インレー治療後の二次う蝕
2025/07/24
インレー治療後に起こる、「二次う蝕」とは?
こんにちは、高円寺PAL歯科医院の新井です。
以前に治療をした金属のつめもの(インレー)が外れたので、つけ直しにいったら「中で虫歯になっているので、つけ直すことはできません。再治療が必要です。」と、言われた経験はありませんか?
このように、一度治療した部分が再び虫歯になることを「二次う蝕」と言います。
特につめ物(インレー)と歯との境目にできやすく、金属色によって遮蔽されるために見た目では虫歯がわかりにくく、発見が遅れやすいのが特徴です。
一度治療したからといって、「完全に虫歯のリスクがなくなったわけではない」ということを、ぜひ知っておいてください。
なぜ、インレー治療後に虫歯が再発しやすいのか?
1. インレーと歯の間にすき間ができる
インレーはセメントで歯に合着されますが、経年劣化や噛み合わせの力などによってすき間が生じることがあります。
また、銀歯などの金属素材は、歯に比べて熱による伸縮が大きいため、飲食の際などに、歯とインレーの境目に微妙なすき間ができます。
これらのすき間に細菌や食べかすが入り込み、見えないところで虫歯が再発するのです。
2. セメントの劣化
接着に使われているセメントも時間の経過とともに溶けたり弱くなったりします。
これが二次う蝕の大きなリスク要因になります。
3. 歯磨きのしにくさ
そもそも、インレー治療を行う歯の周囲は形が複雑で、磨き残しが起きやすい部位が多いです。
毎日の歯磨きで落としきれなかったプラークが、再度虫歯を招く原因になります。
インレーの素材によっても、再発率は違う
歯医者でインレー治療を受ける時、「金属で直すか、セラミックで直すか」と聞かれる事があります。
多くの方は、見た目の違いを気にされて素材を選びますが、実は「虫歯の再発率」にも違いがあります。
金属インレー(いわゆる銀歯):再発リスクは高め
保険適用で使われる銀歯(金銀パラジウム合金など)は、経済的かつ耐久性に優れた素材ですが、二次う蝕のリスクが比較的高いことが分かっています。
理由①熱膨張率の違い
金属は温度の影響を受けやすく(熱膨張係数が高い)、熱いもの・冷たいものの飲食により歯と一緒に大きく伸び縮みします。
これにより、歯との接着面にすき間が生じやすくなります。
理由➁歯と「合着(物理的な力で固定)している」
金属インレーは「合着」(物理的な接着)によって固定されることが多く、時間の経過とともにセメントが劣化・溶解し、すき間から虫歯菌が侵入しやすくなります。
その結果、インレーの下で気づかぬうちに虫歯が再発するケースが少なくありません。
セラミックインレー:再発リスクは低め
一方、セラミックインレーは、見た目が自然で美しいだけでなく、歯と一体化するように接着できるため、二次う蝕のリスクを大きく抑えられる素材です。
理由①金属よりも熱膨張係数が低い
熱膨張率が、金属よりも天然歯に近く、すき間が生じにくいため、虫歯が再発しやすい。
理由➁歯と化学的「接着」している
歯と接着剤で分子レベルで結合しているため、接着力が非常に高く、すき間ができにくい
こうした特性により、セラミックは辺縁漏洩の起こりにくい非常に優れた素材と言えます。
インレー治療後の二次う蝕が進行するとどうなるのか?
そもそもインレー治療は「深い、広い虫歯」の治療時に行う事が多いです。
そこからさらに虫歯が再発してしまうと、
再治療でさらに大きく削らざるを得なくなる→神経を取る治療が必要になる→歯の寿命が短くなる
といった事態にもなりかねません。
大切な歯を長く使うためには、二次う蝕の早期発見・早期対応が大切です。
インレー治療後の二次う蝕を予防するためにできること
1. 定期メンテナンスを受ける
特にインレー治療を受けた歯は、見た目では異変に気づきにくいため、歯科医院でのチェックが欠かせません。
レントゲン撮影などで、詰め物の下の虫歯を早期に発見できます。
2. セラミックなど適合精度の高い素材を選ぶ
銀歯(金属インレー)と比較して、セラミックは歯とのすき間が非常に少ないため、細菌の侵入を防ぎやすくなります。
さらに、熱膨張率も天然歯に近く、経年でのすき間リスクも小さく抑えられます。
3. 丁寧なセルフケア
日々の歯磨きも大切です。
特に詰め物の周囲はフロスや歯間ブラシを活用し、すき間の汚れをしっかり落とすことを意識しましょう。
実際の治療例
Case.16 <動画編> 複雑な虫歯を治療する動画
今回は、つめものの中で深く広い虫歯になってしまった、治療ケースです。
つめものの側面に穴がぽっかり開いています。
このような場合は、中で深い虫歯になっている事が多いです。
実際はどうでしょうか?
是非、動画をご覧ください。
Case.15 <動画編> 金属の下は巨大な虫歯
今回は、「上の奥歯がしみる」という訴えで来院された患者さんのケースの動画です。
見た目は特に問題なさそうでしたが、レントゲン写真で確認すると、つめものの中で大きな虫歯になっていました。
患者さんの見えないところで虫歯はどうなっているのか。。。
今後は、少しずつ動画も織り交ぜて、治療紹介していけたらなと考えています。
Case.14 インレーの下の歯肉まで広がった虫歯

