レントゲンを撮っても、診断がつきづらい虫歯の話
2025/07/24
「レントゲンでは、特に虫歯は見当たりません」
こんにちは、高円寺PAL歯科医院の新井です。
検査に行った歯科医院でそう言われた時、「ああ、やっぱり大丈夫だったんだ!」と、ホッとします。
しかし、レントゲン写真という“窓”からでは、どうしても見えにくい、あるいは捉えきれない虫歯が存在します。
ここでは、患者さんの目線で、レントゲン写真について、レントゲン写真に写りにくい虫歯の種類、その見つけ方、予防できる対策、実際の治療例をご紹介し、掘り下げていきます。
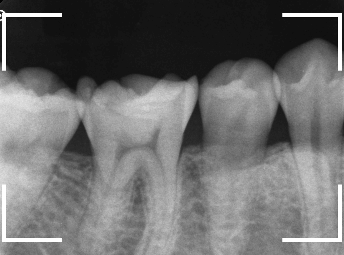
そもそも、レントゲン写真で何を見ているのか?
歯医者さんで「レントゲン撮りますね」と言われたこと、ありますよね。
でも、「あの白黒の写真でいったい何を見ているのか?」って、思わないですか?
実は、あのレントゲン写真には肉眼では見えない虫歯のヒントがたくさん隠れています。
レントゲン写真は、虫歯の診断の第一選択といえる、重要な診断材料です。
レントゲンって、どういう仕組み?
レントゲン(X線写真)は、体の中を「X線」という光でスキャンして、歯の内側や骨の様子を映す写真です。
・歯や骨のように硬いものは白っぽく写る
・虫歯や膿(うみ)など柔らかくなった部分は黒っぽく写る
この「白」と「黒」のコントラストで、我々歯科医師は、虫歯の有無や進行具合を見極めています。
レントゲンでチェックしているポイント
① 歯と歯の間に黒い影がないか
レントゲンで、歯に「黒い影」があれば、それが虫歯の可能性が高い。
また、影の濃さ・広がり具合で、虫歯の深さや大きさを診断します。
② 神経に近い虫歯かどうか
虫歯が歯の神経(歯髄:しずい)に近づいているかどうかも、レントゲンで判断。
神経まで到達していると、「神経を取る治療」が必要になることもあります。
③ 詰め物や被せ物の下に虫歯がないか
過去に治療した歯でも、詰め物のすき間から虫歯が再発することがあります。
これを二次カリエスといいます。
④ 根っこの先に膿(うみ)がたまっていないか
歯の根の先に白くぼやっとした影がある場合、歯の根の病気(根尖病変:こんせんびょうへん)が疑われます。
⑤ 歯の周りの骨の状態
歯周病になると、歯を支える骨が減っていきます。
レントゲンでは骨の高さがチェックできます。
実は「レントゲンで見えない虫歯」もある
上記のように、虫歯の診断の第一選択といえるレントゲン写真ですが、レントゲン写真で全ての虫歯が診断できるかというと、そうとも限りません。
虫歯の中には、レントゲン写真に写りにくい物も存在するのです。
1. 歯と歯の間の虫歯(隣接面カリエス)
歯と歯の間の虫歯は、虫歯の好発部位(できやすいところ)ですが、レントゲン写真で虫歯が判別しにくいところでもあるやっかいなところです。
隣り合う歯同士がレントゲン写真で重なってしまい、虫歯が判別しにくかったり、虫歯ではないのに虫歯っぽく写ってしまう事もあります。
2.つめものやさし歯の下の虫歯(二次カリエス)
つめものと歯の境は虫歯になりやすいところですが、レントゲン写真で境界があいまいに写って、虫歯が判別しにくい時があります。
また、歯全体を覆うさし歯については、X線を遮ってしまうため、その下がどうなっているかは全くわかりません。
3.歯の側面の虫歯
レントゲン写真は歯の断面図です。
