メタル・フリー治療の実際
2025/07/24
メタル・フリー治療とは?
こんにちは、高円寺PAL歯科医院の新井です。
メタル・フリー治療とは、歯科治療時に、審美性が高く、金属アレルギーのリスクがないセラミックなどの素材で治療を行うことです。
「笑ったときに見える銀歯が気になる」
「そろそろ口元もきれいに整えたい」
「将来のために、できるだけ身体に優しい治療を選びたい」
そんなお悩みや願いをお持ちの方に、注目されています。
銀歯のリスクとデメリット
歯医者で、大きな虫歯の治療をした時・・・奥歯には当たり前のように銀歯が選ばれてきました。
しかし、銀歯には、見落とされがちなデメリットもあるのです。
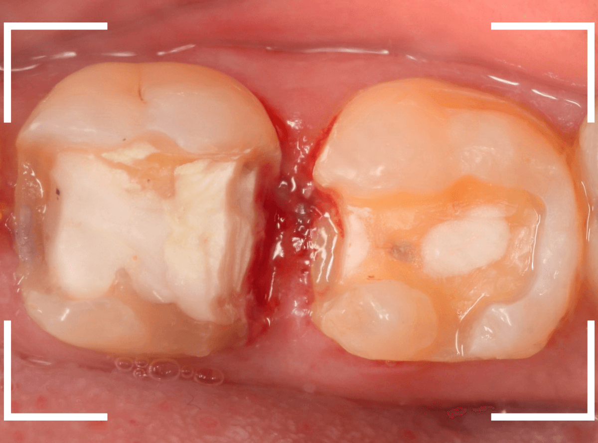
虫歯の再発リスクが高い
銀歯は時間とともに歯との接着部分にすき間が生じやすく、その部分から細菌が入り込んで“二次う蝕(再発虫歯)”になるケースが非常に多いのです。
金属アレルギーの可能性
長年、口の中で銀歯が唾液に触れ続けると、金属イオンが溶け出すことがあります。
それが原因で、皮膚炎・湿疹・原因不明の体調不良などを引き起こすこともあります。
40代以降はホルモンバランスが変わることで体質も変化し、突然アレルギーが出る事もあります。
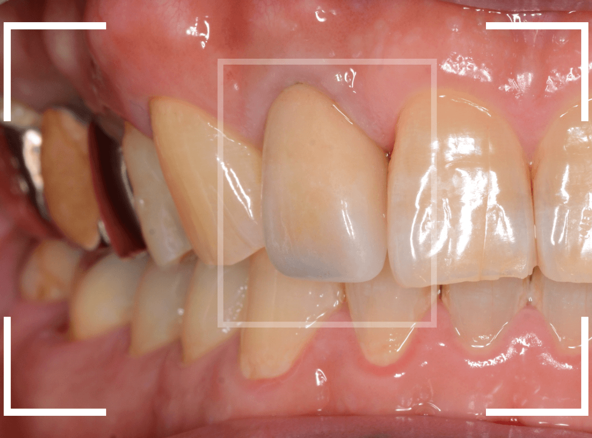
見た目の印象が老けて見える
笑ったときや会話中に見える銀歯は、無意識のうちに清潔感や若々しさの印象を損なうことがあります。
特に口元の美しさを大切にしたい40代女性にとって、口元の色調バランスはとても大事です。
メタル・フリー治療のメリット
健康的で長持ちする素材
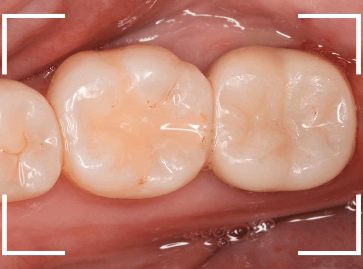
セラミックはプラーク(歯垢)が付きにくく、衛生的で治療した歯やその周囲の歯の虫歯や歯周病の再発リスクも低いのが特徴です。
再治療のリスクを抑え、歯の寿命を延ばすという点を考慮すればコストパフォーマンスが高い治療といえます。
自然な見た目で口元に自信が持てる
セラミックは天然の歯に近い色・透明感・質感を再現できる素材です。
丁寧に調整して製作したセラミックは、「白すぎて浮く」こともなく、周囲の歯に溶け込むように仕上がるため、「銀歯から変えたら笑顔が増えた」「写真が気にならなくなった」という感想をいただく事が多いです。
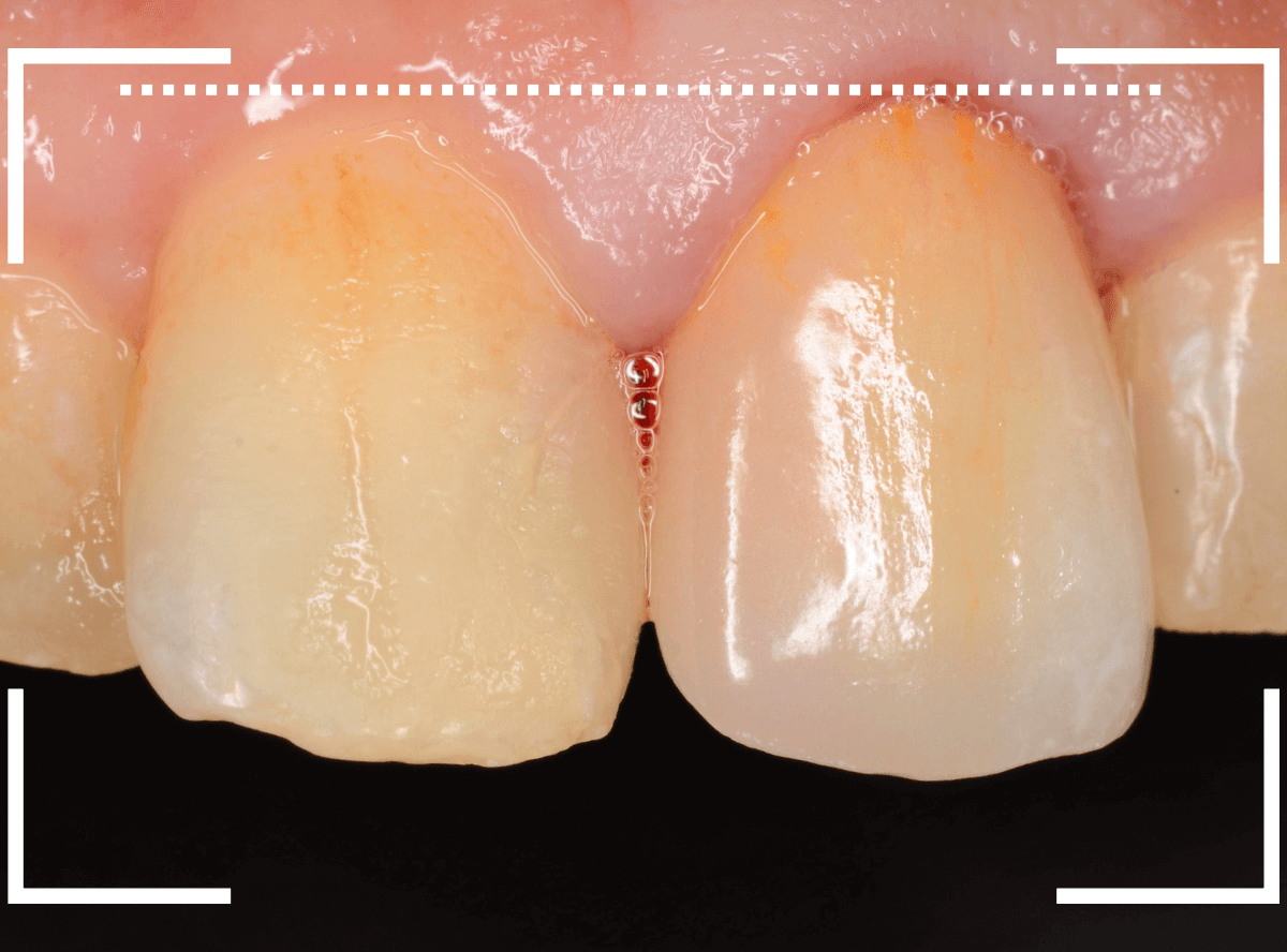
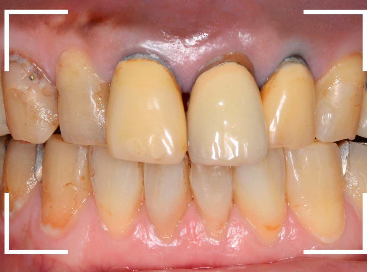
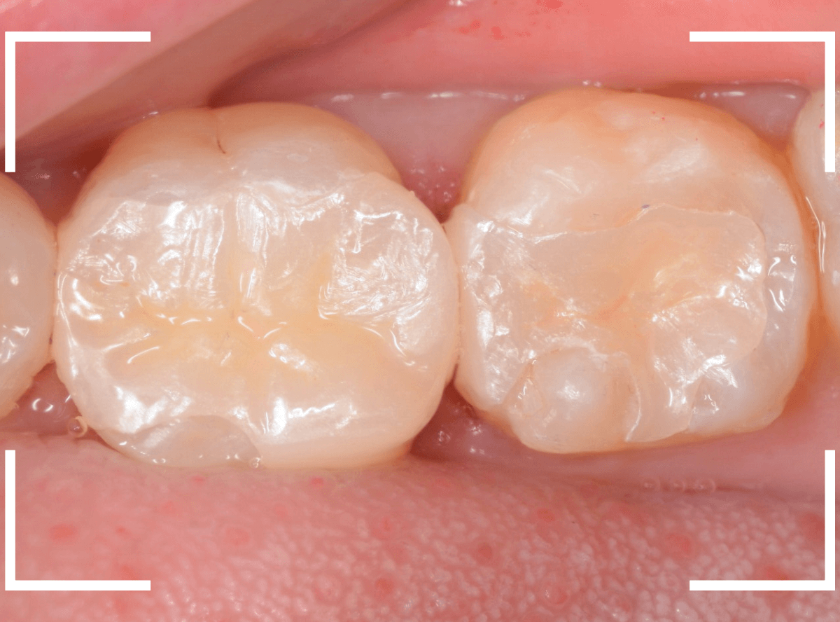
Case.22 <動画編> 奥歯のメタル・クラウンをジルコニアにやり替え
今回は、深い虫歯が進行してしまったさし歯をセラミックで治療し直したケースを動画でご紹介します。
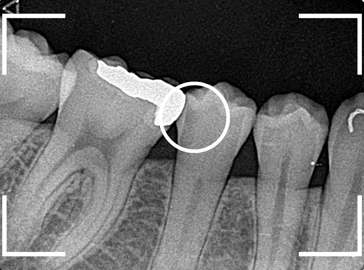
検査をすると、さし歯の周りの歯肉から出血が多いため、レントゲン写真で確認すると、さし歯の中で虫歯が進行していると診断されました。
神経を取っているさし歯の中の虫歯は、レントゲン写真でも正確にはわからず痛みもないため、さし歯をはずしてみないと、どれくらい進行しているかははっきりわかりません。
虫歯と診断されたさし歯の中は一体どうなっているのでしょうか?
| 治療回数 | 11回 |
| 治療期間 | 約3ヶ月 |
| 費用 |
ジルコニア・セラミック |
| メリット | 審美性が高い 清掃性が高く虫歯や歯周病が進行しづらい |
| デメリット | 保険外診療のため、費用が高い |
Case.21 奥歯のメタル・クラウンをジルコニアにやり替え