「下の奥歯が噛むと痛む」という症状で来院された患者さんのケースです。
お口の中の状態を確認すると、奥歯の端に穴が開いているのが見えます。
ここかな?

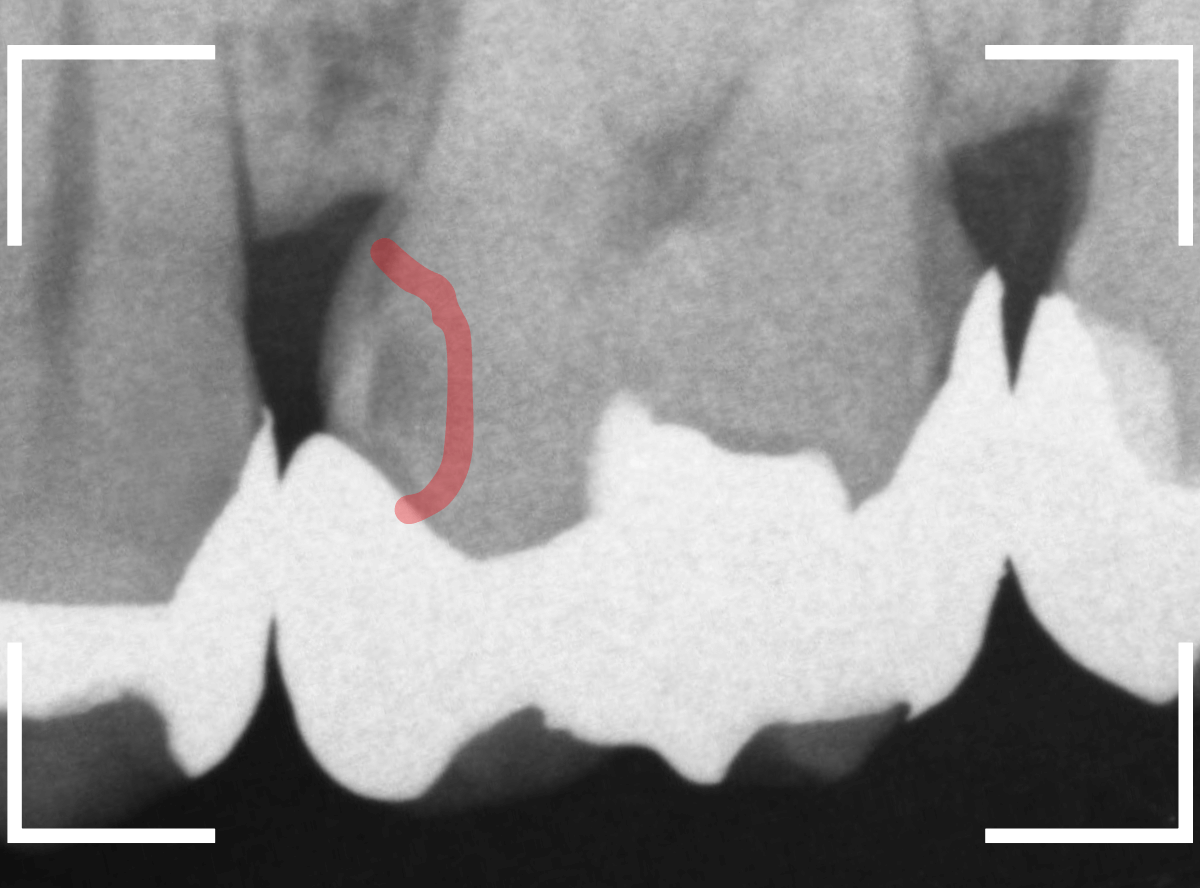
レントゲン写真で確認します。
やはり、奥歯の端が大きな虫歯になっています。
青いラインが歯の神経、赤いラインが虫歯です。
レントゲン写真上では虫歯が神経まで達しているように見えます。
これは、神経を取らないとダメかもしれません。

