気づかないうちに深い虫歯
2025/07/24
「痛くない=大丈夫」は本当に危険!虫歯は本人が気づかないうちに進行します
こんにちは、高円寺PAL歯科医院の新井です。
「全然痛くないし、虫歯があるなんて思わなかったんです」
これは、本当によく言われる言葉ですが、虫歯は自覚症状がないまま、静かに進行する事が多いです。
確かに、お痛みを感じるかどうかが虫歯の判断基準の1つではありますが、大きな虫歯になっても症状を感じず、ある日突然激痛になった!というのもよくある話です。
虫歯は「痛くなってから治す」では遅い理由
虫歯が原因で、歯が痛くなった場合・・・かなり進行した段階であることがほとんどです。
特に以下のようなケースでは、本人がまったく気づかないまま虫歯が深くなってしまいます。
表面が小さくても中で広がっているケース
歯の噛む面や溝の部分にできた小さな穴でも、内側(象牙質)では大きく広がっていることがあります。
このような虫歯は、視診やレントゲンだけでは発見が難しいこともあるため、精密な診断が必要です。
歯と歯の間にできた虫歯(隣接面う蝕)
歯と歯の間にできた虫歯は、見た目ではほとんどわかりません。
このタイプも自覚症状が出にくく、進行して初めて痛みが出るため、「気づいたときには神経まで達していた」ということも。
神経がすでに死んでしまっている
虫歯が神経まで進行したら、痛みが出る事がほとんどですが、我慢しているうちに歯の神経が死んでしまうと、逆に痛みを感じなくなることがあります。
これを「痛くないから治った」と誤解して放置してしまうと、やがて根の先に膿がたまり、大きな炎症や腫れを引き起こすこともあります。
虫歯が静かに進行する理由
なぜ虫歯はかなり進行するまで気づかない事が多いのでしょうか?
1. エナメル質には神経がないから
歯の最外層であるエナメル質には神経が通っていないため、多少削れても痛みはありません。
エナメル質を突破して象牙質まで達する頃にようやくしみたり痛みを感じたりします。
2. 一時的に痛みが消える場合がある
虫歯の痛みは、神経が炎症を起こしているときに起きますが、一時的に炎症が収まったり、神経が死んでしまったりすると、痛みが消えることがあります。
これを「治った」と誤解し、受診が遅れてしまうこともよくあります。
気づきにくい虫歯には、どうすればいいのか?
重要な事は、症状がなくても定期的にメンテナンスに来院してもらい、症状がなくてもレントゲン検査などを行い、チェックを受ける事です。
それだけの事で、虫歯の進行はかなり抑えられます。
実際の治療例
Case.18 おやしらずの抜歯後に歯がしみる

今回は、上のおやしらずが原因で虫歯になってしまった方のケースです。
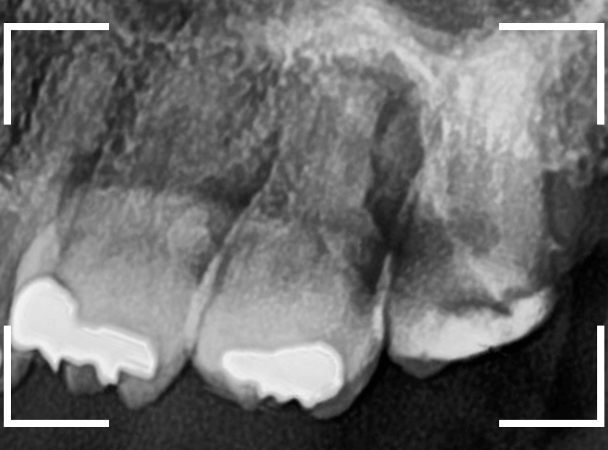
〇部のおやしらずを虫歯で抜歯しました。

レントゲン写真です。
レジンの下が虫歯になっているのがわかります。

抜歯してしばらく経ったところです。
特に問題なさそうに見えますが、「おやしらずを抜歯してから、歯がしみるようになった」との訴えです。
これは、おやしらずを抜歯した後によくある症状です。

