コンポジット・レジン下の二次う蝕
2025/07/24
コンポジットレジン修復後に起こる「二次う蝕」とは
こんにちは、高円寺PAL歯科医院の新井です。
虫歯を治療してつめ物を入れたのに、また同じ場所が虫歯になってしまう。
「虫歯の治療したのに、また虫歯になるんですか?」
そう言われる患者さんも多いですが、これは「二次う蝕(にじうしょく)」と呼ばれる現象で、つめ物の境目や中で虫歯が再発してしまうことをいい、虫歯の中でも特に起こりやすいところです。
特に、前歯や比較的小さな虫歯の治療で行われる「コンポジットレジン(CR)」による修復では、この二次う蝕が起こりやすいといわれています。
コンポジットレジンとは何ですか?
これは虫歯を削った後の穴を埋める、白い樹脂製の材料です。
虫歯を削った部分につめて、光で固める治療で、比較的短時間に歯の色に近い修復ができるために、多くの保険治療で使用されています。
主な特徴
白くて自然な仕上がり
1回の通院で治療が完了する
金属を使わないため、金属アレルギーの心配がない
保険適用で経済的
このように利点の多い素材ですが、デメリットも存在し、お口の環境によってはトラブルも起こりやすくなります。
コンポジットレジン修復後に二次う蝕が起こりやすい理由
原因① レジンと歯の「わずかなすき間」
治療でつめたレジンと歯とのすき間には目には見えないわずかなすき間があります。
また、歯やレジンは温度が上がると膨張し、下がると収縮するという性質があります。