「上の奥歯の銀歯を白くやり替えたい」というご希望の患者さんです。
検査の結果、再製に問題なさそうでしたので、ジルコニア・クラウンで再製作する治療を進める事になりました。

メタル・クラウンを外すと、奥の歯の虫歯が見つかりました。
奥歯はおやしらずなので、抜歯も選択肢になるのですが、特にご希望されなかったため、一緒に虫歯の治療をすることになりました。

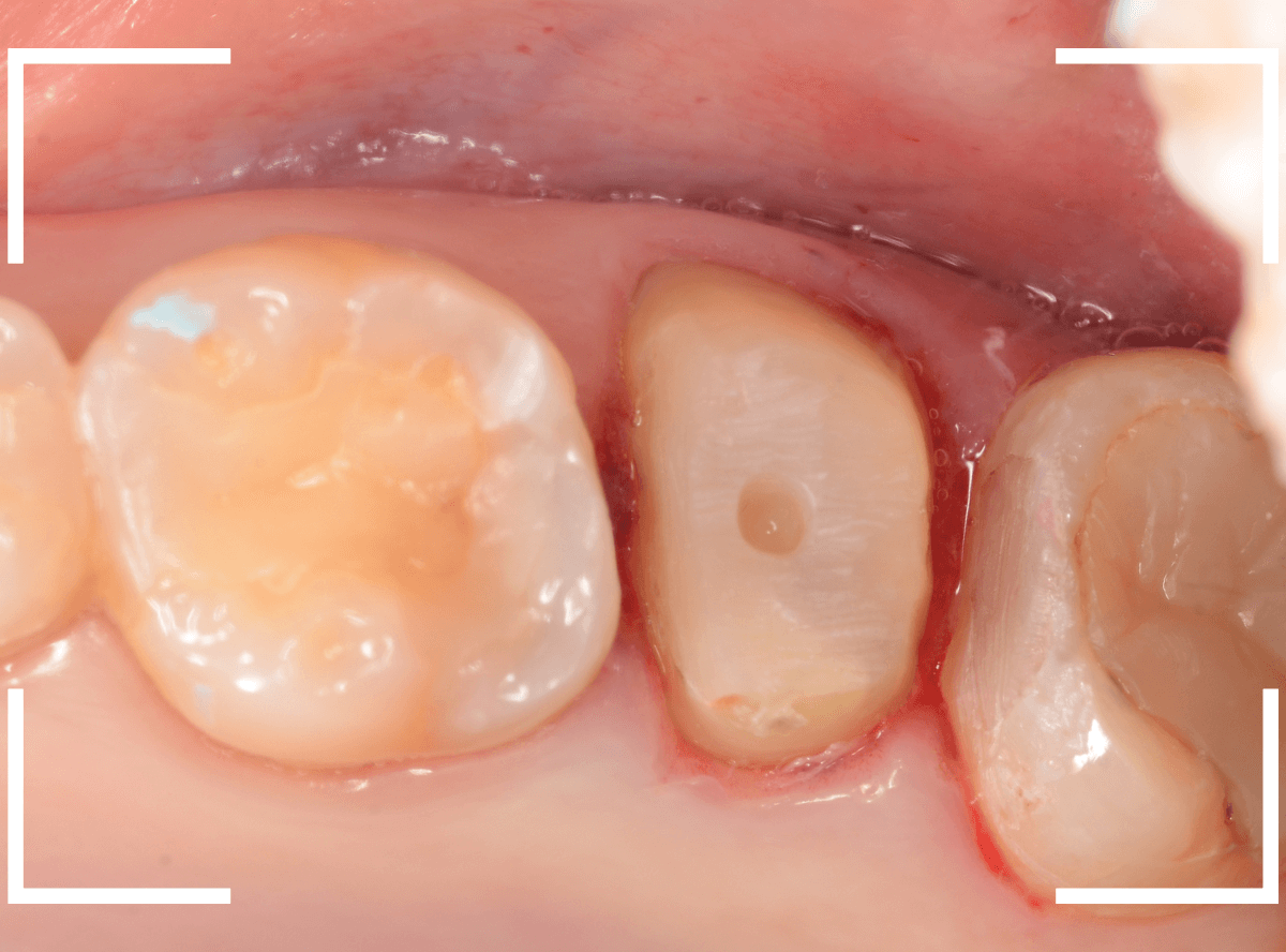
さし歯の土台の補修と、おやしらずの虫歯の処置をしたところです。
この状態で型をとります。

