歯肉の中の歯石(歯肉縁下歯石)除去
2025/07/24
歯肉縁下歯石除去(SRP)とは?
こんにちは、高円寺PAL歯科医院の新井です。
歯肉の周りについた歯石除去(スケーリング)については、ご存じの方も多いと思います。
お電話で「歯石除去を受けたいんですけど」と受診希望される方も多いです。
しかし、通常歯科医院で2-3回くらいで終わる歯石除去は、歯肉の表面の歯石除去です。
実は、歯石は歯肉の中(歯周ポケット内)にも目に見えない歯石が溜まる事があり、それは歯肉の表面の歯石よりも歯周病の大きな原因になります。
そしてその見えない歯石を取り除くための処置が「SRP(スケーリング・ルートプレーニング)」なのです。
⇒高円寺PAL歯科医院の歯周病の治療のページ
歯肉縁下歯石とは?
歯肉縁下歯石(しにくえんかしせき)は、歯茎の下に付着する黒褐色の歯石で、歯周ポケット内に形成され、細菌を多く含み、炎症を引き起こしやすい、歯周病の大きな原因となります。
また、歯肉縁下歯石は非常に硬く、通常のスケーリングでは除去が困難であるため、麻酔を使って歯肉を無痛状態にし、より歯肉の深くまで触って治療をする必要があります。
歯肉縁下歯石の特徴
歯肉の中にある、固く黒い歯石
歯肉の中に隠れていて見えないため、除去には経験とトレーニングが必要
歯周病の大きな原因になる
なぜ、SRPが必要なのか?
歯周病の進行は、歯ぐきの奥にある歯石や細菌の存在がカギとなります。
表面だけのケアでは不十分で、ポケットの中まで除去しないと炎症は改善しません。
SRPをせずに放置すると・・・
歯周病は急速に進行します。
歯周ポケットが深くなり、歯を支える骨が溶けてしまう
歯ぐきの腫れや出血、口臭が悪化
最終的には歯がグラグラになり、抜歯が必要になる
できるだけ早い段階でSRPを行い、歯周病の進行をくい止め、歯と歯肉を守る必要があります。
SRPは「歯周病を進行させないため」の処置
歯周病の恐ろしいところは、自覚症状がなく進行する上に、一度失った歯肉の周りの骨や歯肉は元に戻らないところです。
だからこそ、SRPで「歯周病を早い段階で進行を止める事」が最大の目的になります。
実際の治療例
Case.6 <動画編> 歯ぐきにめりこんだ巨大な歯石
今回は、歯石がたまりすぎて、歯ぐきにめりこんでしまっためずらしい患者さんのケースです。
今後は、少しずつ動画も織り交ぜて、治療紹介していけたらなと考えています。
Case.5
さし歯の周りを歯石除去すると、血まみれになるのは何故?

今回は、さし歯の周りの歯周治療についてです。
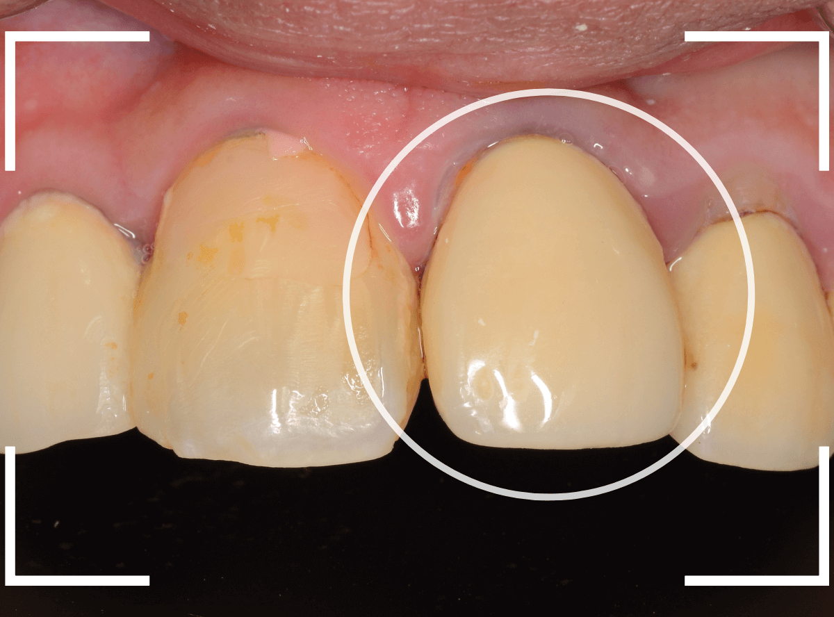
〇部の前歯のさし歯ですが、隣の歯との形が不釣り合いな感じはありますが、見た感じそんなに問題はなさそうです。

