歯と歯の間の虫歯 「隣接面う蝕」
2025/07/24
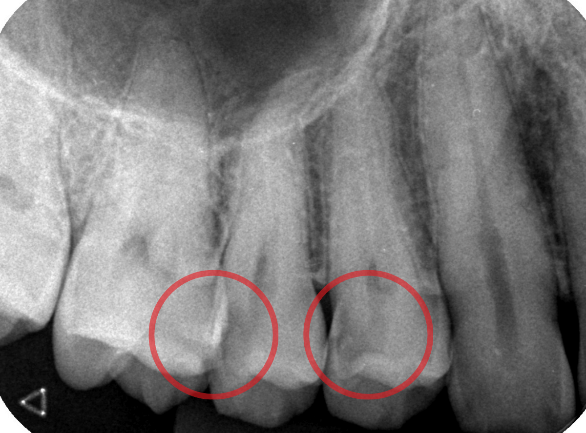
隣接面う蝕とは?
こんにちは、高円寺PAL歯科医院の新井です。
歯と歯の間の接触面を隣接面といい、隣接面は、歯ブラシの毛先が届きにくく、食べかすやプラーク(歯垢)が溜まりやすい、虫歯多発地帯の要注意の場所です。
プラークの中は虫歯の原因となる酸を産生する細菌が多く存在するので、「虫歯ができやすい場所」になるわけです。
この場所が虫歯になった場合を「隣接面う蝕」と言います。
ここでは、隣接面う蝕の特徴や原因、実際の治療例を挙げて説明しています。
隣接面う蝕の特徴
見た目では気づきにくい
痛みが出にくい
進行に気づいた時には大きくなっている
という特徴があり、発見が遅れやすい要注意な虫歯なのです。
隣接面に虫歯ができやすい原因とは?
(1)歯ブラシの毛先が届きにくい
隣接面は、歯と歯がぴったりとくっついているため、通常の歯ブラシの毛先が届きにくい場所です。そのため、磨き残しが多くなり、プラーク(歯垢)が蓄積しやすくなります。
プラーク中の虫歯菌は、糖分を分解して酸を作り出し、この酸が歯のエナメル質を溶かすことで虫歯が始まります。
(2)唾液による自浄作用が働きにくい
唾液には、食べかすを洗い流したり、酸を中和したり、細菌の増殖を抑えたりする自浄作用がありす。
しかし、隣接面は唾液が直接触れにくいため、この自浄作用の効果が十分に発揮されません。
(3)歯の形態
歯の隣接面は、一般的にわずかに凹んでいたり、接触点が設けられていたりする複雑な形態をしています。
このような形状は、食べかすやプラークが引っかかりやすく、一度付着すると歯ブラシの毛先だけではなかなか除去できません。
隣接面う蝕の進行
初期
歯と歯の間に食べ物が挟まりやすくなる
歯間ブラシやデンタルフロスが引っかかる感じがする
冷たいものがしみることがある(ごく初期の場合)
中期
冷たいものだけでなく、甘いものや熱いものがしみるようになる
歯と歯の間に小さな穴が開いているのに気づくことがある
歯の表面が白く濁ったり、茶色や黒に変色したりする
後期
ズキズキとした強い痛みが出る(神経まで虫歯が進行した場合)
歯ぐきが腫れたり、膿が出たりする
口臭が気になるようになる
最悪の場合、歯の神経が死んでしまい、抜歯が必要になることも
これらの症状が現れたときには、虫歯がかなり進行している可能性があります。早期発見のためには、定期的な歯科検診が非常に重要です。
隣接面う蝕は、私たち歯科医が見ても、一目では虫歯だと気づかない事もあり、レントゲン写真で発見されることも多いです。
歯医者にしばらく行ってない方で、「最近、物がつまりやすくなったなぁ」と思ったら、もしかすると虫歯になっているのかもしれません。
早めに検診をして悪いところがないか確認しましょう(レントゲン必須です)。
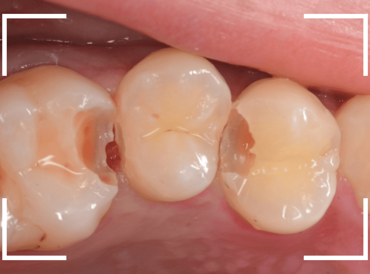
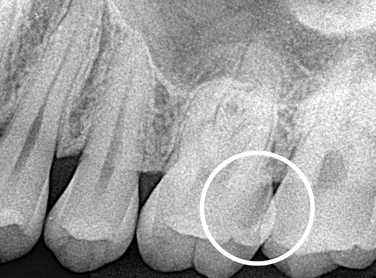
Case.26 <動画編> 症状もなく、深く進行する「歯と歯の間の虫歯治療」
今回は、歯と歯の間で大きな虫歯が進行しているケースです。
見た目に虫歯は見当たらず、痛みもありませんが、レントゲン写真で確認すると、歯と歯の間から、歯の神経まで達するほど虫歯が広がっています。
これほど大きな虫歯でも、症状がない事は多くあります。
症状がないから、「自分は虫歯はない」と考える方もいますが、そんな事はありません。
虫歯は、ある日突然進行する事はなく、このように症状がないまま深く進行し、急に痛みを感じる事も多いです。
痛みを感じてからの治療の多くは、神経を除去する治療になり、治療期間は長くなり、歯の寿命も短くなってしまいます。
定期メンテナンスで、早期発見・早期治療するようにしましょう。
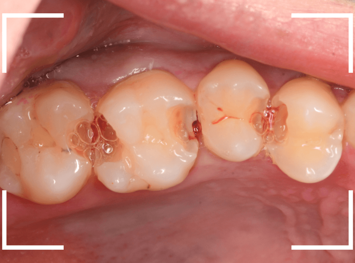
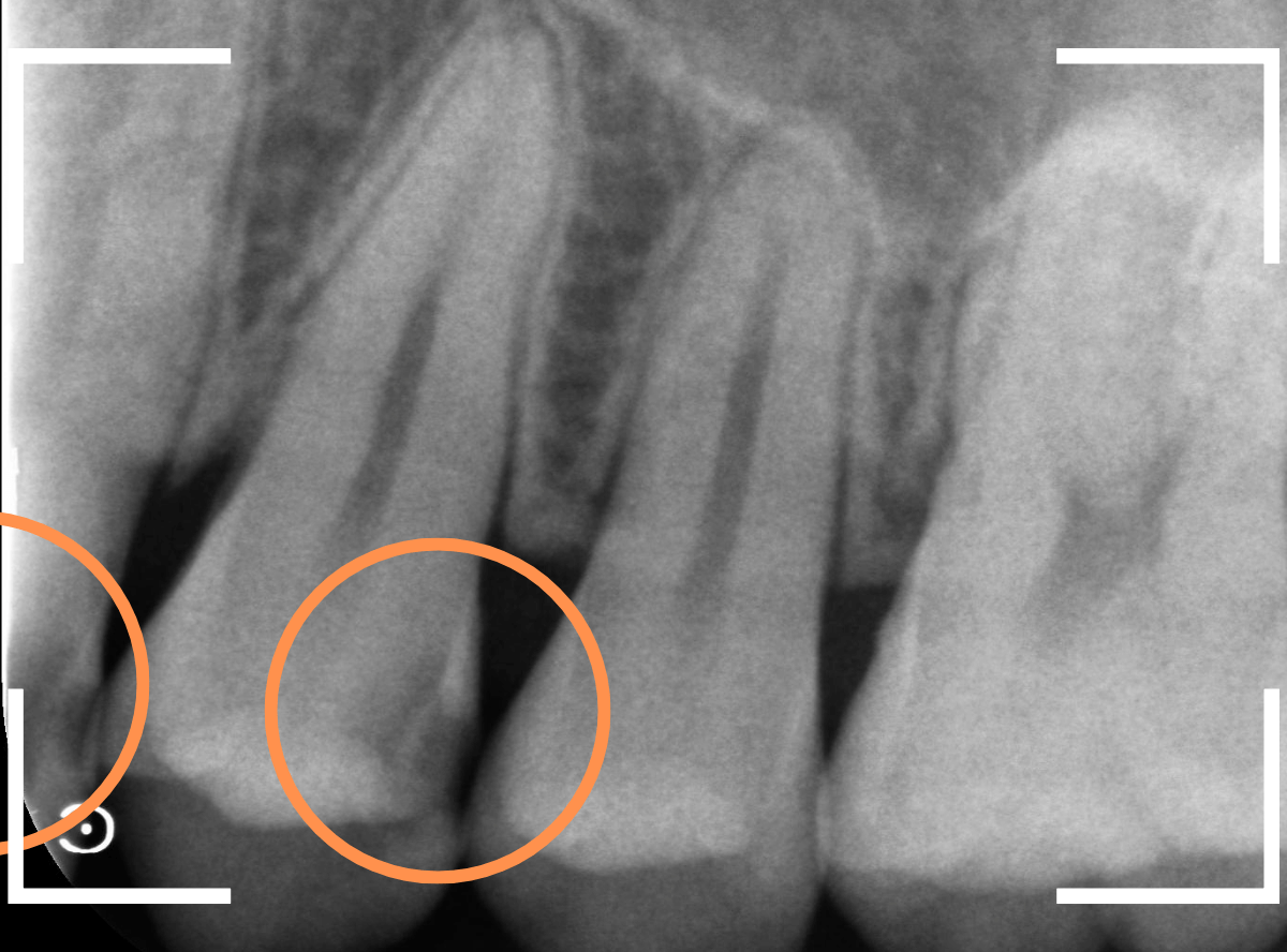
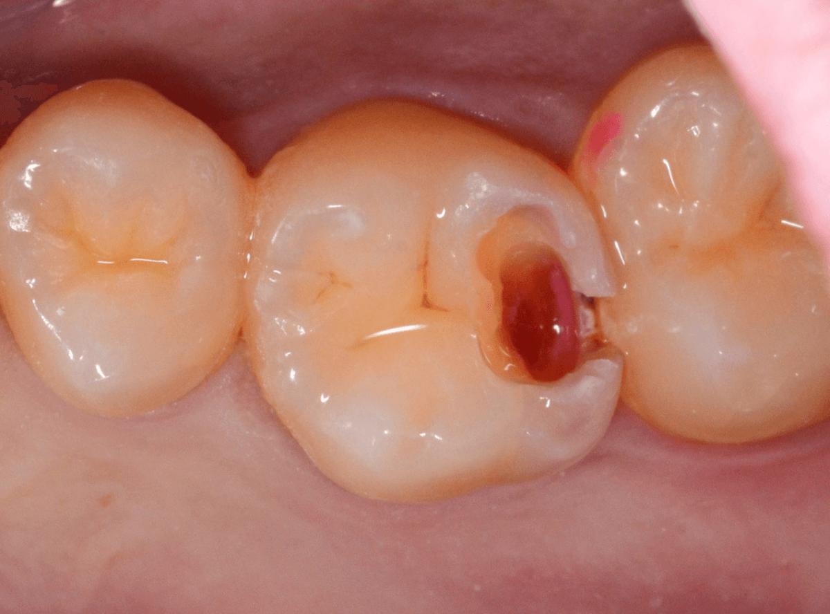
Case.25 レントゲン所見と目視を頼りに、虫歯治療