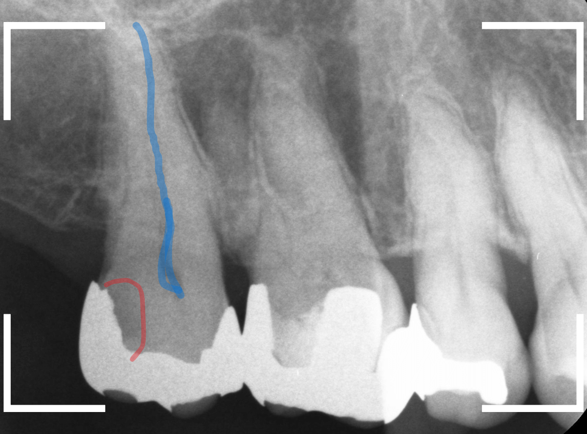
レントゲン写真で確認します。
やはり、奥歯の端が大きな虫歯になっています。
青いラインが歯の神経、赤いラインが虫歯です。
レントゲン写真上では虫歯が神経まで達しているように見えます。
これは、神経を取らないとダメかもしれません。

中のお薬も慎重に外して虫歯を除去します。

虫歯が深く、歯肉の下まで浸食していましたので、歯肉を部分切除し、虫歯を全て除去したところで、奇跡的に神経スレスレの状態でとどまっていました。
何とも言えませんが、神経を残せる可能性が出てきました。

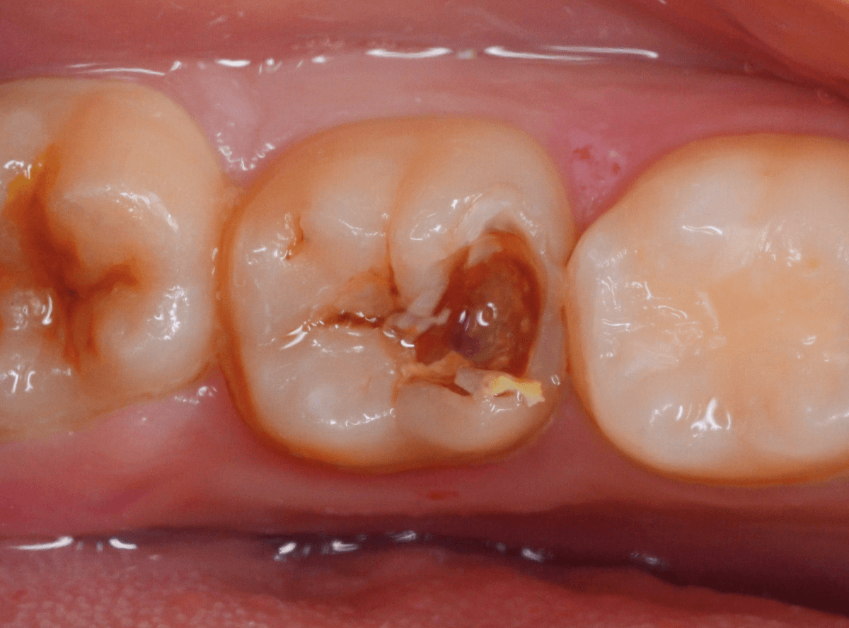
虫歯が神経まで達していなくても、治療前から自発痛(何もしなくても痛い)があれば、神経をとらなければいけません。
今回は、そこまでの症状がありませんでしたので、患者さんと相談の上、神経を取らずに残す方法で様子を見る事になりました。
痛みが出ませんように。。。
ここまでこのブログを読んでいただいた、歯の治療に関心の高いあなたのご来院、お待ちしています。
https://kp-dental.com/Reservation
今後ともよろしくお願いします。
Case.13 検診で見つかった、インレーの下の深い虫歯 2