しかし、さし歯の周りを軽く歯石除去をすると、たちどころに血まみれになってしまいます。
いったい何故でしょうか?

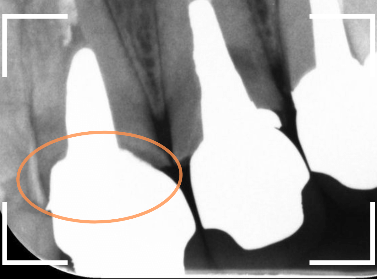
レントゲン写真で確認します。
隣のさし歯も、ですが、さし歯の縁が見えないところで不適合になっています。
これでは、いくら歯ブラシを頑張っても、汚れがたまってしまい、歯肉の改善ができません。
歯肉にぴったりあったさし歯に作り直す必要があります。
どの程度の不適合でさし歯を作り直すか、は状況によって判断は別れます。
歯周治療が終了してメンテナンスに移った患者さんは、我々はメンテナンス時に、こういったさし歯やつめもののの不適合も細かくチェックしています。
患者さんの自己判断では絶対わからない部分ですので、必ず来院してくださいね。

患者さんに状況を説明して、さし歯を外して確認します。
さし歯の中は、虫歯も進行しており、想像以上にひどい状況になっているのがわかります。
この状況では、いくら歯ブラシをしてもすぐにすき間に汚れがたまってしまうでしょう。


土台(メタル・コア)も外しつつ、虫歯を除去します。
赤く染色されている部分は虫歯です。
土台の中も虫歯になっていました。
早い段階で治療が出来てよかったです。
そして、後ろの歯との境の〇部には汚れや歯石が多くつまっています。

虫歯と共に、歯の周りの縁下歯石除去も行いました。
歯の周りがきれいになっているのがわかると思います。
隣のさし歯も、後日外して治療予定です。
このように、不適合なさし歯やつめものが入っている場合、それらを除去しないと、歯周治療がうまく進まない場合があります。
また、歯周治療が終わらないと、良いつめ物やさし歯が作れません。
一本の歯の治療でも、時に時間をかけて治療する必要がある事を理解していただければと思います。
なお、この治療の続きは、
https://kp-dental.com/ceramic4
case.22
で、動画でご紹介しています。
興味のある方はそちらもご覧ください。
ここまでこのブログを読んでいただいた、歯の治療に関心の高いあなたのご来院、お待ちしています。
https://kp-dental.com/Reservation
今後ともよろしくお願いします。
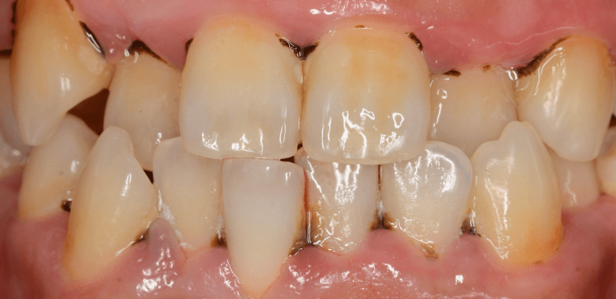
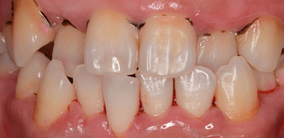
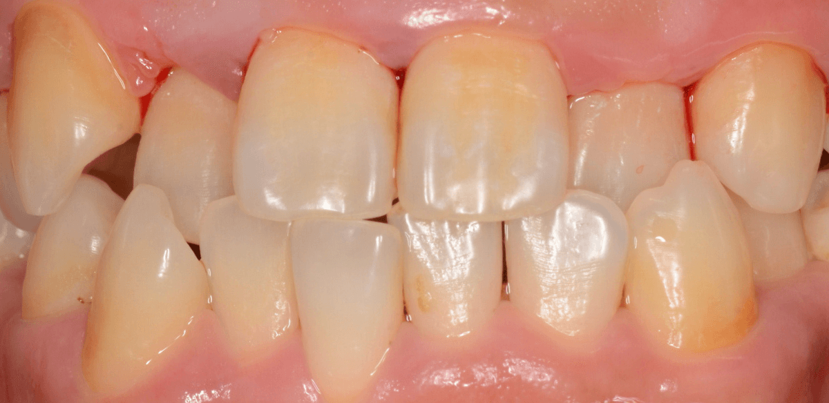
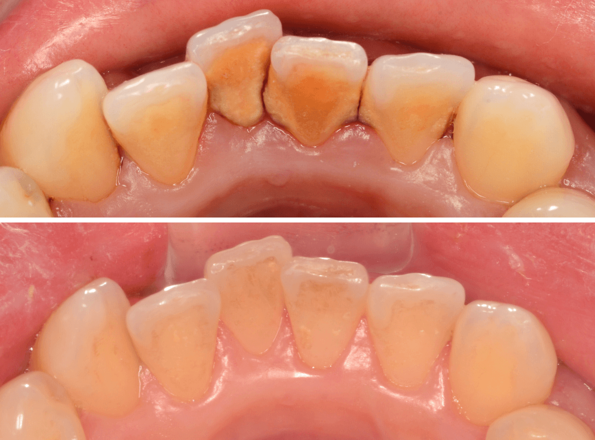
Case.4「歯の周りの黒い物を取って欲しい」という患者さん


