コンポジット・レジン治療
2025/07/24
コンポジット・レジン治療とは?
こんにちは、高円寺PAL歯科医院の新井です。
コンポジット・レジン治療とは、歯科用の樹脂(プラスチック)をベースにした歯科材料(コンポジット・レジン)を、虫歯を削った部分につめて、光で硬化させることで、その場で歯の形を再現できる治療法になります。
というシンプルな流れで、1回の通院で治療が終わる事ができるのが大きな特徴です。
コンポジット・レジン治療の適応症
小さなむし歯(C1~C2程度)
前歯や奥歯の小さな欠け
歯の隙間やすきっ歯の補修(審美目的)
コンポジット・レジン治療は、特に小さな範囲のむし歯治療に向いており、大きな咬み合わせの力がかかる奥歯や広範囲な虫歯治療では、他の材料(セラミックなど)が選ばれることが多いです。
コンポジット・レジン治療のメリット
1. 歯を削る量が少なくてすむ
コンポジットレジン治療は、必要最低限の範囲だけを削って、健康な歯をなるべく残すことができます(=MI治療)。
細かい範囲の修復に向いている材料です。
2.歯の明るさに近く、目立ちづらい
銀歯のように目立たず、特に前歯や小さなむし歯治療には審美的に優れた選択肢となります。
3.通院1回で治療が完了することが多い
インレーと違って、型取りや技工所での製作が不要で、その場で歯科医師が直接形成して固めるため、1回で治療が完了することが多いです。
4.保険適用で経済的
コンポジットレジンは、保険診療で使用できる素材です。
(併用する材料によっては自費診療が適応になるケースもあります。)
コンポジット・レジン治療のデメリット
コンポジットレジンは見た目や費用の面では非常に優れた材料ですが、万能ではありません。
1. 経年劣化しやすい(変色・摩耗・ツヤの低下)
コンポジットレジンは吸水性がある素材であるため、飲食物に含まれる色素を吸収して、短期間で変色する事も多いです。
また、主成分がやわらかい樹脂であるため、噛む力や摩擦に対して「すり減りやすい」性質があるため、短期間で摩耗しやすいです。
2. 破折したり、欠けやすい(特に大きな修復や奥歯)
コンポジットレジンは“硬くてもろい”性質を持つ側面もあるため、力の衝撃に弱く、瞬間的に強い力(たとえば固い物を噛んだときや歯ぎしり)にさらされると、素材が変形に耐えられず、パキッと割れてしまうことがあります。
3. 深いむし歯や歯肉縁下の適応には不向き
レジンは歯肉の深いところ(歯肉縁下)や出血や唾液で湿った環境では接着力が弱くなりやすく、長期的な安定性が落ちますので、こういった場合は、型をとって精密なつめ物(インレー)を作る方が適していることが多いです。
4. 複雑な形態や大きな虫歯の修復には不向き
コンポジットレジン治療は歯科医師が暗くて狭いお口の中で、その場で手作業で行う治療のため、
修復する歯の形が複雑、大きい
歯の形態を細かく再現する必要がある
場合には、型を取って技工士が精密に作るインレーやクラウンの方がフィットがよい事が多いです。
実際の治療例
Case.8
くさび状欠損の虫歯治療

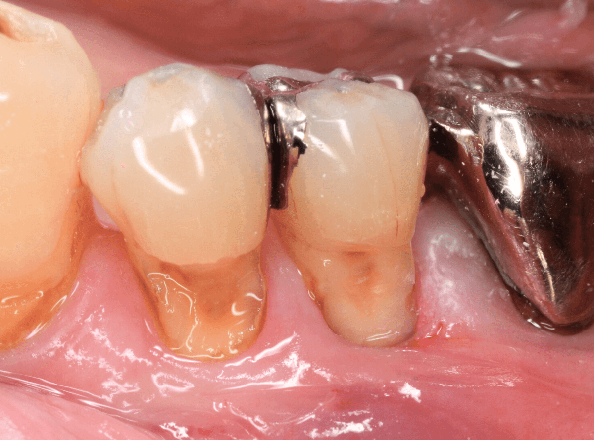
歯の根元が機械的にえぐれてしまっている状態をくさび状欠損といい、歯がしみるなどの原因になる事があります。
今回は、くさび上欠損が原因で歯がしみてしまい、歯ブラシが満足にできなかったために虫歯になってしまったケースです。
歯の根元の黒い虫歯の周りにプラークがついており、満足にがブラシが出来ていないのがわかります。

くさび状欠損そのものは虫歯ではないので、治療をするかどうかはケースバイケースですが、今回は、症状があり、明らかに虫歯の原因になっていますので、治療する必要があります。
麻酔をして、虫歯を除去します。
こういった側面の虫歯は見た目よりも深く進行する事も多いですが、今回は表面的な虫歯で済んでいました。