レントゲン写真で確認します。
青い線が歯の神経、赤い線が虫歯です。
おやしらずがあった際にはわかりづらかったですが、歯の後ろ側のおやしらずが重なっていたところが虫歯になっているのがわかります。
おやしらずが原因で、このように手前の歯が虫歯になってしまう事が多いために、抜歯を勧められる事が多いのです。
そして、虫歯の部分におやしらずが被さっていたために、しみる症状などを感じなかったのです。

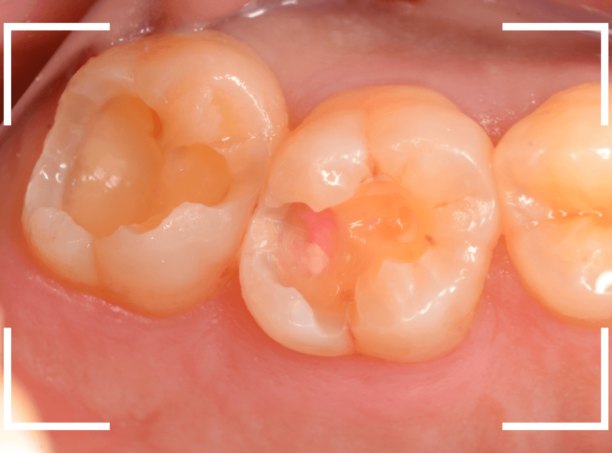
金属を外したところです。
写真では写ってしませんが、この奥に虫歯があります。

全ての虫歯を除去したところです。
抜歯した後ろのおやしらずは、元々虫歯の治療がしてありましたが、その際に抜歯しておいた方が良かったのではないかな、と思いました。
ここまでこのブログを読んでいただいた、歯の治療に関心の高いあなたのご来院、お待ちしています。
https://kp-dental.com/Reservation
今後ともよろしくお願いします。
Case.17 <動画編>痛みが出るまで様子見た、虫歯の治療
今回は、「上の奥歯が噛むと痛い」という訴えで来院された患者さんのケースです。
初見では、どこが悪いのかはっきりわかりません。
レントゲン写真で確認すると、 奥歯はどの歯も深い虫歯ですが、特に、奥から2番目の歯が深い虫歯で、痛みの原因だと思われます。
痛みが出るまで様子見た虫歯はどうなっているのでしょうか。
ここまでこのブログを読んでいただいた、歯の治療に関心の高いあなたのご来院、お待ちしています。
https://kp-dental.com/Reservation
今後ともよろしくお願いします。
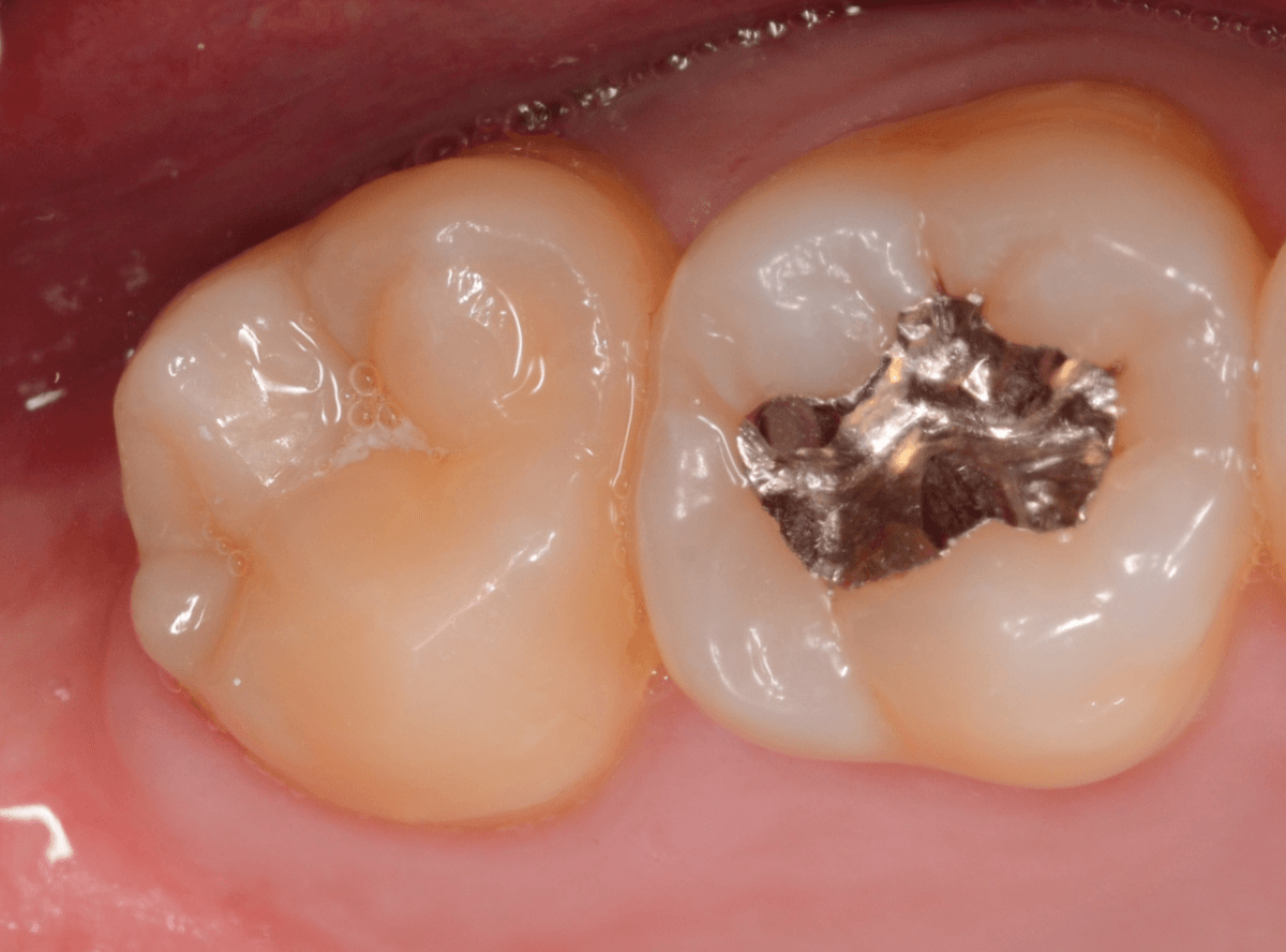
Case.16 <動画編> 痛くなくても、銀歯の中は…
今回は、さし歯の中で虫歯が深く進行してしまった患者さんのケースです。
神経を取った歯のため、痛みは感じませんが、虫歯にならないわけではありません。
さし歯の中で虫歯はどう進行しているのでしょうか。
今後は、少しずつ動画も織り交ぜて、治療紹介していけたらなと考えています。
ここまでこのブログを読んでいただいた、歯の治療に関心の高いあなたのご来院、お待ちしています。
https://kp-dental.com/Reservation
今後ともよろしくお願いします。
Case.15 歯肉の中まで、虫歯が進行