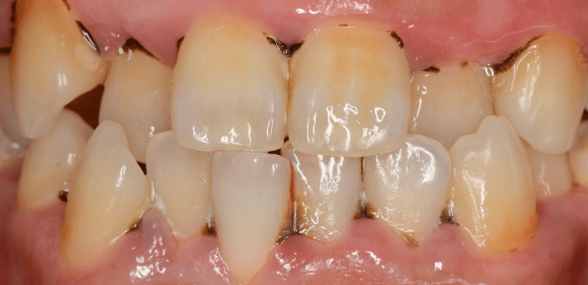
今回は、「歯の周りの黒い物を取ってほしい」という訴えの患者さんのケースです。
着色かな、と思い口の中を拝見すると、歯の表面まで露出した縁下歯石でした。
当院は、(現在のところ)比較的若い患者さんが多いので、ここまでハッキリ縁下歯石が露出しているケースは珍しいです。
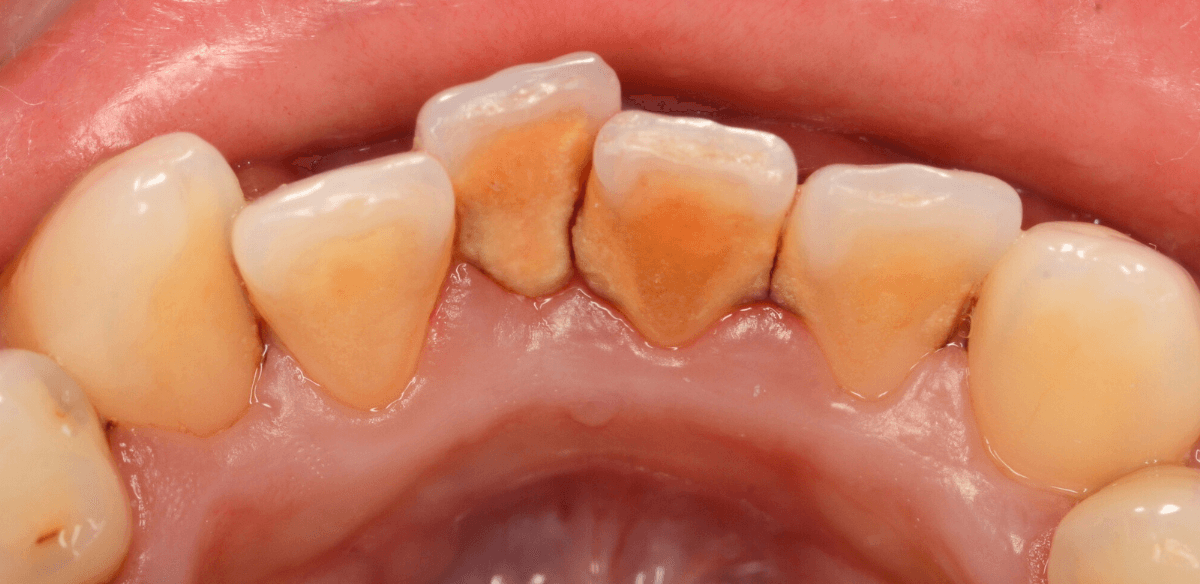
患者さんには、歯周病の基本的な説明とブラッシング指導をした後、まず下の歯の歯石除去から始めました。