検査時に〇部、歯と歯の間の小臼歯部に虫歯らしき黒い影があるのが見つかりました。
かなり怪しいですが、メタル・インレーが入ってるので、それが透けている可能性もあります。

レントゲン写真で確認します。
レントゲンでは後ろの大臼歯部の方が虫歯になっているように見え、小臼歯部は問題ないように見えます。

まず大臼歯のインレーを外して、中を調べます。
あれ、インレー直下は虫歯がなさそうです。

レントゲン写真を頼りに、歯を削ると、虫歯が出てきました。

大臼歯の虫歯を削っていくと、手前の小臼歯まで虫歯がつながっていました。
やはり、黒い影は虫歯でした。これは深そうです。

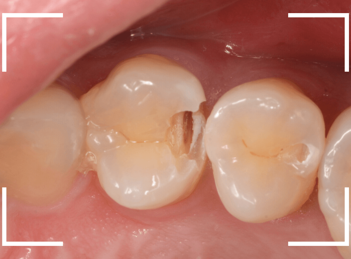
メタル・インレーも外して、虫歯を除去します。

全ての虫歯を除去しました。
レントゲン写真では確認できませんでしたが、手前の小臼歯は深い虫歯でした。
このように、歯と歯の間の虫歯は、深い事が多いです。
ここまでこのブログを読んでいただいた、歯の治療に関心の高いあなたのご来院、お待ちしています。
https://kp-dental.com/Reservation
今後ともよろしくお願いします。
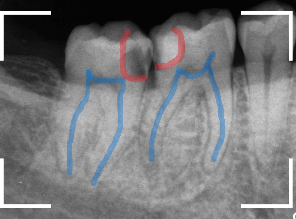
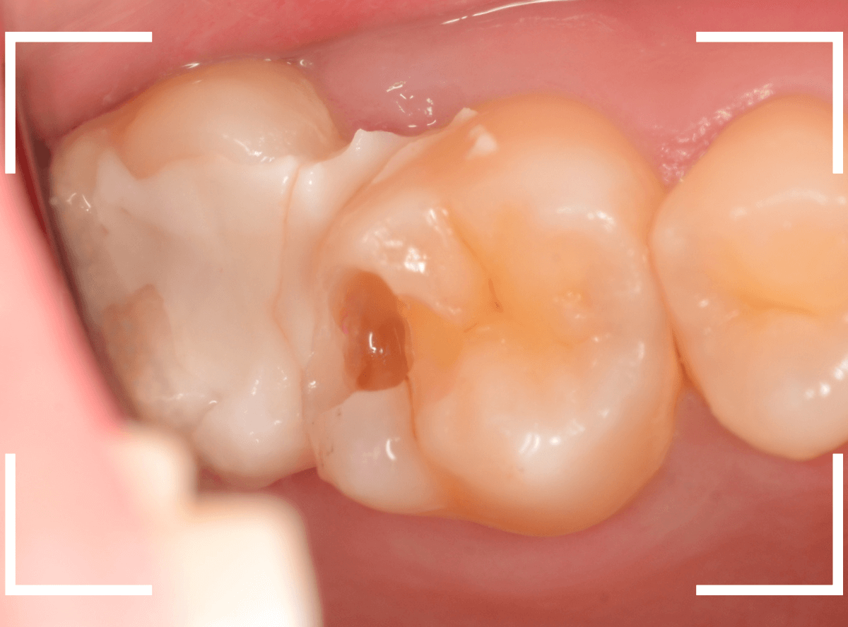
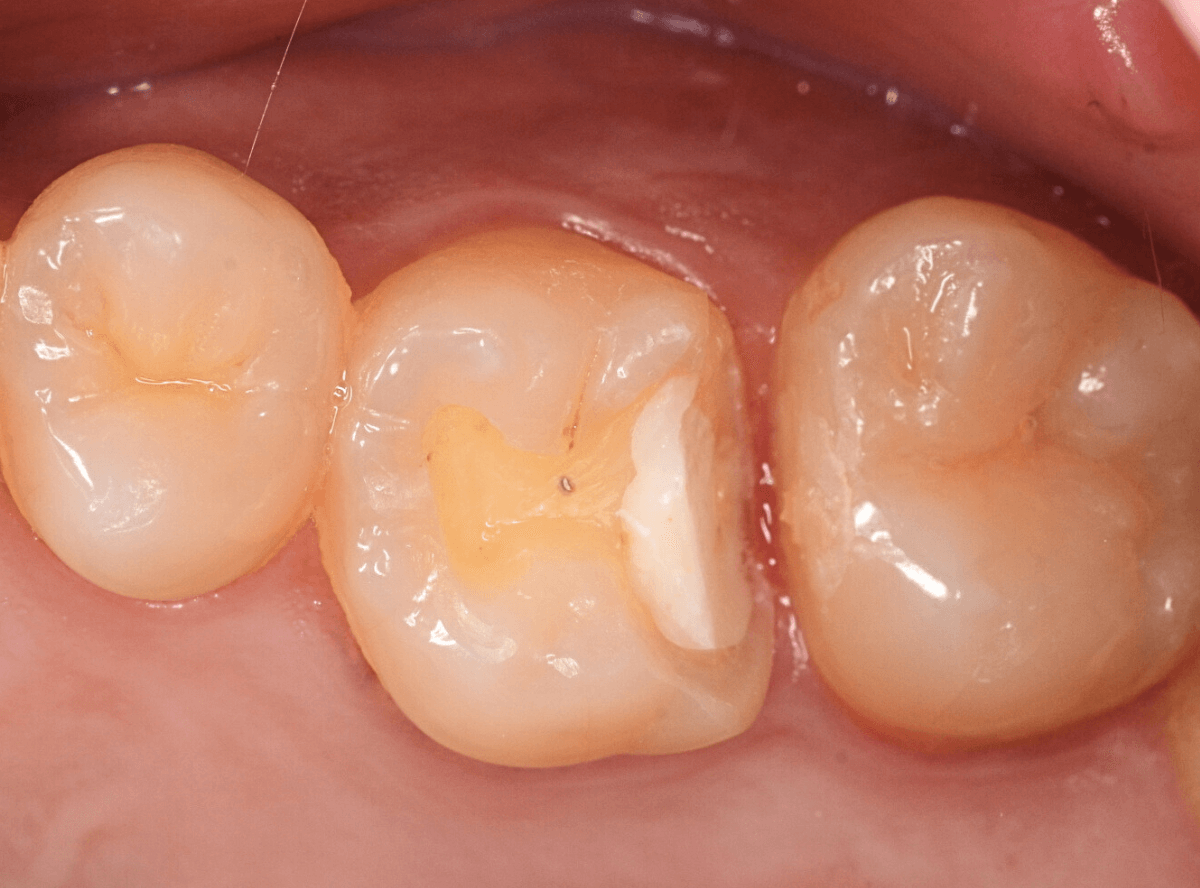
Case.24 レジンの下で虫歯が進行