上からの虫歯の深さは比較的診断しやすいですが、側面にできた虫歯については、はっきりとわからず、診断が難しいです。
上記のような理由から、レントゲン写真から大きい虫歯と診断して治療してみると、そうでもなかったり、小さな虫歯と思っていざ治療してみると、かなり進行していて驚くこともあります。
同じクリニックで同じ機械を使って診断をしていても、担当する先生によって診断される虫歯の数が違ったりする事もあります。
なぜレントゲンで見えにくいのか?
レントゲンはX線を使って歯の状態を確認する検査ですが、歯の硬い部分(エナメル質や象牙質)はX線を通しにくく、虫歯があっても映りにくいことがあります。
また、歯と歯の間や被せ物の下など、X線が届きにくい場所では虫歯が見えにくくなることがあります。
医療の進歩で、レントゲン写真の精度も昔に比べて飛躍的に上がりました。
それでも、「100%確実にレントゲン写真で診断できるわけではない」というのが現実です。
レントゲン写真で診断できないような虫歯をどうやって見つけるのか?
レントゲン写真だけでの診断には限界があるため、虫歯を診断する際は、様々な方法を組み合わせて総合的に判断します。
1. 視診(直接目で見る診査)
歯科医師は、肉眼や拡大鏡などを使って、一本一本の歯の表面の状態を丁寧に観察します。
歯の色、形、表面の凹凸、詰め物や被せ物の状態などを細かくチェックし、初期の虫歯や異常がないかを確認します。
2. 触診(器具を使った診査)
歯科医師は、先の細い専用の器具(探針)を使って、歯の表面を優しくなぞり、虫歯によるわずかなひっかかりや、軟化している部分がないかを確認します。
ただし、初期の虫歯を無理に探針で触ると、エナメル質を傷つけてしまう可能性があるため、慎重に行われます。
3. プロービング(歯周ポケットの深さの測定)
歯周病の検査として行われるプロービングですが、歯ぐきの状態を把握することで、歯の根元の状態や、隠れた虫歯の可能性を探る手がかりになることがあります。
4.歯石除去の際
歯石除去をした際のつめものと歯の間のひっかかりなどから、虫歯が見つかる事があります。
5.拡大鏡・マイクロスコープの使用
拡大鏡(ルーペ)やマイクロスコープを使用すると、肉眼の数倍~20倍まで拡大して細部を確認できるため、通常の診断ではわからなかったような虫歯が見つかる事があります。
6. 患者さんからの情報(自覚症状)
「最近、冷たいものがしみることがある」「特定の場所を噛むと痛い」といった患者さんの訴えは、虫歯を発見するための重要な手がかりとなります。些細なことでも、気になる症状があれば歯科医師に伝えるようにしましょう。
7.切削診
最終的には、虫歯と思われる部分を少しずつ削りながら調べます。
患者さんができる予防策
定期メンテナンスを受ける
最も効果的です。
自覚症状がなくても、隠れた虫歯が存在する可能性を理解し、定期的に歯科医院を受診し、 検診や歯石除去を受けることで、虫歯の早期発見・早期治療につながります。
症状を見逃さずに伝える
軽い痛みや違和感、冷たいものがしみるなどの症状がある場合、定期メンテナンス時に伝えていただく事で、虫歯が見つかる事があります。
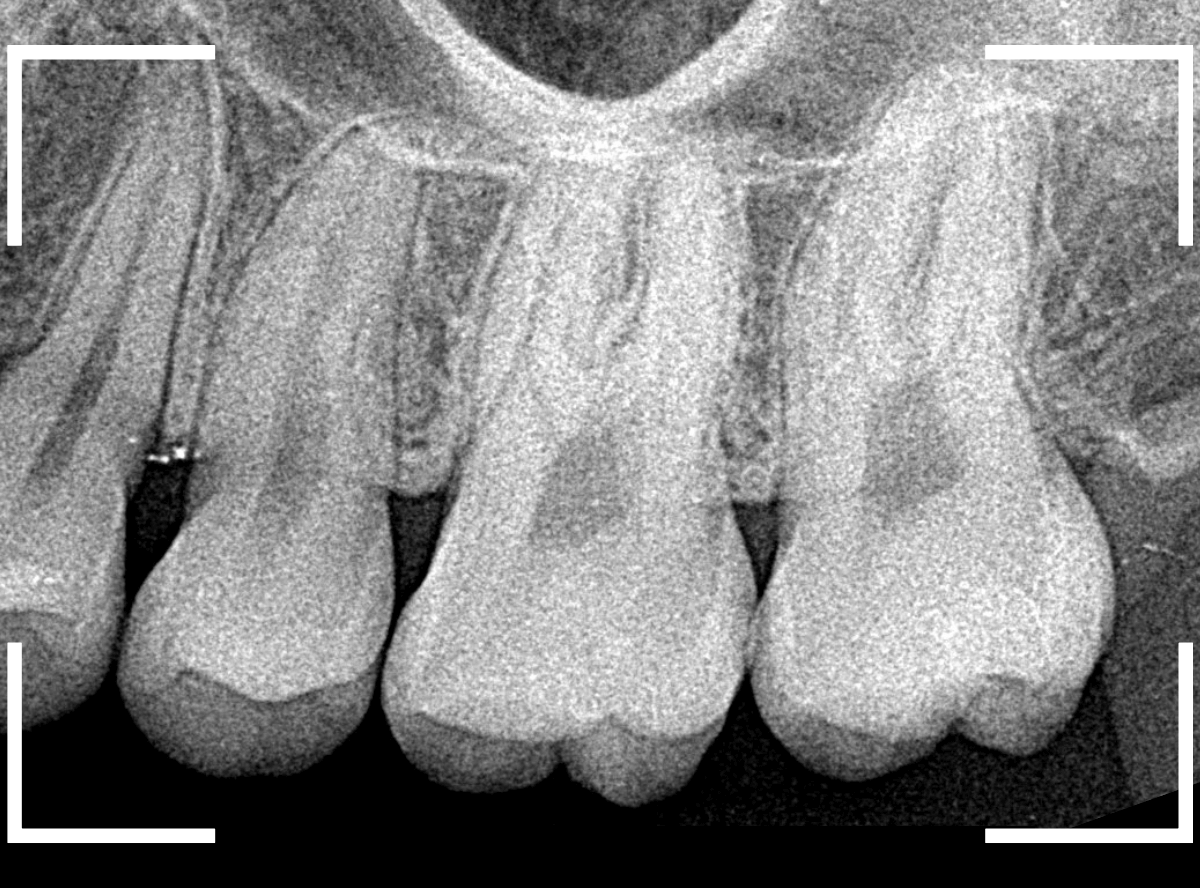
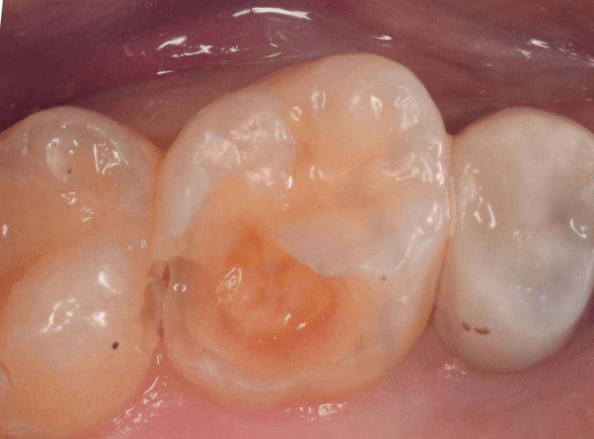
Case.20 劣化したレジン側面から進行した虫歯