今回は、下の奥歯が虫歯になってしまった方です。
銀歯の下が大きくかけていますが、神経を取っている歯なので痛みはありません。
隣りの奥歯は、土台のまま治療途中になっています。

レントゲン写真で確認します。
赤い部分が虫歯、青い線が歯肉のラインです。
奥歯2本とも虫歯になっています。
どちらも虫歯が深く、歯肉の中まで入り込んでいると思われます。
この虫歯の深さは、最悪、抜歯が必要になるかもしれないケースです。
神経のない歯ですが、歯肉を処置する必要があるため、麻酔をして治療します。

まず、つめものを外します。

歯肉を処置しながら、虫歯を除去します。

虫歯の全て除去後、止血したところです。
かなり深いところまで虫歯が進行していましたが、なんとかぎりぎり抜歯せずに、土台を作って噛み合わせを回復できそうです。
神経を取った歯は、虫歯がいくら進行しても痛みにならず、最悪、抜歯一直線になってしまいます。
いつもの話になりますが、治療後の定期メンテナンスを忘れずに。。。
ここまでこのブログを読んでいただいた、歯の治療に関心の高いあなたのご来院、お待ちしています。
https://kp-dental.com/Reservation
今後ともよろしくお願いします。
Case.14 さし歯の中で、虫歯が進行!

