セラミック治療(インレー)
2025/07/24
セラミック・インレーとは?
こんにちは、高円寺PAL歯科医院の新井です。
「口を開けた時に見える、銀歯が気になって…」
「できるだけ身体に優しい素材を選びたい」
「虫歯治療したことがわからないくらい自然な仕上がりにできないかな」
インレー(つめもの)とは、小臼歯~奥歯の虫歯治療に用いられる、部分的なつめもののことです。 虫歯になりやすい噛み合わせ部分や隣の歯と接している部分でよく行われ、保険治療では主に金属を使って治療します。
金属ではなく、審美性の高いセラミック素材を用いるのを、セラミック・インレーといい、見た目も自然で健康にも優しい治療法として近年人気が高まっています。
セラミック・インレーがおすすめの方
セラミックインレーはこんな方におすすめです
奥歯の銀歯が気になっていて、白くしたい方
金属アレルギーが心配な方
虫歯治療を健康的・審美的に仕上げたい方
大きな被せ物ではなく、できるだけ歯を残したい方
長持ちする素材で再治療のリスクを減らしたい方
メタル・インレーと比べた、セラミック・インレーの健康上のメリット
インレーの材質を決める際、見た目を基準にセラミック・インレーを検討される方が多いですが、実は健康上のメリットも大きいのが、セラミック・インレーをお薦めできる理由の一つです。
①金属アレルギーがない
銀歯(金属インレー)は、長年口腔内にとどまっていると、金属イオンが溶け出して金属アレルギーや歯ぐきの黒ずみを引き起こすことがありますが、セラミックは金属を一切含まない生体親和性の高い素材のため、アレルギーの心配がありません。
➁虫歯が再発しにくい
メタル・インレーと比べて、セラミックインレーは、高精度に作製・接着されるため、歯との境目にすき間ができにくく、虫歯の再発が低いという特徴があります。
③治療後に歯がしみにくい
「虫歯治療後に歯がしみる」という症状出てしまう事は、悩みの種です。
虫歯治療が終わっているので、症状が収まるまで経過観察するしかありません。
メタル・インレーは熱伝導率(熱の伝わりやすさ)が高く、冷たいものや熱いものを口にするとその温度がすぐ神経に伝わり、歯がしみる原因になります。
セラミックは熱をほとんど通さない絶縁体なので、温度刺激が伝わりにくく、治療後に歯がしみるという症状がでづらいのです。
セラミック・インレーの種類
セラミック素材を使ったインレーにも種類があります。
高円寺PAL歯科医院では、以下の種類のセラミック・インレーを取り扱っています
ジルコニア・インレー((酸化ジルコニウム系セラミック)
ジルコニア(Zirconia)は正式には酸化ジルコニウム(ZrO₂)と呼ばれる、セラミックの一種です。
従来のセラミックに比べて非常に高い強度と耐久性を持ち、金属に匹敵するほどの硬さと安定性を誇ります。
特長
非常に高い強度と耐久性(金属に匹敵する強さ)
経年劣化や破折に強く、摩耗しにくい
金属アレルギーの心配がなく生体親和性が高い
以前は人工的な白さが目立ったが、色調も改善され、審美性も良好(以前より白さに自然感あり)
適している部位
奥歯(大臼歯)など、咬合力が強くかかる部分
審美性
色のバリエーションはやや少なめだが、現在はナチュラルな色合いにも対応
透明感や自然感はE-maxに劣る
E-MAX・インレー(リチウムディシリケート系ガラスセラミック)
e.max(イーマックス)は、リチウムディシリケート(LDS)ガラスセラミックと呼ばれる素材でできた、審美歯科用の高性能セラミックです。
ジルコニアよりも審美性は高いですが、強度には劣るため、見た目が気になるけれど、そこまで強い噛み合わせの力はかからない」という部位にとても向いており、逆に、極度に強い咬合圧がかかる歯ぎしり・くいしばりが強い方には向いていない素材と言えます。
特長
透明感が高く、非常に審美性が優れている
自然な歯に近い色調と艶が再現できる
接着力が高く、歯としっかり一体化する
削る量が比較的少なく済む(歯にやさしい)
適している部位
小臼歯(審美性を重視する部位)
耐久性
十分な強度があるが、強い咬合力がかかると破折のリスクあり
比較とまとめ
高円寺PAL歯科医院では、
・お口の外から見えやすく、咬合力のかかりづらい小臼歯には、審美性の高いE-MAX。
・より強い噛み合わせの力がかかる奥歯(大臼歯)には、ジルコニア・インレー
をご提案しています。
どちらの治療も、保険適応外の治療になるため、高額診療になる点がデメリットに挙げられますが、「人は苦労して手に入れたものを大切にする」コントラフリーローディング効果というものがあります。
「高いお金を払って歯の治療をした患者さんほど、治療後のメンテナンスにも熱心に通う」というのは、歯科医の中ではよく知られています。
あなたの歯の価値をこの機会に見直してみませんか?
| E-MAX | ジルコニア | |
| 見た目(審美性) | 非常に高い自然感・透明性 | E-MAXには劣る |
| 強度・耐久性 | 一般的には十分 | E-MAXよりも高い強度 |
| 適応部位 | 噛み合わせの強くない小臼歯向き | 大臼歯・強い力のかかる部位に向いている |
| 金属アレルギー | なし | なし |
| 保険適応 | × | × |
実際の治療例
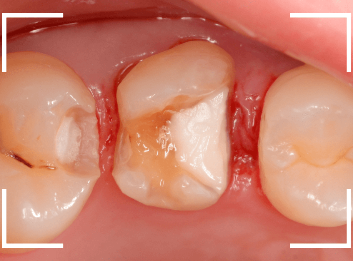
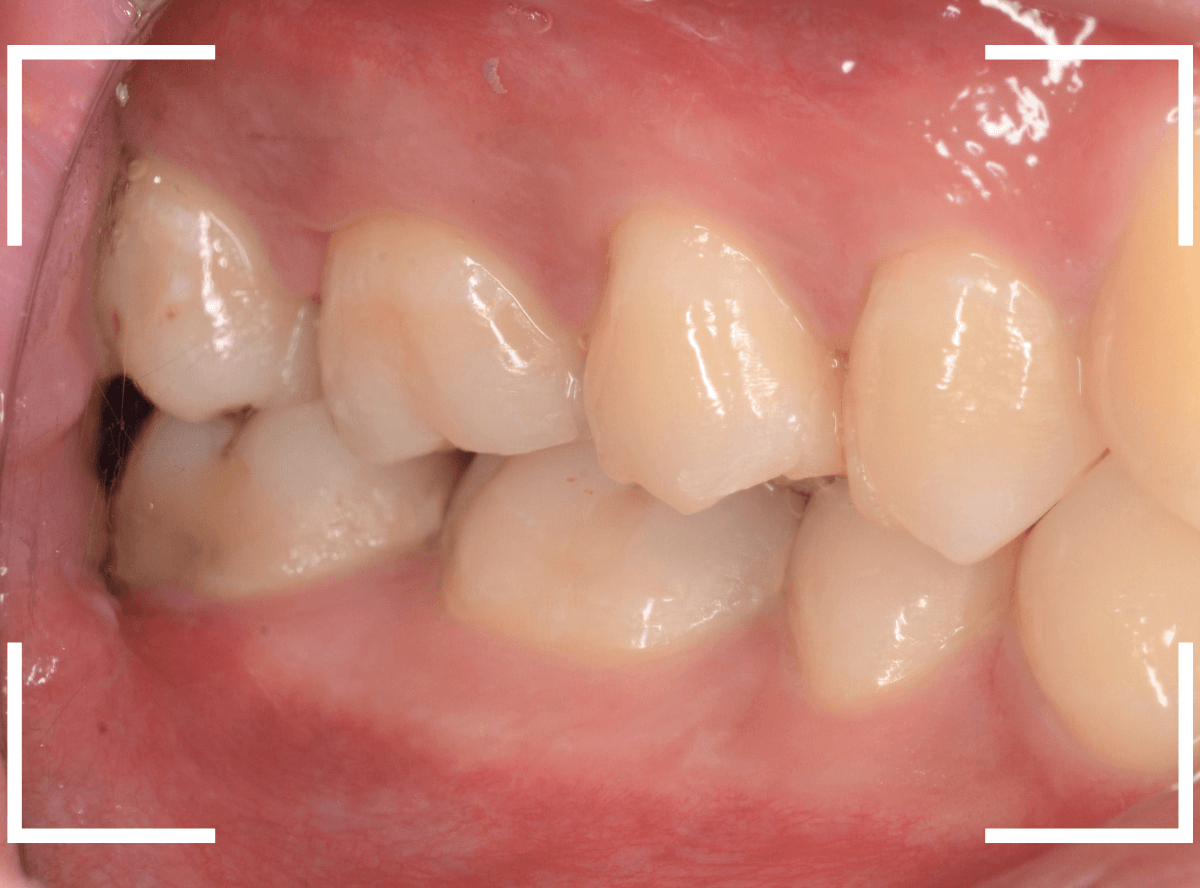
Case.30 上の奥歯のセラミック治療