上の奥歯の虫歯が見つかった患者さんです。
初診のチェックの際に、上から目視すると、レジンがつめてある〇部分が薄暗く黒くなっているので、これは虫歯があるな、とわかりました。

レントゲン写真で確認します。
赤いラインが虫歯と思われる部分、青いラインが歯の神経です。
先ほどの〇部分は明らかな虫歯になっているのがわかります。
この辺りはレジンがつめてありますが、その下もうっすらと虫歯になっていそうです。

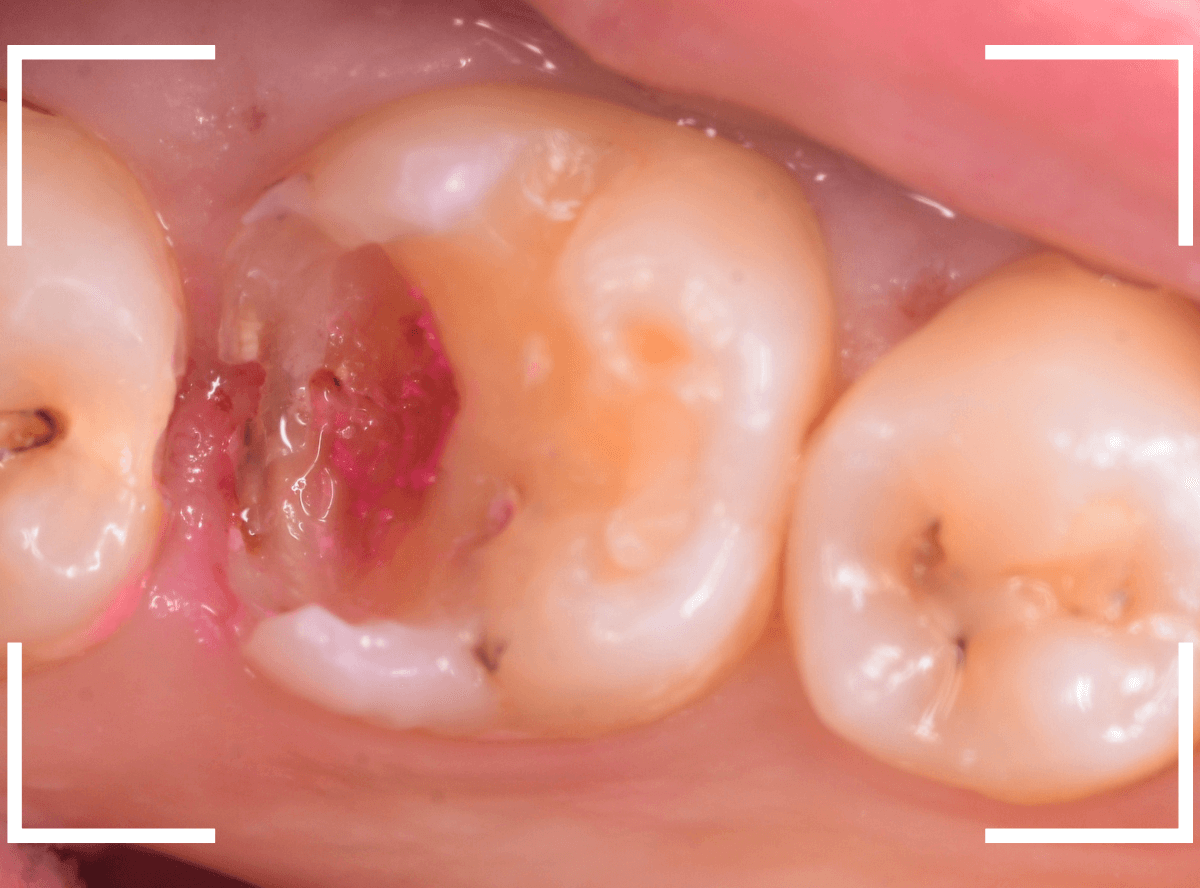
治療を開始します。
先ほどの黒く見えた部分は少し削るとすぐに虫歯が出てきました。

手前の歯まで虫歯を除去した時点で、う蝕検知液で確認します。
赤く染色されている部分が虫歯です。
思ったよりも深めの虫歯ですね。

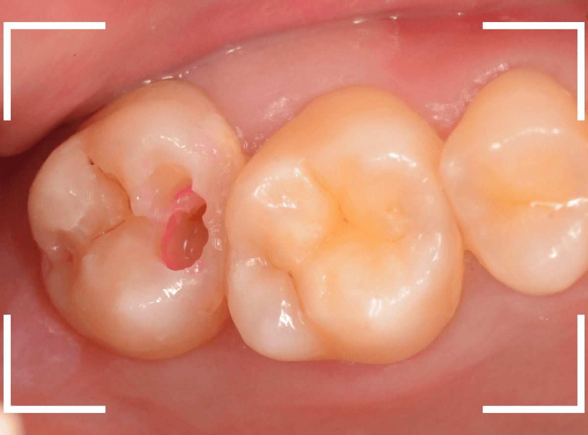
レジンを除去して虫歯をすべて治療したところです。
レジンの中も全体にうっすらと虫歯になっていました。
このくらいの虫歯でも、患者さんは自覚症状はありませんでした。
ご自身の自覚症状だけでは、虫歯の状況がわからないですし、自然に虫歯が治る事もありません。
いつものお話ですが、定期的なメンテナンスで、虫歯の早期発見・治療を心がけましょう。
ここまでこのブログを読んでいただいた、歯の治療に関心の高いあなたのご来院、お待ちしています。
https://kp-dental.com/Reservation
今後ともよろしくお願いします。
Case.23 歯のすきまから両側が大きな虫歯