模型上で精密に製作します。


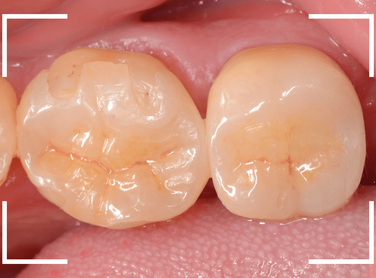
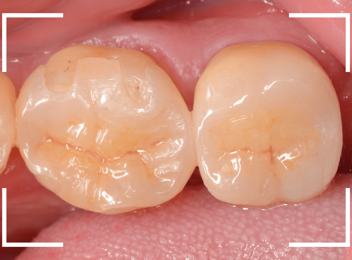
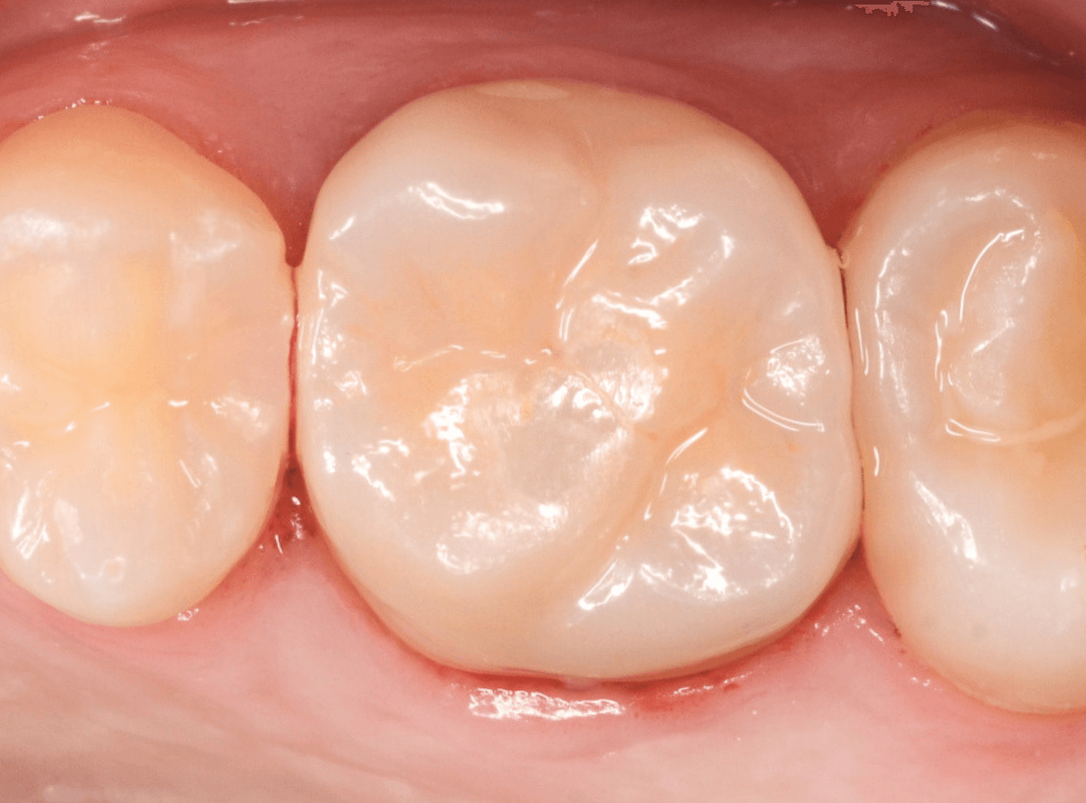
set後の写真です。
患者さんにも満足していただける仕上がりになりました。
| 治療回数 | 2回 |
| 治療期間 | 2週間 |
| 費用 | オールジルコニア・クラウン (100,000円) |
(2025年3月)


治療前後の比較写真になります。
ここまでこのブログを読んでいただいた、歯の治療に関心の高いあなたのご来院、お待ちしています。
https://kp-dental.com/Reservation
今後ともよろしくお願いします。
Case.20 メタル・インレーとメタル・クラウンをジルコニアにやり替え

「下の奥歯の銀歯を白くしたい」というご希望の患者さんです。
メタル・インレーとメタル・クラウンが入っていますね。
検査の結果、再製に問題なさそうでしたので、治療を進める事になりました。

まずは、奥のメタル・クラウンを外します。
メタル・コアが入っていますが、こちらも慎重に外して、中を調べていきます。

レントゲン写真では問題なさそうでしたが、メタルコアを除去すると、中は真っ黒でした。
このように、コアの中で虫歯が進行している場合もありますので、さし歯をやり直す際は、出来る限りコアも外して調べるようにしています。

虫歯を全て除去しました。
幸い、あまり多く削る事なく進められたので良かったです。

手前の歯のつめ物も外します。
こちらもお薬が入っていますが、外して中を調べます。

こちらは中も問題なかったです。

奥歯は歯に優しいファイバー・コアで再製し、型取りします。

模型上で精密に製作します。


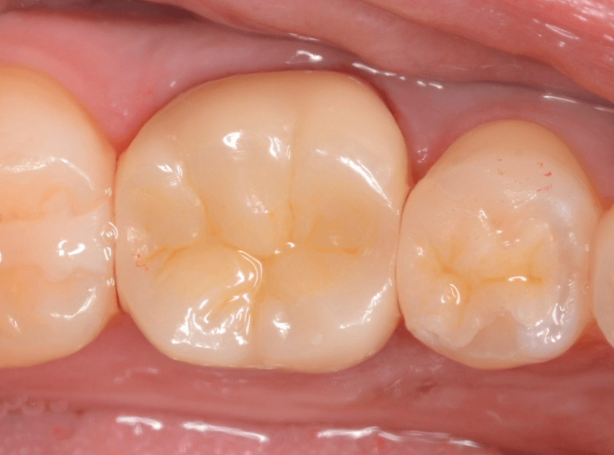
set後の写真です。
患者さんにも満足していただける仕上がりになりました。
| 治療回数 | 3回 |
| 治療期間 | 3週間 |
| 費用 |
ジルコニア・インレー |
(2024年11月)


治療前後の写真になります。
やはり、印象が大きく変わりますね。
ここまでこのブログを読んでいただいた、歯の治療に関心の高いあなたのご来院、お待ちしています。
https://kp-dental.com/Reservation
今後ともよろしくお願いします。
Case.19 メタル・クラウン、除去・再治療後、オール・ジルコニア・クラウンへ 4

今回は、上の奥歯の銀歯(メタル・クラウン)の中で虫歯になってしまった方です。
通常は、さし歯の中が虫歯になってしまうと、レントゲンにも写らず見つけづらいのですが・・・。

歯を裏側から見たところです。
幸い、見える部分に虫歯が
さし歯と歯肉の間に虫歯ができているのがわかります。
歯の奥まで虫歯が進んでいるのか、浅い虫歯ですんでいるのかは治療をしながら調べていく必要があります。