メンテナンス中に、虫歯が見つかった方のケースです。
虫歯の治療については、
「歯と歯の間の虫歯/case.26」
をご覧ください
https://kp-dental.com/blog-post/377348
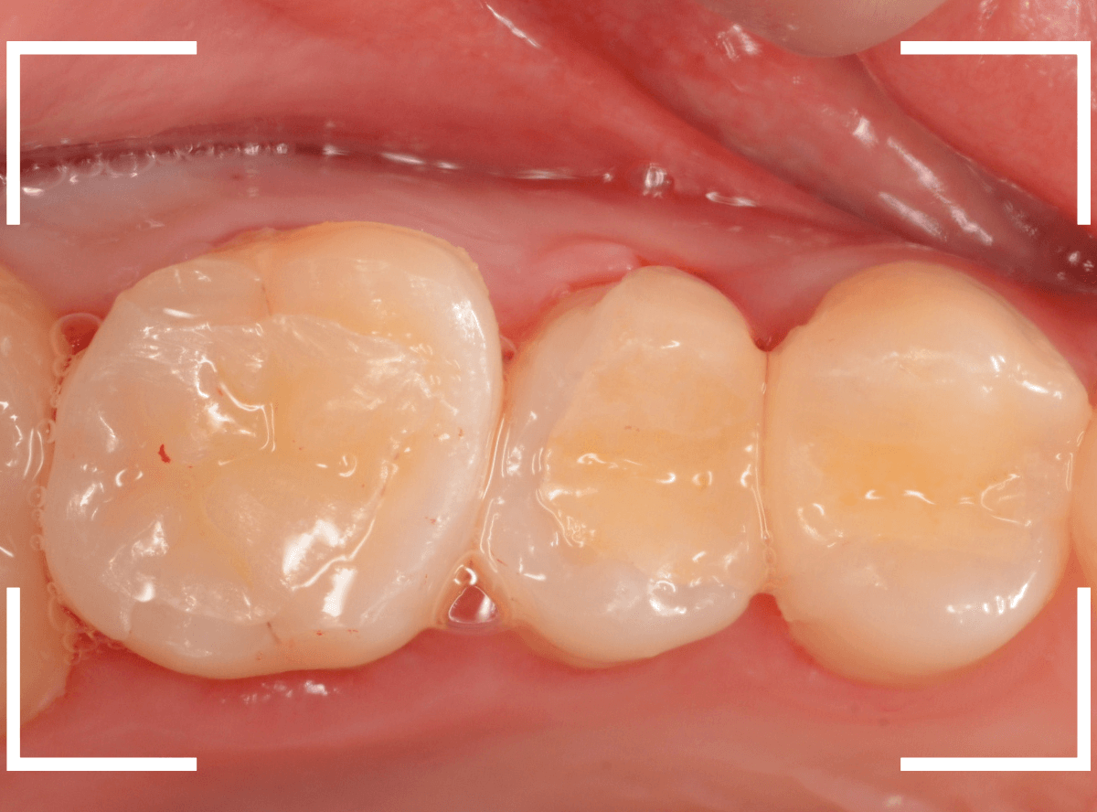
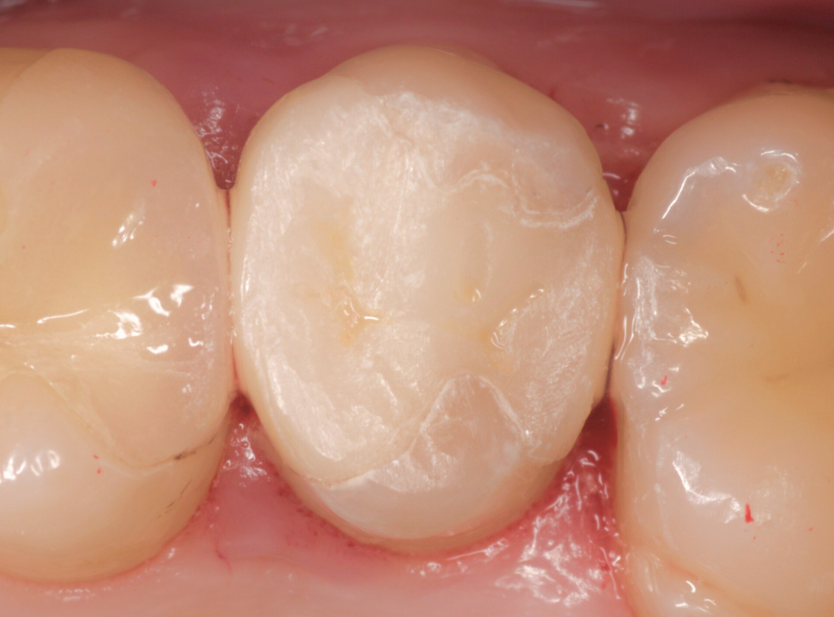
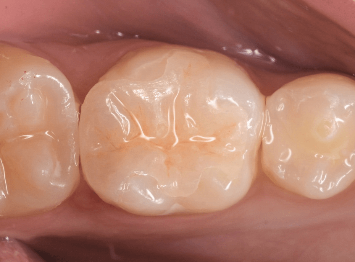
大きな虫歯でしたので、しばらく経過観察しましたが、特に症状もありませんでしたので、患者さんの希望に伴い、ジルコニア・インレーで治療をします。

セラミックが精密にsetできるように、歯をトリミングします。

模型上で精密に製作します。


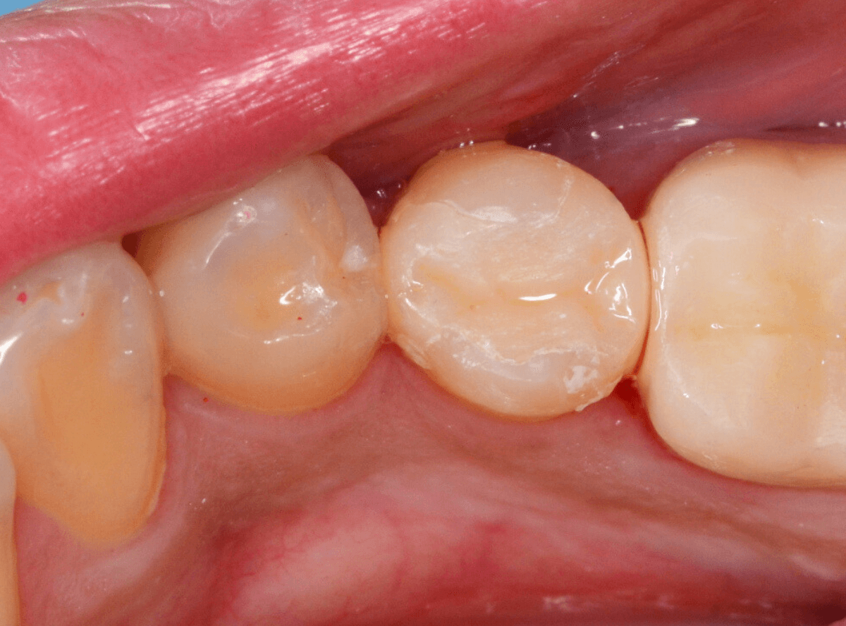
治療後の状態です。
ジルコニア・インレーはE-MAX・インレーより審美性に劣るのですが、患者さんにもご満足いただける仕上がりになり、ホッとしました。
| 治療回数 | 3回 |
| 治療期間 | 3週間 |
| 費用 | ジルコニア・インレー (70,000円)x2 +保険治療費用(虫歯除去など) |
(2025年2月)
ここまでこのブログを読んでいただいた、歯の治療に関心の高いあなたのご来院、お待ちしています。
https://kp-dental.com/Reservation
今後ともよろしくお願いします。
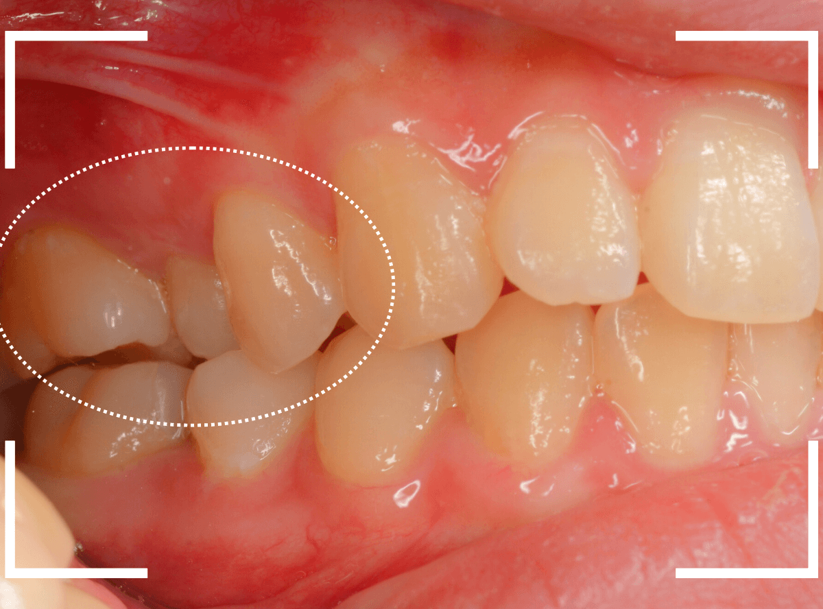
Case.29
舌のそばの虫歯とセラミック治療

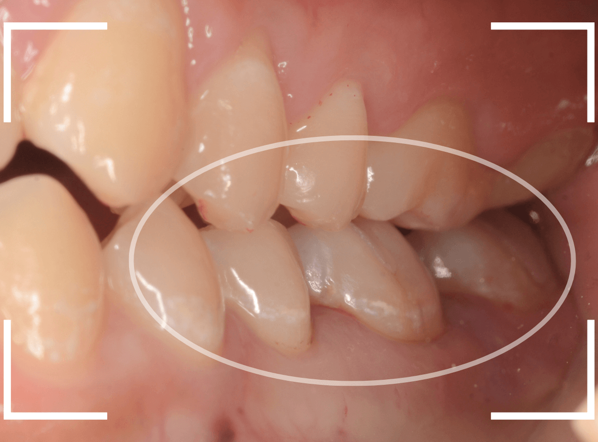
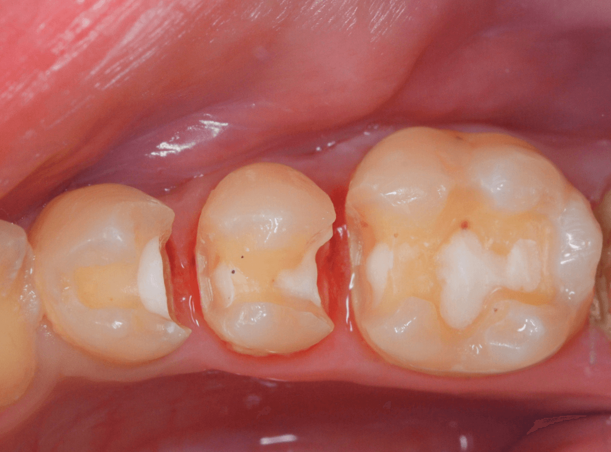
下の奥歯が虫歯になった患者さんのケースです。
〇部が虫歯の部分です。
写真で見てわかるように、常に舌が歯に触っているような状況です。
このような場合、虫歯を見つけづらいですし、治療の難易度もあがります。