「下の奥歯が痛む」という訴えで来院された患者さんのケースです。
目視でも、手前の奥歯がかけていて、中で虫歯が広がってるであろうことは予想できます。
ピンセットで歯を叩いてみても、手前の奥歯が痛むようです。

レントゲン写真で確認します。
青い線が神経、赤い線が虫歯の範囲です。
奥歯の方がより深い虫歯に見えますが、再度打診で確認したところ、やはり手前の奥歯が痛むそうです。
状況から、まず手前の奥歯から治療となりました。

麻酔をして、手前の奥歯のレジンを慎重に外します。
前に虫歯の治療をした時点で、神経スレスレの状態でしたので、削りすぎないように慎重にレジンを外さなければいけません。

レジンを外して、う蝕検知液で確認します。
レジンの中で虫歯が進行していたのがわかります。

慎重に全ての虫歯を除去しました。
何とか、神経が露出せずに済んでいます。

お薬をつめて、セメントで蓋をして経過観察します。
後日、状況を確認したところ、虫歯処置した後も、手前の奥歯が痛むとの事でした。
「我慢できないほどでもない」との事でしたので、引き続き経過観察しつつ、奥歯の治療を治療する事になりました。

奥歯は、レントゲンで見た通り、少し歯を削るとすぐに虫歯の穴が出てきました。

こちらは、ある程度虫歯を取ったところで染め出してみると真っ赤です。

ですが、何とか神経に達する前に、全ての虫歯を除去できました。
神経の治療が必要かと思っていたので、その点は幸運でした。

奥歯もお薬をつめて、セメントで蓋をして経過観察です。
何とか神経を取らずに済ませたいですが、どうなる事か・・・。
ここまでこのブログを読んでいただいた、歯の治療に関心の高いあなたのご来院、お待ちしています。
https://kp-dental.com/Reservation
今後ともよろしくお願いします。
Case.22 痛みはないけど、歯のすきまから大きな虫歯

上の小臼歯の間が虫歯になっていた患者さんです。
症状はありませんし、見た目からも虫歯があるかはわかりませんでした。

レントゲン写真で確認します。
赤い線が虫歯、青い線が歯の神経です。
歯のすきまから両側に虫歯が大きく広がっているのが確認できます。

治療を開始します。
少し削ると、中からすぐに虫歯が出てきました。

ある程度、虫歯を除去したところで、う蝕検知液で確認します。
赤く染まっている部分が虫歯です。
まだまだ虫歯が中で残っている状況で、かなり深い虫歯なのが確認できます。

全ての虫歯を除去しました。
レントゲン写真からある程度確認出来ましたが、歯の神経スレスレまで虫歯が進行していました。
ここまで虫歯が進行していても、全く症状を感じない事も多いです。
そして、ある時急に痛みを感じるのです。
虫歯は急に進行しません。
治療後の定期検診で確実に食い止めましょう。
ここまでこのブログを読んでいただいた、歯の治療に関心の高いあなたのご来院、お待ちしています。
https://kp-dental.com/Reservation
今後ともよろしくお願いします。
Case.21 神経に達しそうな2本の大きな虫歯

上の小臼歯の側面が明らかに虫歯になっている患者さんです。
患者さんは特に症状を感じてなさそうですが、恐らくは中で大きな虫歯になっているでしょう。
このように、自覚症状からだけでは虫歯の状況は診できません。

レントゲン写真で確認します。
青い線が歯の神経、赤い線が虫歯と思われる部分です。
2本とも、神経に達してしまいそうな大きな虫歯であると思われます。

まず、奥の歯のつめものを外してから、虫歯の治療を開始します。
手前の歯が大きな虫歯が見えてきました。

神経に達してしまいそうな虫歯ですので、ある程度削ったところで、少しずつエキスカという道具で掻き出すようにして、虫歯を除去します。
虫歯は歯を溶かして進行しますので、骨よりも固い歯もちょっと掻き出すとボロボロと崩れるようになってしまっています。

かなり虫歯を除去したところで、手前の歯は神経が顔を出してしまいました(露髄といいます)。
神経を除去する治療が必要かもしれないです。

全ての虫歯を除去したところです。
幸い、後ろの歯は薄皮一枚のところで神経まで達していない虫歯ですんでいましたが、大きな虫歯だった事には変わりありません。

いつものように、神経が痛み出さないように祈りつつ、お薬で保護して経過観察します。
虫歯は症状からだけでは判断できませんが、定期受診によって、このような大きな虫歯の処置は避けられる事がほとんどです。
かならず歯科の定期受診をしてくださいね。
ここまでこのブログを読んでいただいた、歯の治療に関心の高いあなたのご来院、お待ちしています。
https://kp-dental.com/Reservation
今後ともよろしくお願いします。
Case.20 レジンの中のわかりづらい虫歯

他の歯の治療希望で来院された患者さんです。
上の奥歯ですが、パッと見、特に問題のないように見えます。

レントゲン写真で確認します。
ちょっとわかりづらいですが、奥歯のレジンが神経のそばまでつめてあり、 そのまわりがもやもやして虫歯がありそうです。
また、その手前の歯まで虫歯は進行していそうです。

まず、奥歯のレジンを除去してみます。
やはり、中で虫歯は進行していました。
赤く染色されている部分が虫歯です。

レジンを除去しながら、慎重に虫歯を除去しました。
深い虫歯で処置時間も時間がかかったので、手前の歯の虫歯の治療は後日となりました。

後日、手前の歯の虫歯を除去しました。

深い虫歯でしたが、特に症状もなく経過が確認できましたので、無事につめものを入れて治療終了する事ができました。
ここまでこのブログを読んでいただいた、歯の治療に関心の高いあなたのご来院、お待ちしています。
https://kp-dental.com/Reservation
今後ともよろしくお願いします。
Case.19 神経まで達する大きな虫歯

「歯に違和感がある」という訴えで来院された患者さんです。
後ろの歯との間にぽっかり穴が開いているのがわかります。
このような場合、大抵は中で大きな虫歯になっています。

レントゲン写真で確認します。
青い部分が歯の神経、赤い部分が虫歯です。
レントゲン写真では、手前の歯との間も大きな虫歯になっているのがわかります。
そして、前後ともに神経まで達してしまっている虫歯に見えます。

治療を開始します。
少し削ったら、予想どおり大きな虫歯が出てきました。

虫歯が深いので、いつも以上に慎重に治療をすすめます。
赤くう蝕検知液で染まっている部分が虫歯です。
手前側は珍しく、レントゲン写真から予想される虫歯よりも小さかったです。

全ての虫歯を除去したところです。
やはり虫歯は大きく、歯の神経が一部露出する状況でした。
神経の中には血管もつまっていますので、出血するわけです。

神経を残せる可能性は半々といったところですが、神経を保護するお薬をつめた上にセメントで蓋をしました。
これでお痛みが出ないか、しばらく経過観察が必要です。
ここまでこのブログを読んでいただいた、歯の治療に関心の高いあなたのご来院、お待ちしています。
https://kp-dental.com/Reservation
今後ともよろしくお願いします。
Case.18 2本に渡る大きな虫歯