「つめものが欠けたまま長期間放置して、歯がしみる」という訴えで来院された患者さんさんです。
拝見すると、劣化したレジンが欠けて、中で虫歯になっているのがわかります。
・欠けたまま長期間放置した
・しみるという自覚症状がある
事から、中で深い虫歯になっている事が想像されます。


レントゲン写真で確認します。
赤い線がレジンが入っている部分。
青い線が歯の神経です。
かなり神経の近いところまでレジンがつめてあるのがわかりますが、虫歯が側面からどの程度進んでいるのかはよくわかりません。
レントゲン写真だけみると、治療の必要がなさそうにも見えます。
このように、初見では虫歯になっている事が明らかなのに、レントゲン写真ではまったくわからないとう事もあります。

レジンを外しながら、虫歯を確認します。

慎重にレジンを除去しましたが、途中で露髄(神経が露出する事)しました。
歯の神経の中には、血管も含まれているので、神経が露出すると、このように出血します。
「しみる、痛い」などの明確な強い症状がある場合、このような状況の事が多いです。
今回は出血量が多く、神経を除去する治療(抜髄)の可能性が高いとも感じましたが、できる限り神経を保存する方法を取ることにしました。

神経を保護するお薬をつめて蓋をしてしばらく経過観察します。
神経を除去すると、治療期間が長引くうえに、歯の寿命がとても短くなってしまいます。
できるだけ歯の神経を残すためには、症状が出てからの歯科受診ではなく、定期的なメンテンナンス受診を続けるようにしてください。
ここまでこのブログを読んでいただいた、歯の治療に関心の高いあなたのご来院、お待ちしています。
https://kp-dental.com/Reservation
今後ともよろしくお願いします。
Case.19 <動画編> 虫歯なのは間違いないが、境界がはっきりしない
今回は、金属のつめものの下がレントゲン写真でわかりづらい虫歯になっていたケースです。
レントゲン写真で虫歯と思われる黒い影が明確でないために、金属の下がどうなっているのかがはっきりわかりません。
患者さんの自覚症状はありません。
患者さんに状況をお話して、金属を外して虫歯を確認し、治療をする動画です。
今後は、少しずつ動画も織り交ぜて、治療紹介していけたらなと考えています。
Case.18 虫歯なのは間違いないが、境界がはっきりしない

「つめものが外れて、噛むと痛い」という訴えで来院された患者さんさんです。
一見で、表面が虫歯になっているのと、レジンが劣化しているのがわかります。

レントゲン写真で確認します。
〇部が当該の歯です。
症状もあるので、虫歯が深そうですが、全体がもやっとして、どこからどこまで虫歯なのかはっきりわかりません。
まれに、こんな時もあります。

レジンを外し、虫歯の処置を進めます。

慎重に虫歯を除去し、一安心か、という寸前で(〇部、小さく出血しているところ)露髄してきました。
神経を除去しないとダメかもしれません。。。

神経を保護するお薬をつめて、経過観察します。
痛みが出ませんように。。。
ここまでこのブログを読んでいただいた、歯の治療に関心の高いあなたのご来院、お待ちしています。
https://kp-dental.com/Reservation
今後ともよろしくお願いします。
Case.17 レントゲンにはっきり写らないレジンの中の虫歯を削って調べる2

今回も、下の奥歯の虫歯を治療した例です。
特に症状はありませんが、以前に治療したレジンが劣化してすり減っているのと、少し中が黒く透けて見えて、虫歯になっているのが怪しいです。

青いラインが歯の神経です。
以前の虫歯が深めだったようで、レジンが深めにつめてあるのがわかります。
その下がうっすらと虫歯っぽい影になっています(赤いライン)。
虫歯になっているか微妙なラインですが、レジンも劣化していますので、患者さんにご説明して治療することになりました。

レントゲンで虫歯と思われる部分をレジンを除去しました。
見た目には虫歯かどうかはっきりわかりません。

う蝕検知液で染め出します。
うっすらと赤く染色されました。
レントゲン写真と同じく、レジンの下で静かに虫歯が進行し始めていたようです。
もともと深めの虫歯だった部分なので、早いうちに治療が進められてよかったです。

全てのレジンと虫歯を除去しました。

お薬をつめて、症状が出ないかしばらく経過観察します。
歯の外壁部分も薄くなってますので、レジンでは長期保存は難しいと思われます。
今回は、インレーで最終修復する予定です。
ここまでこのブログを読んでいただいた、歯の治療に関心の高いあなたのご来院、お待ちしています。
https://kp-dental.com/Reservation
今後ともよろしくお願いします。
Case.16 レントゲンにはっきり写らないレジンの中の虫歯を削って調べる