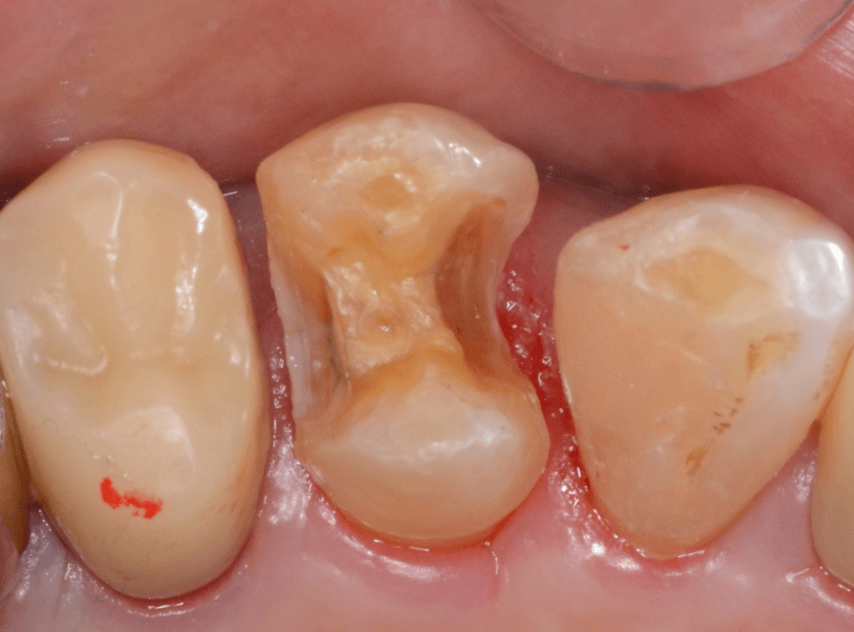
さし歯を外すと、金属の土台(メタル・コア)が出てきました。

慎重に土台を外して、中を調べます。
赤く染色されている部分が虫歯の残っているです。

慎重に虫歯を除去して、土台の型を取ります。

新たに、ファイバー・コアを製作し、setします。
今回は、オール・ジルコニアでの治療を希望されましたので、最終の型を取ります。

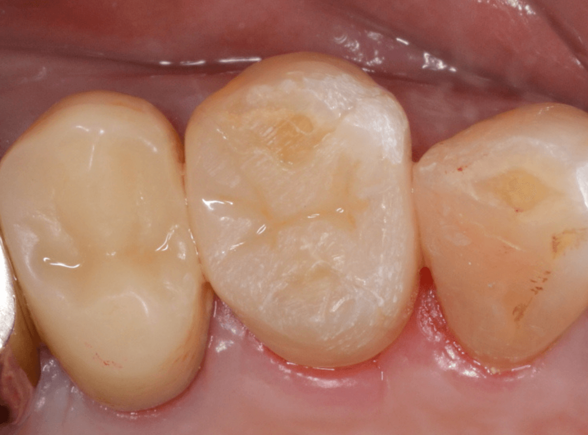
模型上で精密に製作します。



最終setした状態と、治療前後の比較です。
やはり、みえづらい奥歯でも、白い歯がいいです
ね。
| 治療回数 | 3回 |
| 治療期間 | 3週間 |
| 費用 | オール・ジルコニア・クラウン (100,000円) +保険治療費用(虫歯治療など) |
(2024年9月)
ここまでこのブログを読んでいただいた、歯の治療に関心の高いあなたのご来院、お待ちしています。
https://kp-dental.com/Reservation
今後ともよろしくお願いします。
Case.18 メタル・クラウン、インレーを除去・再治療後、セラミック治療へ

「金属のさし歯、つめ物(メタル・クラウン、インレー)をセラミックにしたい」という希望の患者さんです。
予算の都合から、今回は手前の2本をセラミックにしたいそうです。

レントゲン写真から、特に虫歯などは問題なさそうでしたので、まず奥のさし歯を外すところから治療開始します。

さし歯の中の土台がやや劣化していましたので、再製作します。

手前のつめ物も外して、型取りをします。

模型上で精密に製作します。


最終setの状態です。
患者さんにも、「奇麗になった」と喜んで頂けました。
| 治療回数 | 3回 |
| 治療期間 | 3週間 |
| 費用 | オール・ジルコニア・クラウン (100,000円) E-MAX・インレー (50,000円) |
(2024年8月)


ビフォー・アフターです。
いずれ、奥歯もセラミックでやり直したいそうです。
ここまでこのブログを読んでいただいた、歯の治療に関心の高いあなたのご来院、お待ちしています。
https://kp-dental.com/Reservation
今後ともよろしくお願いします。
Case.17 虫歯治療後、オール・ジルコニア・クラウンとE-MAXで修復

今回は、奥歯が神経に達する虫歯になってしまった患者さんのケースです。
隣りの歯とのすき間に大きな穴が空いているのが見えます。

レントゲン写真で確認します。
金属のつめものの下が、神経まで達する大きな虫歯になっています。
麻酔をして神経の治療をします。

さて、神経の治療が終わり、歯の土台を作ったところで、手前の歯の側面にも虫歯が見つかり、治療を始めました。

手前の歯の虫歯も金属の中まで虫歯になっていました。

手前の歯の虫歯もかなり広い虫歯でした。
ここで、両歯とも白い歯の治療を希望されましたので、E-MAXインレー、オールジルコニアクラウンで治療する事になりました。

つめもの、さし歯を製作するために歯の形をトリミングします。



模型上で精密に製作し、お口の中でsetします。
違和感なく、お口の中に合わせられたかと思います。
患者さんにも、満足いただけました。
| 治療回数 | 7回 |
| 治療期間 | 約2ヶ月(神経の治療などを含めて) |
| 費用 | E-MAX・インレー(50,000円) オール・ジルコニア・クラウン(100,000円) +保険治療費用 (虫歯の治療費用・神経の治療費用など) |
(2024年8月)


ビフォー・アフターになります。
比べると、白い歯の良さがわかりますね。
ここまでこのブログを読んでいただいた、歯の治療に関心の高いあなたのご来院、お待ちしています。
https://kp-dental.com/Reservation
今後ともよろしくお願いします。
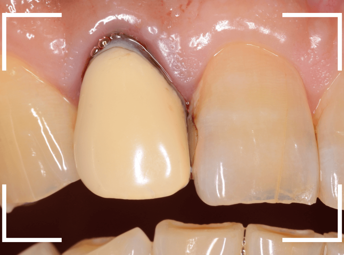
Case.16 保険のさし歯(レジン前装冠)をジルコニア・セラミックへ


以前に治療した上のさし歯を綺麗にやり直したいというご相談の患者さんです。
保険診療で行うさし歯「レジン前装冠」が入っています。
「レジン前装冠」は裏から撮影した写真を見ていただければわかるように、銀歯の上にレジン(プラスチック)を盛ったさし歯で、実質的には銀歯です。
銀歯の上にプラスチックを盛るために、歯をかなり大きく削る必要があったり、短期間で劣化・変色する(この方の差し歯も劣化してのっぺりした黄土色になっています)、金属の色素が歯肉に溶け出して歯肉が黒くなる(メタル・タトゥー)などのデメリットがあります。

さて、この方の歯の形を確認すると、左右でかなり歯の長さに差があります。
お聞きすると、「若干、そこも気になっていたので、一緒に治療できるならお願いしたい」との事でした。
治療をするためには、歯肉の形をトリミングするなどの若干の外科処置が必要です。
多少の痛みを伴いますが「頑張ります!」との事でしたので、そこも含めて治療する事になりました。