他の歯の治療で来院された際に、さしばの中の大きな虫歯が見つかった方です。
見た目では特に問題なく、症状もありません。

レントゲン写真で確認すると、さし歯の中で明らかに大きな虫歯になっているのが分かりました。
さし歯の中の虫歯はレントゲン写真でも隠れてしまう事が多いので、レントゲン写真で見つかったのは、不幸中の幸いでした。

さし歯を外すと、レントゲン写真で想像どおり、大きな虫歯が出てきました。

慎重に虫歯を除去します。
虫歯がかなり深いです。

全ての虫歯を除去しました。
神経スレスレまで達した虫歯でした。

いつものように、虫歯を除去した部分にお薬をつめてしばらく経過観察をします。
このように、見た目や症状からだけでは、虫歯の進行はわかりません。
くれぐれも自己判断は禁物です。。。
ここまでこのブログを読んでいただいた、歯の治療に関心の高いあなたのご来院、お待ちしています。
https://kp-dental.com/Reservation
今後ともよろしくお願いします。
Case.13 下の一番奥の歯が、歯肉の下で虫歯

メンテナンス時に、〇部のレジンが破折しているのが見つかった方です。
小さな破折ですが、中が虫歯になっていないか、念のためレントゲン写真で確認してみました。

レントゲン写真で確認すると、偶然破折した部分と別の場所、歯の奥の歯肉の中が虫歯になっているのが見つかりました。
虫歯もみつけづらいですし、治療もしづらいところです。

レジンを外して、虫歯の治療を開始します。

レントゲン写真から、虫歯があると思われる部分を少しずつ削っていきます。
この下が虫歯になっているはずです。

虫歯の部分に歯肉が入り込んでいましたので、電気メスで除去しながら、虫歯を処置します。
視認性の悪いところで苦労しましたが、これで虫歯は取れたはずです。

レントゲン写真で確認します。
うまく虫歯が除去できている事が確認できました。

念のため、お薬をつめて少し経過観察し、問題なければ、後日型取りをしてつめものを作る予定です。
今回は、浅い状態で虫歯の処置ができました。
この要因はなんでしょうか。
- 患者さんが定期メンテナンスに通っていた。
- 治療前にレントゲン写真で確認した。
この二つがなければ、この手の虫歯は痛みが出るまで気づきませんし、虫歯も抜歯が必要なくらい深い状態である事も予想されました。
皆さんも、治療後の定期メンテナンスに通うようにしてくださいね。
ここまでこのブログを読んでいただいた、歯の治療に関心の高いあなたのご来院、お待ちしています。
https://kp-dental.com/Reservation
今後ともよろしくお願いします。
Case.12 下の一番奥の歯が、奥からひどい虫歯

「下の一番奥の歯が痛い」という訴えで来院された患者さんの例です。
一見では、特に問題ないように見えます。

レントゲン写真で確認します。
青いラインが歯の神経、赤いラインが虫歯です。
歯の奥の見えない部分から、大きな虫歯になっているのがわかります。
神経を除去しなければいけないかもしれないくらいの虫歯です。

治療を開始します。
歯の奥の部分を少し削ると、虫歯が出てきました。

慎重に虫歯を除去します。

歯肉ラインの下まで虫歯が進行しているため、虫歯の上に歯肉が広がっており、虫歯の見分けがつきづらい状況になっています。
虫歯を取り残さないように、余分な歯肉を除去します。

電気メスで、虫歯周囲の歯肉を除去後、全ての虫歯を除去しました。
虫歯は深かったですが、なんとか神経寸前のところで食い止められました。

神経を保護するお薬をつめて、セメントで蓋をしてしばらく経過観察します。
経過観察後、痛みがない事が確認できれば、つめものを作製します。
ここまでこのブログを読んでいただいた、歯の治療に関心の高いあなたのご来院、お待ちしています。
https://kp-dental.com/Reservation
今後ともよろしくお願いします。
Case.11 外れたつめものの中は、ひどい虫歯

「上の奥歯のつめものが外れた」という訴えで来院された患者さんの例です。
つめものの外れてしまったつめものの中が虫歯になっているのが見えます。

レントゲン写真で確認します。
赤いラインが虫歯、青いラインが歯の神経です。
現在、つめてあるレジンの中まで虫歯が大きく進行し、ほぼ神経まで達しているのがわかります。