「たまに下の歯の奥歯が痛む」という症状で来院された患者さんの例です。
特にはっきりと虫歯らしい箇所はなく、打診(歯を叩いた症状の違いで、痛みの原因の歯を調べる)でも特に反応はありませんでした。
このように不定期な痛みの原因は特定しづらい事が多いです。

さて、レントゲン写真で確認すると、上の写真の歯のレジンをつめてある下が少し虫歯っぽい写り方をしています。
あとはレジンを外して調べてみるしかないのですが、レントゲンではっきりした写り方ではないので、虫歯が見つからない可能性も患者さんに説明しましたが、治療をご希望されたので、レジンを外して調べる事になりました。

レジンを削って中を調べてみると、レジンの中は思ったよりもスカスカの状態でした。
これでは、なにか症状を感じてもおかしくありません。
レジンの下には神経を保護するためのセメントがしいてありましたが、その下も茶色く着色しており、虫歯になっていそうです(着色してるから虫歯かというと、そうとも限りません)。

セメントを慎重に除去していきます。
レントゲン写真から、前の先生が治療をした時点で神経に近いところまで削っているのはわかります。
そのために、レジンの下にセメントをしいて、しみるなどの神経症状を緩和させていたのです。
怖いですが、もう少しセメントを外して調べます。

ほぼほぼ、つめてあったレジンとセメントを除去しました。
着色している部分は、器具で触るとやわらかくボソボソしており、虫歯と判断して間違いありません。

慎重にすべての虫歯を除去しました。
想像以上に虫歯は深く広く、神経の薄皮一枚というところまで進行していました。
この状況でお薬をしっかりつめなおして、症状をしばらく経過観察します。
おそらく、改善してくれると思うのですが。。。
ここまでこのブログを読んでいただいた、歯の治療に関心の高いあなたのご来院、お待ちしています。
https://kp-dental.com/Reservation
今後ともよろしくお願いします。
Case.15 下の奥歯がたまに痛い

メンテナンス中に、「下の奥歯がたまに痛い」という訴えをされた患者さんです。
「奥歯がたまに痛いけど、どの歯かははっきりわからない」という事で、Case.15のように、打診をしてもどの歯も特に反応もありませんでしたが、レジンの中の虫歯が怪しい歯がありました。

レントゲン写真で確認します。
あまりはっきりしませんが、レジンの下で虫歯がありそうな感じです。

レジンを外して中を調べます。
それほど深くはありませんでしたが、レジンの中で虫歯が進行しはじめていました。

全ての虫歯を除去したところです。

レジンをつめ直して治療終了です。
おそらくこれで症状は改善されるでしょう。
「たまに痛い」など、症状がハッキリしない場合は、原因も見つけづらい事が多いです。
今回は、レントゲン写真から原因が推察できましたので、良かったです。
ここまでこのブログを読んでいただいた、歯の治療に関心の高いあなたのご来院、お待ちしています。
https://kp-dental.com/Reservation
今後ともよろしくお願いします。
Case.14 噛むと上の奥歯が痛い

「噛むと上の奥歯が痛い」という症状で来院された患者さんです。
打診(ピンセットなどで歯を叩き比べて、痛みの原因の歯を診断する方法)で矢印の歯が痛い事がわかりました。

レントゲン写真で確認します。
レジンの下の赤い色の線が虫歯であろうと思われる部分です。
痛みのある歯については、なんとも微妙な写り方に見え、虫歯だと断言し難い状況でした。
このような場合は、症状とレントゲン写真などから推察していくのですが、痛みは噛んだ時のみで、虫歯特有のしみるなどの症状がないため、そこからも判断しづらい状況でした。
あとは、虫歯と思われる部分を削りながら調べていくしかありません。

患者さんに状況をお話しし、レジンを除去して調べてみると、診断通り、虫歯が出てきました。

虫歯をある程度除去したところです。
まず、一番左の〇部、隣の銀歯との間になにか固いものがはさまっています。
物を噛んだ時に痛むのはこれが原因の気がします。
中央の〇部、赤く染まっている部分は虫歯がまだ除去しきれていない部分です。思ったよりも深めの虫歯です。
一番右の〇部は、メタル・インレーのつけ根に虫歯が小さく顔を出しています。

痛みのある歯の虫歯をすべて除去し、はさまっていた物も全て除去したところです。

手前の歯のメタル・インレーを除去し、虫歯を除去すると、その手前の歯のレジンも不適合なのが見つかりました。

全ての虫歯を除去したところです。
思っていたよりも広い虫歯でした。
しばらくお薬をつめて、経過観察をします。
ここまでこのブログを読んでいただいた、歯の治療に関心の高いあなたのご来院、お待ちしています。
https://kp-dental.com/Reservation
今後ともよろしくお願いします。
Case.13 奥歯の側面の虫歯

歯石除去中に、奥歯の側面の金属の部分が小さな虫歯になっているのが見つかった方です。
表面がうっすらと虫歯になっているように見えます、わかりますか?