ブラッシング指導・下の前歯の歯石除去直後の写真です。
これだけでも、かなり改善したかと思いますが、これだけの縁下歯石の量ですから、一回の歯石除去で全て取り切れるはずがありません。
根気よく、歯石除去を続ける必要があります。


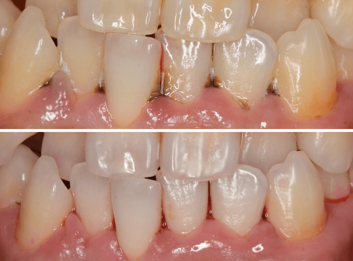
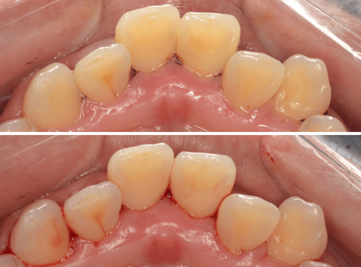
ビフォー・アフターです。


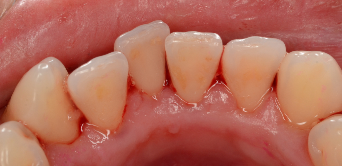
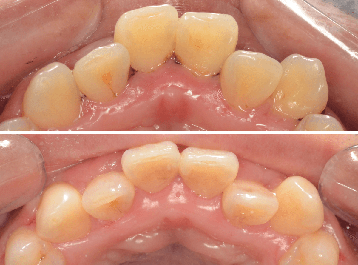
後日、上の前歯の歯石除去を行いました。
下の前歯の歯肉も改善されてきていますね。

上の歯だけで、これだけの縁下歯石がとれました(まだ歯肉の奥には残っていると思います)。
一度では取り切れません、時間をかけて取っていく必要があります。




ビフォー・アフターです。
かなり歯肉の改善がされていますが、まだしばらく治療は続ける必要があります。
ここまでこのブログを読んでいただいた、歯の治療に関心の高いあなたのご来院、お待ちしています。
https://kp-dental.com/Reservation
今後ともよろしくお願いします。