歯とレジンは膨らみ縮みする程度(専門的には熱膨張係数といいます)が違うため、食事で暖かい物や冷たい物をを口に含むたびに、歯とレジンのすき間はより大きくなります。
このすき間に唾液や細菌が入り込み、徐々に内部で虫歯が進行します。
どんなに歯ブラシを頑張っても、虫歯ができてしまう理由の一つです。
原因➁ 経年劣化・摩耗
レジンはプラスチック系の材料で、吸水性があり、柔らかくて削れやすいという性質があるため、金属やセラミックなどに比べて、比較的短期間で摩耗したり、色素沈着を起こしたりします。
摩耗した部分は段差が生じたり、汚れがたまりやすくなって再び虫歯になる原因になります
二次う蝕は、発見も難しい
二次う蝕に限りませんが、進行するまで自覚症状がない事も多く、気づかないことも多いのです。
たとえば、レジンの色が少し茶色く変わっていたり、詰め物の周囲に段差が出てきたりすることがありますが、単なるレジンの劣化か、虫歯になっているのか判断がつきづらく、痛みが出るころには神経に近いところまで進行していることもあります。
そのため、定期的な歯科検診でレントゲンや視診を受け、微妙な変化を見ぬきやすい環境を作ることが重要です。
実際の治療例
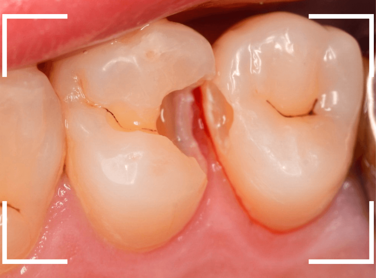
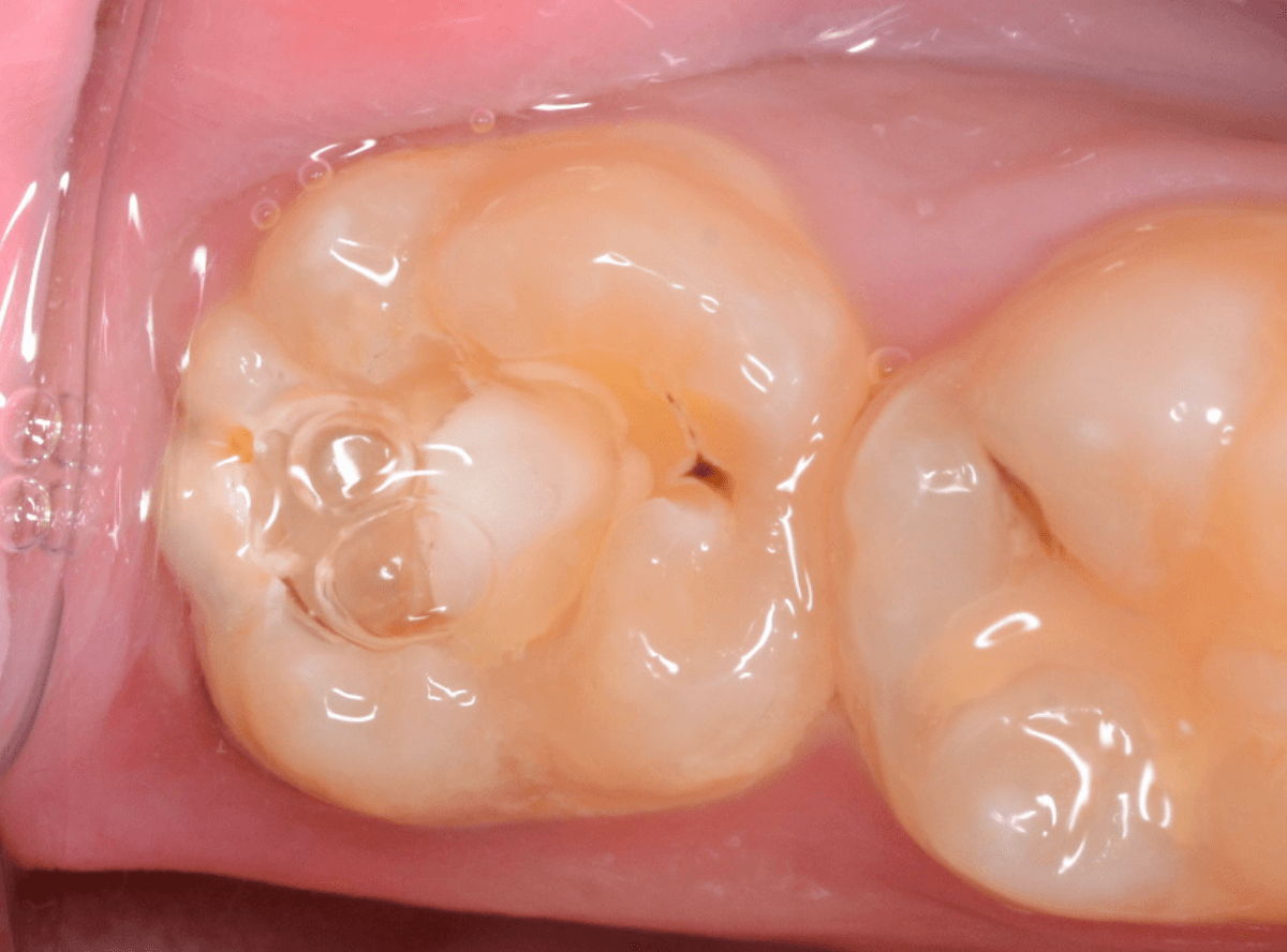
Case.17 歯の側面のレジンの中のわかりづらい虫歯