レントゲン写真で確認します。
特に虫歯はなさそうに見えますが、側面の虫歯なので、虫歯が中で広がっている可能性も頭をよぎります。

麻酔をして慎重に虫歯を除去すると、中まで虫歯が広がっているのが確認できました。

患者さんに状況を説明して、つめものを外して中を確認します。

ある程度、虫歯を除去したところで、う蝕検知液でチェックします。
思ったよりも中まで虫歯が進行しているようです。

全ての虫歯を除去しました。
つめものの中で全体に虫歯が進行していました。
ここまでこのブログを読んでいただいた、歯の治療に関心の高いあなたのご来院、お待ちしています。
https://kp-dental.com/Reservation
今後ともよろしくお願いします。
Case.12 金属のつめものの下の状況がわからない

定期メンテナンスに通っていらっしゃっている患者さんです。
金属のつめものが若干不適合気味になっているのと、その周りが黒くぼやっとなっていて怪しいですが、金属色が透けているのか虫歯になり始めてるのか、よくわかりません。

レントゲン写真で確認します。
虫歯があるのかはっきりしない写り方です。
患者さんに状況を説明の上、つめものを外して調べてみる事にしました。

つめものを外すと、虫歯が出てきました。
金属のつめものの下に、アマルガムという金属がつめてあるのも見られます。
あとは、少しずつ削りながら、虫歯を調べます。

全ての虫歯を除去しました。
幸い、あまり大きく歯を削らずに済みました。
早いうちに治療が出来てよかったかと思います。
ここまでこのブログを読んでいただいた、歯の治療に関心の高いあなたのご来院、お待ちしています。
https://kp-dental.com/Reservation
今後ともよろしくお願いします。
Case.11 治療をするべきか悩むケース

日々、診療をしていると、治療をすべきか、経過観察すべきか悩むケースによく当たります。
歯科医によって虫歯の数が違った!という話を聞きますが、こんなケースが多いのではないかと思います。
見た目は問題なさそうな所見です。

歯石除去時に黒い点が見つかりました。
見た目だけの小さな点であれば、経過観察でよいかと思うのですが、
- 歯と歯の間(隣接面)→虫歯が進行しやすい場所
- 黒い点がひっかかる→虫歯が進行している可能性
という点が気になります。

何はともあれ、レントゲン写真で確認します。
黒い点の前後がボヤっと黒っぽく写ります。
何かありそうにも何もなさそうにも見える、あいまいな写り方です。

あとは、患者さんに説明して削って中を調べていくしかありません。
患者さんの同意を得られましたので、慎重に削って中を見てみると、手前の歯からも虫歯が見えてきました。

手前の歯は中の方まで虫歯が進行しているのがわかります。

最終的には、元々つまっていたレジンやインレーを外して、しっかり中を調べて治療する事になりました。
すると、その後ろの大臼歯のレジン部にも虫歯が見つかりました。
虫歯がより深く進行する前に処置できてよかったかと思います。
ここまでこのブログを読んでいただいた、歯の治療に関心の高いあなたのご来院、お待ちしています。
https://kp-dental.com/Reservation
今後ともよろしくお願いします。
Case.10 レントゲンに写らない側面の虫歯を、少しずつ削って調べる


こちらも、虫歯が歯のあちこちで進行してしまっている患者さんのケースです。
特に側面の虫歯が深そうです。
側面にできた虫歯はレントゲン写真では診断しづらくやっかいです。
今回は「見るからに深そう」ですが。

さすがにレントゲン写真でも虫歯がありそうな事は確認できますが、実際にどうなってるのかはあまりはっきりわかりません。


少しずつ虫歯を除去していきます。

歯の側面から、手前の歯までつながった虫歯になっていました。


手前の歯までの虫歯を除去しました。


歯の後ろ側の側面も、大きな虫歯になっていますので、処置します。

隣の歯との間(隣接面)は、中で虫歯が広く進んでることが多いです。

結局、前後の歯に渡る広い虫歯でした。
レントゲン写真だけでは、ここまでの虫歯は判断できませんでした。
ここまでこのブログを読んでいただいた、歯の治療に関心の高いあなたのご来院、お待ちしています。
https://kp-dental.com/Reservation
今後ともよろしくお願いします。
Case.9 レントゲン写真で写らない側面の虫歯


歯の側面が大きな虫歯になってしまった患者さんのケースです。
このように歯の側面が虫歯になった場合、レントゲン写真で虫歯の状況がはっきりわからない事が多いです。

レントゲン写真では、あまり大きな虫歯のようには見えません。


治療を開始します。
歯を少し削ると、すぐに大きな虫歯の穴が出てきました。


さらに虫歯を削ります。
神経に触れてしまいそうなほど、深くて広い虫歯ですね。

全ての虫歯を除去したところです。
何とか神経に触れる寸前のところで踏みとどまれましたが、レントゲン写真からは想像できない虫歯の深さでした。
繰り返しになりますが、虫歯の治療も奥が深く、長年歯科治療をしている我々でも診断に苦慮する場合があります。
くれぐれも、自己判断はせずに、定期メンテナンスに来てくださいね。
ここまでこのブログを読んでいただいた、歯の治療に関心の高いあなたのご来院、お待ちしています。
https://kp-dental.com/Reservation
今後ともよろしくお願いします。
Case.8 大きな虫歯なのに、レントゲンではっきり写らない

こちらも定期検診希望で来院された患者さんです。
お口の中を拝見すると、明らかに虫歯がありました。
3本虫歯になっており、特に中央の小臼歯はかなり大きな虫歯になっているのが予想されます。

治療前にレントゲン写真で虫歯の大きさを確認するつもりが・・・あまりはっきり写ってきません。
患者さんに状況を説明して、歯を少しずつ削りながら虫歯を確認する事になりました。