虫歯の治療を開始します。

隣の歯とのすき間を中心に広い虫歯になっていました。

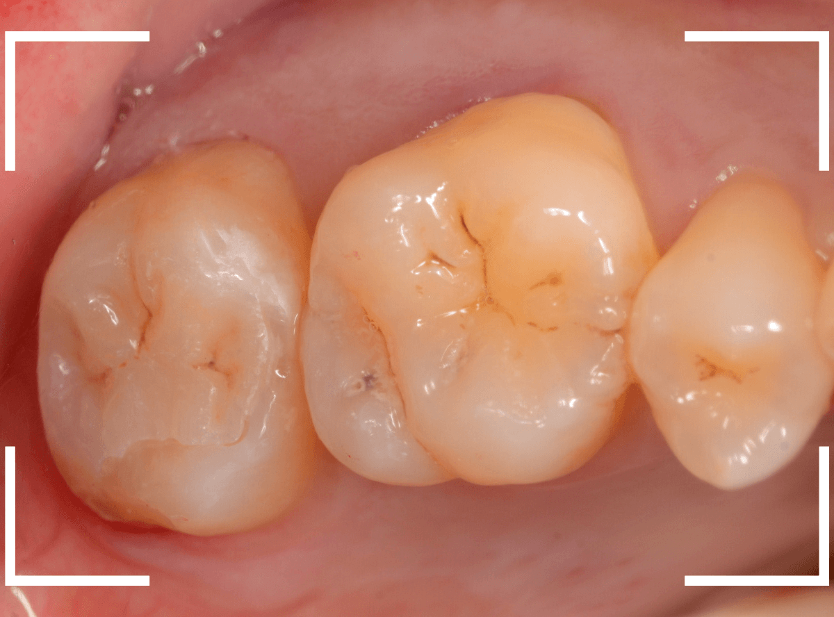
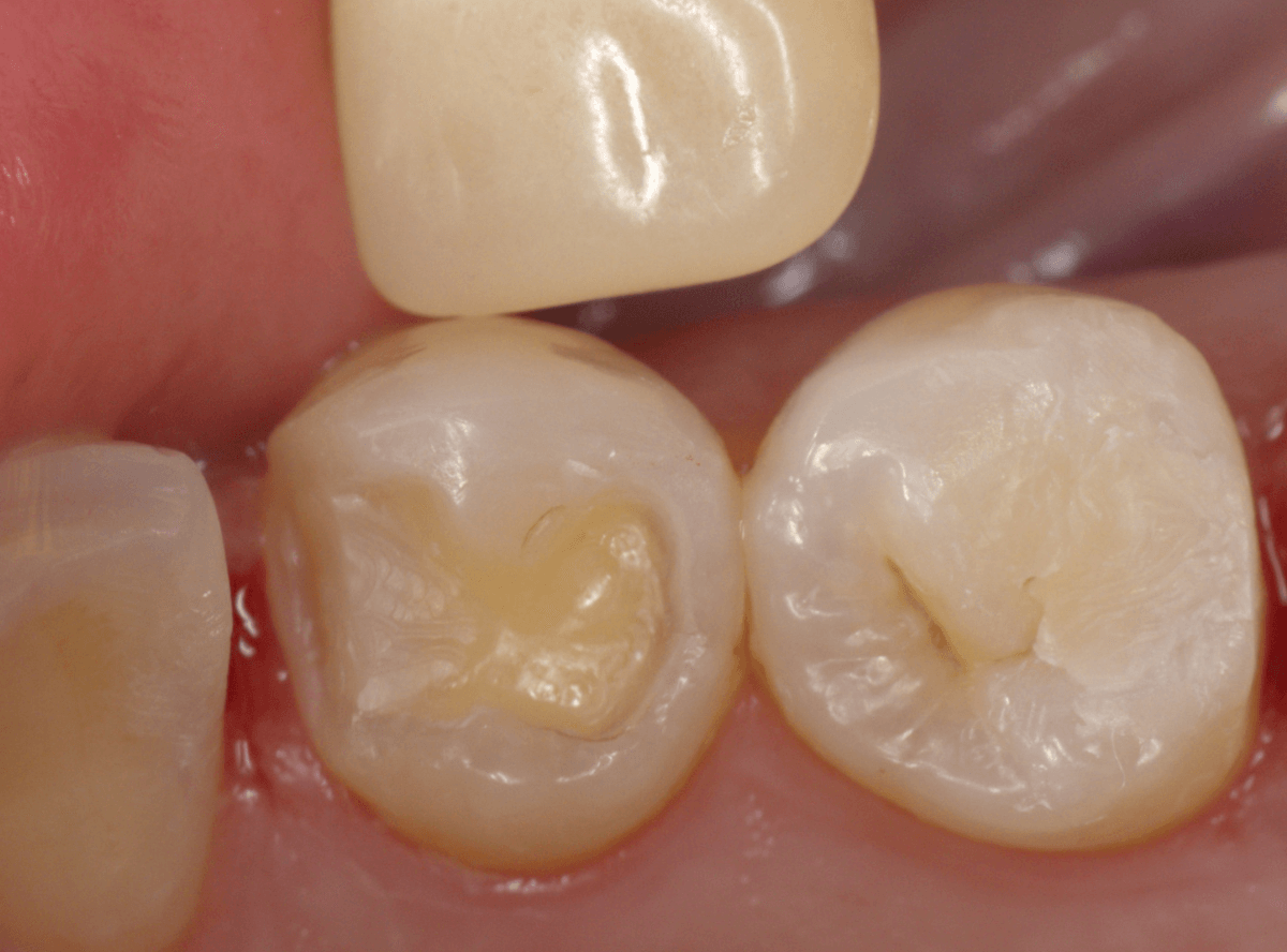
虫歯治療後、特に症状もなく経過観察できましたので、つめものを作る治療に入ります。
セラミック治療をご希望されましたので、
小臼歯をE-MAX・インレー、
大臼歯をジルコニア・インレーで処置することになりました。

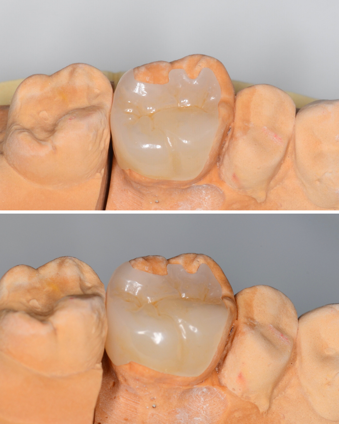
模型上で精密に製作します。


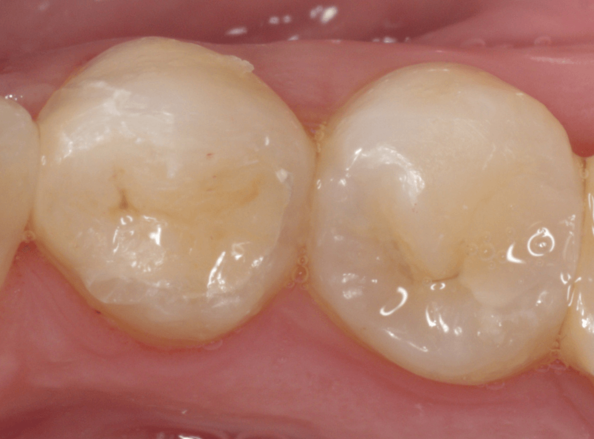
治療後の状態です。
自然な仕上がりで、患者さんにもご満足いただけました。
| 治療回数 |
3回 |
| 治療期間 | 3週間 |
| 費用 | E-MAX・インレー (50,000円) ジルコニア・インレー (70,000円)x2 +保険治療費用(虫歯除去など) |
(2024年10月)
ここまでこのブログを読んでいただいた、歯の治療に関心の高いあなたのご来院、お待ちしています。
https://kp-dental.com/Reservation
今後ともよろしくお願いします。
Case.28 虫歯治療後、半年以上来院されなかった患者さん

虫歯を治療して、セメントで歯を削った部分を封鎖した後、再修復を検討中で、半年以上来院されなかった患者さんです。
虫歯を治療して、セメントで封鎖した状態というのは、家でいえば、しっかりした屋根がない状態です。
今回は、セメントの一部がはがれる程度で済んでいましたが、虫歯が再発し、再治療、最終修復物の変更の可能性も出てきます。
皆さんも治療は中断せずに最後まで通院するようにしてくださいね。

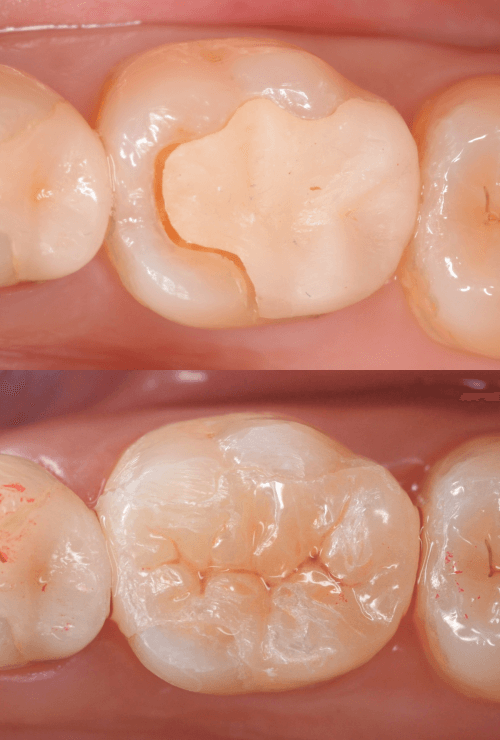
治療再開後、セラミックの最終修復を希望されましたので、歯をトリミングし、型取りします。