検診で、金属のつめ物のの中と、歯の側面に虫歯が見つかった方です。
まずは、手前(左)側の治療です。

こちらが、お口の中を見たところです。
〇部の中に虫歯があると思われます。
今回のように、金属のつめ物やレジン治療をしてある歯の側面の虫歯の診断はわかりづらく、難しいです。

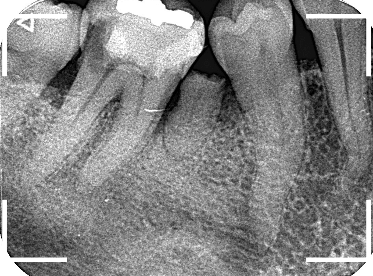
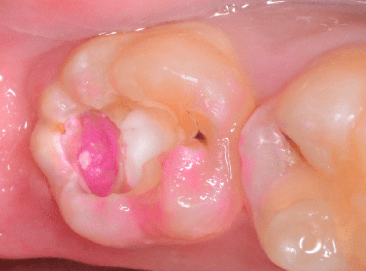
金属のつめ物を外したところです。
この白いセメントの中に虫歯があると思われます。

セメントを除去したところです。
赤く染まっている部分が虫歯です。
真っ赤ですね(^^;)

慎重に虫歯を除去していきましたが、まだ薄く染まっています。
もう少し除去する必要があります。

全ての虫歯が取れました、かなり深い神経まで近い虫歯でした。

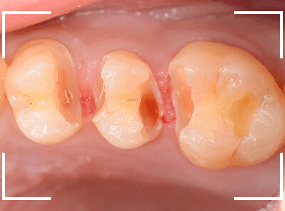
次に奥側(右側)の虫歯の治療に移ります。

前の治療でつめたセメントを外しつつ、虫歯治療を行います。
写真ではわかりづらいですが、赤く染まった部分を中心に、虫歯がかなり広がっています。

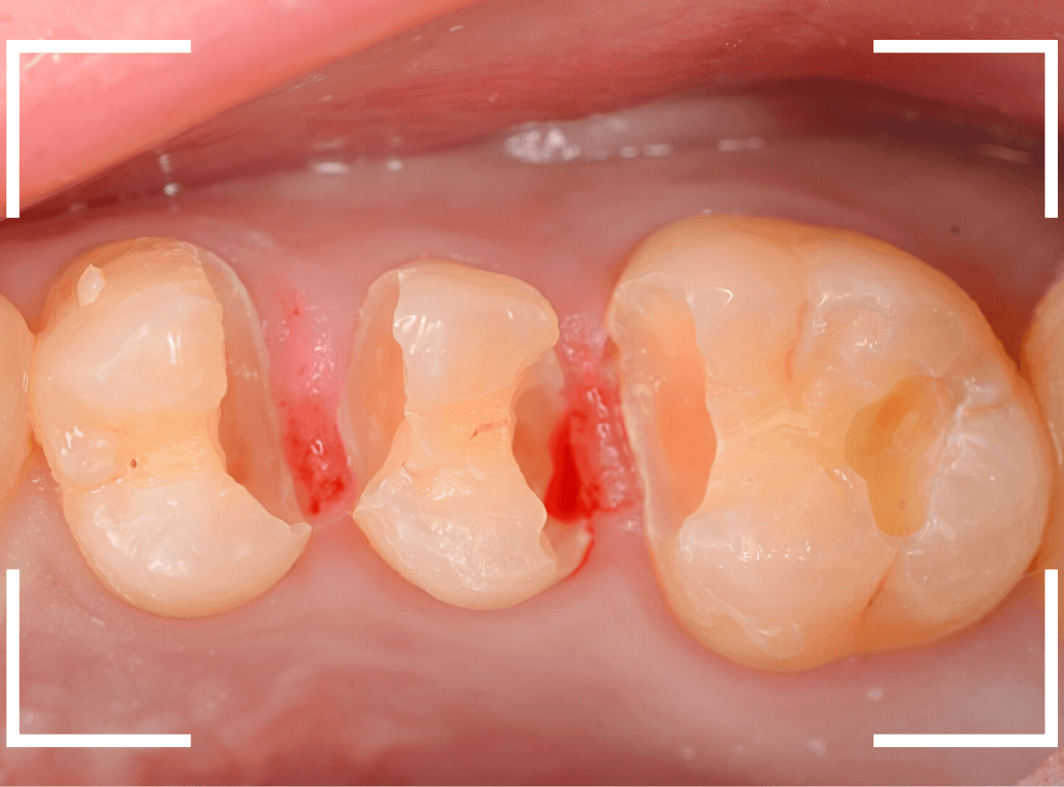
虫歯を全て取り切ったところです。
神経スレスレの部分まで広がった虫歯で、最後は神経に触らないようにエキスカを使った、手探りでの虫歯治療になりました。
ここまでこのブログを読んでいただいた、歯の治療に関心の高いあなたのご来院、お待ちしています。
https://kp-dental.com/Reservation
今後ともよろしくお願いします。
Case.16 レジンの下の深い虫歯2