まず、一番大きな虫歯と思われる部分を小さく削って確認します。
予想通り、虫歯が見えてきました。

隣りの奥歯と一緒に虫歯の治療を進めます。
色が染まっているところがまだ虫歯が残っている部分です。

2本とも、虫歯を全て取り切りました。
特に手前の歯はかなり広めの虫歯になっていました。

最終的に、手前の虫歯の除去も終わったところです。
手前の歯の虫歯は中央の歯まで達していました。
このように明らかに大きな虫歯があると診断されるような状況でも、レントゲン写真でうまく診断できない場合もあります。
ここまでこのブログを読んでいただいた、歯の治療に関心の高いあなたのご来院、お待ちしています。
https://kp-dental.com/Reservation
今後ともよろしくお願いします。
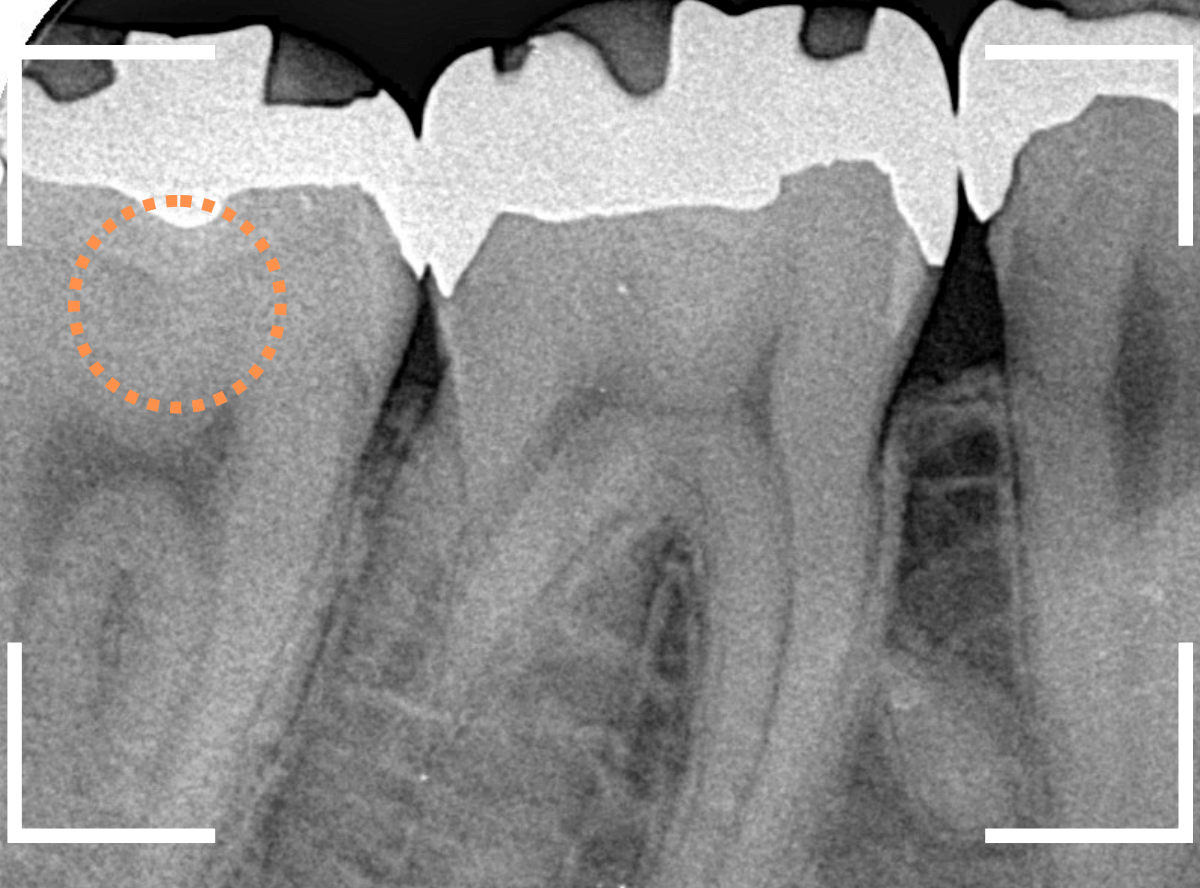
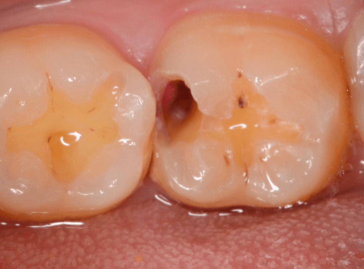
Case.7 レントゲンに写らないレジンの中の虫歯を削って調べる

こちらも定期検診希望で来院された患者さんです。
特に症状はありませんが、歯の咬頭(噛み合わせの山の部分)に小さな穴が空いていて、その周りがもやっと黒く見え、虫歯が怪しいです。