虫歯の治療を開始します。
奥につめてあるレジンも除去して中を確認します。

さらに慎重に虫歯を除去します。

手前の歯まで虫歯が進行しているのがわかります。

全ての虫歯を除去したところです。
薄皮一枚、神経ギリギリのところで虫歯を食い止められました。
しばらくは、お薬をつめて経過観察が必要です。
今回、つめものが外れてしまったのは、つめものの中が虫歯になったせいだと考えられます。
今回は、つめものが外れたのが受診のきっかけになったのが不幸中の幸いでした。
ここまでこのブログを読んでいただいた、歯の治療に関心の高いあなたのご来院、お待ちしています。
https://kp-dental.com/Reservation
今後ともよろしくお願いします。
Case.10 上の一番奥の歯が、ひどい虫歯

他の歯の虫歯の治療を希望されて来院された患者さんですが、上の奥歯もひどい虫歯になっています。

レントゲン写真で確認します。
青い線が神経、赤い線が虫歯です。
予想していましたが、神経まで達してしまいそうな虫歯です。
このような状態でも、患者さんは症状なくケロッとしています。

とはいえ、いつ痛みだしてもおかしくない状況ですので、早急に治療します。
慎重に虫歯を除去します。

出来る限り歯を削る量を少なくするため、エキスカを使て、耳掃除のように手さぐりで虫歯を除去します。
虫歯に感染した歯は、このようにクッキーの食べかすのような状況になってしまいます。

虫歯をかなり除去しところで、う蝕検知液でチェックします。
赤い部分が虫歯です。
まだ虫歯が取り切れていません。

う蝕検知液で染色されないところまで、そ~っと虫歯を除去しました。
残念ながら、歯の神経が一部露出しています。

状況的には厳しいですが、神経を保護するお薬をつめて、セメントで蓋をして、痛みが出たら、神経を除去する必要がある事を説明して経過観察することになりました。
痛みがなくても、このように大きな虫歯になっている事は多くあります。
くれぐれも「痛みがある、なし」の自己判断で受診を控えるのはさけてくださいね。
ここまでこのブログを読んでいただいた、歯の治療に関心の高いあなたのご来院、お待ちしています。
https://kp-dental.com/Reservation
今後ともよろしくお願いします。
Case.9 隣の歯まで虫歯が進行していたケース

上の奥歯が痛むという訴えで来院された患者さんです。
一番奥の歯(左)が虫歯になっているのが一目でわかります。
虫歯も深そうです。

レントゲン写真で確認します。
赤い線が虫歯、青い線が歯の神経です。
歯の神経までは少し距離がありそうですが、深い虫歯であるのはわかります。
となりのつめもの(レジン)の下も虫歯になっているのがわかります。

治療を開始します。
赤く染まっている部分が虫歯です。
思った通り、かなり深く進行していますね。

奥歯の虫歯が全部除去できましたので、手前の歯の虫歯も治療します。
赤く染まっている部分が虫歯です。

全ての虫歯を除去しました。
レントゲンから予測した通り、かなり広範な虫歯でした。
お薬をつめて、しばらく症状がないか経過観察後、つめものを作る治療に移ります。
ここまでこのブログを読んでいただいた、歯の治療に関心の高いあなたのご来院、お待ちしています。
https://kp-dental.com/Reservation
今後ともよろしくお願いします。
Case.8 治療を中断して、つめものが取れてさらに虫歯が進行したケース

こちらも、前のケースの方と同じように、治療中断後、つめものが取れて長期間放置してしまった患者さんのケースです。
しみるなどの症状が現れたので、来院に至ったようなのですが、症状が出ている場合、だいたい、虫歯は重症化している事が多いです。

レントゲン写真で確認します。
青いラインが神経、赤いラインが虫歯と思われる部分です。
前後の歯まで、虫歯が広く進行しているのが想定できます。

虫歯の治療を開始すると、すぐに深めの虫歯が出てきました。

神経に近い部分まで虫歯が進行していますので、慎重に虫歯を除去します。

全ての虫歯を除去しました。
前後の歯にまで虫歯が広く進行していました。
場合によってはお痛みが出る可能性をお話しし、お薬をつめて経過観察をしました。
いつものフレーズになりますが、症状が出てからの歯科受診は、このように大きく歯を削る治療になります。また、手遅れになっている事も多いです。
お口の中のトラブルの多くは定期的なメンテナンスによって、防ぐことができます。
ご自身の身体のことですので、将来後悔のないようにしてください。
ここまでこのブログを読んでいただいた、歯の治療に関心の高いあなたのご来院、お待ちしています。
https://kp-dental.com/Reservation
今後ともよろしくお願いします。
Case.7 治療を中断して、神経に達するほど虫歯が進行した