こちらも、検診時にメタル・インレーの下の虫歯が見つかった方です。
初見でインレーの下に虫歯らしき黒い影が見えます。

レントゲン写真で確認すると、インレーの下も虫歯になっているのが見つかりました。

インレーを除去します。
〇部のセメントの下が虫歯になっていると思われます。

慎重にセメントを除去します。
セメントの下はうっすらと虫歯になっていました。

全ての虫歯を除去しました。
今回は、あまり虫歯が進行しないうちに除去する事ができました。
一度治療した歯も虫歯が再発します。
油断せず、定期検診を忘れないようにしてください。
ここまでこのブログを読んでいただいた、歯の治療に関心の高いあなたのご来院、お待ちしています。
https://kp-dental.com/Reservation
今後ともよろしくお願いします。
Case.12 検診で見つかった、インレーの下の深い虫歯

検診目的で来院された患者さんです。
特に気になるところもなかったですが、検査をすると、お口の中の色々な部分に虫歯が見つかりました。
その中の一か所、上の奥歯のインレーの下の虫歯です。

見た目だけでははっきりわかりませんでしたが、レントゲン写真で確認すると、インレーの下で虫歯になっているのがわかります。

インレーを除去して、治療を開始します。

ある程度、虫歯を除去したところで、う蝕検知液で確認します。
赤い部分が虫歯です。
やはり、レントゲン写真で確認した部分が深めの虫歯になっていたようです。

全ての虫歯を除去しました。
お薬をつめて痛みやしみが出ないか、しばらく経過観察しますが、おそらく大丈夫でしょう。
症状が出る前に、検診に来ていただいたことで最小限の治療で済みました。
ここまでこのブログを読んでいただいた、歯の治療に関心の高いあなたのご来院、お待ちしています。
https://kp-dental.com/Reservation
今後ともよろしくお願いします。
Case.11 インレーの下の深い虫歯


歯石除去時に、ひっかかりがありましたので、よく見ると浅く虫歯になっていました。
インレー(つめもの)は特に問題なさそうですが、その脇が少し虫歯になっているだけに見えます。
このような奥歯のつけ根などは視認性が悪く、我々でも虫歯に気づきづらい場所です。

レントゲン写真で確認します。
赤い部分が虫歯と思われる部分、青い部分が歯の神経です。
確認すると、インレーの下まで虫歯が進行している可能性があります。

インレーを外して、中を確認します。
どうやら、外から見えた虫歯自体は、浅かったようです。
怖いですが、セメントを外して、さらに虫歯を確認します。

全ての虫歯を除去しました。
レントゲンで確認したように、虫歯は歯肉の奥まで達していた上、神経スレスレの虫歯でした。
小さな部分から見つかった虫歯でしたが、想像以上に大きかったケースでした。
ここまでこのブログを読んでいただいた、歯の治療に関心の高いあなたのご来院、お待ちしています。
https://kp-dental.com/Reservation
今後ともよろしくお願いします。
Case.10 劣化したメタルインレーの下の深い虫歯

レントゲンで大きな虫歯が見つかった方です。
古いメタル・インレーの中がぼやっと黒く透けて見えて「アヤシイ!」と思い、レントゲン写真で確認します。

他の歯の治療希望で来院された患者さんで、レントゲンで大きな虫歯が見つかった方です。
以前に虫歯を削って、レジンをつめる治療がしてあります。
表面を見る限り、特に問題はなさそうです。

