インプラント治療の実際
2025/07/24

インプラント治療とは、歯を抜いた部分に、チタンなどの生体親和性の高い素材で作られた人工の歯の根っこを埋め込み、失われた歯の機能と美観を回復させるための高度な歯科治療です。
天然の歯のようにしっかりと噛むことができ、見た目も自然な仕上がりになるため、抜歯をされた方で条件の合う方にはとてもよい治療法ですが、他の治療法に比べ費用と治療回数/期間がかかる事は知っておいていただく必要があります。
| インプラント治療の概要 | |
| 治療期間 |
3ヶ月~ |
| 治療回数 |
7回~ |
| メリット |
元の歯と変わらないように噛める 周りの歯を削らずに治療できる 見た目が綺麗 |
| デメリット |
外科治療になる(全ての方に適応できない) 保険外治療になり、費用が高い |
| 費用 |
30万円~(レントゲン代など含む) |
治療過程がなかなか患者さんには理解しづらいようで、説明をしても
「今日で治療終わりですか?」と聞かれる事も多いです(^^;)が、上記のように、治療期間(3、ヶ月~半年)、治療回数(7回~)、費用30万円~が当院のおおよその目安と考えていただければと思います。
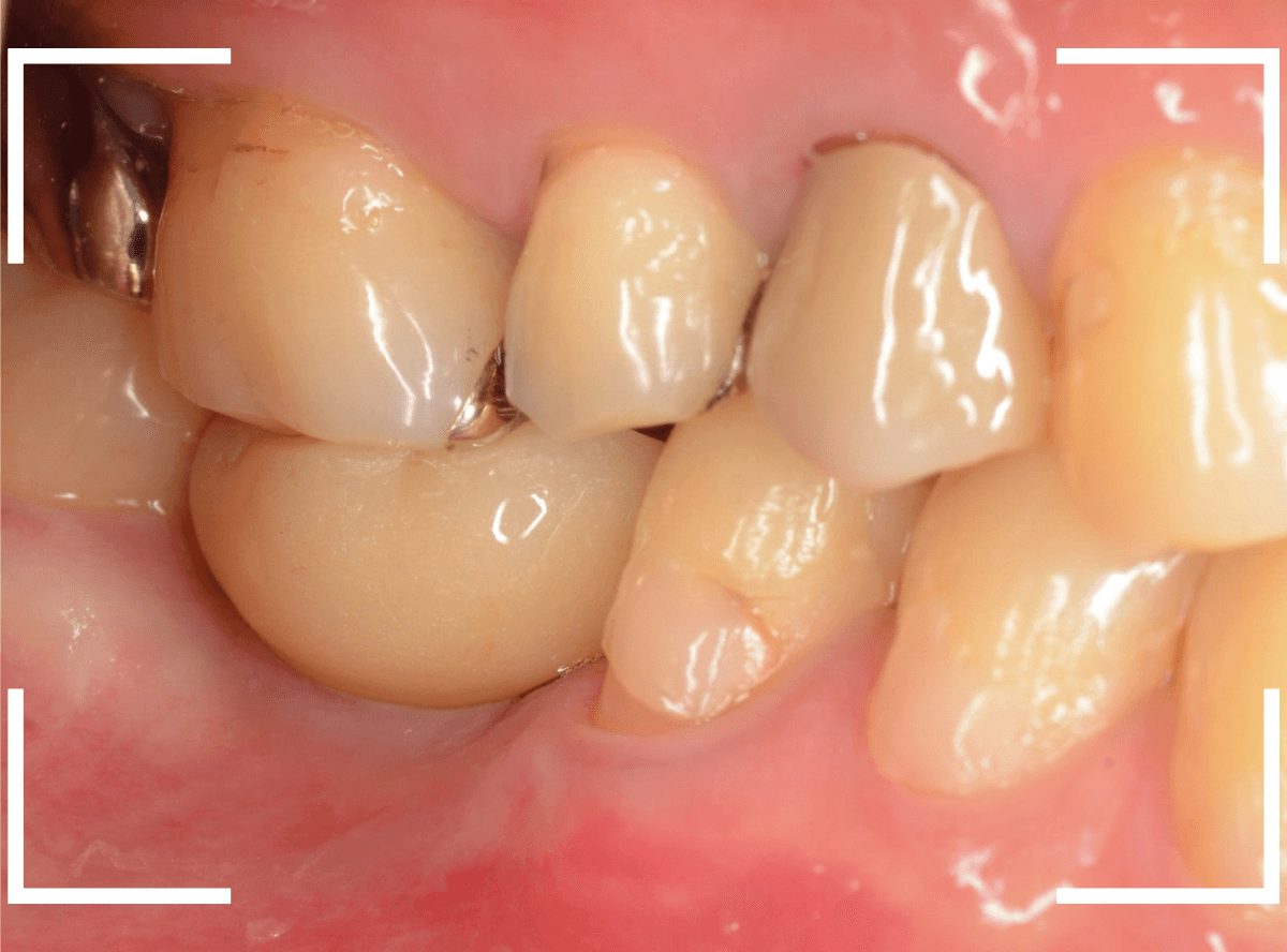
奥歯のインプラント治療例