虫歯の治療希望で来院された患者さんです。
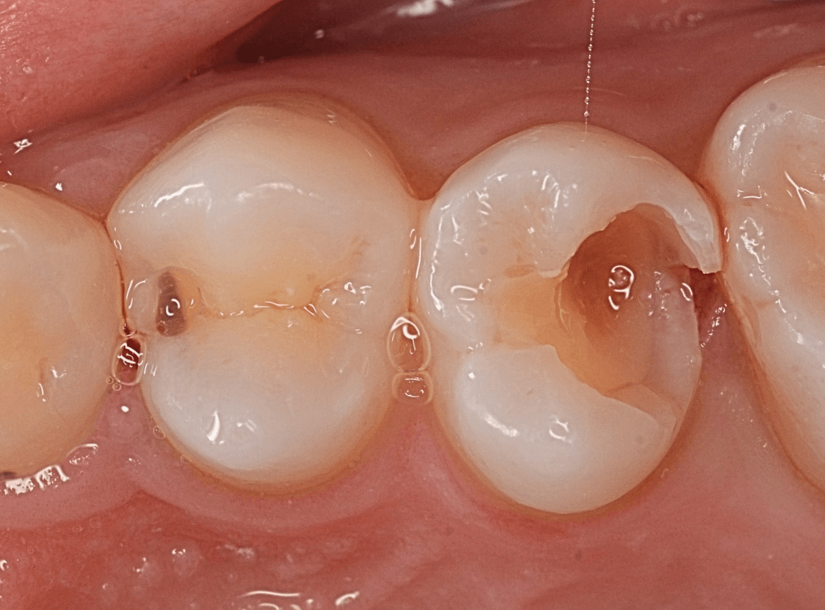
レジンが欠けて大きな穴が空いているのが見えます。
このような場合は、中で虫歯が進行している事が多いです。
(レジンの中で虫歯が進行してレジンに穴が空いた、レジンが欠けたのを放置して虫歯が進行したパターンなどがあります)

レントゲン写真で確認します。
青い線が歯の神経です。
赤い線が虫歯と思われる部分です。
思った通り、神経に達してしまいそうな大きな虫歯です。
患者さんには、神経を取る治療が必要な可能性が高い事を説明します。

治療開始です。
まず、慎重にレジンを除去します。
レジンの中の虫歯治療で難しいのは、レジンが歯と同じ色をしているために、歯なのかレジンなのか見分けがつきにくい時がある事です。
この写真でも、レジンがまだ残っているのがわかるでしょうか?
白い〇の部分です。
レジンを全て除去しないと、その下の虫歯を取り残してしまいます。

う蝕検知液で、虫歯の部分を判別しても、レジンが残っていると、わかりづらいです。

慎重にレジンを除去すると、歯の神経が顔を出してきました(露髄)。
レジンを除去したところでもう一度染め出しをしてみます。
神経の周りも虫歯で真っ赤に染まります。

露髄した部分が広がらないように、慎重に虫歯を除去しました。
幸い、それ以上広がる事はありませんでしたので、なんとか神経が残せる可能性が高いです。

お薬とセメントをつめて、経過観察します。
痛みが出ませんように・・・。
ここまでこのブログを読んでいただいた、歯の治療に関心の高いあなたのご来院、お待ちしています。
https://kp-dental.com/Reservation
今後ともよろしくお願いします。
Case.15 レジンの下の深い虫歯

奥歯で咬んだ時に、痛みを感じるという訴えで来院された患者さんです。
パッと見は特に問題なさそうな状態ですが、大きなレジン治療がしてあり、レジンの奥もボヤっと黒っぽく見えてアヤシイ感じです。

レントゲン写真で確認します。
青い線が神経、赤い線が虫歯です。
神経に触ってしまいそうなほどの大きな虫歯です。
(隣の歯も虫歯がありそうです)

麻酔をして、レジンを外します。
レントゲン写真から想定できるような大きな虫歯ですね。

慎重に虫歯を除去します。
赤く染色されている部分が虫歯の残っている部分です。

全ての虫歯を除去したところです。
何とか神経の寸前で虫歯を食い止める事ができましたが、まれに症状が出る事もありますのでお薬をつめてしばらく経過観察します。
ここまでこのブログを読んでいただいた、歯の治療に関心の高いあなたのご来院、お待ちしています。
https://kp-dental.com/Reservation
今後ともよろしくお願いします。
Case.14 CR(コンポジット・レジン)の下の深い虫歯

奥歯で咬んだ時に、痛みを感じるという訴えで来院された患者さんです。
パッと見は特に問題なさそうな状態ですが、大きなレジン治療がしてあり、レジンの奥もボヤっと黒っぽく見えてアヤシイ感じです。

奥歯で咬んだ時に、痛みを感じるという訴えで来院された患者さんです。
パッと見は特に問題なさそうな状態ですが、大きなレジン治療がしてあり、レジンの奥もボヤっと黒っぽく見えてアヤシイ感じです。

麻酔をして、治療を開始します。
レジンを外すと、中から出血してきました。
これは、歯のスキマに歯肉が入り込んでしまったために起こってしまったものです。
おそらく、随分前から虫歯が進行していたと思われます。