「歯に大きな穴が開いていて痛い」という訴えで来院された患者さんです。
金属のつめものの脇に大きな穴が開いているのがわかります。

レントゲン写真で確認します。
赤い線が虫歯、青い線が神経です。
奥歯も神経に到達しそうな、大きな虫歯になっているのがわかります。
早めの治療が必要です。

まず、慎重に金属を除去します。
金属の下に敷いてあったセメントも劣化しているのが分かりますので、そちらも除去して調べます。

セメントも除去したところです。
両歯とも、とても大きな虫歯なのがわかります。

慎重に虫歯を除去したところで、染色液で虫歯が除去できたか調べます。
まだうっすら虫歯が残っているのが分かります。

ほぼ全ての虫歯を除去したところです。
どちらの歯も神経ギリギリまで虫歯が進行していました。

神経を保護するお薬をつめて、セメントでカバーしてしばらく経過観察します。
ほとんどの方は、症状ないですが、お痛みが出て続くようですと、改めて神経を除去する治療が必要になります。
ある程度進行した虫歯は、自然治癒しません。
痛むまで自己判断で経過観察せず、少しでも違和感を感じたら、早めに歯科医院でチェックしてもらうようにしましょう。
ここまでこのブログを読んでいただいた、歯の治療に関心の高いあなたのご来院、お待ちしています。
https://kp-dental.com/Reservation
今後ともよろしくお願いします。
Case.17 4本で6カ所の虫歯

奥歯のスキマが虫歯になっている例です。
この写真でははっきりわかりませんし、患者さんの自覚症状もありません。

レントゲン写真で確認すると、チョコチョコ虫歯になっているのがわかります。

奥歯から治療を開始します。

前後の歯に渡る広い虫歯でした。

手前の歯の虫歯を治療します。
こちらも後ろの歯まで達する広めの虫歯です。

全ての虫歯を除去しました。
歯のスキマが虫歯になると、大抵前後が虫歯になっている事が多いです。
今回は、4本で6カ所が虫歯になっていましたが、自覚症状はありませんので、ご自身で気がつく事もありません。
定期メンテナンスで、虫歯予防・早期発見するようにしましょう。
ここまでこのブログを読んでいただいた、歯の治療に関心の高いあなたのご来院、お待ちしています。
https://kp-dental.com/Reservation
今後ともよろしくお願いします。
Case.16 白濁でわかる虫歯

他の歯の治療希望で来院された患者さんです。
お口の中全体をチェックしていると、白濁した歯が見つかりました。
中で深い虫歯になっている可能性が高いです。

レントゲン写真で確認します。
すると、怪しい歯の部分の他に、手前の歯との間にも虫歯がある事がわかりました。

もう一度お口の中を確認すると、レントゲンで虫歯があるとわかった部分には物がつまっていました。
こういう部分は、広い虫歯になっている可能性が高いです。
虫歯になって、そこに物がつまったのか・・・。
よく物がつまるので、虫歯になってしまったのか・・・。

虫歯治療を開始します。
少し歯を削ると、すぐに大きな虫歯の穴が出てきました。

ある程度虫歯を除去した後、どれくらい虫歯が残っているか、う蝕検知液で確認します。
真っ赤です。

最初に削った部分の虫歯を何とか全部除去できましたので、手前の歯の虫歯の治療も開始します。

全ての虫歯を除去しました。
このように、隣の歯との間は広い虫歯になっている事が多いですが、それでも症状がない事もあります。
ここまでこのブログを読んでいただいた、歯の治療に関心の高いあなたのご来院、お待ちしています。
https://kp-dental.com/Reservation
今後ともよろしくお願いします。
Case.15 症状から、虫歯と判断したケース

「歯がしみる」という訴えで来院された患者さんです。
パッと見は虫歯っぽくない感じですが。。。
歯と歯の間に風をかけるとしみる症状があります。

レントゲン写真で確認します。
わかりづらい写り方でしたが、どうやらしみる部分を中心に虫歯がありそうです。

早速、治療を開始します。
思ったよりも、虫歯は広がっていました。
赤く染まっている部分が虫歯です。
濃く染まっているので、虫歯が歯の奥まで入り込んでいる可能性が高いです。

神経が近くなってきたので、さらに慎重に虫歯を除去します。
まだ赤く染め出されてきます。
虫歯が取り切れていない状況です。

慎重に全ての虫歯を除去しました。
薄皮一枚、歯の神経ギリギリまでの虫歯でした。
これでは歯がしみてもおかしくありません。

神経を保護するお薬をつめた後、セメントで蓋をして、他の歯の治療をしながら痛みやしみが出ないか、経過観察します。
虫歯が深いと、まれに痛みが出て神経の治療が必要になる方がいますが、おそらくは大丈夫でしょう。
ここまでこのブログを読んでいただいた、歯の治療に関心の高いあなたのご来院、お待ちしています。
https://kp-dental.com/Reservation
今後ともよろしくお願いします。
Case.14 虫歯の診断に注意が必要なケース

検診目的で来院された方です。
奥歯とそのその前の歯の間側が黒くぼやけているのがわかります。
虫歯の可能性が高いですが、手前に銀歯が入っているせいで虫歯っぽく見えてしまう事もありますので、注意が必要です。

レントゲン写真で確認します。
虫歯と思われる場所がうっすらと黒く写っています。
虫歯があるとみて間違いないでしょう。

虫歯と思われる場所を削ると、大きな虫歯が出てきました。

全ての虫歯を除去しました。
結構大きな虫歯でしたが、来院されるまで症状は感じなかったそうです。
このように、自覚症状は虫歯の診断基準の一つでしかありません。
今回は症状がないうちに見つけられてよかったです。

新しいつめものを製作するために、金属を除去して歯の形をトリミングします。

後日、新しいつめものが入り、治療完了です。
ここまでこのブログを読んでいただいた、歯の治療に関心の高いあなたのご来院、お待ちしています。
https://kp-dental.com/Reservation
今後ともよろしくお願いします。
Case.13 歯と歯の間の虫歯が4本続いたケース

他の歯の虫歯の治療で来院された方で、下の歯の奥歯に虫歯が見つかった方です。
レントゲン写真で、歯と歯の間が虫歯になっているのがわかります。

手前の歯の状況です。
〇部のやっと黒く見えている部分が虫歯です。

少しずつ歯を削って確認します。
虫歯が出てきました。

全ての虫歯を除去したところです(薄く茶色に残っている部分は虫歯ではないです)。
かなり歯を削る必要があったのがわかるかと思います。

後ろの歯の状況です。
〇部に虫歯がある他に、矢印部、歯と歯の間に物がつまっているのが見えます。
このような状況の時は、中で大きな虫歯になっている事が多いです。

慎重に歯を削ります。
想像通り、大きな虫歯がでてきましたね。

治療してあった手前の歯のセメントの部分も外して、全ての虫歯を除去しました。
このように、自覚症状がなくても、虫歯は知らない間に深く広く進行している事が多いです。
くれぐれも自己判断はせず、定期検診するようにしてください。
ここまでこのブログを読んでいただいた、歯の治療に関心の高いあなたのご来院、お待ちしています。
https://kp-dental.com/Reservation
今後ともよろしくお願いします。
Case.12 2本続けて大きな虫歯!