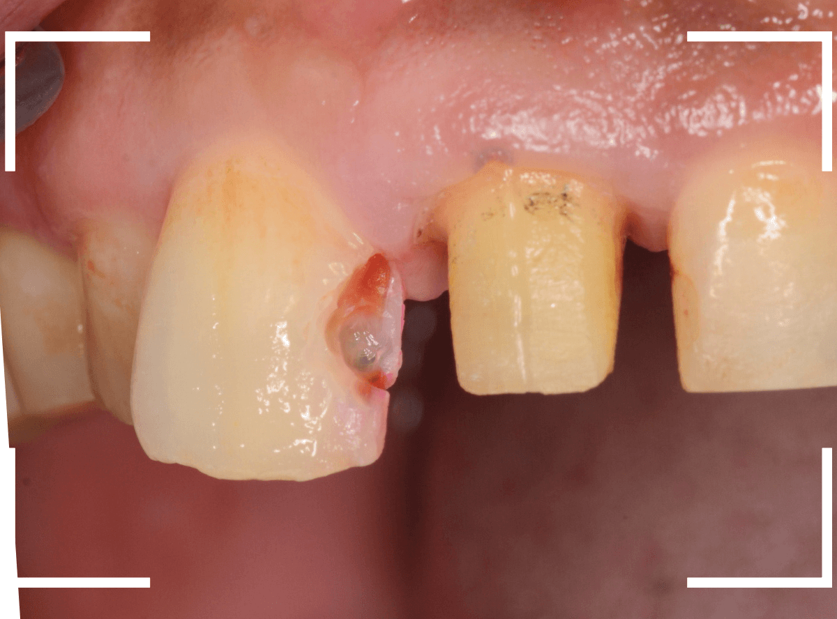
治療のためにさし歯を外すと、隣の歯のレジンの隙間に小さな虫歯が見つかりました。
これはさし歯を外した時あるあるなのですが、一緒に治療をします。



治療をすると、中まで入り込んだ虫歯でしたので、レジンを全て外して治療をし直します。

次に、隣の歯との高さに揃えるために、歯肉をメスで切開して、そこに合わせて歯の形を形成しなおします。
この形に合わせた仮歯を製作し、歯肉が落ち着くまでしばらく経過観察します。

痛みが引き、歯肉の形が整ってきたところで、型をとってさし歯を製作します。
今回は、ジルコニア・セラミックで製作する事になりました。


模型上で精密に制作します。
ジルコニア・セラミックは歯の内側や見えない部分にも一切金属を使用しないさし歯ですので、治療後の金属色で悩むこともありませんので、オススメです。


お口の中でsetしたところです。


お口の中に入った状態のビフォーアフターです。
見た目の印象も大きく変わったかと思います。
また、以前のさし歯に比べて、舌触りがとてもよくなったとの感想もいただきました。
恥ずかしながら、私自身もセラミックのさし歯をいれていますが、同じ感想でした。
舌触りが滑らか=汚れがたまりづらく、虫歯や歯周病になりづらい、という健康上のメリットも大きいです。
お口の中の銀歯が気になっている方、この機会にやり替えも検討してはいかがでしょうか。
| 治療回数 | 3回 |
| 治療期間 |
約一ヶ月 |
| 費用 | ジルコニア・セラミック (120,000円) +保険治療費用 (虫歯の治療など) |
(2024年7月)
ここまでこのブログを読んでいただいた、歯の治療に関心の高いあなたのご来院、お待ちしています。
https://kp-dental.com/Reservation
今後ともよろしくお願いします。
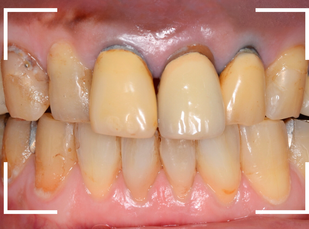
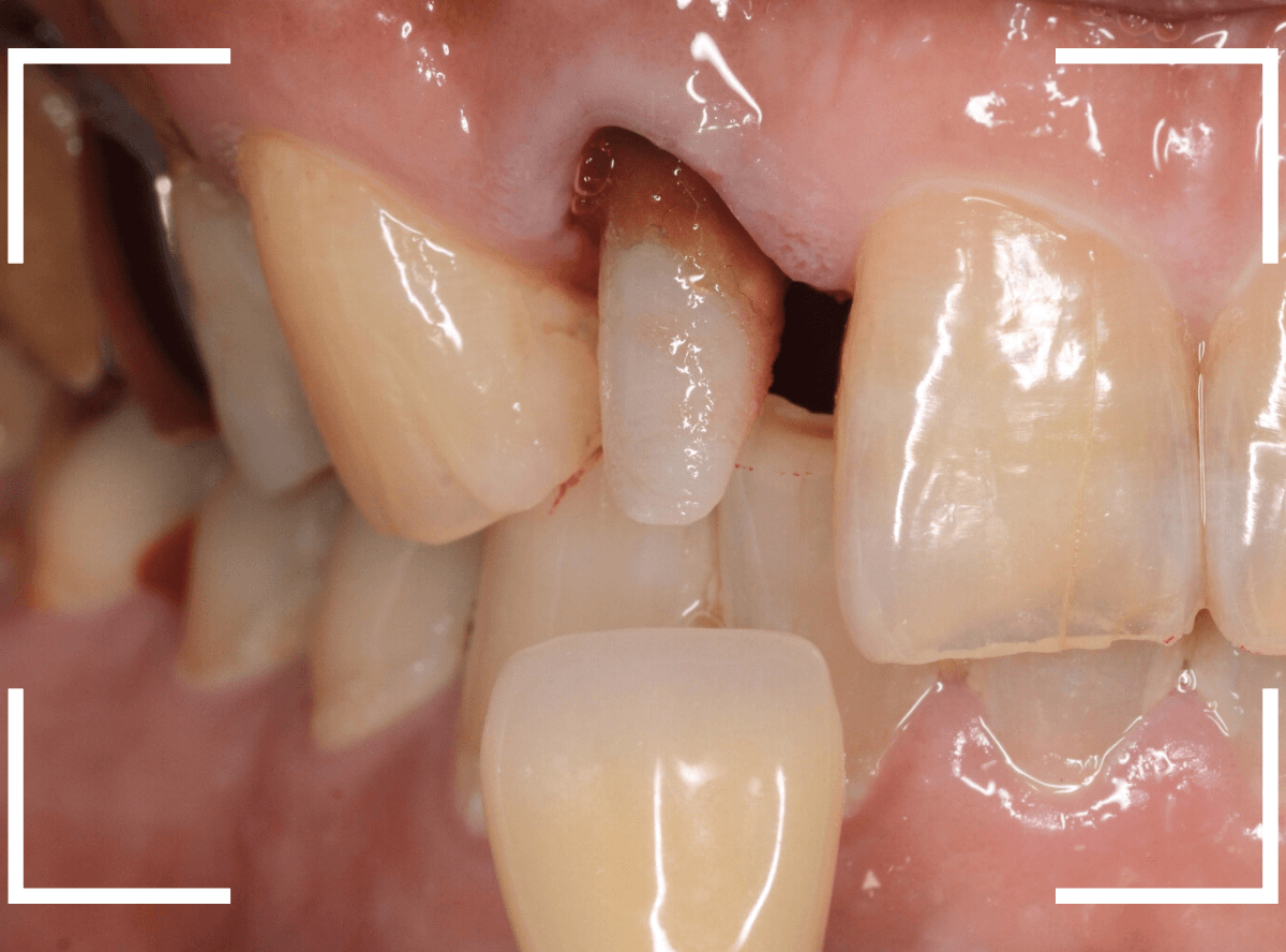
Case.15 上の前歯5本を一度にジルコニア・セラミックで治療したケース

今回は、前歯のさし歯が古くなったので、セラミックで綺麗にしたいというご希望の患者さんです。

患者さんのご希望は白い〇部分の3本でしたが、レントゲン検査をすると隣の2本も虫歯があり、一緒に治療をする事になりました。
左側の2本は虫歯を除去してみないと最終的にどのようにお治しするか何とも言えない状況でしたので、同時に治療しながら最終的な仕上げはご相談、となりました。