麻酔をして、治療を開始します。
レジンを外すと、中から出血してきました。
これは、歯のスキマに歯肉が入り込んでしまったために起こってしまったものです。
おそらく、随分前から虫歯が進行していたと思われます。

止血しながら、電気メスで歯の中に入り込んだ歯肉を除去します。
虫歯と入り込んだ歯肉でぐちゃぐちゃになっている状態でした。
これでは、痛みが出てもおかしくありません。

慎重に全ての虫歯を除去したところです。
〇部が神経の入り口が見えているところです。
神経を保護する処置をして、しばらく経過観察しますが、痛みが出て神経を除去する必要が出る可能性も高いです。
痛みが出ませんように・・・。
ここまでこのブログを読んでいただいた、歯の治療に関心の高いあなたのご来院、お待ちしています。
https://kp-dental.com/Reservation
今後ともよろしくお願いします。
Case.13 問題なさそうなレジンの下で深い虫歯

他の歯の治療希望で来院された患者さんで、レントゲンで大きな虫歯が見つかった方です。
以前に虫歯を削って、レジンをつめる治療がしてあります。
表面を見る限り、特に問題はなさそうです。

レントゲン写真を撮影しました。
青い線が神経
黄色い線がレジン
赤い線が虫歯
です。
思ったよりも深い虫歯をレジンで埋めてあったようで、さらにその中が虫歯になっている状況です。
神経までかなり近い虫歯と思われます。
症状はありません。

まずは、麻酔をしてつめ物を慎重に外してみます。
両歯とも、色々嫌な予感のする所見です。

レジンを除去して虫歯を調べます。
赤い部分が虫歯です。
少しずつ虫歯が出てきました。

慎重にレジンを外して、全ての虫歯を除去しました。
レントゲンから予想される通り、かなり大きな虫歯でした。
症状が出る前に治療が出来て良かったです。
ここまでこのブログを読んでいただいた、歯の治療に関心の高いあなたのご来院、お待ちしています。
https://kp-dental.com/Reservation
今後ともよろしくお願いします。
Case.12 仮つめ中のレジンの下がひどい虫歯

今回は、他院で治療途中で離脱後、放置してしまった患者さんの例です。
一目瞭然かと思いますが、仮つめ?にしていたレジンがかけて、中が虫歯になっています。

レントゲン写真で確認します。
青い部分が歯の神経で、赤い部分が虫歯です。
神経寸前まで虫歯が進行しているのがわかります。
ここまで虫歯が進行していたら、何か症状が出てもおかしくないのですが、特に症状はないそうです。
おかげで、本人はYAVAY状況に気づいていません
(><)

本人にYAVAY状況を説明して、早急に治療を開始します。
レジンを除去すると、すぐに大きな虫歯が見えてきました。
赤い部分が虫歯です。
今にも神経が見えてしまいそうで怖いです。
エキスカを使って、少しずつ虫歯を除去します。

ほぼ、全ての虫歯を除去したところです。
〇部が神経の入り口です。
ここをお薬で保護し、セメントで蓋をしてしばらく様子をみます。
痛みが出て取れなけば・・・改めて神経を取る治療が必要になります(>_<)
ここまでこのブログを読んでいただいた、歯の治療に関心の高いあなたのご来院、お待ちしています。
https://kp-dental.com/Reservation
今後ともよろしくお願いします。
Case.11 劣化したレジンの下で虫歯

今回は、レジンの中の虫歯の話です。
以前に治療をしたレジンが劣化して変色し、中も黒くぼやっと見えます。
このような状況では、治療をすると大きな虫歯が見つかる事が多いです。

レントゲン写真で確認します。
レントゲン写真だけでは、虫歯のようには見えません。

患者さんに状況を説明し、レジンを外して中を調べると、大きな虫歯が見つかりました。

虫歯治療を進めると、まだまだ虫歯が出てきます。
想像以上に大きな虫歯です。

慎重に虫歯を全て除去しました。
神経まで達した虫歯の可能性も頭をよぎりましたが、なんとかその寸前で食い止められ、ほっとしました。
しばらくはお薬をつめて,症状が出ないか経過観察します。
ここまでこのブログを読んでいただいた、歯の治療に関心の高いあなたのご来院、お待ちしています。
https://kp-dental.com/Reservation
今後ともよろしくお願いします。
Case.10 隣の歯とのすき間につめた、レジンの中の虫歯