下の奥歯に2本大きな虫歯が見つかった患者さんです。
右側の奥歯は側面に大きなレジンが入っており、その中も虫歯が怪しそうな写り方です。

まずは、手前の歯から虫歯治療をします。

赤い部分が虫歯です。
レントゲンで見た通り、深そうですね。

虫歯を全て除去したところです。
神経まで近い虫歯でした。
思ったよりも神経スレスレの状態でしたので、奥歯の治療は日を改めて、という事になりました。

その後、お痛みも出ていない事を確認できましたので、奥歯の治療に移ります。

奥歯も想定通り、大きな虫歯でした。
側面のレジンを外してみると、やはりその中も大きな虫歯になっていました。

赤い部分が虫歯の部分です。
かなり歯を大きく削っていますが、まだ虫歯が残っていますね。。。

全ての虫歯を除去したところです。
こちらは手前より神経スレスレの虫歯でした。
しばらくはお薬をつめて経過観察になります。
ここまでこのブログを読んでいただいた、歯の治療に関心の高いあなたのご来院、お待ちしています。
https://kp-dental.com/Reservation
今後ともよろしくお願いします。
Case.11 虫歯を指摘されて、1年間放置したケース

上の奥歯が、違和感や時折痛みがあるという訴えで来院された患者さんです。
1年前に他院で虫歯を指摘されたが、そのまま放置していたそうです。
お話内容からも嫌な予感が漂っていますが、症状がある歯のレントゲン写真からも神経まで近い大きな虫歯が見つかりました。
赤い部分が痛みを感じる歯の神経、青い部分が虫歯です。
もう、神経に触れそうな深い虫歯ですね、神経の治療が必要になるかもしれません。1年前に治療していれば。。。

見た目からははっきりと虫歯かはわかりません。
虫歯とはそうなんです、「見た目でなんともないから」「特に痛くないから、虫歯でない」とは限りません。
悪い事をする人と一緒で、隠れるものなのです。

歯の間を少しずつ削って虫歯を取っていきます。
両側とも虫歯になっていました。
特に右側はレントゲン写真通り、大きな虫歯ですね。
赤く染まっている部分です。

神経のそばまで歯を削りました。
ここまで削っても、まだ歯は赤く染まっています。

虫歯をすべて取り切りました。
神経が見える薄皮一枚のところでした。
1年前に治療していれば、歯を削る量は大幅に少なく済んだと思われるのが悔やまれます(><)
ここまでこのブログを読んでいただいた、歯の治療に関心の高いあなたのご来院、お待ちしています。
https://kp-dental.com/Reservation
今後ともよろしくお願いします。
Case.10 レントゲン写真でしか虫歯がわからなかったケース

検診希望で来院された患者さんの例です。
レントゲン写真で、後ろの歯との間に虫歯が見つかりました。
大きな虫歯になっていると考えられます。

上から見ただけでは私でもどこが虫歯かわかりません。
今回はレントゲン写真で明らかに判別できましたが、虫歯の診断はドクター間でも意見が別れる時があるほど、奥深く難しいです。
自己判断はくれぐれも禁物です。
今回はレントゲン写真で明らかに判別できましたが、虫歯の診断はドクター間でも意見が別れる時があるほど、奥深く難しいです。
自己判断はくれぐれも禁物です。

治療を始めて、虫歯の部分をう蝕検知液で染め出したところです。
真っ赤ですね。

慎重に虫歯を除去しますが、まだ虫歯が残っています。

虫歯を除去しました。
なんとか神経ぎりぎりのところで踏みとどまりまし
た(^^;)
いつものように、症状がでないかしばらく経過観察です。

お薬をつめてしばらく経過観察した後、特に症状などもありませんでしたので、つめもの(インレー)で歯の形を再現する事になります。
今回は良い素材の物で治療したいとのご希望でしたので、セラミック素材(E-MAXインレー)で治療をする事になりました。
歯の形をトリミングして、型どりをします。

E-MAXインレー、Set後の状態です。
自然な見た目で治療出来たかと思います。
セラミック・インレーは、歯への密着性が高いため、金属のインレーよりも虫歯の再発が抑えられる(だからといって、メンテナンスが必要ないわけではありません)というメリットもあります。
| 治療回数 | 3回 |
| 治療期間 | 約3週間 |
| 費用 | E-MAX・インレー (50,000円) +保険治療費用(虫歯除去など) |
(2024年5月)
ここまでこのブログを読んでいただいた、歯の治療に関心の高いあなたのご来院、お待ちしています。
https://kp-dental.com/Reservation
今後ともよろしくお願いします。
Case.9 虫歯の穴に物がつまって痛んだケース

「歯と歯の間に物がはさまって痛い」という訴えで来院された患者さんです。
お口の中を拝見すると、歯と歯の間に食渣がつまっていて、大きな虫歯の可能性が頭をよぎります。

レントゲン写真で確認します。
思った通り、歯と歯の間から大きな虫歯になっています。
ほとんど歯の神経に触れてしまいそうな状況です。

麻酔をして、歯を少しずつ削って虫歯を除去します。

虫歯を全て除去した状態です。
レントゲン写真で確認した通り、とても広く、深い状況でした。

神経を保護するお薬をつめて、しばらく経過観察です。
神経が痛み出さない事を祈ります。。。
ここまでこのブログを読んでいただいた、歯の治療に関心の高いあなたのご来院、お待ちしています。
https://kp-dental.com/Reservation
今後ともよろしくお願いします。
Case.8 劣化した金属の下で大きな虫歯!

虫歯の治療中の患者さんです。
金属のつめものの下が虫歯になっているのと、隣の歯との間に、食渣がつまっています。
この食渣がつまっている歯のすき間も虫歯になっている可能性が高いです。

金属を除去しながら虫歯を除去していきます。

思ったとおり、隣の歯との間にも虫歯が進行していました。

金属の下の虫歯を全部除去しました。

隣の歯の側面の虫歯を除去したところです。
あまり深い部分まで虫歯が進行していなかったのが幸運でした。
このように、隣の歯とのすき間は虫歯になりやすい場所です。
食事の際に物がつまる事が多くなった方は、もしかしたら虫歯になっているかもしれません。
ここまでこのブログを読んでいただいた、歯の治療に関心の高いあなたのご来院、お待ちしています。
https://kp-dental.com/Reservation
今後ともよろしくお願いします。
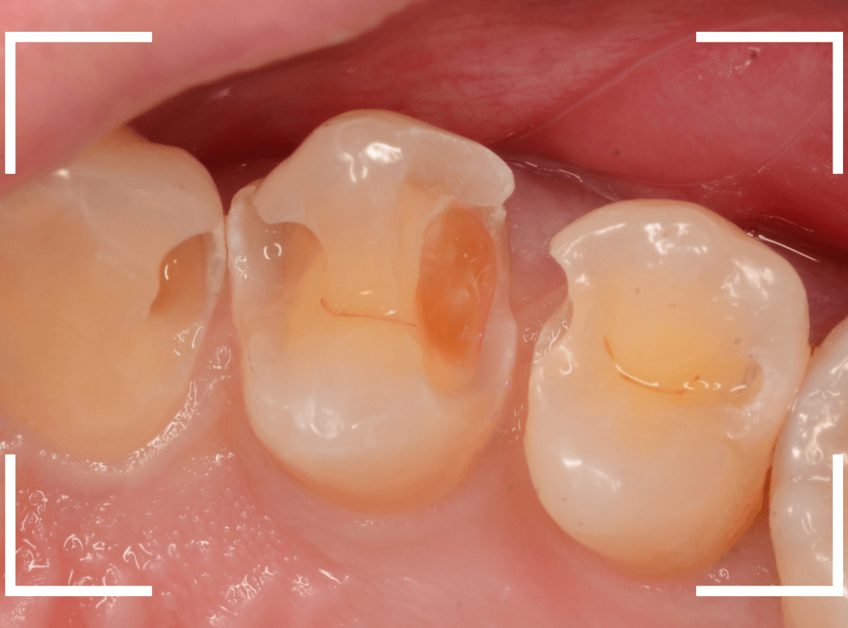
Case.7 定期メンテナンスで虫歯を発見!