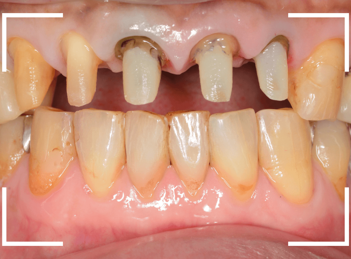
まず、前歯のさし歯を外します。
神経を取っている歯(無髄歯)ですので、痛みはありませんが、前後の2本は虫歯になっています。
これら、歯全体を覆うさし歯の中の虫歯はレントゲン写真でも写ってこないため、治療前に正確な判断ができません。
さし歯を外す時は、いつも想定外の虫歯などがないかどきどきします(><)

隣の歯の虫歯も顔を覗かせています。

虫歯を除去後に、裏側から撮影したところです。
思っていた以上に神経ギリギリ、歯全体に渡る大きな虫歯でした。
そのとなりの〇部の歯も同じように広くレジンをつめる治療をしてある中が大きな虫歯になっていました。

結局、5本ともさし歯で治療する必要がありましたので、審美性の高い、ジルコニア・セラミックで治療する事になりました。
手前の3本のメタル・コアも審美性の高いファイバー・コアに入れ替えて、全体の形態をトリミングします。

今回のように、本数が多い時、精密性が求められる時などは、いきなり仕上げをせずに、ジルコニアのフレームにワックスを盛った状態で、お口の中に試適してフレームの適合や患者さんに歯の外形のチェックなどをしてもらいます。

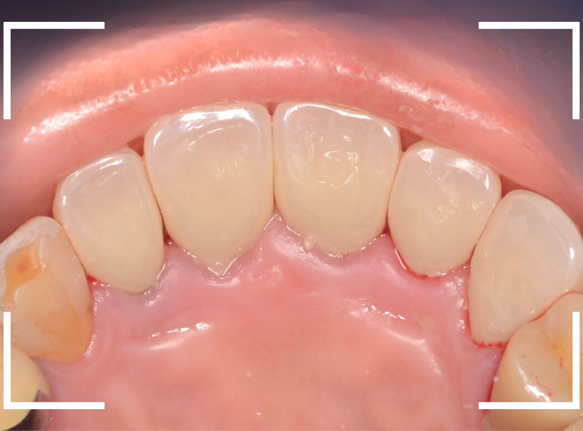
試適で患者さんにも確認がとれましたので、表面をセラミックで最終仕上げをします。


微調整をして最終setをしました。
患者さんにも満足していただける仕上がりになりました。
今回はこちらでは割愛したメタル・コアの除去に時間がかかっている事や仮歯の製作・調整などがあり、回数と期間のかかる治療になりました。
本数の多いセラミック治療は治療・調整箇所などが多くなりますので、治療回数と期間に余裕をいただいています。
長く使っていただける仕上がりにしたいですから。。。


治療前後の写真です。
やはり、上の前歯は大きく印象が変わりますね。
| 治療回数 | 8回 |
| 治療期間 | 3ヶ月 |
| 費用 |
ジルコニア・セラミック |
(2024年4月)
ここまでこのブログを読んでいただいた、歯の治療に関心の高いあなたのご来院、お待ちしています。
https://kp-dental.com/Reservation
今後ともよろしくお願いします。
Case.14 劣化した保険治療のさし歯(レジン前装冠)をジルコニア・セラミックへ

上の前歯を綺麗にやり直したい、という希望の患者さんです。
拝見すると、古くなった保険診療でのレジン前装冠が入っていました。
色も劣化して全体にのっぺりした感じになってしまっています。
審美性の高い、ジルコニアセラミックでのやり直しをご提案し、患者さんも選択されました。

まず、レジン前装冠を除去します。
すると、前後の歯に虫歯が見つかりましたので、先に治療する事になりました。


前後の虫歯を除去しました。手前の歯はそこそこ虫歯になっていました。

前後の歯をレジンで綺麗に治療しました。
(こちらの治療については、保険治療で対応しています)
さて、せっかくメタルフリーのジルコニアセラミックで治療しても、内面に金属を使っていては、効果半減です。
メタルコアを除去して、ファイバーコアに置き換えます。

こちらが、メタルコアを除去して作成したファイバーコアです。
メタルコアに比べて審美性が高いだけでなく、歯に対する負担も少ないと言われています♪

ファイバーコアを口腔内にsetし、全体を綺麗にトリミングします。

患者さんとご相談して、最終の色調を決めます。



模型上で精密に製作します。


最終setしたところです。
前後の歯との色調も調和出来たかと思います。
患者さんにも喜んでいただけまして、ホッとしました。


治療前との比較です。
印象が大きく変わったかと思います。
このように、一本の歯ですが、高い審美性と精密性を求める治療には、どうしても手間、労力がかかります。
ここには登場しませんでしたが、クリニックで作製した型を元に、技工士さんというさし歯を作る経験豊富なテクニシャンが高価な機材を駆使した技術もこの一本の歯にこめられています。
前歯はお口の中でも特に印象に関わるところです。
セラミック治療は保険診療に比べて高額ですが、虫歯や歯周病になりづらい、という健康上のメリットもあります。
皆さんが歯の治療を受ける際の良い参考になれば幸いです。
| 治療回数 | 3回 |
| 治療期間 | 3週間 |
| 費用 | ジルコニア・セラミック (120,000円) +保険治療費用(前後の虫歯治療など) |
(2024年4月)
ここまでこのブログを読んでいただいた、歯の治療に関心の高いあなたのご来院、お待ちしています。
https://kp-dental.com/Reservation
今後ともよろしくお願いします。
Case.13 メタル・クラウンを除去・再治療後、オール・ジルコニア・クラウンへ 3

「古くなった銀歯を白くしたい」というご希望の患者さんです。
たしかに、冠が少し傷ついたり、すり減ったりしてる感じもありますね。
審美性も清掃性も高い、ジルコニア・クラウンで作り直す事になりました。

銀歯(メタル・クラウン)を外すと、大きめの歯の土台、メタル・コアが入っていました。
このままジルコニア・クラウンで作り直す事もできますが、一旦メタル・コアを除去して、土台から作り直す事にします。

歯を傷つけないように、時間をかけて慎重にコアを削り取ります。
歯の根の部分にもコアが入っています。
ここまできたら、全て除去して綺麗にしたいですね。

無事にメタル・コアを全て除去し、歯の内面を綺麗にできました。
型どりをして、審美性と整体親和性の高いファイバー・コアで再製作します。

模型上で、ファイバーコアをしっかり製作します。

お口の中でset後、最終の型どりをします。



模型上で(オール)ジルコニア・クラウンを製作し、お口の中で最終setしました。
側面から見ても、自然な仕上がりになったかと思います。

治療前後の比較です。
(オール)ジルコニア・クラウンに変えて、舌触りも滑らかになったとおっしゃっていました。
| 治療回数 | 3回 |
| 治療期間 | 3週間 |
| 費用 |
オール・ジルコニア |
(2024年3月)
ここまでこのブログを読んでいただいた、歯の治療に関心の高いあなたのご来院、お待ちしています。
https://kp-dental.com/Reservation
今後ともよろしくお願いします。
Case.12 銀歯を再治療、白い歯へ

定期メンテナンスに受診中の患者さんです。
奥歯の銀歯が気になるので、セラミックに変えたいとのご希望でした。
最近は、つめものだけでなくさし歯のやり替えの希望も増えていますね。
こちらは、(オール)ジルコニアクラウンでの治療を進める事になりました。

まずは、金属冠を外します。
中はメタルコアになっていました。
特に虫歯などにはなっていなさそうですが、今回はメタルコアを外して、生体親和性の高いファイバーコアにやり換える処置をしました。