最後はレジンで欠損部を埋めて終了です。
さて、くさび状欠損はどういった原因で起こるのでしょうか?
それは、歯ブラシの強さや歯ぎしり食いしばりなどが大きく関わっていると言われています。
ご自身の歯が大きくえぐれてしまう力がかかるわけですから、埋めたレジンも外れやすかったりします。
歯ブラシ圧の見直しや、場合によっては歯ぎしりに対応したマウスピースの作製なども検討してもらう必要があります。
ここまでこのブログを読んでいただいた、歯の治療に関心の高いあなたのご来院、お待ちしています。
https://kp-dental.com/Reservation
今後ともよろしくお願いします。
Case.7

上の奥歯がかけてしまったと来院された患者さんです。
おそらく、つめていたレジンの中で虫歯になってしまい、レジンが外れてしまったのではないかと思われます。

虫歯を全部除去したところです。
少し深めの虫歯で、かみ合わせの負荷のかかる奥歯をどんな材料で治すか悩むところでしたが、レジンで治す事にしました。

レジンで治療したところです。
安価で審美性高く虫歯治療が可能なレジン治療ですが、咬み合わせの強くかかる場所、隣の歯とのすき間などでは長持ちさせる事は難しいです。
今回の治療も、短期間でレジンが外れたり、割れたりするようであれば、インレー治療などに置き換える必要がある事をお話しての治療になりました。
ここまでこのブログを読んでいただいた、歯の治療に関心の高いあなたのご来院、お待ちしています。
https://kp-dental.com/Reservation
今後ともよろしくお願いします。
Case.6

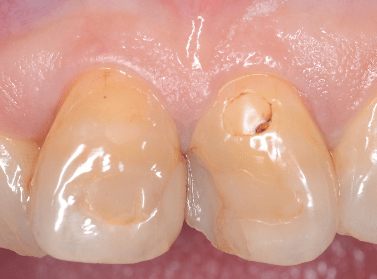
前歯のすき間が虫歯になってしまった患者さんです。
3本の歯で4か所虫歯になっています。