レントゲン写真で確認しますが、ここでは特に問題はなさそうに見えます。
患者さんに状況を説明し、慎重に削って調べる事になりました。

少しずつ穴の部分を削ってみると、ズブッと落とし穴にはまるような柔らかい虫歯の層(=軟化象牙質)に当たりました。

慎重に虫歯を除去したところです。
歯の溝のレジンが詰めてあった部分まで虫歯は進行していました。

とはいえ、それほど深く虫歯は進行していませんでしたので、虫歯除去後、レジンを充填して治療は終われました。
このように定期的にメンテナンスに来ていただくと虫歯が本格的に進行する前に対処する事ができます。
ここまでこのブログを読んでいただいた、歯の治療に関心の高いあなたのご来院、お待ちしています。
https://kp-dental.com/Reservation
今後ともよろしくお願いします。
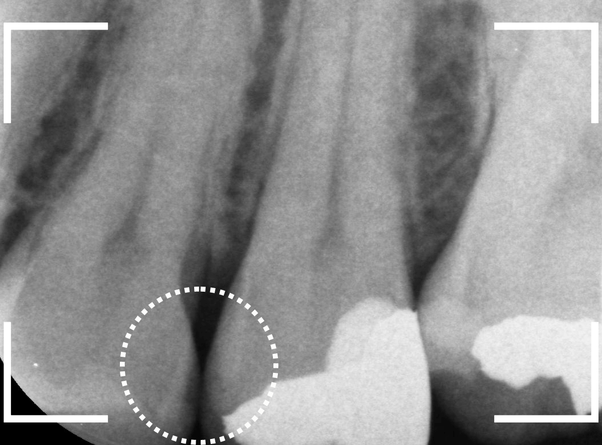
Case.6 スキマの虫歯がわからない

定期検診希望で来院された患者さんです。
歯と歯のすき間のつけ根が黒くなっているのに気づきました。
ひっかかりもあるので、虫歯があるとみて間違いなさそうです。

レントゲン写真で確認します。
うーん、この写真からだと、どの程度の虫歯かちょっとわかりづらい感じです。
右側の部分の虫歯は少し進行してそうですけどね。

手前側の虫歯から、少しずつ歯を削って確認します。

思ったよりも虫歯は深く、隣の歯まで虫歯が進んでいます。

奥側の虫歯も隣の歯まで虫歯が進んでいるのがわかりますね。

最終的には、隣の歯とのすき間がそれなりの広さの虫歯になっていました。
これだけの広さの虫歯でも、レントゲン写真ではっきりしない事もまれにあり、診断に苦労する事もあります。
ここまでこのブログを読んでいただいた、歯の治療に関心の高いあなたのご来院、お待ちしています。
https://kp-dental.com/Reservation
今後ともよろしくお願いします。
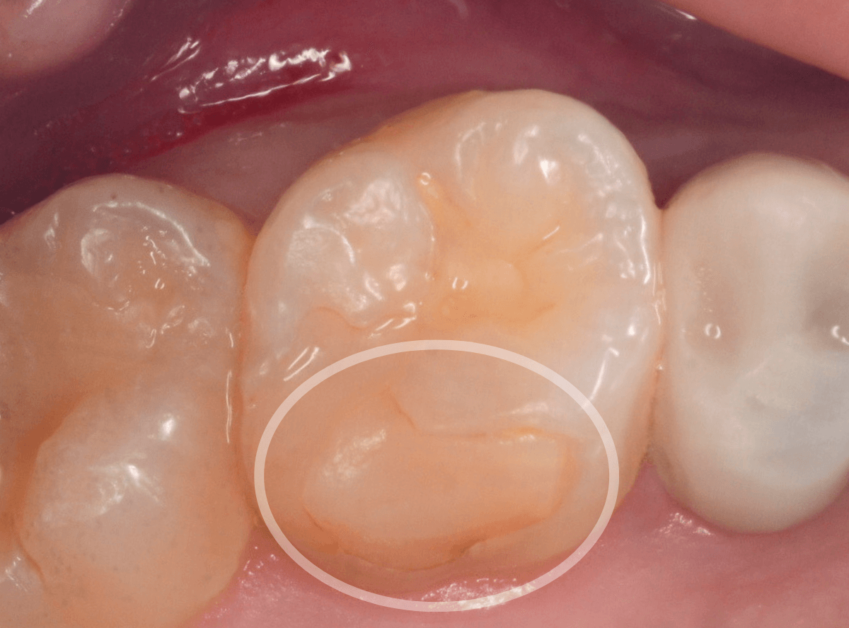
Case.5 レジンの中の虫歯がよくわからない

「奥歯に違和感がある」という訴えの患者さんのケースです。
黄色い丸の部分、レジンが明らかに劣化して中が黒く透けて虫歯になっていそうです。

レントゲン写真で確認します。
レントゲンでは、黄色い丸の部分は虫歯ではなさそうに見えます。
逆に反対側のオレンジ色の丸の部分にレジンがつまっていて、中で虫歯になっていそうなのはわかります。
あとは、レジンを除去して中を調べてみるしかありません。

レジンを除去してみました。
やはり中で虫歯が進行していました。

前後の歯にまで虫歯が広がっています。

全ての虫歯を除去しました。
かなり広範囲な虫歯でした。
今回は、見た目から虫歯がある診断がつきましたが、より診断がつきづらいケースもあり、そういった虫歯を突き止めるには、ドクターの経験と患者さんとの信頼関係が必要です。
ここまでこのブログを読んでいただいた、歯の治療に関心の高いあなたのご来院、お待ちしています。
https://kp-dental.com/Reservation
今後ともよろしくお願いします。
Case.4 レントゲンでわかりづらい、側面の虫歯

検診希望で受診された患者さんです。
歯の溝(裂溝)に虫歯がありそうな歯が見つかりました。

レントゲン写真で確認しますが、虫歯らしき写り方はしていません、浅い虫歯なのでしょうか。
関係ないですが、歯石は確認できますね。

あとは、歯の溝の虫歯を少しずつ除去しながら確認するしかありません。
すると、歯の側面に深めの虫歯が出てきましたので、慎重に虫歯を除去します。

全ての虫歯を除去しました。
今回のように、歯の側面の虫歯は、通常のレントゲン写真でわかりづらく、意外と深い虫歯になっている事があるので要注意ですね。

今回は、通常のレジン治療で終われました。
側面の虫歯を症状が出る前に見つけられたのが幸いでした。
ここまでこのブログを読んでいただいた、歯の治療に関心の高いあなたのご来院、お待ちしています。
https://kp-dental.com/Reservation
今後ともよろしくお願いします。
Case.3 レントゲンに写らなかった、大きな虫歯