メンテナンス時に、虫歯がみつかった患者さんです。
奥(右の〇)側が黒く虫歯が透けて見えますね、割とわかりやすい隣接面う蝕です。
よく見ると手前(左の〇)側も中が白濁してう蝕らしくなっているのがわかります。

レントゲン写真で確認します。
奥側の虫歯は明らかにレントゲンでも確認できますね、手前側の虫歯ははっきりしません。
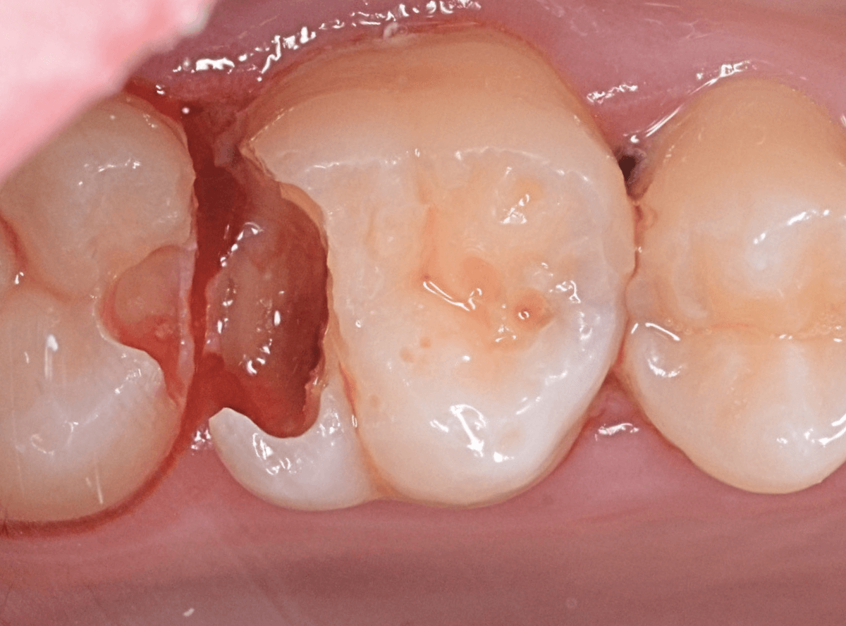
あとは、虫歯を削りながら確認します。

まずは、奥側の部分から虫歯の治療をします。
少し削ると、落とし穴にはまるように虫歯の部分がでてきました。

最終的に虫歯を除去したところです。
奥の虫歯は、後ろの歯にまで及ぶ虫歯でした。
このように、隣りの歯との間の虫歯は、歯科医院での検査で初めてわかる事が多く、思ったよりも広く深い虫歯になっている事が多いです。

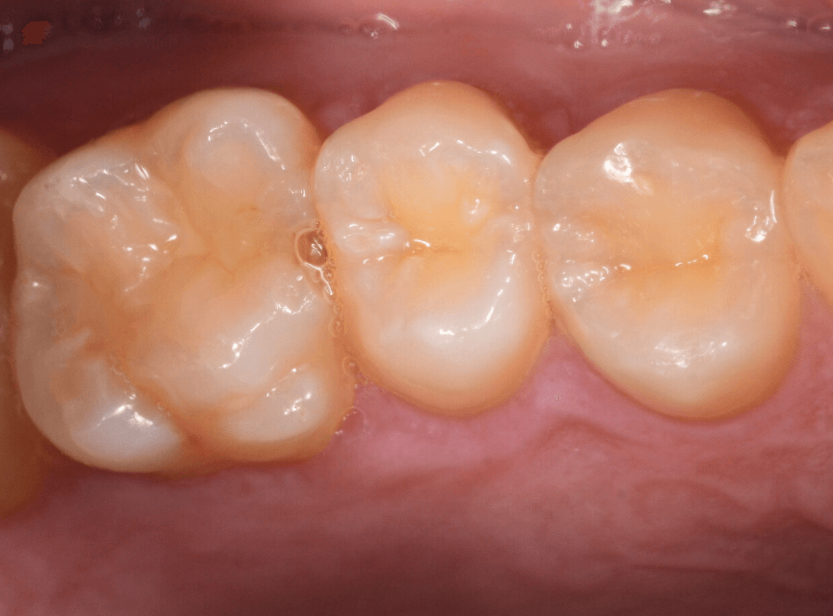
虫歯の深い部分にお薬をつめて経過観察後、隣りの歯をレジンで修復し、トリミング・型どりしました。

メタルインレーで最終修復したところです。
その後、症状もなく治療が終われました。
ここまでこのブログを読んでいただいた、歯の治療に関心の高いあなたのご来院、お待ちしています。
https://kp-dental.com/Reservation
今後ともよろしくお願いします。
Case.6 歯の側面から虫歯が進行

レントゲン写真で、歯と歯の間に虫歯が見つかった患者さんです。
赤い線のあたりが虫歯で、歯の中まで入り込んだ虫歯と思われます。

上から見た感じでは虫歯があるかわかりませんね。

治療を開始します。
レントゲン写真で虫歯が写っていた部分を、上から少し削ってみると、すぐさま虫歯が出てきました。
赤い部分が虫歯です。

慎重に虫歯を削ってみると、かなり中まで虫歯が進行している状態でした。
手前の歯まで、虫歯が進行しています。

虫歯を全て除去したところです。
歯の神経スレスレのところまで虫歯がきていました。
思った以上の虫歯の深さで、治療中ヒヤッときました。
虫歯が神経に到達する前に見つかってよかったです。
ここまでこのブログを読んでいただいた、歯の治療に関心の高いあなたのご来院、お待ちしています。
https://kp-dental.com/Reservation
今後ともよろしくお願いします。
Case.5 歯のあちこちが虫歯!

他の歯の治療目的で来院された患者さんです。
歯の表面と歯と歯の間に虫歯が見られます。
表面上はあまり大きな虫歯ではなさそうですが、どうでしょうか。

レントゲン写真上では、歯と歯の虫歯が少し中に入りこんでいる状態のようです。

麻酔をして、少しずつ虫歯を削っていきます。
この場面では、レントゲン写真で診断つく程度の虫歯かと思っていたのですが・・・。

虫歯が取り切れているか、齲蝕検知液で調べてみます。
赤く染まっているところが、まだ虫歯が残っている部分です。
思ったよりも虫歯が中に入り込んでいるようです。
よく見ると歯のおしり、つけねの部分にも虫歯があるのが見つかりました。

そこまで深くなかそうに見えますが、どうでしょうか。
後は、慎重に削りながら調べていくしかありません。

全ての虫歯を除去したところです。
レントゲン写真から判断するのよりも、かなり広範囲で深い部分もある虫歯でした。
症状がないうちに治療が進められてよかったと思います。
ここまでこのブログを読んでいただいた、歯の治療に関心の高いあなたのご来院、お待ちしています。
https://kp-dental.com/Reservation
今後ともよろしくお願いします。
Case.4 歯肉と虫歯が相互進行

「歯肉が腫れた」との訴えで来院された患者さんです。
腫れていると感じる歯肉の周辺を見ると、虫歯も見つかりました。
奥歯の前後に虫歯があります。

レントゲン写真で確認すると、特に奥側の虫歯が大きな虫歯で神経に近いところまで虫歯が進んでます。
虫歯の穴に食べかすがつまり、歯肉が腫れやすくなったのかもしれません。

治療を開始したところです。
少し歯を削ったら、大きな虫歯がすぐに出てきました。

思った以上に虫歯は広く、歯肉の下や、隣の奥歯にも虫歯が広がっています。
さらに慎重に虫歯を除去します。

最終的に虫歯を全部除去したところです。
写真では隠れてしまっていますが、神経が少し見えるところまで虫歯が進んでいました(露髄)ので、お薬をつめて様子見をします。
痛みが出ませんように。。。
手前の虫歯は、次回お痛みがなければ治療を進める事になりました。
ここまでこのブログを読んでいただいた、歯の治療に関心の高いあなたのご来院、お待ちしています。
https://kp-dental.com/Reservation
今後ともよろしくお願いします。
Case.3 穴が見えてない方が大きな虫歯!

