に近い自然な仕上がりになります。
周りの歯への負担軽減: ブリッジのように健康な歯を削る必要がありません。
顎の骨の維持: 噛む刺激が骨に伝わるため、顎の骨が痩せるのを防ぎます。
長持ちする可能性: 適切なメンテナンスを行えば、長期間使用できます。
発音の改善: 入れ歯のようにカタカタしたり、外れたりする心配がありません。 - Qインプラントは誰でも受けられますか?
- A顎骨の量や全身状態が良好であれば、ほとんどの成人が対象です。
ただし、骨量不足や重度の全身疾患がある場合は、事前に専門医と相談が必要です - Q治療期間はどれくらいかかりますか?
- A抜歯当日から起算して、半年後が目安です。
歯を抜いてから、3ヶ月程度待ってから、骨を診断し、インプラント可能か診断します。
インプラント埋入後、骨と結合(オッセオインテグレーション)するまで通常3~6ヵ月を要し、その後クラウンを装着して完了しますので、抜歯から起算し、半年後以降を目安とお考え下さい。 - Qインプラントの成功率はどれくらいですか?
- A健康状態や術後ケアにもよりますが、90~95%以上と非常に高い成功率が報告されています。
ただし、失敗のないように事前に精密な検査と診断が必要です。 - Qインプラントはどれくらい持ちますか?
- A適切なケアを続ければ、10年以上機能を維持します。
これも、定期的なメインテナンスでお口の状態を維持する事が、長持ちのカギです。 - Q保険は適用されますか?費用は?
- A日本では、特例を除き、原則自費診療で、1本あたり30万~50万円程度が目安です。
費用については、クリニックごとに異なりますので、目安としてお考え下さい。 - Qインプラントにかぶせる歯はどんな歯ですか?
- A主にセラミッククラウン(審美性重視)とジルコニアクラウン(強度重視)があります。
他素材も選択可能ですが、ほとんどの場合、上記二種類から選ばれる事が多いです。 - Qインプラント治療後のメンテナンス頻度は?
- A原則、3ヶ月毎のメンテナンスにご来院いただいております。
遅くとも、半年以内の受診していただくようにしてください。
定期メンテナンスに来院されない方の治療保証はできません。 - Qインプラントに虫歯はできますか?
- Aインプラント自体には虫歯はできません。
ただし、インプラント周囲の歯肉のケアが不十分だと歯周病様の炎症を起こすことがあります - Qインプラント周囲の歯肉が下がることはありますか?
- Aあります。
メインテナンス不良や加齢により、歯肉が退縮してインプラントの金属部分が露出することがあります。
適切なブラッシングや定期検メンテナンスにより減らす事ができます。
「歯を失ってしまったけれど、もう一度自分の歯のようにしっかり噛みたい」
「入れ歯だと話しにくくて、人と会うのが不安…」
そんなお悩みをお持ちの方へインプラント治療という選択肢を
インプラントとは?
インプラント治療は、永久歯を失った箇所に金属製の歯根を埋め込み、 その上に人工の歯を装着する治療法です。
インプラントは他の治療法に比べて、審美性に優れ、咀嚼力が高く、ご自身の歯と同じようにお食事をすることができるようになります。
インプラントと、入れ歯・ブリッジの違い
インプラントは入れ歯のような装着時の違和感がなく、毎日取り外し洗浄する必要もありません。
例えば、保険診療で作製するプラスチック製の入れ歯ですと、食事の際噛むときの力で顎に負担がかかり、本来の20%~30%の力でしか噛むことができません。
ですがインプラントは自分の骨にしっかりと固定されるので、ご自身の歯に匹敵するほどの力で噛むことができます。
さらに金属のバネを使用した部分入れ歯や、健康な歯を削って装着するブリッジに比べ、インプラントは健康な歯に負担をかけず、自分の歯と同じような感覚で使用できます。
また、ブリッジのように前後の健康の歯を削る必要がありませんので、廻りの歯にはきわめて影響の少ない、優しい治療といえます。
入れ歯
簡単に製作可能ですが、安定感に欠け、小さな物になると、誤飲の危険もあります。
ブリッジ
咬む力、感触はインプラントに近く自然ですが、前後の歯をかなり削ります。
また、原則として、前後に歯がなければ作製できません。
インプラント
適切な顎骨の状態であれば、良好な治療結果が望めます。
インプラントの詳しいメリット
しっかり噛める
骨に固定されているため、グラつかず、力を入れて噛めます。
見た目が自然
セラミックなどの素材で作るため、天然の歯と見分けがつきにくい自然な仕上がり。
周囲の歯を削らない
ブリッジのように両隣の健康な歯を削る必要がありません。
あごの骨を守る
骨に力がかかることで、骨がやせるのを防ぐ効果があります。
長く使える
適切なケアをすれば、10年以上使用できるケースも多く見られます。
このような方に、特にインプラント治療をおすすめしています
歯をなるべく削りたくない方
入れ歯を使いたくない・合わなかった方
奥歯がなくてブリッジ治療ができない方