模型上で精密に製作します。


治療後の状態です。
治療後の定期メンテナンスに来院されない患者さんもまれにいらっしゃいますが、一定期間来院のない方は破折などの際の保証も受けられません。
くれぐれも忘れずに来院していただくようにお話しし、終了となりました。
| 治療回数 | 3回 |
| 治療期間 | 3週間(中断期間は除く) |
| 費用 | ジルコニア・インレー (70,000円) +保険治療費用(虫歯除去など) |
(2024年10月)
ここまでこのブログを読んでいただいた、歯の治療に関心の高いあなたのご来院、お待ちしています。
https://kp-dental.com/Reservation
今後ともよろしくお願いします。
Case.27 乳歯をセラミック・インレー

昔に治療したセラミック・インレーが破折した患者さんのケースです。
破折している部分はわずかですが、セラミックの内面~となりの歯のレジンの中まで虫歯が見られます。
この歯は後続の永久歯のない、乳歯になります。
今後、どの程度保存できるか何とも言えませんが、幸い歯の揺れもなくしっかりしているので、短期間で抜歯が必要になったする事はないとの判断で、セラミック・インレーを除去して再治療する事になりました。

虫歯と歯のトリミング処置したところです。
奥歯をレジンでつめ直し、手前の乳歯はE-max・インレーで再製する事になりました。

模型上で精密に製作します。


治療後の状態です。
見た目の違和感なく、仕上げられたかと思います。
いつもしているお話なりますが、特にこの歯はできるだけ長持ちさせるために、定期メンテナンスに忘れずに来ていただく事をお話しして治療終了になりました。
| 治療回数 | 3回 |
| 治療期間 | 3週間 |
| 費用 |
E-MAX・インレー |
(2024年10月)
ここまでこのブログを読んでいただいた、歯の治療に関心の高いあなたのご来院、お待ちしています。
https://kp-dental.com/Reservation
今後ともよろしくお願いします。
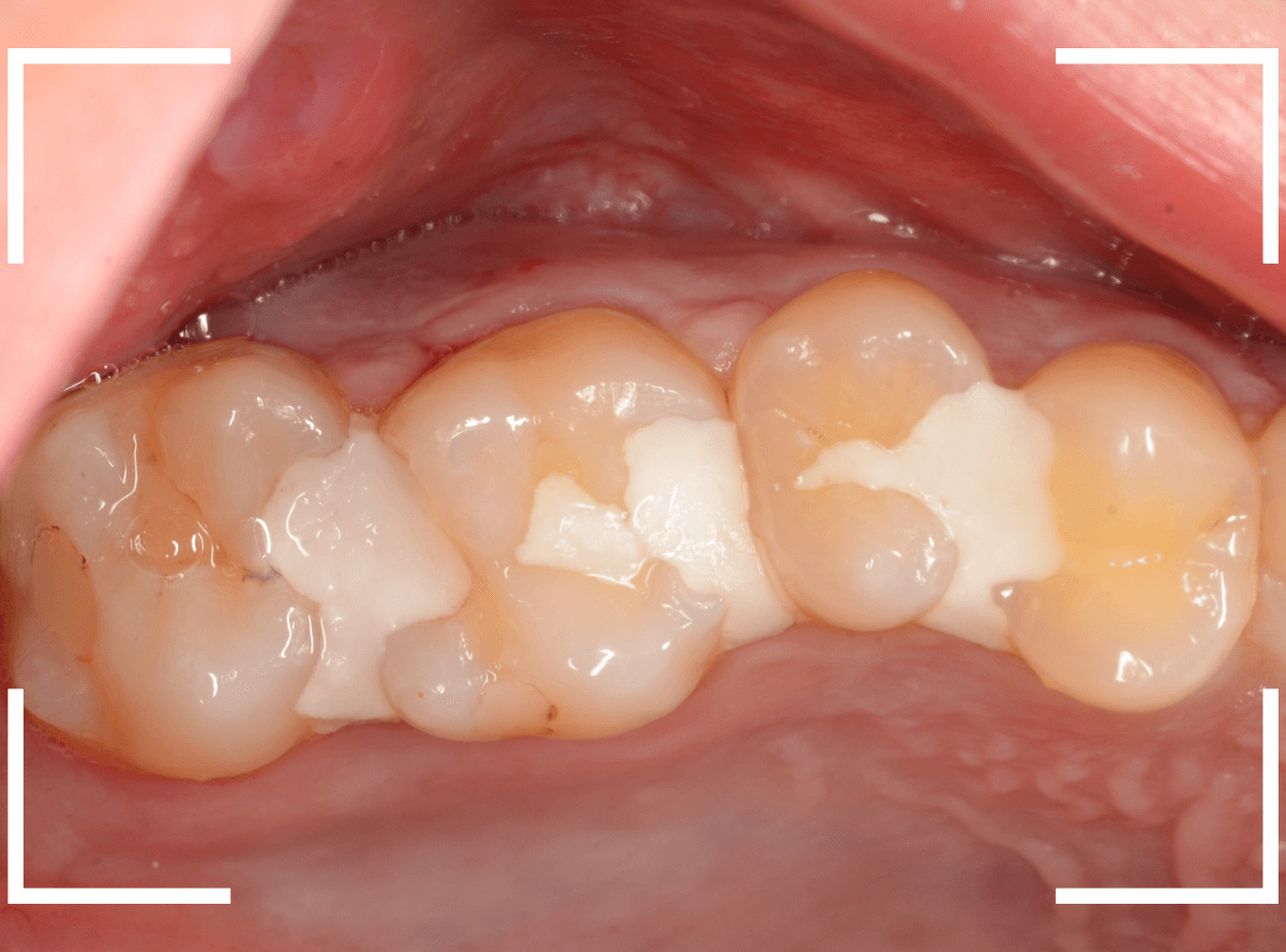
Case.26 4歯連続したセラミック・インレー

4本連続して歯と歯の間の虫歯を治療した患者さんのケースです。
虫歯を再発させないためには、歯と歯のすき間を物がつまらないよう、精密に再製する必要があります。

患者さんのご希望により、セラミック・インレーで修復する事になりました。
模型上で歯と歯のすき間を精密に再現・調整できるのが、セラミック・インレーの大きな利点です。
歯をトリミングして、型を取ります。


模型上で精密に製作します。


最終setした状態です。
左側の大臼歯2本が、ジルコニア・インレー
右側の小臼歯2本が、E-MAX・インレー
になります。
見た目にほとんど遜色ない仕上がりにできました。
普段あまりしない、4歯連続のインレー治療でしたが、精密に仕上げ・setする事が出来てホッとしました。
| 治療回数 | 2回 |
| 治療期間 | 2週間 |
| 費用 |
E-MAX・インレー |
(2024年9月)
ここまでこのブログを読んでいただいた、歯の治療に関心の高いあなたのご来院、お待ちしています。
https://kp-dental.com/Reservation
今後ともよろしくお願いします。
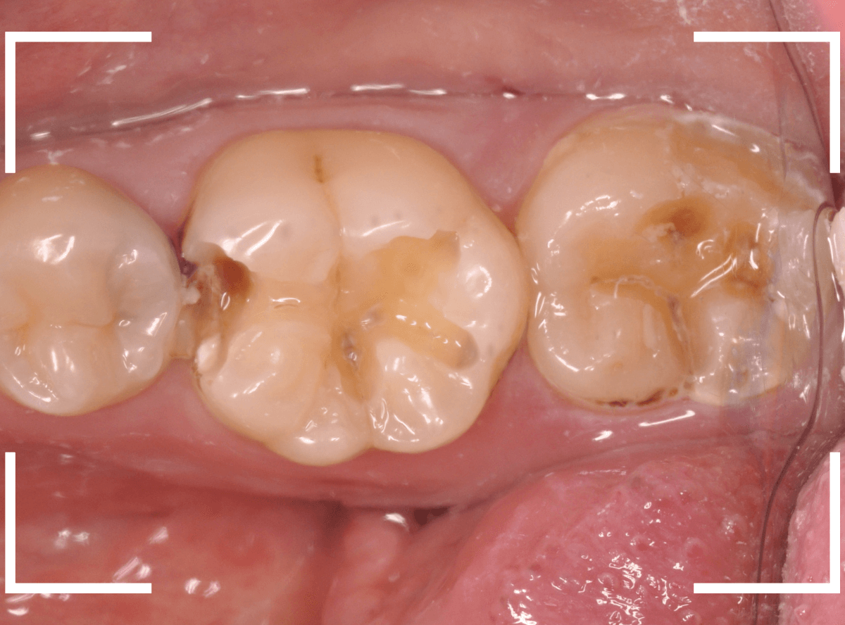
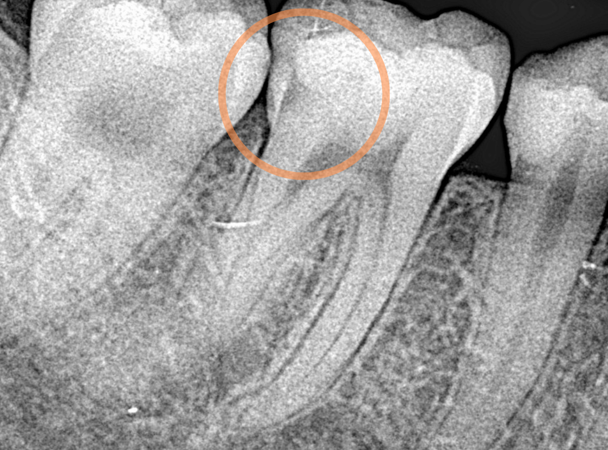
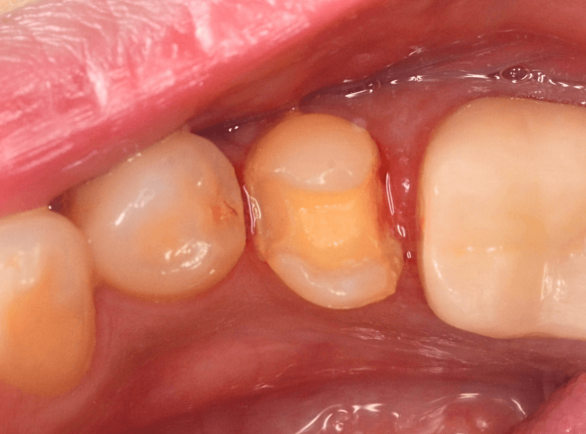
Case.25 深い虫歯の治療~無事にセラミック・インレーへ