こちらは正確には「気づかない」ではなく、症状がないため治療途中の虫歯を放置してしまった方の例です。
つめていたセメントが剥がれ、大きな穴が空いています。

レントゲン写真で確認します。
青い部分が神経、赤い部分が虫歯です。
虫歯を放置してしまったため、歯の神経まで虫歯が達しています。
また、手前の歯の歯肉の中まで、虫歯は大きく進行しています。

慎重に虫歯を除去します。
手前の歯は神経の処置をしているため、どれだけ虫歯が進行しても症状はなく、歯肉を除去しながら深い虫歯の処置をしています。

ここまで虫歯を除去しても、染色液で染めだすと赤く染まってきます。
神経に触ってしまわないがとても怖いですが、取り残してしまうと治療の意味がなくなってしまいますので、より慎重に虫歯を除去します。

奥歯の虫歯をなんとか全て除去できましたが、神経が一部顔を覗かせている状況です。
こうなると、治療後に痛みが出て、神経を除去しなければいけない可能性があります。

神経を保護するお薬をつめて、セメントで蓋をします。
あとは、手前の虫歯の治療をしながら、痛みが出ない事を祈るばかりです。
絶対に治療を中断しないよう、念を押したのは言うまでもありません。。。
ここまでこのブログを読んでいただいた、歯の治療に関心の高いあなたのご来院、お待ちしています。
https://kp-dental.com/Reservation
今後ともよろしくお願いします。
Case.6 上の奥歯の、見えづらいところで虫歯が進行!

こちらも上の一番奥の歯が深い虫歯になってしまった方です。
歯の頬側から奥側にかけて大きな虫歯になっているのがわかります。
カメラではうまく撮れましたが、実際は歯ブラシが届きづらく、虫歯になりやすいところです。

頬側の写真です。
ボコッと虫歯で穴が空いている状況ですが、本人には自覚症状がありません。
自覚症状がないから問題ないわけではない、というのがわかりますね。

治療を開始すると、大きな虫歯が出てきました。

虫歯を全て除去したところです。
赤い小さな点が見えているのは、歯の神経が少し見えてしまっている状態です。
運が悪ければ、神経を取る治療が必要になるかもしれません。

神経を保護するお薬をつめ、セメントで蓋をして、しばらく経過観察をします。
あとは痛みが出ないように祈ります。。。
ここまでこのブログを読んでいただいた、歯の治療に関心の高いあなたのご来院、お待ちしています。
https://kp-dental.com/Reservation
今後ともよろしくお願いします。
Case.5 上の一番奥の部分が深い虫歯!2

こちらも上の奥歯の奥側が虫歯になってしまった患者さんです。
本人に自覚症状はないようですが、一見して虫歯が大きそうだな、と思いました(><)

青い線が歯の神経、赤い線が虫歯です。
以前にレジン治療をした中で虫歯が進行してしまい、かなり神経に近くなってしまっていると思われます。

麻酔をして、レジンの部分を全部除去したところです。
見えづらいですが、まだ虫歯が残っているのがわかります(黒い部分)。

虫歯を全部除去したところです。
歯の1/3くらいは削る必要のある大きな虫歯でした。
神経に近い虫歯でしたので、お薬をつめてしばらく経過観察になります。
上の奥歯の奥側の虫歯は、とても見えづらいところで、治療をする私たち歯科医も、口を開けている患者さんもとても苦しい治療になります。
治療が必要にならないように、定期検診を忘れないようにお願いします。

さて、しばらく経過観察した後、症状もありませんでしたので、型どりをして最終修復に入ります。
「良い素材で治療をしたい」という患者さんのご希望でしたので、ジルコニア・インレーで治療をする事になりました。

模型上で精密に製作します。

set後の写真です。
なんとか審美性も確保した状態で治療を終われました。
| 治療回数 | 3回 |
| 治療期間 | 3週間 |
| 費用 | ジルコニア・インレー (70,000円) +保険治療費用(虫歯の治療費用など) |
| メリット | 経年劣化で腐食しない 清掃性が高く、プラークや歯石がたまりにくい |
| デメリット | かみ合わせの強い方はまれに割れる事がある 保険診療に比べて高価 |
2024年6月現在
ここまでこのブログを読んでいただいた、歯の治療に関心の高いあなたのご来院、お待ちしています。
https://kp-dental.com/Reservation
今後ともよろしくお願いします。
Case.4 2年間メンテナンスを中断している間に、深く虫歯が進行!