こちらも、他の歯の治療希望で来院された患者さんです。
歯と歯の間につまっているレジンがかけています。
中が黒くぼやっとしているので、おそらく虫歯になっていると思われます。

レントゲン写真で確認します。

レジンを外すと、中の虫歯が出てきました。

虫歯を全て除去しました。
思ったよりも中で虫歯が広がっていました。

隣りの歯にも、虫歯は写っていました。
・自覚症状なし
・つめものの下が虫歯
・隣の歯との虫歯
・治療したら、隣の歯も虫歯
と、典型的な虫歯の例でした。
ここまでこのブログを読んでいただいた、歯の治療に関心の高いあなたのご来院、お待ちしています。
https://kp-dental.com/Reservation
今後ともよろしくお願いします。
Case.9 レジンの中で大きく広がった虫歯

他の歯の治療希望で来院された患者さんです。
検査をすると、他の場所にも大きな虫歯が見つかりました。
レジン(つめもの)の下の虫歯で、この写真では、わかりづらいですが、中で広がっています。

レントゲン写真で確認します。
レジンの下が虫歯になっているのが確認できます。

まず、手前の歯から治療をします。
つめものを外すと、大きな虫歯が出てきました。

慎重に虫歯を除去します。
かなり虫歯が進行しています。

後ろの歯の治療も進めます。

全ての虫歯を除去したところです。
かなり広範囲な虫歯になっていました 。
このように一度治療した箇所は虫歯の再発しやすい部分でもあります。
特に隣の歯との間のレジンの中は虫歯が見つかる事が多いです。
自覚症状がなくても、定期的なメンテナンスとレントゲン写真での確認をおすすめします。
ここまでこのブログを読んでいただいた、歯の治療に関心の高いあなたのご来院、お待ちしています。
https://kp-dental.com/Reservation
今後ともよろしくお願いします。
Case.8 抜歯をしながら、虫歯の治療をしたケース

下の奥歯が大きな虫歯になってしまった患者さんです。
レントゲンを撮ってみると、手前の歯との間に歯の根っこが埋まっています(乳歯?)。
虫歯の治療と一緒に抜歯をする必要があります。

レントゲン写真から、左の矢印の部分が大きな虫歯になっていると思われる部分で、右の矢印の歯肉に歯の根っこが埋まっていると思われる部分です。
ほっぺ側にレジンがつまっている事もあり、上から見ただけだとよくわからないですね(><)

表側から見た所です。
まずは、麻酔をしてレジンを外して虫歯治療をしないと、隠れている歯の根っこも見えません。
かなり虫歯も深いですね。

虫歯を全部取り切ったところです。
矢印の部分に歯の根っこが埋まっている部分で、ほんのちょっと頭が見えています。

慎重に歯肉の中の歯を抜歯しました。

最後にレントゲン写真で確認します。
無事に取り残す事なく、抜歯できてますね。
しばらくは削った部分にお薬をつめて、虫歯の治療後の痛みがない事と、抜歯後の歯肉の治るのを待って、最終的な歯の形を作っていきます。
ここまでこのブログを読んでいただいた、歯の治療に関心の高いあなたのご来院、お待ちしています。
https://kp-dental.com/Reservation
今後ともよろしくお願いします。
Case.7 歯の側面が大きく虫歯になっていたケース

今回も、歯が欠けたという事で来院された患者さんです。
欠けている部分は小さいですが、歯の側面に大きなつめもの(レジン)が入っています。
一目見て、中で大きな虫歯になっていそうな予感がしました。

レントゲン写真で虫歯を確認します。
中で虫歯が広がっていそうな写り方です。
また、このように側面につめものがしてあると虫歯がわかりづらくなってしまう事も多いので、大きな虫歯がある事を想定して治療をします。

レジンを外し、齲蝕検知液を使いつつ、中を確認します。
赤く染まっているところが虫歯です。
濃く染まっているので、深めの虫歯があると想定されます。

虫歯の全体像が見えてきました。
レジンのすき間から虫歯が大きく広がってしまっていたようです。
一部、歯肉の中まで虫歯が広がっていました。
さらに慎重に虫歯を除去します。

虫歯を全部除去したところです。
歯の側面全体に大きく渡る虫歯でした。
いつものように痛みが出ないかお薬をつめて経過観察しますが、最終的にどのように治すのがベストかにも悩む虫歯の大きさでした。
ここまでこのブログを読んでいただいた、歯の治療に関心の高いあなたのご来院、お待ちしています。
https://kp-dental.com/Reservation
今後ともよろしくお願いします。
Case.6 レジンの下であちこちから虫歯