こちらも別の歯の治療を目的に受診された方です。
奥歯に少し穴が開いていますが、そこまで大きな虫歯には見えません。
患者さんも特に症状を感じていないようです。

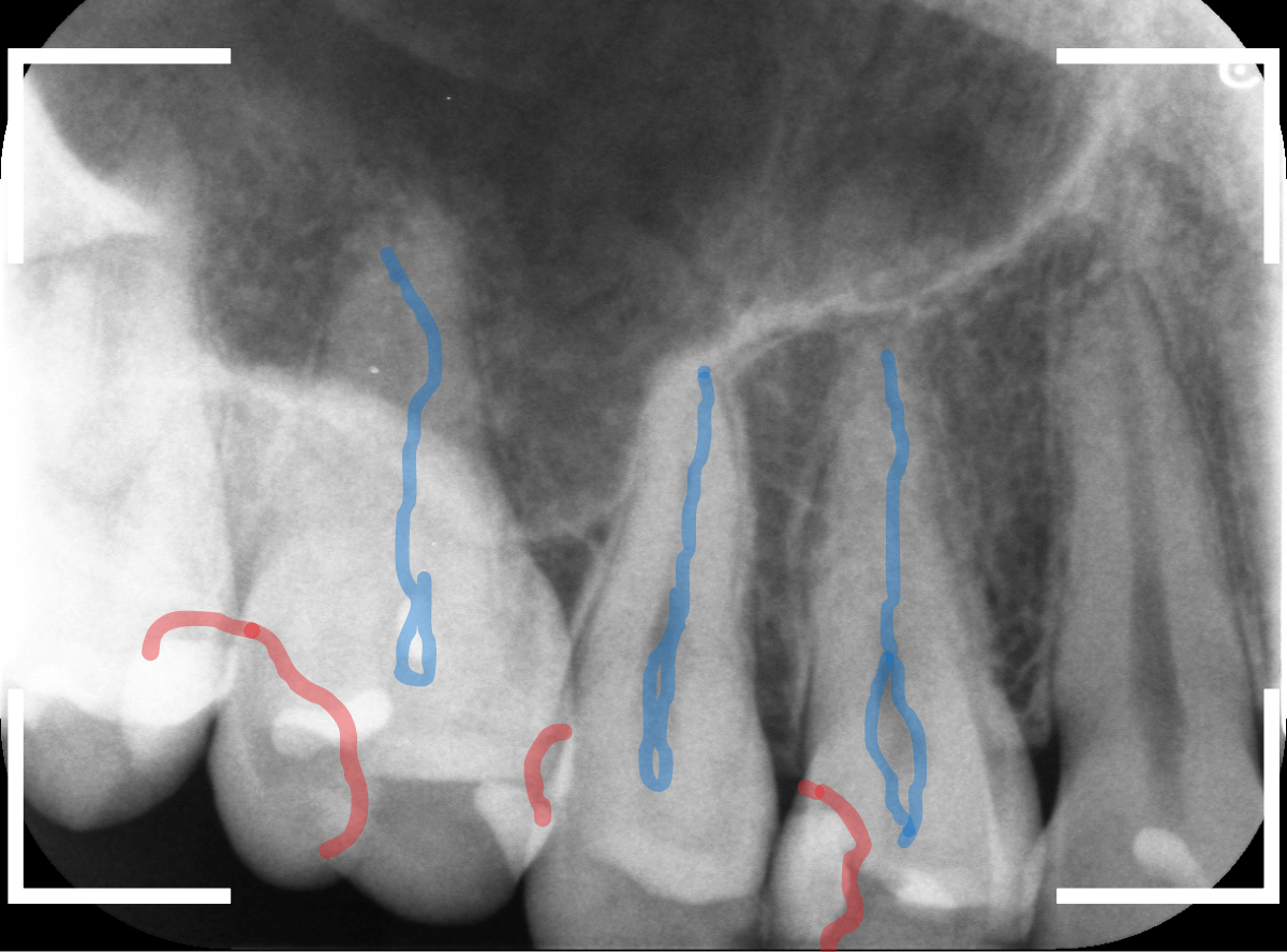
レントゲン写真で確認すると、穴が見える歯の手前の2本が、神経に達するほどの大きな虫歯になっているのが見つかりました。
通常であれば、何かしらの症状が起きてもおかしくありません。

患者さんに状況を説明し、症状が出ないうちに、治療を開始します。
少し歯を削ると、すぐに大きな虫歯が出てきました。

慎重に削りながら、う蝕検知液でチェックします。
まだまだ虫歯が残っています。

最終的には二本とも、神経ギリギリまでの虫歯でした。
いつもながら、症状が出ない事を祈りながら、様子をみます。。。
ここまでこのブログを読んでいただいた、歯の治療に関心の高いあなたのご来院、お待ちしています。
https://kp-dental.com/Reservation
今後ともよろしくお願いします。
Case.2 症状がないけど、神経が見えるほどの虫歯!

こちらも別の歯の治療を目的に受診された方です。
特に症状もないため、本人には全く自覚はありませんが、一目見てわかるほど歯と歯の間に大きな虫歯があります。

治療をすると、やはり大きな虫歯が出てきました。
まだまだ虫歯は深いです。

かなり大きく削りましたが、まだ虫歯が残っているのがわかります(赤く染まっている部分)。

慎重に虫歯を除去し、神経ギリギリのところで虫歯をくいとめました。

しかし、手前の歯をよく見ると、神経がうすく透けて見える状態ですので、本当にギリギリです。
このような深い状態の虫歯でも、症状がなく、治療後に痛み出す事もあります。
今回もお薬をつめて、お痛みが出ないかしばらく経過観察となりました。
虫歯を見た目や痛みなどの自覚症状だけで問題ないと自己判断する患者さんがいます。
「痛みのない、問題ない歯を削られた!」と騒ぐ方もいます。
このような症例を見る事によって、症状がなくても歯科医院でしっかり定期検査し、治療を受ける重要性を理解していただければと思います。
ここまでこのブログを読んでいただいた、歯の治療に関心の高いあなたのご来院、お待ちしています。
https://kp-dental.com/Reservation
今後ともよろしくお願いします。
Case.1 奥歯のスキマが大きな虫歯!

他の歯の治療目的で来院された患者さんです。
全体検査の際、ちょっとこの歯、アヤシイなと思いましたが、確証はありませんでした。
(この写真で改めて見ると、かなりアヤシイと思いました)

レントゲン写真で確認すると、かなり大きな虫歯でした。

後日、改めて時間をお取りして、麻酔をかけて治療を開始です。
歯の表面を少し削ると、ボロッと虫歯が出てきました(>_<)

歯と歯の間の虫歯は、大抵は両方の歯に広がっている事がほとんどです。
今回のケースも、隣の歯まで、虫歯は広がっています。

最終的には、かなり神経に近いところまで虫歯が進んでいました。
もう少し遅かったら、危なかったと思います。
他の歯の治療で来院された事が、幸運でした。

しばらく経過観察した後、特に症状がありませんでしたので、隣の歯をレジンで治療後、ジルコニア・インレー(70,000円(税込み/2024年1月現在))で治療することにありました。

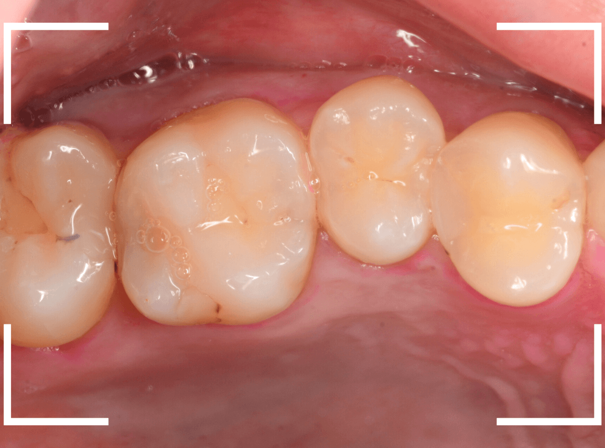
治療後の写真です。
特に症状もなく、審美性も高く治療することができました♪
ここまでこのブログを読んでいただいた、歯の治療に関心の高いあなたのご来院、お待ちしています。
https://kp-dental.com/Reservation
今後ともよろしくお願いします。
高円寺PAL歯科医院 :https://kp-dental.com/
〒166-0003 杉並区高円寺南4-25-4 RESTA高円寺3F
電話:03-6383-1963
電車でお越しの方:
JR線 高円寺 駅南口より 徒歩2分