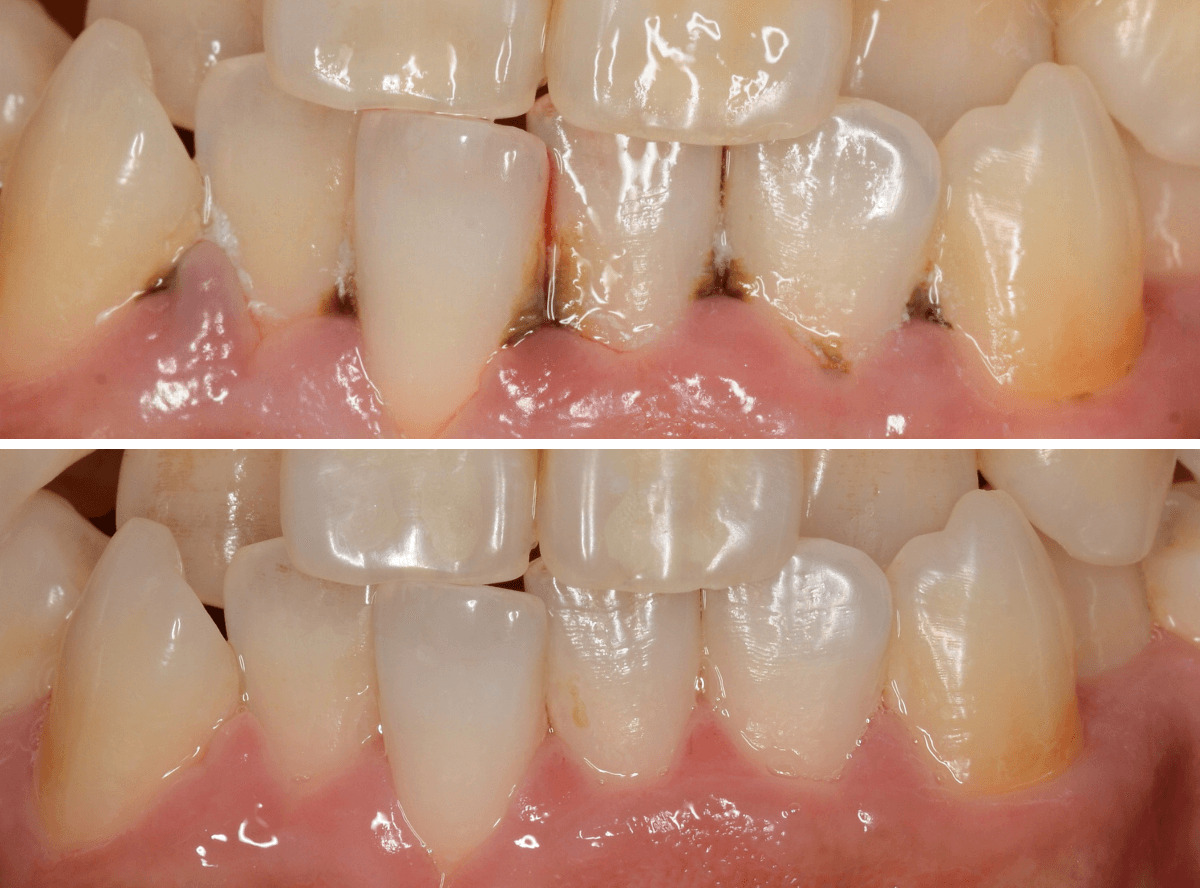
歯石除去終了後、約2ヶ月後の上の前歯の歯肉の状態です。
まだ所々歯肉が腫れっぽいですが、改善されているのがわかります


下の歯肉の状態です。
上の歯よりもはっきり改善されているのがわかりますね。
ダイエットと同じで、ここで満足してしまってはいけません、サボれば、また元の木阿弥に戻ってしまいます。
定期メンテナンスでこの状況を維持する必要があります。
ここまでこのブログを読んでいただいた、歯の治療に関心の高いあなたのご来院、お待ちしています。
https://kp-dental.com/Reservation
今後ともよろしくお願いします。
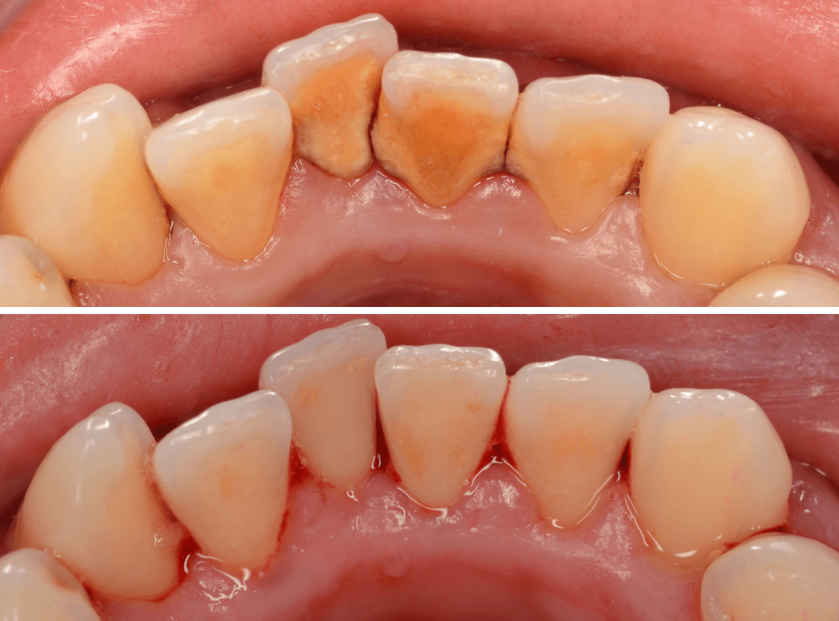
Case.3 縁下歯石除去後、3か月の状況