今回は、上の奥歯が深くて広い虫歯になっていた方のケースです。
〇部が虫歯の部分です。
この写真からは深い虫歯があるのは想像つきません。

レントゲン写真で確認します。
青い線が神経、赤い線が虫歯の部分です。
前後の歯とも、かなり深く広い虫歯になっているのがわかります。

奥歯から治療を開始します。
少し削ると、すぐに虫歯の部分が出てきました。

慎重に虫歯を削っていきます。
レントゲンから想像した通り、かなり大きな虫歯です。

奥の歯の虫歯を全て除去したところです。
やはりかなり深くて広い虫歯でした。

続けて手前の小臼歯の虫歯の治療に入ります。
余談ですが、この方は小臼歯が前後反対に生えている珍しい方です。
少し削ると、こちらもすぐに虫歯が出てきました。

こちらの歯もかなり虫歯が深いです。
神経に達してしまいそうな虫歯です。
慎重に虫歯を除去します。

隣りの歯の側面にも虫歯が進行しているのがわかります。

3本、全ての虫歯を除去しました。
このようば大きな虫歯でも、見た目や症状からわからない事も多いです。

お薬をつめて、しばらく経過観察後、特にしみるなどの症状もなく経過されたので、型どりをして歯の形の修復に移ります。
今回は、セラミックでの修復をご希望されましたので、
手前の小臼歯2本をE-MAX、
奥の大臼歯をジルコニア・インレー
で、修復する事になりました。

模型上で精密に製作します。


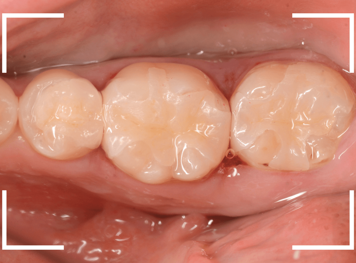
最終setした状態です。
大きな虫歯でしたが、治療後も特に症状もなく、見た目も満足いただける仕上がりになりました。
| 治療回数 | 3回 |
| 治療期間 | 3週間 |
| 費用 |
E-MAX・インレー |
(2024年9月)
ここまでこのブログを読んでいただいた、歯の治療に関心の高いあなたのご来院、お待ちしています。
https://kp-dental.com/Reservation
今後ともよろしくお願いします。
Case.24 破折したセラミック・インレーの再製作

今回は、以前に他院で製作したセラミック・インレーが破折してしまった患者さんのケースです。
当日は、治療する時間がなかったため、セメントで破折部をカバーして、時間をおとりして再製作となりました。
赤い部分が破折部分です。

再製作するために、残っているセラミックを除去したところです。
幸い虫歯はありませんでしたが、以前の治療でかなり歯を削る必要があったようです。
つめものが外れた時もしみていたそうです。
セラミックが破折した部分は、厚みをつけて強度をあげるために少し歯を削ることが多いのですが、もう削る余地はなさそうです。
このまま再製作することにしました。

強度に定評のある、ジルコニア・インレーで製作します。
ジルコニア・インレーの強度と噛み合わせの調整で、再破折しないようにします。


最終的にset、調整したところです。
見た目も問題なく修復できました。
定期メンテナンスに欠かさず来ていただいている信頼できる方でしたので、最小限の処置という治療方針で決める事ができました。
| 治療回数 | 2回 |
| 治療期間 | 2週間 |
| 費用 |
ジルコニア・インレー |
(2024年8月)
ここまでこのブログを読んでいただいた、歯の治療に関心の高いあなたのご来院、お待ちしています。
https://kp-dental.com/Reservation
今後ともよろしくお願いします。
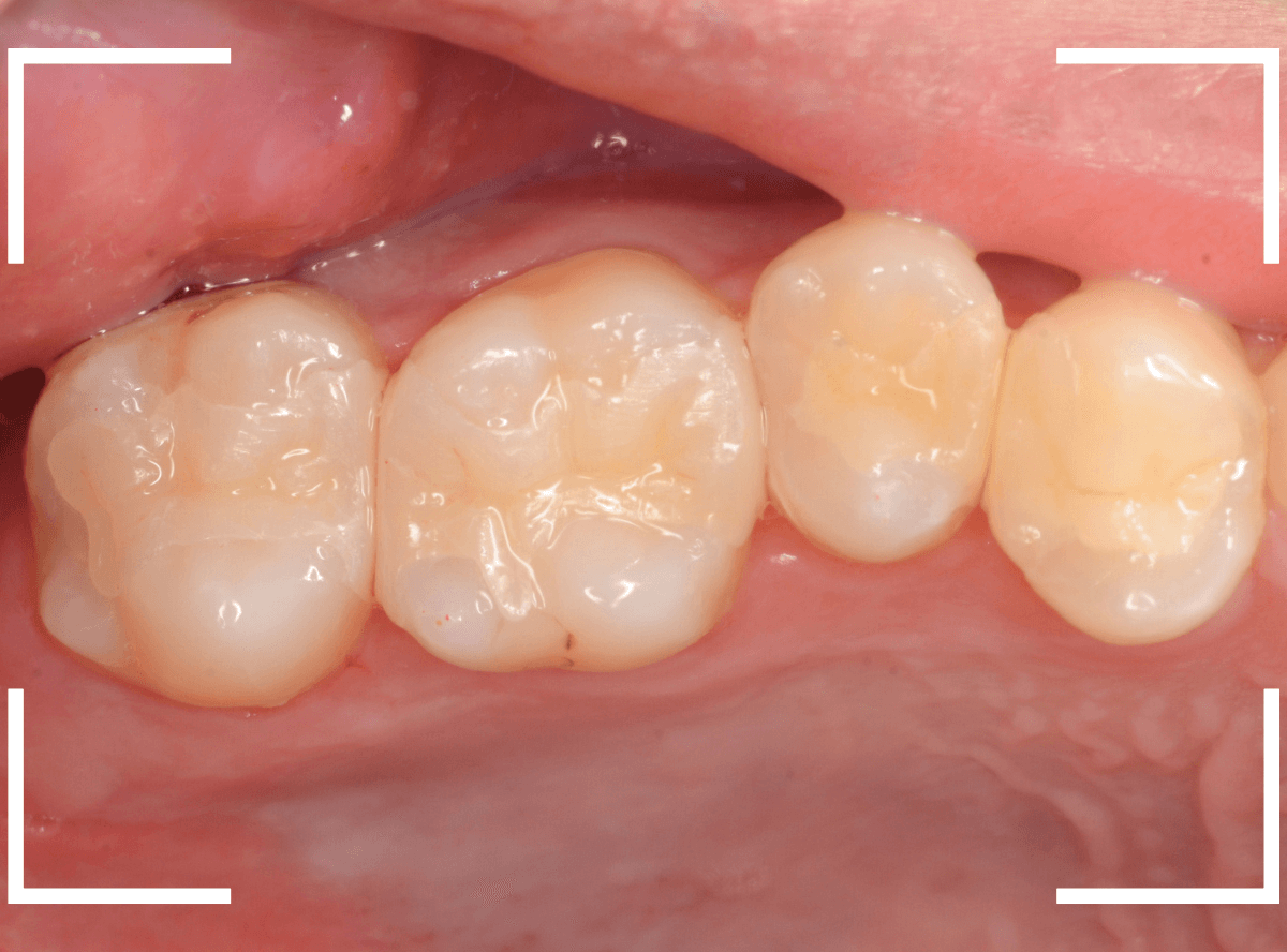
Case.23 レジン治療か?セラミック・インレーか?