今回も、白いつめ物(レジン)の中が大きな虫歯になっていたお話です。
何度か虫歯治療をしたのか、つめもの(レジン)がつぎはぎになっています。

レントゲン写真で確認します。
虫歯が確認できますが、つぎはぎの治療のためか、状況がちょっとわかりづらい写りになっています。

レジンを少しずつ除去して虫歯を探っていきます。
あちこちから虫歯になっていますね。。。

う蝕検知液で途中確認します。
まだかなり虫歯が残ってる感じですね、また隣の歯のレジン中も怪しいので、外して調べる必要があります。

最終的に、かなり広範囲にわたる虫歯でした。
治療後にしみるなどの症状がないか、どのような方法で最終修復をするのがベストか、少し悩みの残る治療でした。
ここまでこのブログを読んでいただいた、歯の治療に関心の高いあなたのご来院、お待ちしています。
https://kp-dental.com/Reservation
今後ともよろしくお願いします。
Case.5 レジンの下が思ったより深い虫歯だったケース

今回は、白いつめ物(レジン)の中が大きな虫歯になっていたお話です。
検診希望で受診された患者さんです。
小臼歯が虫歯が怪しい感じです。

レントゲン写真で確認です。
奥側(右側)のレジンの中に虫歯があるのがわかります。
手前側はレントゲンでははっきりわかりません。

治療を開始しました。
手前は小さな虫歯でしたが、奥側は思った以上に虫歯が深いです。

結局、レントゲン写真から想定されるよりも、かなり大きな虫歯でした。

最終的に手前の小さな虫歯はレジンで、大きな虫歯は金属インレーで修復しました。
いかがですか、小さい虫歯のうちに治療するのと、虫歯が進んだ状態で治療するのでは大分結果が違うのがわかるかと思います。
定期歯科受診で、「早期発見、早期治療」といきましょう!
ここまでこのブログを読んでいただいた、歯の治療に関心の高いあなたのご来院、お待ちしています。
https://kp-dental.com/Reservation
今後ともよろしくお願いします。
Case.4 劣化したレジンの下で深い虫歯

こちらも、他の歯の虫歯が心配で受診された方です。
レントゲン写真を撮影すると、こちらの歯が大きな虫歯になっている事がわかりました。
虫歯の治療でつめたレジンが劣化し始めてます。

症状は全くありませんが、以前に治療をしたレジンの中が明らかな虫歯になっています。
もう神経に触りそうなヤバイ状況です。
ご本人は説明しても、他の歯の方が心配とケロっとしていましたが(^^;)

さて今回も、露髄(虫歯の治療をしているうちに歯の神経が露出してしまう事)に怯えながら、慎重に治療を開始します。
麻酔の効果を待っている間に、手前の小さな虫歯を手早く治療します。
さて、本丸の歯のレジンを外すと、早速、巨大な虫歯が現れました。

ここからは、おなじみのエキスカを使って、さらに慎重に虫歯を除去します。

最終的には、今回も幸運にも神経ギリギリで虫歯を食い止められました。
しばらくは、痛みがでないように祈りながら、経過観察が必要ですね。。。
いつもの話になりますが、定期的な歯科受診と虫歯の早期発見が歯の寿命を延ばす大きな秘訣です♪
ここまでこのブログを読んでいただいた、歯の治療に関心の高いあなたのご来院、お待ちしています。
https://kp-dental.com/Reservation
今後ともよろしくお願いします。
Case.3 レジンの下が深い虫歯

今回は「つめ物が取れた」と来院された患者さんのレントゲン写真撮影すると、もっとまずい状況になっている別の歯が見つかり、急遽治療したケースです。
目視で見た限り、そこまで大きな虫歯があるかどうかははっきりわかりません。
患者さんの自覚症状もまったくありませんでした。

レントゲン写真を撮影すると、いつ痛み出してもおかしくない状況が判明しました。
奥にかぶっているおやしらずも、何とかしないといけないですね。。

さて、痛みが出ていない、今が歯の神経を残す治療のラストチャンスです。
痛みが出てしまったら、確実に神経を取る治療が必要になるのと、麻酔もなかなか効かなくなってしまい、患者さんの苦痛も倍増します。
患者さんにご説明して、急遽、治療を始めます。
いつものように、慎重につめもの(レジン)を外して治療を進めます。