今回は、下の前歯の縁下歯石を除去した後、3か月後のメンテナンスにいらっしゃった方の治療前後です。
前側から見た所です。
とても綺麗に歯肉が治っているのがわかると思います。
歯石除去が終わったあとも、頑張ってお手入れしているのがうかがえます。
歯石除去だけでは、ここまで綺麗には治りません。

裏側の歯肉の状態も大きく変わりました。
年齢もお若い方なので、歯肉の回復も早いです。
ある程度まで歯周病が進行してしまいますと、完全に歯肉が元に戻るのは難しくなってしまいます。
本格的な歯周病になる前に治療を受けていただけて、本当に良かったと思います。
あとは、油断せずに持続していただきたいと思っています。
ここまでこのブログを読んでいただいた、歯の治療に関心の高いあなたのご来院、お待ちしています。
https://kp-dental.com/Reservation
今後ともよろしくお願いします。
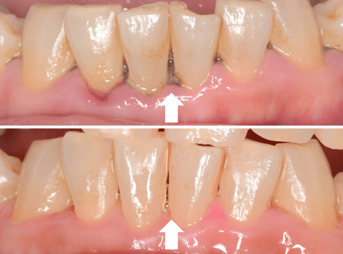
Case.2

今回は、上の前歯の縁下歯石の除去をしたお話です。
写真の左の矢印の歯肉が退縮して腫れています。
右の矢印の歯肉と比べてみるとわかると思います。
こういった歯肉の形をしている部分は、歯石がたまっていることが多いです。

拡大してみると、縁下歯石(歯肉の中に入り込んだ歯石:歯肉に大きく悪影響を与えます)が顔を出しているのがわかります。
かなり歯肉の中に歯石が入り込んでしまっていると思われます。
歯肉の中の歯石は歯にべっとりとこびりつきますので、除去するには麻酔をして引きはがす処置が必要です。

除去した縁下歯石の一部です。
縁下歯石は真っ黒いので、経験の浅い歯科医師や歯科衛生士は虫歯と見間違える事もあります。

歯石除去後、約1週間です。
歯肉がひきしまってきたのがわかるでしょうか。

治療前との比較です。
比べると、違いがわかると思います。
まだ若い患者さんで本格的な歯周病に進行する前ですので、歯ブラシの徹底によって、もっと歯肉が改善されるのも期待できます。
逆に、歯周病が本格的に進行してしまうと、歯石除去をしても歯肉や歯の周りの骨は完全には元には戻りません(><)

その後、この患者さんは熱心に通院とお手入れをされて、約二か月が経ちました。
歯肉は順調に引き締まってきました。
歯周治療は、ご本人のメンテナンスなしには結果が出ません、頑張ってらっしゃる形が見えて、とても嬉しいですね

こちらが比較写真です。
並べてみると、治り具合がよりわかりますね
歯周病治療は、生活習慣病です
- できるだけ早いうちに治療を始める
- ご本人の歯周病を理解し、ご自身のメンテナンスを続ける
事が重要です。
ここまでこのブログを読んでいただいた、歯の治療に関心の高いあなたのご来院、お待ちしています。
https://kp-dental.com/Reservation
今後ともよろしくお願いします。
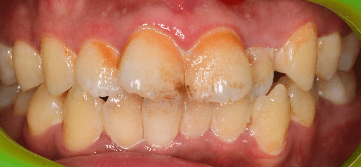
Case.1

「口臭が気になる」という理由で来院された患者さんです。
何度か来院され、歯石除去や歯ブラシ指導をしているのですが、まだまだ、徹底されていないのがわかります、もう少し頑張ってほしい(><)