向かって左側の虫歯から慎重に治療します。
結構大きな虫歯ですね。

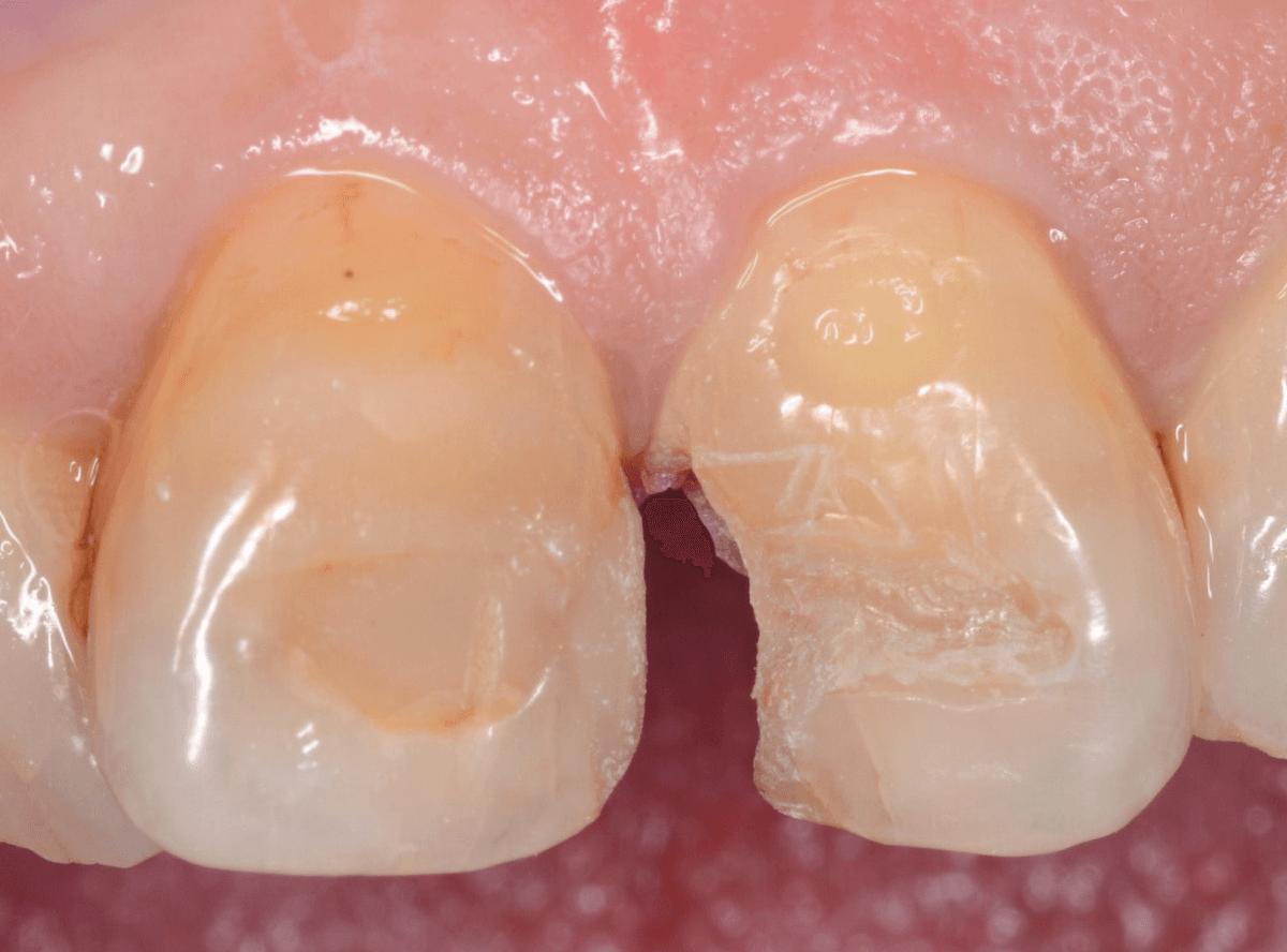
ちょっと角度を変えて見た所です。
まだ虫歯が残ってますね。

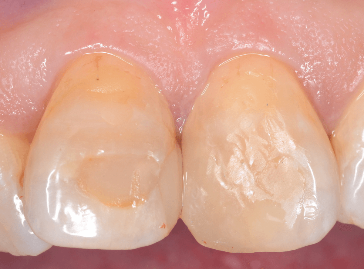
虫歯を取りきりました!

向かって右側の虫歯も全部除去できました。

レジンをつめして、治療終了です。
こうした前歯のすき間は虫歯が再発しやすい部分ですので、定期的なメンテナンスでチェックをする事が有用です!
ここまでこのブログを読んでいただいた、歯の治療に関心の高いあなたのご来院、お待ちしています。
https://kp-dental.com/Reservation
今後ともよろしくお願いします。
Case.5

隣の歯とのすき間が虫歯になってしまった患者さんです。
写真だとよくわからないですね。

少し削ると、虫歯が出てきました。
あまり広がっていない、初期虫歯ですんでそうです。

虫歯を全部取り切りました。

レジンで埋めて、治療終了です。
このような小さな虫歯を手軽に処置できるのもレジン治療の利点ですが、あまりに小さな初期虫歯の場合は、経過観察にした方が良い場合もあります。
ここまでこのブログを読んでいただいた、歯の治療に関心の高いあなたのご来院、お待ちしています。
https://kp-dental.com/Reservation
今後ともよろしくお願いします。
Case.4

歯のつけ根のレジンが劣化してしまい再び虫歯になってしまった患者さんです。
このようなケースはとても多いですね。

麻酔をしてレジンを除去して、虫歯を再治療します。
写真ではわかりづらいですが、少し中に虫歯が入り込んでました。
しっかり虫歯を取り切ります。

新しくレジンをつめなおして治療終了です。
このような歯の側面に限局した虫歯の治療は、コンポジットレジン治療の独断場と言えます。
ここまでこのブログを読んでいただいた、歯の治療に関心の高いあなたのご来院、お待ちしています。
https://kp-dental.com/Reservation
今後ともよろしくお願いします。
Case.3

前歯の一部が欠けてしまった患者さんです。
コンポジットレジン治療は手軽に治療を受けられる反面、このようにかけたり、はずれたりなど、他の素材に比べて寿命の短さがあげられます。
他の治療法ですと、歯の削除量が増えてしまいますので、今回は、再度、コンポジットレジン修復でお直しする事になりました。

一旦、残っているレジンも全部外して中を調べます。
若干の虫歯が見つかりました。

幸い、歯を小さく削る程度ですみました。

古いレジンと虫歯を取り切ったところです。

新しくレジンでつめ直したところです。
いずれはやり直しの時期がきますが、まだしばらくはこのままお使いできるでしょう。
レジン治療をした前歯では、硬い物などを噛む時には注意していただくと良いです。
梅干しの種なども前歯でガリっとやらないようにしてくださいね(^^)
ここまでこのブログを読んでいただいた、歯の治療に関心の高いあなたのご来院、お待ちしています。
https://kp-dental.com/Reservation
今後ともよろしくお願いします。
Case.2