今回は、比較的小さな虫歯をインレーで修復したケースです。
白いセメントが詰めてある部分が、虫歯を除去した部分です。
一見、小さめの虫歯で、お口の中でレジンをつめる治療でも十分な気もしますが、お口がとても小さい方で、精密につめるのは困難と判断し、型をとるインレー治療とする事にしました。
患者さんのご希望で、こちらはジルコニア・インレーで治療する事になりました。

できるだけ最小限に歯をトリミングして型を取ります。
さて、レジン治療に比べたインレー治療の治療とはなんでしょうか?
一見、レジン治療は
・一回で治療が終わる
・インレーに比べて歯を削る量が少ない
・インレーに比べて安価
・見た目が白い(保険治療で比較した場合)
と良い事づくめですが、
・金属やセラミックに比べて寿命が短い
・大きな虫歯や、操作性の悪い部分の精密な歯の再現性が困難
といった弱点があります。
経験上、隣の歯とのすき間が大き目の虫歯になった場合、レジン治療では短期間で再治療が必要になる可能性が高いです。
それは、自分の治療の経験だけではなく、他院から来院された患者さんのお口の中を見ても、感じる事です。
そのような理由から、ごくまれに「何としても安価で白い治療が可能なレジン治療で修復してほしい」という患者さんがいますが、私が困難と判断した場合はお断りし、他院でご相談いただくようにしています。

模型上で精密に製作します。

お口の中でsetしたところです。
なかなか手が届きづらい場所で、set処置も苦労しましたが、何とか自然な形で治療できたかと思います。
| 治療回数 | 2回 |
| 治療期間 | 2週間 |
| 費用 | ジルコニア・インレー (70,000円) |
ここまでこのブログを読んでいただいた、歯の治療に関心の高いあなたのご来院、お待ちしています。
https://kp-dental.com/Reservation
今後ともよろしくお願いします。
Case.22 小臼歯の広い虫歯をE-MAX・インレーで修復

虫歯の治療後にセメントをつめて経過観察していた患者さんです。
術後、特に症状もありませんでしたので、型をとってつめものをお作りするところで、セラミックでの治療をご希望されましたので、両歯ともE-MAXインレーで製作する事になりました。

型を取るために歯をトリミングします。

模型上で精密に製作します。


set後の写真です。
見た目にも違和感なく、患者さんにも満足していただけました。
| 治療回数 | 2回 |
| 治療期間 | 2週間 |
| 費用 |
E-MAXインレー x2 |
ここまでこのブログを読んでいただいた、歯の治療に関心の高いあなたのご来院、お待ちしています。
https://kp-dental.com/Reservation
今後ともよろしくお願いします。
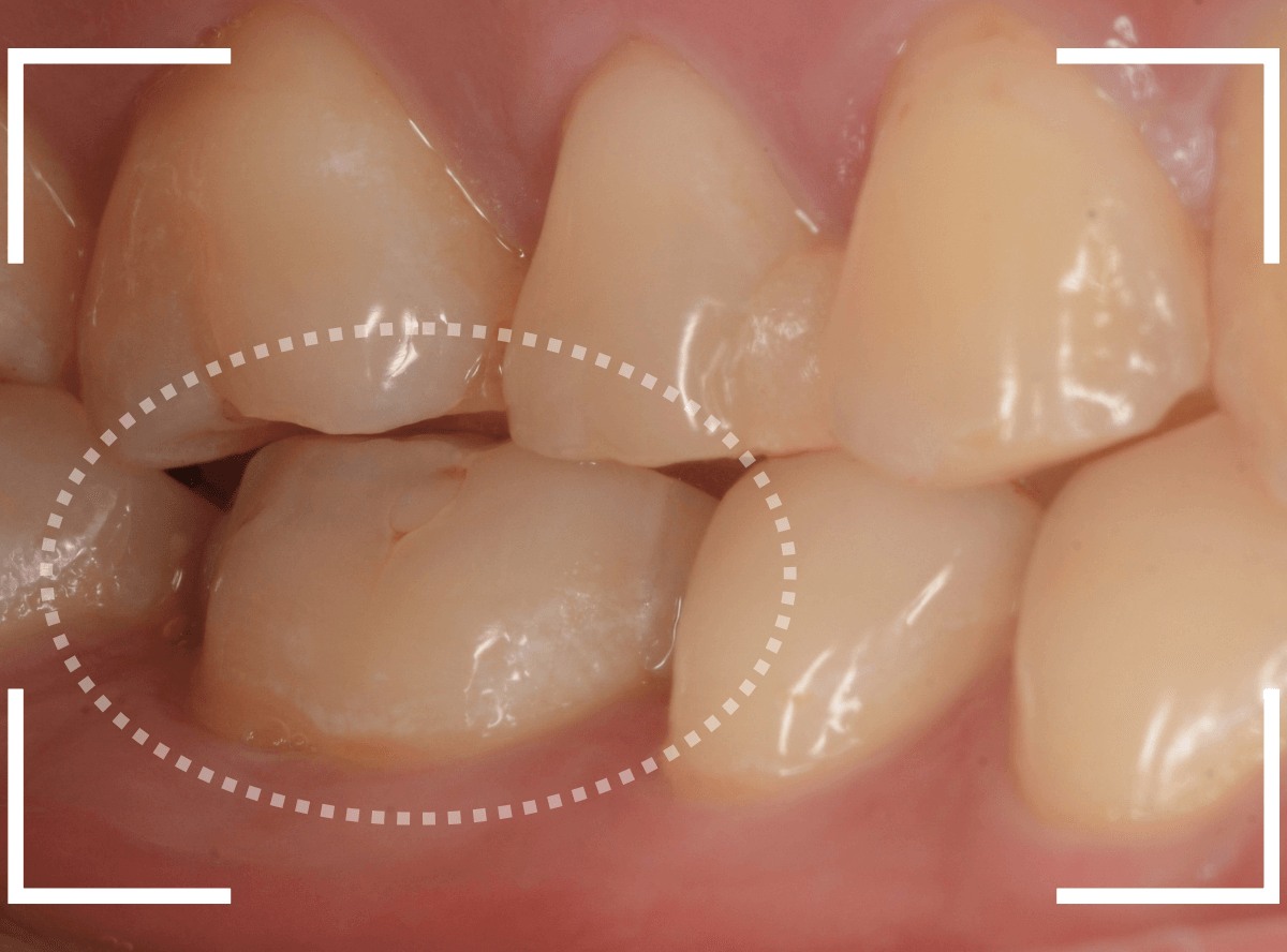
Case.21 セラミック・インレーの中で虫歯

大分前に治療をしたというセラミックの中で虫歯になってしまった方のケースです。
見た目ではわからないですね。

つめものの下がすき間になっていて、虫歯になっているのがわかりますが、あまり深い虫歯ではなさそうにも見えます。
このような場合、経過観察にする場合もあるのですが、側面から覗いた時に、ぼんやり黒く大きな虫歯になっていると感じたので、患者さんにご説明して、調べる事になりました。

セラミックを除去して中を調べてみると、白濁した虫歯が出てきました。

側面から覗くと、手前の歯もレントゲン写真からは判断できない虫歯になっているのが、見つかりました。

全ての虫歯を除去したところです。
結局、前後の歯に渡る広めの虫歯になっている事がわかりました。
虫歯の診断が難しい事が結構あります。

手前の虫歯をレジンで修復したあと、セラミックでの再治療を希望されましたので、E-MAXインレーでの修復をおこないます。


模型上で精密に製作し、お口の中で無事にsetしました。
症状などが出る前に治療が出来てよかったです。
| 治療回数 | 2回 |
| 治療期間 | 2週間 |
| 費用 | E-MAX・インレー (50,000円) |
ここまでこのブログを読んでいただいた、歯の治療に関心の高いあなたのご来院、お待ちしています。
https://kp-dental.com/Reservation
今後ともよろしくお願いします。
Case.20 破折したセラミックの再製作

今回は、過去に治療したセラミックが割れてしまったという患者さんのケースです。
歯の噛み合わせの部分にひびが入ってしまっているのがわかります。
4-5年前に治療したとの事でしたが、さすがにセラミックですので見た目の劣化もなかったので残念ですね。

インレーを除去して確認します。
セラミックが割れてしまった部分は割れづらくするために歯の形を再トリミングするのですが、今回はあまり修正できる部分がない、との判断で、より硬いジルコニア・インレーでの再製作となりました。

模型上で精密に製作します。

set後の写真です。
E-MAXなどに比べ、色調再現性に劣るジルコニア・インレーですが、除去前と遜色ない審美性でsetできたかと思います。
| 治療回数 | 2回 |
| 治療期間 | 2週間 |
| 費用 |
ジルコニア・インレー |
ここまでこのブログを読んでいただいた、歯の治療に関心の高いあなたのご来院、お待ちしています。
https://kp-dental.com/Reservation
今後ともよろしくお願いします。
Case.19 E-MAX・インレーとジルコニア・インレーとレジン治療

「上の奥歯がたまに痛む」という症状で来院された患者さんです。
診療室では特に症状もなく、一目では大きな問題はなさそうにも見えます。

レントゲン写真を撮ってみると、レジン治療の下で、結構大きな虫歯になっているようです。
思ったよりも重症でした。

〇部が虫歯がある場所です。

まず、奥歯から治療をします。
やはり、大きめの虫歯ですね。

虫歯を取り切ったところです。
かなり大きく、隣の歯まで達する広い虫歯でした。
これくらい大きな虫歯であれば、症状があってもおかしくありません。

手前の虫歯の治療もすすめます。
右側にレジンが残っています。
この下に虫歯があります。
左側の赤い部分も虫歯が残っている状態です。

全ての虫歯を除去したところです。
こちらも奥歯にたがわぬ大きく広い虫歯でした。
これでお薬をつめて、症状をしばらく経過観察したあと、問題がなければつめ物(インレー)を製作する事になります。

幸い、症状はありませんでしたので、最終修復に入ります。
奥歯の小さな虫歯はレジン修復し、手前の歯はセラミック治療を希望されましたので、E-MAXインレー、ジルコニアインレーでの修復となりました。

型どりをして、模型上で精密に製作します。

set後の写真です。
大きな虫歯治療後ですが、set後も特に症状なく経過してる様子で、ホッとしました。
| 治療回数 | 3回 |
| 治療期間 | 1ヶ月 |
| 費用 |
E-MAX・インレー |
(2024年6月)
ここまでこのブログを読んでいただいた、歯の治療に関心の高いあなたのご来院、お待ちしています。
https://kp-dental.com/Reservation
今後ともよろしくお願いします。
Case.18 隣りの歯とのすき間の虫歯をE-MAXインレー修復