歯のない部分の骨がしっかりしている方
インプラント治療が出来ない方
インプラント治療は、成功すれば、ご自身の歯と同じような噛み心地を取り戻す事ができますが、外科処置になるため、残念ながら全ての方に施術できるわけではありません。
以下の方は、インプラント治療を施術する事ができません。
インプラントをする部分の骨が薄い方
骨粗鬆症の患者さん
外科(出血する治療)処置が難しい方
(重度歯周病、糖尿病、心筋梗塞、重い全身疾患のある方など)
妊娠中の人・年齢が20歳以下、もしくは85歳以上の方
当院でインプラント治療をご検討される方には、事前に安全に施術可能か検査・診断しております。
インプラント治療のための、検査と診断
インプラント治療を成功させるためには、手術前の正確な診断と準備が不可欠です。
しっかりとした前準備をすることで、インプラントの成功率はあがります。
治療完了まで患者さんにも、お手数をおかけする場面がありますが、ご理解をお願いいたします
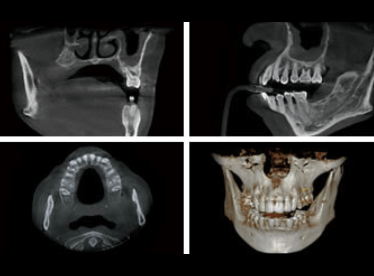
CT撮影による、審査・診断
![]() |
![]() |
インプラント治療において、CT撮影は不可欠です。
インプラントを安全に埋入するには、顎の骨の厚みや密度、神経や血管の走行を把握することが必要になりますが、レントゲンだけではこれらを全て把握することはできません。
CT撮影することにより、今までのレントゲン写真では得ることができなかった情報を得ることができ、より的確な診断が可能になります。
このCT撮影によって得られた情報(主に骨の厚みや幅)を元に、インプラント治療の可否を診断します。
場合によっては、インプラント治療が不可能という診断になる場合もありますので、ご了承ください。
模型による診断
![]() |
![]() |
CT撮影の他に、お口の中の型どりをして、模型を作製し、かみ合わせなどの診断も行います。
実際に、CT画像や模型を使って、患者さんに診断内容をご説明し、実際に治療を進める事になりましたら、サージカルガイドという、インプラント治療用のマウスピースを作製し、治療の準備に入ります。
安全にインプラント治療を行うためのサージカル・ガイド
インプラント治療は顎の骨を削る外科治療です。
外科治療のリスクを最大限少なくするために、サージカルガイドという特殊なマウスピースを使ったインプラント治療を基本としています。
サージカル・ガイドとは?
サージカル・ガイドは、インプラント治療を正確に行うために、撮影したCTデータを元に患者さんのお口の中に合わせて製作するマウスピースです。
インプラント治療を安全におこない、また予後を良好なものにするために最も重要なのが、インプラントを埋入する適正な位置や方向の決定ですが、予め患者さん用に製作しサージカルガイドの使用をすることにによりインプラントの埋入がより正確に行えるという点が大きなメリットです。
サージカルガイドは、インプラントを埋入する正確な位置を把握するための「ものさし」です。
歯科用CTで得た情報を元に、コンピュータ上で綿密な治療計画を立てて製作します。
実際の手術では患者様のお口にサージカルガイドを装着し、ガイドの目印にそってドリルを挿入し、顎の骨に穴をあけていきます。
サージカル・ガイドの注意点
安全なインプラント手術に有効なサージカルガイドですが、マウスピースの厚みの分、通常の治療よりもお口を大きく開ける必要があるのが欠点とも言えます。
手術前にお口の中で合わせて、安全に操作できるかシュミレーションを行います。
手術に必要な開口量が得られない場合は、サージカルガイドなしでの治療に計画変更する必要があります。
実際のインプラント治療の流れ
患者さんにはなかなかわかりづらい、実際にインプラント治療を行う際の基本的な流れを図を用いてご説明いたします。
おそらくご想像されていたよりも、回数と期間がかかる処置だな、と思われるかと思いますが、インプラント処置を確実に成功させるためのステップとご理解いただけますと幸いです。
当院のインプラント治療の費用
検査・分析・診断料
無料
(インプラント治療前提の方)
インプラント治療をご希望の方は、当院でCT撮影後、インプラント治療が可能か、無料で分析・診断いたします。
(当院でインプラント治療が可能と診断されたが、治療を辞退される方は、30,000円をご負担いただきます)
手術費の総額
300,000円~
(最終的なさし歯の金額、お薬代など、手術に関わる費用を含みます)
インプラント手術の金額は安かったけど、さし歯やお薬代、などが別料金になっていて、結局、支払額が想定より高額になってしまった、という事がないように、通常のインプラント治療であれば、患者さんに費用負担がわかりやすいように、インプラント1本のお支払いの総額が30万円(税込)になるように調整して計算しています。
(骨造成など、特殊な追加処置が必要な場合を除きます)
実際のインプラントの治療ケース(ブログ)
よくある質問