奥歯のレジンの中で2次う蝕になっています。
レントゲン写真では、あまりはっきりした虫歯に見えませんでしたが、肉眼で確認すると、レジンがつめてある中で広がっているようにも見えました。
長期に日本を離れてしまう予定という事もあり、レジンの中を調べてみる事になりました。

幸運にも、今回はレントゲン写真通りの浅い虫歯ですんでいました。
たまには、こういうケースもありですね。

再び、レジンをつめ直して、治療終了です。
お口の中は、患者さんが思っている以上に劣悪な環境です。
日々、お手入れをしっかりしている方でも、治療した部分がレジンなど材料の劣化とともに虫歯になってしまう事もありますので、何も症状がなくても、定期的に歯科受診をしてくださいね。
ここまでこのブログを読んでいただいた、歯の治療に関心の高いあなたのご来院、お待ちしています。
https://kp-dental.com/Reservation
今後ともよろしくお願いします。
Case.1

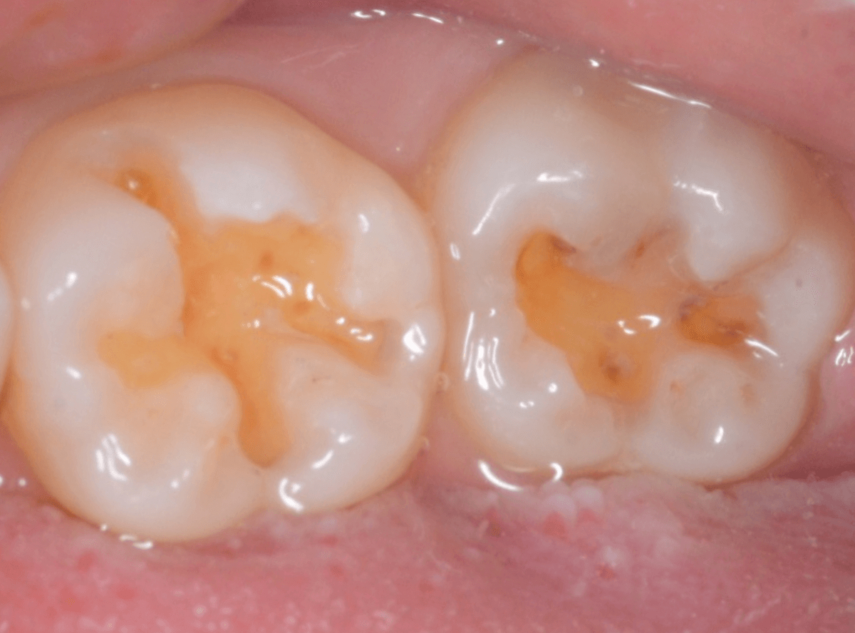
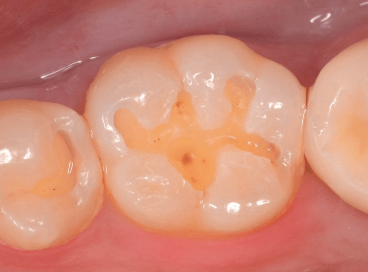
奥歯の溝に虫歯が見つかりました。
このような虫歯のことを小窩裂溝う蝕(しょうかれっこううしょく)といいます。
見た目は小さな虫歯ですが、このような虫歯は中で洞穴のように大きく広がってる場合がありますので、注意が必要です。

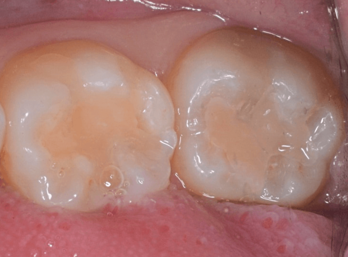
虫歯を全て除去したところです。
今回は虫歯は表面で留まっており、あまりたくさん削らずにすみました。

小さな虫歯の場合は、削った部分にレジンをつめる治療で1回で終われます。
費用もあまりかからず、見た目も悪くないと思います。
たくさん削ると、銀歯にしなければいけない可能性が出てきます。
早めの検診・治療で、少なく歯を削る治療で歯の寿命を延ばしましょう♪
ここまでこのブログを読んでいただいた、歯の治療に関心の高いあなたのご来院、お待ちしています。
https://kp-dental.com/Reservation
今後ともよろしくお願いします。
高円寺PAL歯科医院 :https://kp-dental.com/
〒166-0003 杉並区高円寺南4-25-4 RESTA高円寺3F
電話:03-6383-1963
電車でお越しの方:
JR線 高円寺 駅南口より 徒歩2分
