歯の溝にできる虫歯「小窩裂溝う蝕」
2025/07/24
小窩裂溝う蝕とは
こんにちは、高円寺PAL歯科医院の新井です。
小窩裂溝とは、歯の表面にある小さなくぼみや細い溝のことをいいます。
歯には、好発部位といい、汚れがたまりやすく、歯ブラシが届きにくいために虫歯になりやすい場所があります。
小窩裂溝は、そんな虫歯の好発部位の一つで小窩裂溝にできた虫歯を「小窩裂溝う蝕」といいます。
小窩裂溝う蝕の特徴とは
1. 見た目でわかりにくい ― 表面は小さな虫歯に見えても内部で大きく進行
小窩裂溝う蝕の大きな特徴は、「外側から見えにくいこと」です。
虫歯と聞くと、「歯が黒くなる」「穴が開く」など目で見て分かる変化を想像する方が多いかもしれません。
しかし小窩裂溝う蝕では、歯の表面に変化が現れないまま内部で静かに虫歯が進行していることが多いです。
これは、虫歯菌が歯の溝(裂溝)やくぼみ(小窩)の奥に入り込み、狭くて深い溝に沿って内部へ進行するためです。
表面のエナメル質がわずかに着色する程度でも、その下で大きく虫歯が進んでいるというケースが多いです。
2. 歯の溝が複雑な形をしているために虫歯になりやすい
小窩裂溝は、細く入り組んだ「Y字」や「V字」、「ピンホール状」など、非常に複雑な形をしています。
そのため、歯ブラシの毛先が届かず、溝の奥に入り込んだプラークを完全に除去できない、また、唾液には酸を中和し歯を修復する働き(再石灰化)がありますが、狭い裂溝の内部までは届きにづらいため、虫歯が進行しやすくなります。
3. 痛みが出るまで気づきにくい
小窩裂溝う蝕は、特に見た目から虫歯が判別しづらいため、痛みが出るまで、ご自身ではきづきません。
すでに虫歯が象牙質や神経にまで進行して、痛みや違和感が出て、初めて歯医者に来院し虫歯が見つかるというケースも多いです。
4. 歯科医師でも診断と発見が難しい ― 診断に経験、技術が必要
小窩裂溝う蝕は、見た目や症状から判別しにくい上に、診断の頼りになるレントゲン写真でも、写りづらい事が多いです。
歯の表面を触った時の感触や細かい見た目の差異など、診断により経験や技術が必要になります。
5. 予防が非常に効果的 ― こどもの時期からのケアがカギ
小窩裂溝う蝕は、「シーラント」によって高い効果が期待できる虫歯です。
シーラントとは?
歯の溝をレジンという樹脂であらかじめ埋めておき、虫歯菌が侵入する隙間を物理的になくしてしまう方法です。
特に奥歯の永久歯に施すことで、小窩裂溝う蝕の発症を大きく減らすことができます。
実際の治療例
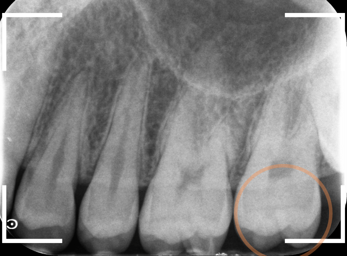
Case.5 症状もなく、神経の近くまで深く広がっている小窩裂溝う蝕

今回は、症状もなく、見た目には小さく見える、小窩裂溝う蝕の例です。

レントゲン写真で確認すると、今回はとても大きな虫歯になっている事が確認出来ました。
かなり神経の近くまで虫歯が進行しているのがわかります。

裂溝部分を少し削ると、中は虫歯で大きな空洞になっていました。

ある程度、虫歯を除去したところで、う蝕検知液で確認します。
真っ赤に染まり、まだ虫歯が取り切れていないのがわかります。

神経まで近づいてきたので、慎重に虫歯を除去します。

全ての虫歯を除去したところです。
神経スレスレのところまで虫歯が広がっていました。
ここまでこのブログを読んでいただいた、歯の治療に関心の高いあなたのご来院、お待ちしています。
https://kp-dental.com/Reservation
今後ともよろしくお願いします。
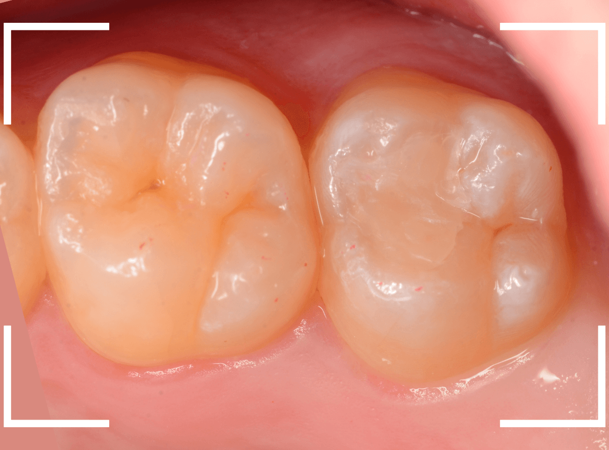
Case.4 見た目はとても小さいが、中で広がっている小窩裂溝う蝕の典型例