下の奥歯にインプラントを埋入した方の例です。

インプラント周囲の歯肉も問題なく改善しています。

インプラントも問題なくsetできました。
よくたずねられるのですが、真ん中の穴はアクセスホールといい、インプラントの着脱の時に使用する、ネジ穴です。


set、調整が終われば、アクセスホールを埋めて、治療終了です。
何かあれば、アクセスホールを開けてインプラントを着脱できるようになっています。
| 治療回数 | 7回 |
| 治療期間 | 約半年 |
| 費用 | 30万円(レントゲン代、消費税含む) |
ここまでこのブログを読んでいただいた、歯の治療に関心の高いあなたのご来院、お待ちしています。
https://kp-dental.com/Reservation
今後ともよろしくお願いします。
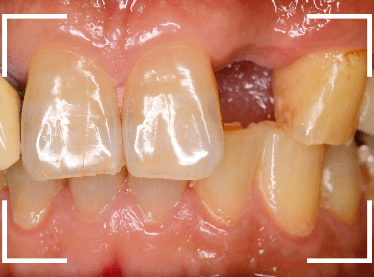
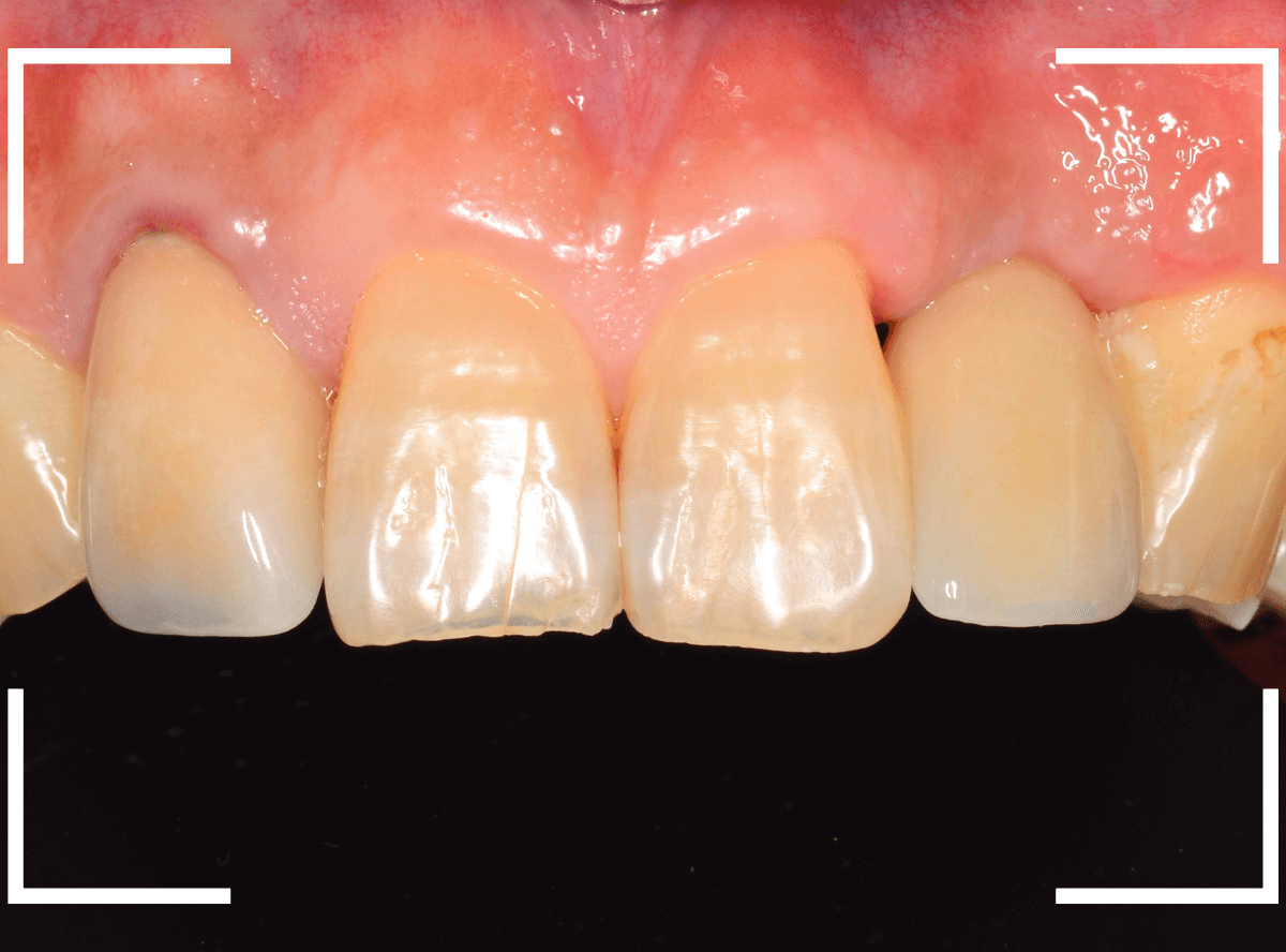
前歯のインプラント治療例