メタル・インレーを外して確認します。
思った以上に虫歯は広そうです。

外したメタル・インレーの内側は真っ黒です。

慎重に全ての虫歯を除去したところです。
丸部は、神経の入り口が少し見えている状態で、かなり際どい虫歯でした。

しばらく経過観察後、特に症状もみられませんでしたので、問題なしと判断して最終修復に移ります。

最終的にメタル・インレーをsetしたところです。
メタル・インレーの欠点の一つに他の材料に比べてしみやすい、というのがあります。
今回は、歯の神経のすぐそばまでの際どい虫歯でしたので、メタル・インレーはしみやすいので、慎重に経過観察の必要があります。
ここまでこのブログを読んでいただいた、歯の治療に関心の高いあなたのご来院、お待ちしています。
https://kp-dental.com/Reservation
今後ともよろしくお願いします。
Case.16 金属の周りであちこちから虫歯

検診を希望された患者さんのケースです。
お口の中を拝見すると、上の奥歯の歯のすき間(隣接面)や、変色したレジンの中が怪しい感じです。

レントゲン写真で確認します。
青い線が神経で、赤い線が虫歯と思われる部分です。
奥から3歯が虫歯と思われますが、特に中央の歯の虫歯が深そうです。

まず、中央の歯の金属を除去します。
〇部分は前の治療時にしいたセメントです。この下に虫歯が広がっていると思われます。

セメントを除去したところです。
赤く染め出されているところが虫歯です。
神経に近くなっていますので、診療に虫歯を除去します。

側面のレジンや隣の歯との間の虫歯も慎重に除去します。
かなり広く虫歯が広がっています。

奥の歯の虫歯も全て除去しました。

3歯すべての虫歯を除去したところです。
しばらくお薬をつめて症状を経過観察した後、型どりをしてつめものを再製作する予定です。
ここまでこのブログを読んでいただいた、歯の治療に関心の高いあなたのご来院、お待ちしています。
https://kp-dental.com/Reservation
今後ともよろしくお願いします。
Case.15 歯の側面のレジンの中のわかりづらい虫歯

検診で、金属のつめ物のの中と、歯の側面に虫歯が見つかった方です。
まずは、手前(左)側の治療です。

こちらが、お口の中を見たところです。
〇部の中に虫歯があると思われます。
今回のように、金属のつめ物やレジン治療をしてある歯の側面の虫歯の診断はわかりづらく、難しいです。

金属のつめ物を外したところです。
この白いセメントの中に虫歯があると思われます。

セメントを除去したところです。
赤く染まっている部分が虫歯です。
真っ赤ですね(^^;)

まだ薄く染まっています。
もう少し除去する必要があります。

全ての虫歯が取れました、かなり深い神経まで近い虫歯でした。

全ての虫歯が取れました、かなり深い神経まで近い虫歯でした。

金属のつめものをを外します。
つめものの下で虫歯になっていたせいで、虫歯と一緒に手前側のエナメル質がガリっと欠けてきました(><)

前の治療でつめたセメントを外しつつ、虫歯治療を行います。
写真ではわかりづらいですが、赤く染まった部分を中心に、虫歯がかなり広がっています。

虫歯を全て取り切ったところです。
神経スレスレの部分まで広がった虫歯で、最後は神経に触らないようにエキスカを使った、手探りでの虫歯治療になりました。
ここまでこのブログを読んでいただいた、歯の治療に関心の高いあなたのご来院、お待ちしています。
https://kp-dental.com/Reservation
今後ともよろしくお願いします。
Case.9 金属の下で深い虫歯

レントゲン写真で金属のつめものの中の虫歯が見つかった方です。
つめものの中の虫歯の厄介なところは、自覚症状がない事も多い事です。
余談ですが、私がレントゲン写真をお見せしながら一生懸命説明しても、キョトンとされている方もいますし、中には「また来ます」と言って帰られ、再来院されない方もいます。
まぁ、ご自身の身体ですので、私の話を信じるも信じないも、治療するもしないも、ご自由に・・・と思ってますが、症状が出た時にシレっと再来院し、説明をされた事すらも覚えていないなんて方もいます。
これは医者との信頼関係をとても損ねますので、気をつけていただきたいですね。
こちらもいちいち面と向かっては言いませんが、カルテにはその時の状況を記載していますので、「信用できない人」というイメージを持ってしまいます。