メタルコアを外したところです。
大き目のメタルコアでしたので、外すのに苦労しましたが、安全に外すことができましたので、型どりをしました。

一緒に、手前の歯の小さな虫歯も一緒に治療します。

後日、ファイバーコアをsetし、ジルコニアのための型どりをします。


模型上で(オール)ジルコニアクラウンを製作し、お口の中でsetしました。
今回も、手前の歯と違和感なく仕上げられたかと思います。


治療前後の比較です。
患者さんにも、印象が変わったとおっしゃっていただきました。
| 治療回数 | 3回 |
| 治療期間 | 3週間 |
| 費用 | オール・ジルコニア (100,000円) +保険治療費用 |
(2024年3月)
ここまでこのブログを読んでいただいた、歯の治療に関心の高いあなたのご来院、お待ちしています。
https://kp-dental.com/Reservation
今後ともよろしくお願いします。
Case.11 メタル・インレー下の虫歯の治療後、ジルコニア・インレーへ

今回は、金属のつめもの(メタル・インレー)の下が虫歯になってしまった方をジルコニア・インレーで治療し直したケースです。

レントゲン写真で確認します。
金属の中と、隣の歯も虫歯になっているのがわかります。

金属を外して、中を確認します。
こういった場合は、下敷きになっているセメントの下も虫歯になっている事が多いので、セメントを全て外して虫歯になってないか、調べます。

う蝕検知液で確認しながら、虫歯を除去します。
このセメントは神経に近い所まで埋まっていますので、削りすぎないように慎重に除去します。

全ての虫歯を除去する事ができました。

しばらく経過観察した後、特に症状もありませんでしたので、歯をトリミングして、型を取ります。

模型上で精密に制作します。


お口の中でsetしたところです。
| 治療回数 | 3回 |
| 治療期間 | 3週間 |
| 費用 | ジルコニア・インレー (70,000円) +保険治療費用(虫歯除去など) |
(2024年3月)


治療前後の比較です。
比べてみると、白い歯の良さがわかると思います。
患者さんにも、喜んでいただき、いつもながらほっとしました。
ここまでこのブログを読んでいただいた、歯の治療に関心の高いあなたのご来院、お待ちしています。
https://kp-dental.com/Reservation
今後ともよろしくお願いします。
Case.10 虫歯治療と審美修復

今回は、メタルインレーの手前の歯が虫歯になってしまった患者さんのケースです。
「虫歯の治療の際に、後ろのメタルインレーも白くしたい」とのご希望で、一緒に治療する事になりました。

レントゲン写真で確認します。
メタル・インレーの中は問題なさそうです。

まず、メタル・インレーを除去します。
やはりメタル・インレーの中は問題なさそうですね。

手前の虫歯を除去したところです。
両歯とも、白い歯を希望されましたので、手前をE-MAXインレー、奥歯をジルコニア・インレーで治療する事になりました。

両歯とも、つめものがしっかり入るように形を整えます。

模型上で精密に製作します。

set後の写真です。
両歯とも、遜色なく、仕上がったかと思います。


治療前後の比較写真です。
やはり、白い歯の方が見栄えは段違いに良いですね!
| 治療回数 | 2回 |
| 治療期間 | 2週間 |
| 費用 |
E-MAX・インレー |
(2024年3月)
ここまでこのブログを読んでいただいた、歯の治療に関心の高いあなたのご来院、お待ちしています。
https://kp-dental.com/Reservation
今後ともよろしくお願いします。
Case.9 メタル・インレー除去・虫歯治療後に、セラミック・インレーにやり替えたケース

虫歯の治療の際に、金属を白くする治療も希望された方です。
外目からも歯のお尻の部分や金属の脇の部分に虫歯が確認できます。

まず、手前の歯の虫歯を除去したところです。
幸い、金属の中で大きな虫歯にはなっていませんでした。

奥の歯の虫歯を除去したところです。
こちらも、金属の中で大きく虫歯が進行している事はありませんでした。

特に虫歯を除去したあとの症状もありませんでしたので、形を整えて型をお取りします。
今回は、手前の歯をE-MAX、奥の歯をジルコニアでお直しする事になりました。


模型上でしっかりお作りして、setしました。
色調再現性の面ではE-MAXに劣るジルコニアですが、遜色なく合わせられたかと思います。

治療前後の写真です。
比べてみると、印象が全然違うかと思います。
| 治療回数 | 4回 |
| 治療期間 | 3週間 |
| 費用 | ジルコニア・インレー (70,000円) E-MAX・インレー (50,000円) +保険治療費用 |
(2024年3月)
ここまでこのブログを読んでいただいた、歯の治療に関心の高いあなたのご来院、お待ちしています。
https://kp-dental.com/Reservation
今後ともよろしくお願いします。
Case.8 メタル・クラウンを除去・再治療後、オール・ジルコニアクラウンへ 2

「奥歯の銀歯を白くしたい」というご希望の患者さんです。
失活歯(神経を除去している歯)で、レントゲン写真上では特に作り直しに問題はなさそうですが、銀歯の中は開けてみないと本当の事はわからないですので、「銀歯を外したら虫歯があるかもしれない」という前提をお話の上での(オール)ジルコニア・クラウンでの治療開始となりました。

銀歯を外し、金属の土台(メタルコア)が出てきたところです。
この時点で特に虫歯などはなさそうですが、この写真の角度からはわからないですが、手前の歯に虫歯が見つかりました。

メタルコアを外して虫歯がないかを確認しつつ、手前の歯の詰め物を外し、虫歯の治療も並行して進めます。
意外と虫歯が進行していました。
このように、さし歯を外した際、隣の歯に虫歯が見つかる事もよくあります。

手前の歯をレジンで修復しつつ、奥歯をファイバーコアで再生するための型を取ります。

ファイバーコアset後、色合わせや型どりをします。


模型上でしっかりと製作し、お口の中にうまく合わせる事が出来ました!
| 治療回数 | 3回 |
| 治療期間 | 3週間 |
| 費用 | オール・ジルコニア (100,000円) +保険治療費用 |
(2024年2月)
ここまでこのブログを読んでいただいた、歯の治療に関心の高いあなたのご来院、お待ちしています。
https://kp-dental.com/Reservation
今後ともよろしくお願いします。
Case.7 メタル・クラウンを除去・再治療後、オール・ジルコニアクラウンへ

こちらも、他の歯の治療で来院された患者さんですが、一緒に古い銀歯を白くしたいというご希望をされました。
前歯ほどの審美性は求めないという事でしたので、(オール)ジルコニア・クラウンで治療することとなりました。

新しい歯に作り変えるために、さし歯を外すと歯の端が欠けてきて、若干の冷汗が出ました。
中が虫歯になっているのでしょうか。
さし歯の中の状態はレントゲン写真を撮っても写ってこずブラックボックスな部分があるので、毎回、神経を使います。

土台を外して、中を調べましたが、幸い、大きな虫歯などはありませんでした。
手前の歯はその場で土台(コア)をお作りしましたが、奥歯は念のため型どりをして、ファイバーコアをお作りする事にしました。

型どりして製作した模型上で、ファイバーコアを製作します。

製作したコアを歯にsetして、最終型どりをします。

模型上でしっかり製作します。

最終setの状態です。
無事に、ほとんど調整する事なく、お口の中で合わせる事ができました!