今回は、見た目はとても小さく、レントゲンでも判別しにくい、小窩裂溝う蝕のケースです。
小窩裂溝部分に、小さな虫歯が確認できます。

レントゲン写真で確認しますが、はっきりと虫歯は確認出来ません。

表面の虫歯を削って確認すると、中で虫歯が広がっているのが確認されました。

全ての虫歯を除去したところです。
写真ではわかりづらいですが、かなり深く、神経の近くまで虫歯は進行していました。
もう少し治療が遅かったら、神経の治療が必要になっていたかもしれません。
これだけ深い虫歯であれば、冷たいものがしみたりなどの症状を感じてもおかしくありませんが、特にそういう事もありませんでした。
「見た目は小さい、レントゲンにも写らない、症状もない」
油断できない小窩裂溝う蝕の典型例ですね。

幸い、今回は虫歯が広く進行してはいませんでしたので、削った部分をレジンで埋める処置で一回で治療を終える事が出来ました。
ここまでこのブログを読んでいただいた、歯の治療に関心の高いあなたのご来院、お待ちしています。
https://kp-dental.com/Reservation
今後ともよろしくお願いします。
Case.3 歯の表面の小さな溝から広がった、虫歯の治療 <動画編>
今回は、かなり内部で虫歯が広がっていた、小窩裂溝う蝕の治療例です。
歯を上から確認すると、溝の周りが虫歯がありそうです。
レントゲン写真で確認すると、やはり、中で虫歯が進行していました。
このように、入り口が狭くても、中で広がっている虫歯はとても多いです。
虫歯は色々な所から静かに深く進行しています。
症状がなくても、定期検診に通う事で虫歯のリスクは大きく下げる事が出来ますよ。
ここまでこのブログを読んでいただいた、歯の治療に関心の高いあなたのご来院、お待ちしています。
https://kp-dental.com/Reservation
今後ともよろしくお願いします。
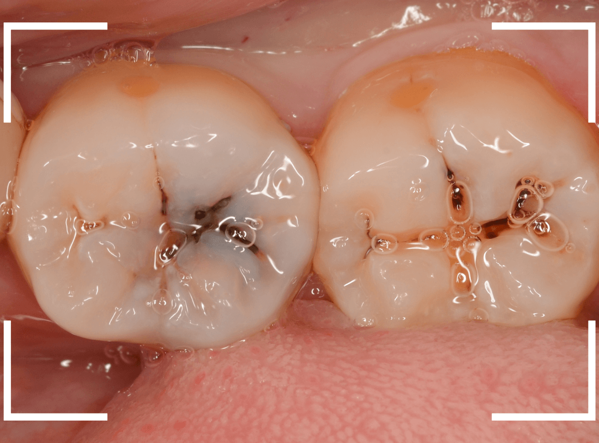
Case.2 レントゲンで判別しづらい、小窩裂溝う蝕

今回は、レントゲン写真で判別しづらい、小窩裂溝う蝕です。
写真では、2本の歯とも、歯の溝に虫歯が出来ているのが確認できます。

レントゲン写真で確認します。
〇部が虫歯の部分です。
左側の歯はうっすらと黒い影が見えますが、わかりづらい写り方です。

虫歯の部分を少しずつ削りながら、虫歯を確認します。

左側の歯はかなり虫歯が広がっているのがわかりますね。

典型的な、内部で広がる小窩裂溝う蝕です。

両歯とも、虫歯を全て除去したところです。
歯の溝から、かなり虫歯が広がっている状態でした。
ここまでこのブログを読んでいただいた、歯の治療に関心の高いあなたのご来院、お待ちしています。
https://kp-dental.com/Reservation
今後ともよろしくお願いします。
Case.1 小窩裂溝う蝕~無事にジルコニア・インレーへ


今回は、歯の溝(小窩裂溝)の下が深い虫歯になっていた方のケースです。
小窩裂溝とは、歯の表面にある小さな窪みや穴、溝のことです。
小窩裂溝は虫歯になりやすい上、歯の内部で広がっていることが多いのが特徴です。
この方は、以前にセメントで小窩裂溝を埋めて虫歯予防処置を施した形跡がありますが、それでも虫歯になってしまいました。

レントゲン写真で確認します。
青い線が神経、赤い線が虫歯の部分です。
やはり、小窩裂溝の中で大きな虫歯になっています。

奥歯から治療を開始します。
少し削ると、すぐに虫歯の部分が出てきました。

慎重に虫歯を削っていきます。
レントゲンから想像した通り、手前の歯まで達した、かなり大きな虫歯です。

赤く染まっている部分が、まだ虫歯が残っている箇所です。
歯の神経が近いので、余分に削りすぎないように、より慎重に虫歯を除去します。

全ての虫歯を除去しました。
奥歯は、レントゲン所見とおり、かなり深い虫歯でした。
神経に近い部分まで削る必要がありましたので、お薬をつめてしばらく経過観察します。

さて、しばらく経過観察後、幸い症状もありませんでしたので、最終修復に入ります。
ここで、患者さんはセラミック修復を希望されましたので、奥歯をジルコニア・インレー、手前をE-MAXインレーを製作しました。

最終setした状態です。
set後も症状なく、患者さんにも、満足していただける仕上がりになりました。
| 治療回数 | 3回 |
| 治療期間 | 1ヶ月 |
| 費用 | E-MAX・インレー (50,000円) ジルコニア・インレー (70,000円) +保険治療費用など |
ここまでこのブログを読んでいただいた、歯の治療に関心の高いあなたのご来院、お待ちしています。
https://kp-dental.com/Reservation
今後ともよろしくお願いします。
高円寺PAL歯科医院 :https://kp-dental.com/
〒166-0003 杉並区高円寺南4-25-4 RESTA高円寺3F
電話:03-6383-1963
電車でお越しの方:
JR線 高円寺 駅南口より 徒歩2分