さて、外から見た感じでは、私が見ても中で虫歯進行してるかわかりません。
症状がなくても、定期メンテナンスとレントゲン写真を使った確認が有用です。

虫歯の治療を開始してつめものを外したところです。
左側の歯は、つめものの下のお薬の中で落とし穴のように虫歯になっていました。
右側の歯の赤く染まっている部分も虫歯です。

左側の歯のお薬を全部除去しました。

全ての虫歯を除去しました。
かなり中で広がっていた虫歯でした。
虫歯は見た目や症状からだけで判断できません。
ここまでこのブログを読んでいただいた、歯の治療に関心の高いあなたのご来院、お待ちしています。
https://kp-dental.com/Reservation
今後ともよろしくお願いします。
Case.8 虫歯が原因で歯がかけた虫歯

奥歯で物を噛んだ時に違和感がある、という訴えで来院された方です。
奥歯の歯と歯の間がかけていて、大きな虫歯になっているのが外から見てもわかります。

レントゲン写真で確認します。
赤い線が虫歯の部分、青い線が歯の神経です。
特に手前の歯の虫歯が神経に触れそうなほど近い虫歯になっています。
これでは、いつ大きな痛みが起こってもおかしくありません。

麻酔をかけて、治療を開始します。
金属のつめものを慎重に外したところです。
あちこちが虫歯になっていますね。

全ての虫歯を除去したところです。
両歯とも、神経スレスレのところまで虫歯になっていました。
痛みが出ないように、お薬をつめて経過観察をします。
ここまでこのブログを読んでいただいた、歯の治療に関心の高いあなたのご来院、お待ちしています。
https://kp-dental.com/Reservation
今後ともよろしくお願いします。
Case.7 劣化した金属の下がひどい虫歯

今回は、歯が欠けたという事で来院された患者さんです。
つめものの中で虫歯が大きく進行してしまい、何かの拍子に歯が欠けてしまった状態です(左側)。
右隣の歯もつめものが劣化して中に虫歯が進行しているのが見えます。

早速、虫歯の治療を開始すると、想定通り虫歯で歯の中はボロボロになっています。

虫歯を取りきったところで、歯の神経が部分的に露出し、出血が見られました(露髄)。
かなり厳しい状況で、どうするか悩むところでしたが・・・。

幸い、神経からの出血も少なく、神経が露出している範囲も小さかったため、神経を残せる可能性に賭けて、神経を保存する処置をしました。
隣の歯の虫歯の処置をしながらの経過観察になります。
痛みが出ませんように。。。
ここまでこのブログを読んでいただいた、歯の治療に関心の高いあなたのご来院、お待ちしています。
https://kp-dental.com/Reservation
今後ともよろしくお願いします。
Case.6 金属のすき間から、虫歯が進行したと思われるケース

他の歯の治療を主訴に来院された方です。
レントゲン写真を撮影した際に、つめ物の下の大きな虫歯が見つかりました。
改めて思いますが、つめ物の下の大きな虫歯、多いですね。。。(><)

お口の中の状態です。
つめものの脇から虫歯が顔を出していますね。

日を改めて治療を開始しました。
つめものを外してみると、虫歯が出てきました。
また、前に治療をした先生がつめたお薬。
こういったものの下にも虫歯が出来ている事がありますので、治療の際には一緒に外して調べます。

やはり、お薬の下もうっすらと虫歯になっていました。
虫歯撲滅まで、あともう一息です。

全ての虫歯を除去したところです。
大きな虫歯でしたが、神経に達する前に発見・治療できたのが幸いでした。
いつものようにお薬をつめて様子を見ますが、おそらくしみる、痛いなどの症状も出ないでしょう。
ここまでこのブログを読んでいただいた、歯の治療に関心の高いあなたのご来院、お待ちしています。
https://kp-dental.com/Reservation
今後ともよろしくお願いします。
Case.5 劣化したレジンの下で深い虫歯

こちらも、他の歯の虫歯が心配で受診された方です。
レントゲン写真を撮影すると、こちらの歯が大きな虫歯になっている事がわかりました。
虫歯の治療でつめたレジンが劣化し始めてます。

症状は全くありませんが、以前に治療をしたレジンの中が明らかな虫歯になっています。
もう神経に触りそうなヤバイ状況です。
ご本人は説明しても、他の歯の方が心配とケロっとしていましたが(^^;)