側面からの見た目です。
側面から見ても、周りの歯と自然な仕上がりにできたかと思います。
患者さんにも、満足いただけてホッとしました。

治療前後の比較です。
比べると、見た目の印象が大きく変わったのがわかるかと思います。
|
治療回数 |
3回 |
| 治療期間 | 3週間 |
| 費用 | オール・ジルコニアx2 (100,000円)x2 |
(2024年2月)
ここまでこのブログを読んでいただいた、歯の治療に関心の高いあなたのご来院、お待ちしています。
https://kp-dental.com/Reservation
今後ともよろしくお願いします。
Case.6 メタル・インレーを除去、オール・ジルコニア・クラウンへ

他の歯の治療後に、奥歯の金属のつめものをセラミックで白くやり直す治療をご希望された患者さんの症例です。

麻酔をして、金属のつめ物を外しました。
幸い、金属の下にほとんど虫歯はありませんでした。

今回は、歯の外形(エナメル質)部分が少なく、かみ合わせなどを含め検討した結果、つめ物(インレー)で作り直すよりも、歯の削除量は増えますが、歯全体を覆うさし歯(クラウン)で作り直した方が、トラブル少なく長持ちするだろうという判断で、ジルコニア・クラウンでお直しする事になりました。

さし歯にするために、歯全体を慎重に削って型をとります。
今回は、神経のある歯なので、歯の削除量には特に気を使うところです。

模型上で精密に作製します。

最終日、削った歯は特に痛みやしみたりといった症状もなく、ほっとしたところでさし歯をセットしました。
ほとんど調整の必要もなく、うまく合わせられたかと思います。

治療前後の比較です。
周りの歯との明るさの調整が難しいジルコニアクラウンですが、患者さんにも納得いただける仕上がりになりました。
| 治療回数 |
2回 |
| 治療期間 | 2週間 |
| 費用 | オール・ジルコニア (100,000円) |
(2024年2月)
ここまでこのブログを読んでいただいた、歯の治療に関心の高いあなたのご来院、お待ちしています。
https://kp-dental.com/Reservation
今後ともよろしくお願いします。
Case.5 メタル・インレーを再治療後、オール・ジルコニア・クラウンへ

銀歯2本を「白くて良い素材で作り直したい」という希望で来院された患者さんです。
奥歯(大臼歯)は神経を除去済みの歯でしたので、ジルコニアクラウン、手前の歯はE-MAXインレーで治療する事になりました。

奥歯のつめ物をはずしたところです。
レントゲンでは特に問題なさそうでしたが、つめ物の下の土台としているレジンの劣化がみられました。
この感じですと、虫歯もあるかもしれませんね。

劣化したレジンを少し削ってみると、やはり虫歯が出てきました。
このように、つめものを外すとレントゲンでは確認できなかった虫歯が見つかる事が結構ありますね(焦ります)。

幸い、奥歯の虫歯はそれほど大きくありませんでしたので、歯の土台(コア)で補強をして、手前の銀歯も外したところです。
通常、保険外診療の際、歯の土台(コア)は別料金(20,000~30,000円くらい)にしているクリニックがほとんどですが、当院ではいただいておりませんので、総額の費用は若干安めになることが多いかと思います。

今回は、他に大きな虫歯なども見つかりませんでしたので、2回の治療で治療を問題なく終わらせる事ができました。

治療前後の比較です。
患者さんも、見た目の違いが思った以上だったようで、喜ばれていました。
| 治療回数 | 2回 |
| 治療期間 | 2週間 |
| 費用 | オール・ジルコニア (100,000円) E-MAX・インレー (50,000円) |
(2024年2月)
ここまでこのブログを読んでいただいた、歯の治療に関心の高いあなたのご来院、お待ちしています。
https://kp-dental.com/Reservation
今後ともよろしくお願いします。
Case.4 虫歯の治療後に、ジルコニア・インレーの治療をしたケース

検診目的で受診された患者さんです。
レントゲン写真上で金属のつめものの下で虫歯になっているのが見つかりました。

画像が荒いですが、隣の歯も虫歯になっているのがわかります。
金属の中については、外目からははっきりとわかりません。

金属の中は大きめの虫歯でしたが、特に症状もなく、問題なく治療を進める事が出来そうです。
今回は、しっかりした素材での治療をご希望されましたので、ジルコニア・インレーで治療することになりました。

虫歯を除去したところをお薬をつめ直して、型どりをします。

虫歯を除去したところをお薬をつめ直して、型どりをします。模型上でしっかりと作製します。

最終的な治療後の写真です。
今回も、自然な色調で治療が出来たかと思います。
| 治療回数 | 3回 |
| 治療期間 | 3週間 |
| 費用 | ジルコニア・インレー (70,000円) +保険治療費用 |
(2024年2月)
ここまでこのブログを読んでいただいた、歯の治療に関心の高いあなたのご来院、お待ちしています。
https://kp-dental.com/Reservation
今後ともよろしくお願いします。
Case.3 メタル・インレーをジルコニア・インレーにやりかえたケース

今回は、虫歯の治療の際に、手前の銀歯も白くしたいとの希望の患者さんです。

幸い、金属を外したところ、大きな虫歯など見つかりませんでしたので、若干の修正後、型どりをします。
ジルコニア・インレー(70,000円/税込)で修復することになりました。

模型上で精密に製作します。

写真ではわかりづらいですが、今回は、元々の歯の明るさが濃かったため、いつもよりも、色合わせに苦労しました(>_<)
| 治療回数 | 3回 |
| 治療期間 | 3週間 |
| 費用 | ジルコニア・インレーx2 (140,000円)x2 +保険治療費用 |
(2024年1月)
ここまでこのブログを読んでいただいた、歯の治療に関心の高いあなたのご来院、お待ちしています。
https://kp-dental.com/Reservation
今後ともよろしくお願いします。
Case.2 メタル・インレーをE-MAX・インレーにやりかえたケース 2

数年前に、他院で治療した金属のつめ物を白くしたいという患者さんのケースです。
最近は、そのような希望の患者さんが増えてきました。
今回も審美性に定評のあるE-MAXインレーで再製する事にしました。

つめ物を外しましたが、特に虫歯などなく、問題ありませんでしたので、慎重に新しいつめものの色合わせをして、再製作します。

今回も、ちょっと明るさを落とし気味にして製作しました。

セット後の写真です、いかがでしょうか。
セラミックの周りの歯との色合わせはいつも悩むところですが、セラミックは透明感が高いため、少し周りの歯よりも明るさを落としてお作りした方が、セット時に自然感が出てうまくいく気がしています。
| 治療回数 | 2回 |
| 治療期間 | 2週間 |
| 費用 | E-MAX・インレー (50,000円) |
(2023年12月)
ここまでこのブログを読んでいただいた、歯の治療に関心の高いあなたのご来院、お待ちしています。
https://kp-dental.com/Reservation
今後ともよろしくお願いします。
Case.1 メタル・インレーをE-MAX・インレーにやりかえたケース

今回は、金属のつめものを白くしたいという患者さんさんのケースです。
周囲との色調を合わせやすい、E-MAXでの治療をおすすめしました。

慎重に金属のつめ物を外したところです。
幸い、金属の中は虫歯になっていませんでしたが、手前のつめもの(レジン)が少し不適合になっているのが見つかりましたので、一緒に治療をする事になりました。

手前のレジンを修復した後に、型どりをします。

模型上で、精密に歯の形を作製します。

治療後の写真です。
患者さんに見た目を確認してもらい、満足していただけたので、ホッとしました。
| 治療回数 | 2回 |
| 治療期間 | 2週間 |
| 費用 | E-MAX・インレー (70,000円) +保険治療費用 |
(2023年11月)
ここまでこのブログを読んでいただいた、歯の治療に関心の高いあなたのご来院、お待ちしています。
https://kp-dental.com/Reservation
高円寺PAL歯科医院 :https://kp-dental.com/
〒166-0003 杉並区高円寺南4-25-4 RESTA高円寺3F
電話:03-6383-1963
電車でお越しの方:
JR線 高円寺 駅南口より 徒歩2分