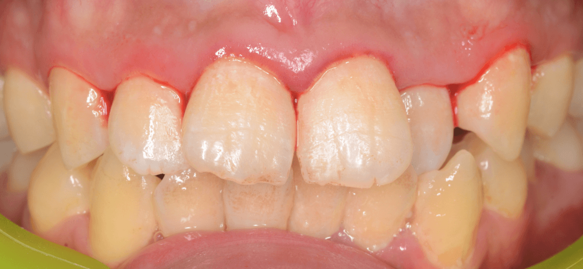
歯肉の縁が赤く腫れています。こういった歯肉の中には歯石がたまっている可能性が大です。
この歯肉の中の見えない歯石は、歯肉の上の歯石よりも、歯周病の原因になります。
歯周病は痛みなどの自覚症状に乏しく、気づけば完全に治らない状態まで進んでいる事も多いので早期発見・治療が大切です。
保険診療では、歯石除去は一日で治療できる範囲が限られています。
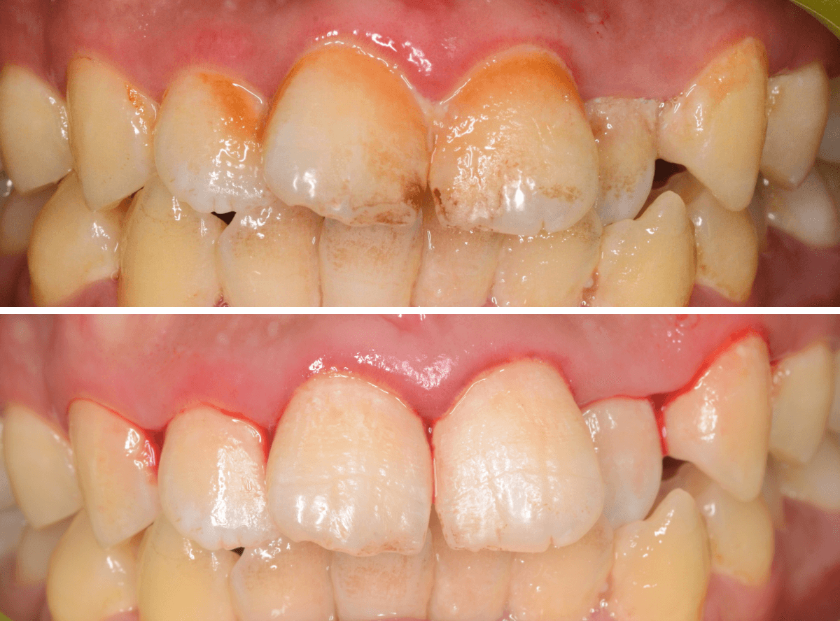
今回は、上の前歯の部分の歯肉の中の歯石除去をしました。

こちらが歯肉の中から除去した歯石の一部です。
歯肉の中の歯石は、歯に強くこびりつきますので、力を入れて除去する必要がありますので、麻酔をして歯石除去します。

歯石除去後です。
この状態を長く維持してもらう必要があります。

ここまで歯石除去の解説をしましたが、実は歯周病の治療で一番効果のある治療は、患者さんの日々の歯ブラシです。
お部屋のお掃除をイメージしてもらうとわかりやすいかと思います。
歯石除去=業者に頼む大掃除
歯ブラシ=日々の掃除
せっかく歯石除去をしていても、歯ブラシがしっかりできていないと、効果は薄く、元の木阿弥になってしまいます。
患者さんには、今一度、気を引き締めて歯ブラシをしていただくよう指導しました。
どのくらい歯肉が治っていくのか経過観察する必要があります。
ここまでこのブログを読んでいただいた、歯の治療に関心の高いあなたのご来院、お待ちしています。
https://kp-dental.com/Reservation
今後ともよろしくお願いします。
高円寺PAL歯科医院 :https://kp-dental.com/
〒166-0003 杉並区高円寺南4-25-4 RESTA高円寺3F
電話:03-6383-1963
電車でお越しの方:
JR線 高円寺 駅南口より 徒歩2分