さて今回も、露髄(虫歯の治療をしているうちに歯の神経が露出してしまう事)に怯えながら、慎重に治療を開始します。
麻酔の効果を待っている間に、手前の小さな虫歯を手早く治療します。
さて、本丸の歯のレジンを外すと、早速、巨大な虫歯が現れました。

う蝕検知液で染め出すまでもありませんが、虫歯を確認します。

ここからは、おなじみのエキスカを使って、さらに慎重に虫歯を除去します。

最終的には、今回も幸運にも神経ギリギリで虫歯を食い止められました。
しばらくは、痛みがでないように祈りながら、経過観察が必要ですね。。。
いつもの話になりますが、定期的な歯科受診と虫歯の早期発見が歯の寿命を延ばす大きな秘訣です♪
ここまでこのブログを読んでいただいた、歯の治療に関心の高いあなたのご来院、お待ちしています。
https://kp-dental.com/Reservation
今後ともよろしくお願いします。
Case.4 金属の側面から深く進行した虫歯

上の奥歯が、しみたり痛む時があるという患者さんが来院されました。
お口の中を拝見した瞬間「これは重症そうだ(><)」と思いました。
さて、虫歯はどこでしょうか。

一番奥の歯のつめものわきに穴が開いています。
こういった部分の虫歯は中で大きな虫歯になっている事が多いです。
加えて「しみる、痛い」という症状があるのですから、なおさらです。

レントゲン写真で確認すると。
想像通り、大きな虫歯でした。
手前の歯も、虫歯がありそうな感じです。

ほぼ歯の神経(青色)まで達している虫歯(赤色)です、今回は、歯の神経を残すのは難しいかもしれません。

麻酔をして、金属を外しました。

赤く染まったところが虫歯です。
真っ赤に染まっていることから、まだまだ虫歯が深そうなのが想像つきます。

今回も、慎重に虫歯を除去しました。
何とか、神経の薄皮一枚ギリギリのところで食い止められましたが・・・、いつものように神経を保護するお薬をつめて、痛みが出ない事を祈ります。。。

しばらく経過観察後、無事につめ物を作り直すことができました。
金属のつめ物は、熱を通しやすいので、つめ物を入れた後に冷たいものがしみるなどの症状が出る事がありますので、さらに経過観察が必要ですが、今のところ症状もないそうです。
ここまでこのブログを読んでいただいた、歯の治療に関心の高いあなたのご来院、お待ちしています。
https://kp-dental.com/Reservation
今後ともよろしくお願いします。
Case.3 レジンの下で神経に触れそうなほどの虫歯

こちらは、下の奥歯の写真です。
特に症状の訴えはありませんでしたが、
歯を観察した瞬間、「虫歯がありそうだな」と思われるような所見です。

私の目には大体このように映っています。

レントゲン写真です。
私が虫歯っぽいと思っていた部分よりも、むしろ手前の部分に大きな虫歯がありました。
もう神経に触りそうな大きな虫歯です。
これだけの虫歯であれば、通常であれば、歯がしみたり、食事中に痛みがあったり何らかの症状があるのですが、無症状のこともあります。

麻酔をして治療開始です。
少し削ると、大きな虫歯が出てきました。

手前の歯にもかかる大きな虫歯でした。
ここまで削っても、まだ、虫歯が残っています。
すぐ下には歯の神経が来ていますから、より慎重に虫歯を除去します。

露髄(歯の神経が見えてしまう事)に怯えながら、慎重に虫歯を除去しました。
なんとか神経ギリギリのところで虫歯がとどまっていました。

虫歯を完全に除去した後、お薬とセメントをつめて経過観察です。
かなり大きな虫歯でしたが、おそらく神経の治療をせずになんとかなりそうです。。。
ここまでこのブログを読んでいただいた、歯の治療に関心の高いあなたのご来院、お待ちしています。
https://kp-dental.com/Reservation
今後ともよろしくお願いします。
Case.2 劣化したレジンの下で深い虫歯

別の歯の治療で来院された患者さんです。
特に症状はありません。
初診時に歯を検査した時、歯のつめものが少し変色して不適合気味になっているのが気になりました。
みなさんは、写真を見てどこかわかりますか?