歯の黒い点が気になるという事で来院された患者さんです。
恐らく歯の溝の黒い点が気になるのでしょうが、私的には隣の歯との境が気になりました。

まずはレントゲン写真で確認です。
う~ん、意外と虫歯は大したことないのでしょうか。
あまりそれらしい写り方はしていません。

あとは、治療しながら虫歯を確認します。
やはりつめものの下から虫歯が出てきました。
手前の歯のつめものの下にも、虫歯はありました。

かなり大きめの虫歯のようです。慎重に虫歯を除去します。

結局、隣の歯までつながった広い虫歯でした。
このように、レントゲン写真で確認しづらい虫歯もあり、虫歯の診断もなかなか難しく、奥が深いです。
ここまでこのブログを読んでいただいた、歯の治療に関心の高いあなたのご来院、お待ちしています。
https://kp-dental.com/Reservation
今後ともよろしくお願いします。
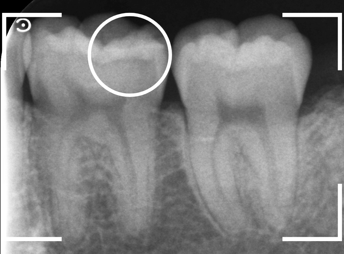
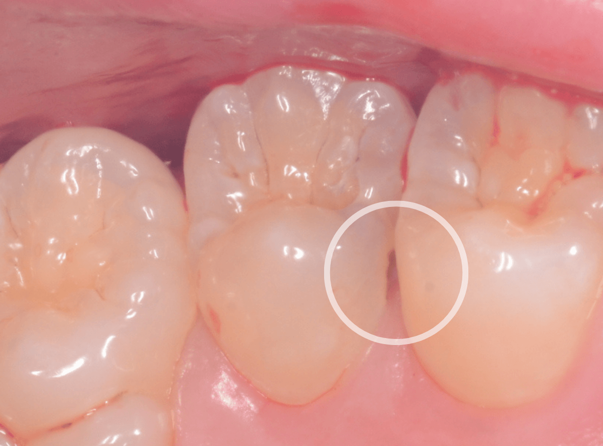
Case.2 メンテナンス時に見つけたわかりづらい虫歯

今回は、定期メンテナンスに通われている患者さんの虫歯を発見したお話です。
定期メンテナンスの際に、歯と歯の境界部分から虫歯のような所見がみられました。
写真でも薄暗くなっているのがわかると思います。

角度を変えて歯の根元の方を観察すると、やはり虫歯がありそうな所見です。

拡大してみると、やはり怪しいです。

レントゲン撮影をして、確認しました。
・・・が、レントゲン上では、虫歯ははっきりわかりません。

患者さんにお話しして、歯を削りながら虫歯を確認します。
やはり、虫歯が出てきました。

結局、少し歯の中まで入り込んだ虫歯でした。
こんな時でも、レントゲン写真で虫歯が確認できない事があります。

今回は、歯科用レジンで虫歯を削った部分をお直ししました。
定期メンテナンスに来院いただき、症状がない状態で虫歯を発見した事で、最小限の治療ですみました♪
皆さんも、治療後のメンテナンスにはお越しくださいね。
ここまでこのブログを読んでいただいた、歯の治療に関心の高いあなたのご来院、お待ちしています。
https://kp-dental.com/Reservation
今後ともよろしくお願いします。
Case.1 側面につめたレジンの下の虫歯

奥歯のおしりの部分にレジン(歯科用プラスチック)が入っていますが、適合が悪く、その中で虫歯がありそうに見えます。

レントゲンで確認します。
虫歯があると思われる部分がレジンで隠れてしまって、よくわからないです。
むしろ隣の奥の歯の方が虫歯っぽく見えます。
虫歯の発見に有用なレントゲン診断ですが、今回のようによくわからない時もあります。

患者さんの了解を得て、レジンを外して虫歯を確認します。
思った通り虫歯が出てきました。

う蝕検知液で虫歯を可視化します。
赤い部分が虫歯ですが、残っているレジンの奥にもまだありそうです。

レジンは歯と同じ色をしているので、歯と見分けがつきにくい事があります。
写真でもわかりづらいですね。
レジンと歯の境を探しながら、慎重にレジンを除去して、レジンの奥の虫歯を調べていきます。

虫歯を全部除去できました。
結局、隣の奥の歯まで虫歯が進行していました。
このように、虫歯の診断も奥が深く、初見ではわからなず、歯石除去中などに見つかったりする事などもよくあります。
患者さんのご理解とご協力をいただく事で、大きな虫歯への進行を防げる事があります。
ここまでこのブログを読んでいただいた、歯の治療に関心の高いあなたのご来院、お待ちしています。
https://kp-dental.com/Reservation
今後ともよろしくお願いします。
高円寺PAL歯科医院 :https://kp-dental.com/
〒166-0003 杉並区高円寺南4-25-4 RESTA高円寺3F
電話:03-6383-1963
電車でお越しの方:
JR線 高円寺 駅南口より 徒歩2分