隣りの歯との間が虫歯になってしまった患者さんのケースです。
歯の脇が黒く透けてるのがわかります。

レントゲン写真では、虫歯の状況ははっきりわかりません。

虫歯を目視でも確認しながら、慎重に除去します。

レントゲン写真ではわかりませんでしたが、隣の歯とのすきまが広い虫歯でした。
隣りの歯とのすき間をぴったり作製するために、つめものを製作します。

最終的に、セラミックでの治療をご希望されたため、E-maxインレーで修復する事になりました。


set後の写真です。
側面から見ても、自然な仕上がりになったかと思います。
| 治療回数 | 2回 |
| 治療期間 | 2週間 |
| 費用 |
E-MAX・インレー |
(2024年6月)
ここまでこのブログを読んでいただいた、歯の治療に関心の高いあなたのご来院、お待ちしています。
https://kp-dental.com/Reservation
今後ともよろしくお願いします。
Case.17 破折したセラミック・インレーの再修復(E-max)

他院で製作したセラミックのつめものが破折してしまったと来院された患者さんです。
お口の中を確認するとかみ合わせが強い方のようでしたので、セラミックが破折しやすい環境なのかもしれません。
かみ合わせが強く、頻繁にセラミックが破折してしまう方にはやむなく金属のつめ物をお勧めする事もありますが、「金属はムリ(><)」と強い要望がありましたので、当院で再製作する事になりました。

セラミックを破折しづらくするためには、セラミックの厚みをつける事です。
厚みをつけるという事は、その分歯を深く削る必要があります。
神経のない歯でしたらそれもいいかもしれませんが、つめ物の治療を行う歯の大半は神経のある歯です。
削る量が多いと、術後しみるなどの症状につながる事があります。
ここがセラミック治療(特につめもの)の難しいところです。

小臼歯ですが、今回は破折の可能性も考えジルコニア・インレーでの修復も頭をよぎりましたが、e-maxでの治療にしました。
当院では、破折の場合2年間は無料でお直ししていますので、また破折するような事があれば考えましょうとお話ししました。
割れると決まったわけでもないですからね(^^;)


set後の写真です。
今回も自然な見た目で治療できたと思います。
定期メンテナンスで破折しないように経過観察していきます。
| 治療回数 | 2回 |
| 治療期間 | 2週間 |
| 費用 | E-MAX・インレー (50,000円) |
(2024年4月)
ここまでこのブログを読んでいただいた、歯の治療に関心の高いあなたのご来院、お待ちしています。
https://kp-dental.com/Reservation
今後ともよろしくお願いします。
Case.16 2歯連続、E-MAXインレー修復のケース

隣接面(隣の歯とのすき間)の大きな虫歯の治療をされた患者さんです。
隣接面が広く虫歯になった際は、レジンよりもつめもの(インレー)処置をした方が、長く持たせられる事が多いです。
今回は、白い歯をご希望されましたので、E-MAXインレーでの治療となりました。

隣接面が広い虫歯の場合、なぜ、レジンよりもインレーの方が長く持たせられるのか。
その一つは、虫歯や歯周病の好発部位ではる隣接面は特に精密に歯の形を作る必要があります。
その為には、お口の中で歯の形を製作するレジンよりも、型をとって模型上で隣接面を再現するつめ物の方が精密度が高くなる事が多いためです。

こちらが、型をとって製作した模型です。
分割模型といって、矢印の部分で模型を外せる仕様になっています。
細かい歯の形態を手元でしっかり確認して製作できるわけです。
暗く操作性の悪いお口の中での処置よりも、精密度は高くなりますよね。


最終的なつめ物(E-MAX・インレー)をsetしたところです。
上から見ても、側面から見ても、患者さんに満足していただける仕上がりになりました。
| 治療回数 | 3回 |
| 治療期間 | 3週間 |
| 費用 |
E-MAXインレー |
(2024年4月)
ここまでこのブログを読んでいただいた、歯の治療に関心の高いあなたのご来院、お待ちしています。
https://kp-dental.com/Reservation
今後ともよろしくお願いします。
Case.15

奥歯のセラミックが割れてしまい、受診された患者さんです。
割れてしまった部分に特にかみ合わせの負担がかかるせで割れたようでした、この辺りの調整はセラミック治療の難しいところです。
その点を注意してジルコニア・インレーで作り直す事になりました。

かみ合わせが原因でセラミックが割れてしまう場合の対策として、セラミックを厚くするという事があります。
その分歯を削る必要があり、神経がある歯ですと、歯がしみたりする症状が出る場合があります。
この辺りのバランスが難しいところです。
今回は、セラミックが割れた部分を少し厚みを出すように調整して型どりしました。

模型上で精密に製作します。

セット後のかみ合わせも、対合(かみ合わせる相手側の歯)歯をふくめて慎重に調整しました。
(万が一、割れてしまっても2年間は無料でお直ししています)
とはいえ、何事もおこりませんように。。。
| 治療回数 | 2回 |
| 治療期間 | 2週間 |
| 費用 |
ジルコニア・インレー |
(2024年3月)
ここまでこのブログを読んでいただいた、歯の治療に関心の高いあなたのご来院、お待ちしています。
https://kp-dental.com/Reservation
今後ともよろしくお願いします。
Case.14 破折したセラミック・インレーの再修復(ジルコニア)

検診時に、セラミックの破折が見つかった方です。元々、少し違和感があったそうです。
再度、ジルコニア・インレーで再製する事になりました。

違和感の原因になっていたかはわかりませんが、セラミックを外すと、若干の虫歯がありましたので、一緒に処置します。

処置をすると、非常に浅い虫歯でほっとしました。


破折してしまったところを参考に、セラミックが再度破損しづらいように少し歯の形を調整後、ジルコニア・インレーで作り直しました。
次は破損&虫歯になりませんように。
| 治療回数 | 2回 |
| 治療期間 | 2週間 |
| 費用 |
ジルコニア・インレー |
(2024年3月)
ここまでこのブログを読んでいただいた、歯の治療に関心の高いあなたのご来院、お待ちしています。
https://kp-dental.com/Reservation
今後ともよろしくお願いします。
Case.13 虫歯治療とジルコニア・インレー

つめものが外れてしまったという訴えで来院された患者さんです。
外れてしまった歯の中が虫歯になっていますね。

慎重に虫歯を除去したところです。
幸い、虫歯は深くなくほっとしました。
もともとは銀歯が入っていたそうですが、今後は金属を使わない治療を受けたい、という事でジルコニア・インレーで治療する事になりました。

虫歯を削った部分をお薬をつめて、形を整えます。

色合わせをします。

模型上でしっかりと作製します。

こちらがset後の写真です。
今回は、元々の歯の色が濃かったため、セラミックとの色調の調和が難しかったです(><)
| 治療回数 | 2回 |
| 治療期間 | 2週間 |
| 費用 | ジルコニア・インレー (70,000円) |
(2024年3月)
ここまでこのブログを読んでいただいた、歯の治療に関心の高いあなたのご来院、お待ちしています。
https://kp-dental.com/Reservation
今後ともよろしくお願いします。
Case.12 隣の歯とのすき間をジルコニア・インレーで精密に修復

メンテナンス中に、隣の歯とのすき間を中心に虫歯が見つかった方です。
もともと手前の歯とのすき間がゆるく、物がつまりやすかったという事でセラミックインレーでしっかり修復する事になりました。

虫歯の治療後、最小限の形に整えて型を取ります。


模型上でしっかり製作後、お口の中にsetします。
今回も、周囲の歯に調和した仕上がりになったかと思います。
| 治療回数 | 3回 |
| 治療期間 | 3週間 |
| 費用 |
ジルコニア・インレー |
(2024年2月)
ここまでこのブログを読んでいただいた、歯の治療に関心の高いあなたのご来院、お待ちしています。
https://kp-dental.com/Reservation
今後ともよろしくお願いします。
Case.11 メンテナンス中に見つかった、セラミック・インレー修復

メンテナンス中に、古いセラミックが破折していたのが見つかった方です。
金属のつめものはしたくないとの事でしたので、セラミック(E-MAX)で再製作する事になりました。

つめものを外しましたが、特に中で虫歯が再発している感じもありませんでしたので、そのまま型どりをしました。

模型上の様子です。

お口の中で合わせたところです。
今回も、うまくお口の中に合せる事が出来たかと思います。
| 治療回数 | 2回 |
| 治療期間 | 2週間 |
| 費用 |
E-MAX・インレー +保険治療処置費用 |
(2024年2月)
ここまでこのブログを読んでいただいた、歯の治療に関心の高いあなたのご来院、お待ちしています。
https://kp-dental.com/Reservation
今後ともよろしくお願いします。
Case.10 できるだけ白い歯を残して修復したケース

今回は、歯を大きく削る必要のあった歯のつめものの治療です。
ここまで歯を削る必要があると、歯全体を覆うさし歯にする事も選択肢に入りますが、今回は、なるべくご自身の歯の部分を残すという選択でつめものの治療となりました。

模型上ではこのような形になります。

最終的なset時の状態です。
今回も、自然な見た目で修復出来たかと思います。患者さんにも喜んでいただけました。
| 治療回数 | 3回 |
| 治療期間 | 3週間 |
| 費用 |
E-MAXインレー +保険治療処置費用 |
(2024年2月)
ここまでこのブログを読んでいただいた、歯の治療に関心の高いあなたのご来院、お待ちしています。
https://kp-dental.com/Reservation
今後ともよろしくお願いします。
Case.9

下の歯の小臼歯を2本、虫歯治療された方です。
お口を開けた時に見えやすい場所なので、白い素材での治療をご希望されました。

奥の歯は小範囲の虫歯でしたので、保険範囲内でのレジンで修復し、手前の歯をE-maxインレーで治療する事となりました。
虫歯が小範囲で済んでいれば、保険適応の治療でも遜色なく治療可能ですので、皆さんも定期メンテナンスによる早期発見・早期治療を心がけてくださいね。