答え:歯の中央部分です。
レジンという歯科用プラスチックがつめてある状態です。

レントゲンで確認します。
明らかな虫歯があります。
かなり大きいと思われます。

さて、いつものように麻酔をして虫歯の治療をします。
レジンを削って外すと、想像以上に深い虫歯が出てきました。
黄土色の部分はう蝕検知液を使わずとも、明らかな虫歯です。
虫歯で歯が溶けてネチョネチョした粘土のような状態になっている状態です。

慎重に虫歯を除去した後、う蝕検知液で確認します。
それでもまだまだ濃く染色されます。
歯の神経が露出し、抜髄(歯の神経を除去する治療)の可能性が頭をよぎり、あせります。

スプーンエキスカ(機械を使わず、手で少しずつ虫歯を取る道具)で、細心の注意で虫歯を除去し、何とか薄皮一枚、神経ギリギリの場所で虫歯を取りきる事ができました。
まだ麻酔が切れた後に症状が出る可能性はゼロとは言えませんが、当院の治療でこの状態で痛みやしみといった神経の症状が出る事はあまりありませんので、まずは一安心といったところです。
歯の神経があるかないかで、歯の寿命は大きくかわります。
今回のような自覚症状がない大きな虫歯を、歯科医院に来院されたことで、間一髪神経をとらずに済んだ患者さんも多くいらっしゃいます。
痛みが出てからでは、手遅れになっている事が多いです。
皆さん、歯科医院には定期的に通う習慣をつけましょう。
ここまでこのブログを読んでいただいた、歯の治療に関心の高いあなたのご来院、お待ちしています。
https://kp-dental.com/Reservation
今後ともよろしくお願いします。
Case.1 隣り合った2本が大きな虫歯

「下の歯の奥から2番目の歯が痛む」という患者さんです。
お口の中を拝見すると、何だか1番奥の歯も怪しそうなので、歯を叩いて症状を確認してみます(打診)。
やっぱり奥から2番目の歯が痛むけど、1番奥の歯も少し痛むそうです。

レントゲン写真で確認してみました。
やはりどちらの歯も大きな虫歯でした。
2番目の歯が痛みの原因なのかもしれませんが、1番奥の歯の可能性も大いにあります。
両方の歯が原因かもしれません。
いずれにせよ、両歯とも痛みを神経に近い虫歯ですので、神経が炎症を起こして本格的な痛みになる前に治療をして神経の治療(抜髄)にならない可能性を少しでも上げたいところです。
通常であれば、初診時に大きな虫歯治療を2本行う時間的な余裕もありませんので、患者さんに事情を説明して後日治療になるのですが、今回は、予約時間よりも余裕をもって早めに来院していただいた患者さんだったので、何とか当日治療まで進める事ができました♪

まずは、麻酔をしてつめ物を慎重に外してみます。
両歯とも、色々嫌な予感のする所見です。

虫歯を可視化する、「う蝕検知液」で染め出ししてみます。
赤く染まっている場所が虫歯で、濃く染まっているところほど、虫歯は深いです。

手前の歯は一部神経が見えそうなところまで虫歯が来ていました(●部)。
患者さんのおっしゃるように、この歯が痛みの原因だったのかもしれません。
後ろの歯も、幸い神経は見えていませんが、かなり広く深い虫歯で心配な状況です。

急いで、神経を保護する薬を入れた後に、セメントで蓋をして経過観察します。
ほとんどの方はこれで何とかなりますが、痛みが出てしまい、神経の治療が必要になる方もいます。
神経の治療をすると歯の寿命は短くなってしまうので、できるだけ避けたいところです。
慎重に経過観察します。
ここまでこのブログを読んでいただいた、歯の治療に関心の高いあなたのご来院、お待ちしています。
https://kp-dental.com/Reservation
今後ともよろしくお願いします。
高円寺PAL歯科医院 :https://kp-dental.com/
〒166-0003 杉並区高円寺南4-25-4 RESTA高円寺3F
電話:03-6383-1963
電車でお越しの方:
JR線 高円寺 駅南口より 徒歩2分