定期メンテナンスを2年間中断後に、来院された患者さんです。
見た目は手前の歯との間の小さな虫歯に見えますが、
「普段は痛くない」
「食事の時に物がつまる」
「物がつまった時に噛むと痛い」
・・・と、自覚症状は乏しいが、実際は大きな虫歯の場合の症状あるあるの訴えでした。

レントゲン写真で虫歯の状況を確認します。
赤い線が虫歯の部分、青い線が歯の神経の部分です。
思った通り、入り口の小さなすき間の中は、神経まで達してしまいそうな大きな虫歯になっていました。

歯を削り始めると、すぐに大きな穴が出てきました。

ある程度虫歯を除去したところで、う蝕検知液で染め出してチェックします。
まだまだ虫歯が残っていますね。
取り残しがないように、しっかり除去する必要があります。

虫歯を全て除去したところです。
神経が少し見えるところまで虫歯が進行していました。

神経を保護するお薬をつめた後、蓋をしてしばらく痛みが出ないか、経過観察します。
痛みが出て止まらないようでしたら、神経を除去する治療が必要になります。
定期メンテナンスを中断しなければ、このような状況にはならなかった事が本当に悔やまれます。

しばらく経過観察後、幸運にも特に症状なく経過しましたので、型どりをして、つめもの(メタル・インレー)で修復する事ができました。
この後、サボらず定期メンテナンスに来院いただくよう、念を押して治療終了となりました。
ここまでこのブログを読んでいただいた、歯の治療に関心の高いあなたのご来院、お待ちしています。
https://kp-dental.com/Reservation
今後ともよろしくお願いします。
Case.3 上の一番奥の部分が深い虫歯!2


こちらも、上の奥歯の奥側が大きな虫歯になってしまった方です。
他の歯の治療を希望されて来院されたのですが、こちらの虫歯については本人には全く自覚がありませんでした。

レントゲン写真で境界が若干はっきりしませんが、虫歯が深そうな写り方です。


虫歯治療の途中経過です。
赤く染まった部分が、虫歯の部分です。
やはり、かなり深い虫歯です、慎重に虫歯を除去します。

虫歯を全て除去したところです。
神経まで近い虫歯でしたが、なんとか寸前でくい止められました。
虫歯を自覚症状で自己判断は危険です。
歯科医院での定期検診で早期発見するように心がけましょう。

しばらく経過観察した後、特に症状もなく経過しましたので、型を取ってつめもの(インレー)で歯の形を仕上げます。
今回は、できるだけ良い素材での治療をご希望されましたので、ジルコニア・インレーでの治療となりました。

型を取った製作した模型上でジルコニア・インレーを製作します。

お口の中でsetしたところです。
ほとんど調整する事もなく、ピッタリと合わせる事ができました。
さて、こんな上の奥歯にセラミック系のつめものを入れるメリットはなんでしょうか。
お口を開けた時にも外からほとんど見えないと思います。
それは、清掃性だと私は思います。
矢印の部分、上の奥歯の奥側の部分は歯ブラシもなかなか届きません。
我々歯科医師が治療をする時もてこずる場所です、綺麗に磨けと言われてもなかなか難しいでしょう。
しかし、セラミック系のつめものは表面が非常につるつるしていますので、プラークがそこにとどまりづらいです。
磨けなくても大丈夫、とは言いませんが、金属などに比べてかなり虫歯になりづらく歯の長期保存には有利な素材です。
セラミック系の素材には見た目の美しさだけではなく、そういったメリットもある点を知っていただけますと幸いです。
| 治療回数 | 3回 |
| 治療期間 | 3週間 |
| 費用 | ジルコニア・インレー (70,000円) +保険治療費用(虫歯の治療費用など) |
| メリット |
経年劣化で腐食しない |
| デメリット | かみ合わせの強い方はまれに割れる事がある 保険診療に比べて高価 |
2024年5月現在
ここまでこのブログを読んでいただいた、歯の治療に関心の高いあなたのご来院、お待ちしています。
https://kp-dental.com/Reservation
今後ともよろしくお願いします。
Case.2 歯が欠けたのがきっかけで、虫歯が見つかった