以前に上の前歯を抜歯された患者さんです。
抜歯後、都合によりしばらく入れ歯で経過観察していましたが、改めてインプラント治療をご希望されました。

インプラント治療で、まず必要になってくるのが、外科処置に耐えられる全身状態の確認と、インプラントを埋め込む顎骨に十分な厚みと幅があるか、という事です。
顎の骨の厚みは、見た目では判断できません。
3Dのレントゲン写真(CT)で検査します。
この患者さんは、インプラント治療が可能と判断されました。

インプラントは、顎骨内にネジを埋め込み、それを土台にさし歯を作る治療です。
要領は壁にネジを埋めるのと全く同じで、
・インプラント(ネジ)を埋め込む顎骨(壁)に十分な厚みと幅があり、その目標に向かって正確に埋め込む
事が重要になってきますが、難しいのが、目標に正確に打ち込む事です。
壁にネジを埋める時も、途中でズレる事があるかと思います。
それに加え、顎骨は凸凹しているため、自分の感覚ではまっすぐ埋めているつもりがずれていたりなんて事もあります。
その誤りが出ないようにする器具が、マウスピースによるガイドです。
3Dレントゲン(CT)で検査したデータと、型どりした模型から、マウスピースを作製し、お口の中でマウスピースを固定した状態で、ガイドに合わせてインプラントを埋め込めば、感覚に頼らず正確にインプラントが埋入できる、というわけです。
しかし、何事も理屈通りにはいきません。
せっかく作製したマウスピースが固定させづらい歯並びだったり、マウスピースの厚みの分だけお口を大きく開けなければいけないのですが、開けられなかったり、などといった事が起こる事もありますし、歯並びによっては、マウスピースがスムーズにはまらないという事もあります。
当院では、インプラント手術の前に、マウスピースの適合やお口が開けられるか、のチェック日を入れています。
患者さんの来院回数は増えますが、手術当日に確実に処置がすすめられるためのステップです。

手術当日、インプラント体を埋入した直後です。
この状態で、しばらく経過観察をします。


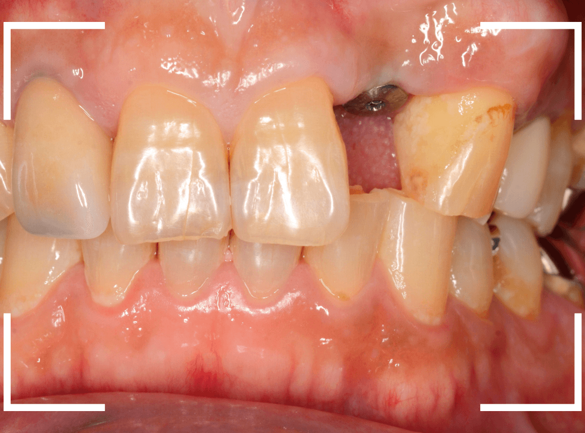
インプラント体の周囲の骨と歯肉が落ち着くのを待って、型取りをします。


模型上で精密にインプラントを製作します。



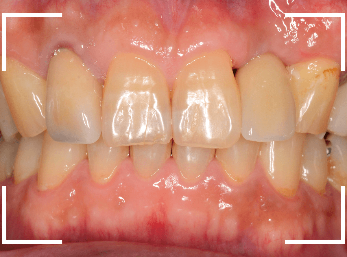
インプラントset後の状況です。
審美的にも、満足いただける仕上がりになりましたが、現在の状況を維持するために治療後の定期メンテナンスが不可欠になります(インプラントに限りませんが)。
| 治療回数 | 8回 |
| 治療期間 | 約半年 |
| 費用 | 30万円(レントゲン検査代、消費税含む) |
(2024年12月)
ここまでこのブログを読んでいただいた、歯の治療に関心の高いあなたのご来院、お待ちしています。
https://kp-dental.com/Reservation
今後ともよろしくお願いします。
高円寺PAL歯科医院 :https://kp-dental.com/
〒166-0003 杉並区高円寺南4-25-4 RESTA高円寺3F
電話:03-6383-1963
電車でお越しの方:
JR線 高円寺 駅南口より 徒歩2分