今回も、模型上でしっかりと製作します。

ほとんど調整なく、お口の中でぴったりと合わせる事ができました!
| 治療回数 | 2回 |
| 治療期間 | 2週間 |
| 費用 |
E-MAX・インレー +保険治療処置費用 |
(2024年2月)
ここまでこのブログを読んでいただいた、歯の治療に関心の高いあなたのご来院、お待ちしています。
https://kp-dental.com/Reservation
今後ともよろしくお願いします。
Case.8

「大分昔に治療したセラミックのつめものが取れた」という事で来院された患者さんです。
不適合気味で、手前の歯との間にも物がつまりやすくなったという事でしたので、新しくつめものをジルコニア・インレーで製作する事になりました。

改めて、歯の形を整えて型どりします。

模型上で精密に作ります。


今回も、お口の中でうまく合わせられたかと思います。
| 治療回数 | 2回 |
| 治療期間 |
2週間 |
| 費用 | ジルコニア・インレー (70,000円) |
(2024年2月)
ここまでこのブログを読んでいただいた、歯の治療に関心の高いあなたのご来院、お待ちしています。
https://kp-dental.com/Reservation
今後ともよろしくお願いします。
Case.7

今回は、虫歯の治療後に、白くしたいとの希望の患者さんです。
こちらも、ジルコニア・インレー(70,000円/税込)で修復する事になりました。

模型上で、しっかりと製作します。

(今回も、うまく周りの歯の明るさに合せる事が出来たかと思います。
| 治療回数 | 3回 |
| 治療期間 | 3週間 |
| 費用 |
ジルコニア・インレー +保険治療処置費用 |
(2024年1月)
ここまでこのブログを読んでいただいた、歯の治療に関心の高いあなたのご来院、お待ちしています。
https://kp-dental.com/Reservation
今後ともよろしくお願いします。
Case.6

今回は「歯に物がひんぱんに物がつまって痛い」という訴えで来院された患者さんです。

以前に治療をした際につめたレジンが大分劣化していますね。
また、目視で確認しても、歯と歯のスキマがスカスカになっていそうです。
大概、こういう部分は虫歯になっている事が多いです。

レントゲン初見で確認すると、やはり、レジンの下で大きな虫歯になっています。
手前の歯も虫歯になっているのが確認できます。

虫歯を全て除去したところです。
やはり中央の歯が最も大きな虫歯でした。
3本とも、大きめの虫歯であったことと、しっかりした素材で治療したい、という事でしたので、それぞれ、E-MAX、ジルコニアインレーでお直しすることになりました。

E-MAXに比べて色合わせが難しいジルコニアですが、今回もE-MAXとあまり遜色ない状態で合わせる事が出来たかと思います。
虫歯を治療する際、虫歯を削った部分をどのような素材で修復するか、完全に決まっているわけではありません。
今回のケースのように、見た目と費用負担の少なさを重視して、大きな虫歯をレジンで修復してある事を見かける事もあります。
しかし、奥歯が大きめの虫歯になった場合、レジンで修復してもあまり長持ちせず、今回のように虫歯の再発をひきおこしてしまう事があります。
セラミック治療では、費用はかかりますが、模型上でぴったりと歯に合せて製作したつめものをセメントで歯にスキマなくセットできるため、虫歯になりづらく、結果的に歯を長持ちさせやすくなります。
| 治療回数 | 3回 |
| 治療期間 | 3週間 |
| 費用 |
ジルコニア・インレーx2 +保険治療処置費用 |
(2024年2月)
ここまでこのブログを読んでいただいた、歯の治療に関心の高いあなたのご来院、お待ちしています。
https://kp-dental.com/Reservation
今後ともよろしくお願いします。
Case.5

別の歯の治療を希望されて、来院された患者さんです。
写真ではわかりづらいですが、矢印のあたりに小さな穴が空いています。
こういう歯と歯の間の虫歯は大きくなっている事が多いです。

以前に、こんな感じでレジン治療をしているようですね。

レントゲン写真で確認すると、やはりレジンの下が深めの虫歯になっているのがわかりました。

結局は後ろの歯にまで渡る虫歯でした。
今回は、後ろの小さい虫歯をレジン治療、手前の大きな虫歯をジルコニア・インレーで治療する事になりました。

丁寧に型どりをして、模型上でジルコニア・インレーを製作します。

今回も、なんとか周囲の歯と調和した形態・色調に仕上げられたと思います。
患者さんにも喜んでいただき、ホッとしました。
虫歯を除去して、つめものをつめる治療は歯科治療の基本的な治療の一つですが、
- 虫歯を正確に診断すること
- 取り残しなく、最小限の侵襲で虫歯を除去すること
- 歯がしみないように、適切な処置やつめものの設計をする
- つめものを隣の歯との適切なスキマで製作・調整する(1mmの余計なスキマがあれば、頻繁に物がつまり、虫歯や歯周病のリスクが飛躍的に高くなる)こと
- つめものを適切な高さになるように調整する(かみ合わせが1mm高いと痛くてとても噛めません)こと
- セラミック素材であれば、色調合わせ、歯との緊密な接着操作によって虫歯の再発を防ぐ
等々、治療を受けている患者さんには伝わりにくい技術や経験が伴う治療である事もブログを理解していただければ幸いです。
| 治療回数 | 3回 |
| 治療期間 | 3週間 |
| 費用 |
ジルコニア・インレー +保険治療処置費用 |
(2023年12月)
ここまでこのブログを読んでいただいた、歯の治療に関心の高いあなたのご来院、お待ちしています。
https://kp-dental.com/Reservation
今後ともよろしくお願いします。
Case.4

今回は、他院で治療したセラミックが破損した部分をE-MAXインレーで再製作したケースです。

奥歯に少々明るめのジルコニアクラウンが入っていましたが、もともとの歯や手前の歯との明るさに合せて製作しました。

歯の明るさは患者さんのご希望通りでよろしいかと思いますが、手前の歯と同じか、少し暗めの明るさくらいにすると全体の自然感が出るため、おすすめしています。
| 治療回数 | 2回 |
| 治療期間 | 2週間 |
| 費用 | E-MAX・インレー (50,000円) |
(2023年12月)
ここまでこのブログを読んでいただいた、歯の治療に関心の高いあなたのご来院、お待ちしています。
https://kp-dental.com/Reservation
今後ともよろしくお願いします。
Case.3

今回は、虫歯の治療後、3本同時setのケースです。
手前2本は周囲との色調を合わせやすい、E-MAX(治療費 : ¥50,000(税込 : 2023年12月現在)、奥歯は強度の強いジルコニア(治療費 : ¥70,000(税込 : 2023年12月現在)をご提案しました。

模型上で、精密に歯の形を作製します。
特に、隣の歯との境界部は精密さが求められるところです。

いかがでしょうか、E-MAXと並べてジルコニアもあまり遜色なく仕上げられたと思います。
調整も少なく、患者さんにも満足いただき、ホッとしました。
一度にsetする本数が多いと、緊張しますね(^^;)
| 治療回数 | 3回 |
| 治療期間 | 3週間 |
| 費用 |
E-MAXインレー +保険治療処置費用 |
(2023年12月)
ここまでこのブログを読んでいただいた、歯の治療に関心の高いあなたのご来院、お待ちしています。
https://kp-dental.com/Reservation
今後ともよろしくお願いします。
Case.2

こちらの患者さん(Case.1)の治療のその後です。
特にしみるなどの症状もなく、白い歯で仕上げたい、との事でセラミック治療を選択されました。
当院ではかみ合わせの力が大きくかかる大臼歯には、ジルコニア・インレーをおすすめしています。
ジルコニア・インレーが歯に綺麗にはまるように、形を整えて精密に型をとります。

あらかじめ撮影したお口の中の写真を参考に、模型上で、ジルコニア・インレーを製作します。


お口の中にセットし、調整直後の写真です。
以前、特にジルコニア・インレーはまわりの歯との色合わせに苦労した事が多かったですが、最近ではかなり周りの歯に近い色合いに合わせる事ができるようになっています。
| 治療回数 | 3回 |
| 治療期間 | 3週間 |
| 費用 |
ジルコニア・インレー +保険治療処置費用 |
(2023年11月)
ここまでこのブログを読んでいただいた、歯の治療に関心の高いあなたのご来院、お待ちしています。
https://kp-dental.com/Reservation
今後ともよろしくお願いします。
Case.1

白いセメントで埋めてある部分が、虫歯を削った部分です。
前歯より後ろの歯では、中~大の虫歯の治療をした後、歯の型をとってつめものを作り、歯の形にぴったり合うように埋めていきます。
保険診療では原則金属のつめものになります。
こちらの方は、今までほとんど虫歯の治療をした事がなく、お口に金属が入る治療がある、と聞いて驚かれていました。
「金属治療はしたくない」という患者さんのご希望でしたので、E-MAXというセラミックのつめものの治療をご提案しました。

こちらがE-MAXを装着後の写真です。
歯を削った部分との境界や、周りの歯と見た目の違和感なく仕上がったかと思います。

角度を変えて見ても、違和感ないかと思います。
このように、最近のセラミック素材は、かなり違和感のない仕上げができるようになりました。
金属の治療に比べて、費用はかかりますが、セラミックは、歯との密着性が高く、虫歯の再発もしづらい歯に優しい治療でもあるため、将来的にはコストパフォーマンスの高い治療と言えます。
虫歯治療の際に、ご検討されてはいかがでしょうか。
| 治療回数 | 3回 |
| 治療期間 | 3週間 |
| 費用 |
E-MAX・インレー +保険治療処置費用 |
(2023年11月)
ここまでこのブログを読んでいただいた、歯の治療に関心の高いあなたのご来院、お待ちしています。
https://kp-dental.com/Reservation
今後ともよろしくお願いします。
高円寺PAL歯科医院 :https://kp-dental.com/
〒166-0003 杉並区高円寺南4-25-4 RESTA高円寺3F
電話:03-6383-1963
電車でお越しの方:
JR線 高円寺 駅南口より 徒歩2分