「奥歯が欠けた」という訴えで来院された患者さんです。
特に症状はないそうですが、写真ではわかりづらいですが、大きな虫歯になっています。
虫歯になったせいで、歯がもろくなってかけてしまったようですね。

レントゲン写真で確認します。
僕が思ったよりも表面上の浅い虫歯なのかな?という感じでしたが・・・

治療を開始するとそんな事もなく、歯を削りだすと、どんどん虫歯が出てきました。

う蝕検知液で虫歯を確認します。
赤く染まってるところが虫歯です。
全体に濃く染まっているので、結構歯を削りましたが、まだまだ虫歯が深いのがわかります。。。

削りすぎないように、手用エキスカで少しずつ丁寧に虫歯を取り切ったところです。
やはり当初の診断通り神経ギリギリの深い虫歯でした。
お痛みなど出ずに何とかなりそうな状態ですが、念のため、お薬をつめて経過観察をします。

しばらく経過観察した後、大きな症状もありませんでしたので、型どり後、つめものを入れて無事に治療を終了できました。
金属のつめものはしみやすいので、もししみる場合はしばらく様子を見てもらうようにお話ししました。
ここまでこのブログを読んでいただいた、歯の治療に関心の高いあなたのご来院、お待ちしています。
https://kp-dental.com/Reservation
今後ともよろしくお願いします。
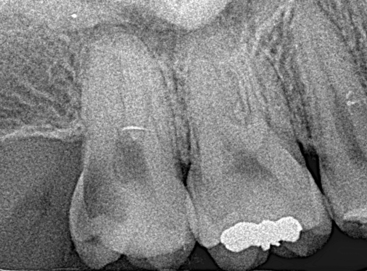
Case.1 症状があったのに、半年間虫歯を放置した!

半年くらい前から、上の奥歯に違和感を感じるという患者さんが来院されました。
しみるとか痛いというほどの症状ではないそうです。
う~ん、パッと見は問題なさそうに見えます。

レントゲン写真で確認します。
一番奥の歯に明らかに大きな虫歯がありました。
奥歯の歯ブラシが届きづらい部分から虫歯になってしまったと思われます。
私が初見目視で確認した時もわからなかったですからね。

青い部分が痛みを感じる神経、赤い部分が虫歯です。
ここまで虫歯が神経まで近いと、通常であれば、大きな痛みやしみの症状があってもおかしくない状況です。
症状がないうちに治療を進めた方が良いです。

早速治療開始です。
虫歯が進行しているので、少し削っただけでボソボソになった歯質が出てきました。

虫歯が感染した歯質は、このようにクッキーの食べかすのようになってしまいます(><)

慎重に虫歯を除去します。
この時点で、歯の半分近くまで虫歯が進行していますね。

さらに慎重に、虫歯を全て除去しました。
神経がうっすらと見える状況ですので、お薬をつめてしばらくは症状が出ないか経過観察が必要です。
お痛みが出てしまった場合は、改めて麻酔をして歯の神経を取る治療(抜髄)が必要になります。
可能性は・・・半々といったところでしょうか。
症状を感じ始めて半年放置してしまいましたが、もっと早い段階で受診されてしたら、歯を削る量はだいぶ少なくすんでいたでしょう。
皆さんも気をつけてくださいね。

手前の歯の治療をしつつ経過観察していましたが、特に痛みやしみるなどの症状が出ませんでしたので、つめものを作製するために型どりをします。

無事に神経を取る事なく、治療を終える事ができました。
が、毎回、神経の治療をしないで済むとは限りません、今回はラッキーだった部分もあると思います。
くれぐれも、このような状態にならないように歯科に定期検診に来るようにしてくださいね。
ここまでこのブログを読んでいただいた、歯の治療に関心の高いあなたのご来院、お待ちしています。
https://kp-dental.com/Reservation
今後ともよろしくお願いします。
高円寺PAL歯科医院 :https://kp-dental.com/
〒166-0003 杉並区高円寺南4-25-4 RESTA高円寺3F
電話:03-6383-1963
電車でお越しの方:
JR線 高円寺 駅南口より 徒歩2分