治療途中、う蝕検知液で染め出したところです。

慎重に虫歯を取っていきますが、まだまだ虫歯は取り切れません(色がついているところが虫歯です)。
かなり神経が近くなってきましたので、ここからは機械を使わずに虫歯を除去します。

虫歯の進行した歯は、このようにボソボソになっています。

今回も、なんとか神経ギリギリのところで虫歯を食い止められました♪
つめ物が取れたのが受診のきっかけになったのが、怪我の功名となりました。
ここまでこのブログを読んでいただいた、歯の治療に関心の高いあなたのご来院、お待ちしています。
https://kp-dental.com/Reservation
今後ともよろしくお願いします。
Case.2 レジンの下で神経に触れそうなほどの虫歯

こちらは、下の奥歯の写真です。
特に症状の訴えはありませんでしたが、
歯を観察した瞬間、「虫歯がありそうだな」と思われるような所見です。

私の目には大体このように映っています。

レントゲン写真です。
私が虫歯っぽいと思っていた部分よりも、むしろ手前の部分に大きな虫歯がありました。
もう神経に触りそうな大きな虫歯です。
これだけの虫歯であれば、通常であれば、歯がしみたり、食事中に痛みがあったり何らかの症状があるのですが、無症状のこともあります。

麻酔をして治療開始です。
少し削ると、大きな虫歯が出てきました。

手前の歯にもかかる大きな虫歯でした。
ここまで削っても、まだ、虫歯が残っています。
すぐ下には歯の神経が来ていますから、より慎重に虫歯を除去します。

露髄(歯の神経が見えてしまう事)に怯えながら、慎重に虫歯を除去しました。
なんとか神経ギリギリのところで虫歯がとどまっていました。

虫歯を完全に除去した後、お薬とセメントをつめて経過観察です。
かなり大きな虫歯でしたが、おそらく神経の治療をせずになんとかなりそうです。。。
ここまでこのブログを読んでいただいた、歯の治療に関心の高いあなたのご来院、お待ちしています。
https://kp-dental.com/Reservation
今後ともよろしくお願いします。
Case.1 劣化したレジンの下で深い虫歯

別の歯の治療で来院された患者さんです。
特に症状はありません。
初診時に歯を検査した時、歯のつめものが少し変色して不適合気味になっているのが気になりました。
みなさんは、写真を見てどこかわかりますか?

答え:歯の中央部分です。
レジンという歯科用プラスチックがつめてある状態です。

レントゲンで確認します。
明らかな虫歯があります。
かなり大きいと思われます。

さて、いつものように麻酔をして虫歯の治療をします。
レジンを削って外すと、想像以上に深い虫歯が出てきました。
黄土色の部分はう蝕検知液を使わずとも、明らかな虫歯です。
虫歯で歯が溶けてネチョネチョした粘土のような状態になっている状態です。

慎重に虫歯を除去した後、う蝕検知液で確認します。
それでもまだまだ濃く染色されます。
歯の神経が露出し、抜髄(歯の神経を除去する治療)の可能性が頭をよぎり、あせります。

スプーンエキスカ(機械を使わず、手で少しずつ虫歯を取る道具)で、細心の注意で虫歯を除去し、何とか薄皮一枚、神経ギリギリの場所で虫歯を取りきる事ができました。
まだ麻酔が切れた後に症状が出る可能性はゼロとは言えませんが、当院の治療でこの状態で痛みやしみといった神経の症状が出る事はあまりありませんので、まずは一安心といったところです。
歯の神経があるかないかで、歯の寿命は大きくかわります。
今回のような自覚症状がない大きな虫歯を、歯科医院に来院されたことで、間一髪神経をとらずに済んだ患者さんも多くいらっしゃいます。
痛みが出てからでは、手遅れになっている事が多いです。
皆さん、歯科医院には定期的に通う習慣をつけましょう。
ここまでこのブログを読んでいただいた、歯の治療に関心の高いあなたのご来院、お待ちしています。
https://kp-dental.com/Reservation
今後ともよろしくお願いします。
高円寺PAL歯科医院 :https://kp-dental.com/
〒166-0003 杉並区高円寺南4-25-4 RESTA高円寺3F
電話:03-6383-1963
電車でお越しの方:
JR線 高円寺 駅南口より 徒歩2分
