おやしらずの抜歯
2025/07/24
こんにちは、高円寺PAL歯科医院の新井です。
おやしらずの抜歯をご提案すると、殺人鬼を見るような目で私を見る患者さんがいます。
世間的にも、
「おやしらずの抜歯=痛い・腫れる・この世の地獄」
というイメージが刷り込まれているのかもしれませんが、生えている場所や歯の状態によってさまざまで、必ずしも大きな苦痛を伴うものではありません。
抜歯後に長期間お痛みが出たり、経過観察が必要な難しいおやしらずの抜歯ならまだしも、簡単なおやしらずの抜歯を避けてしまったがために、他の歯に悪影響を与えてしまったもったいない例も多々見てきました。
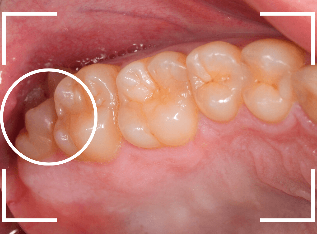
ここでは、比較的簡単なおやしらずの抜歯の例を中心にご紹介します。
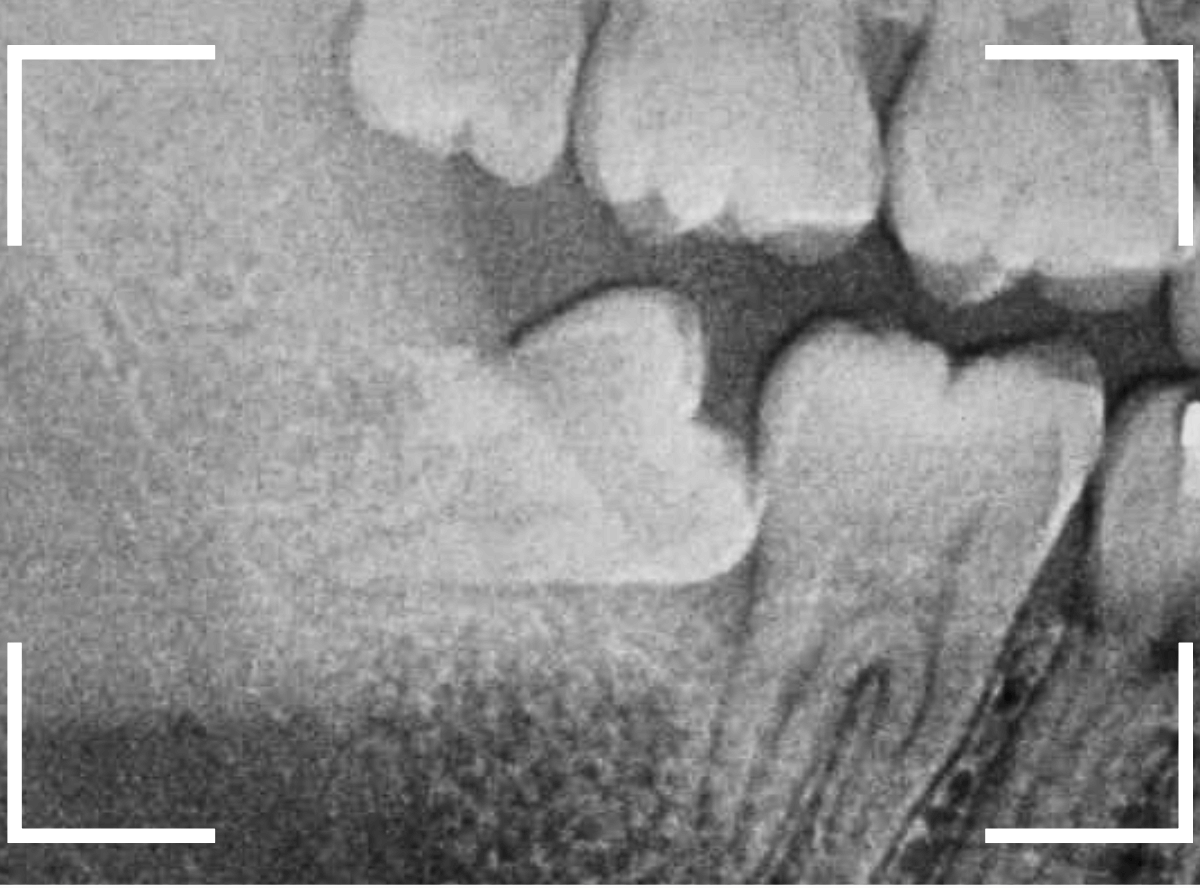
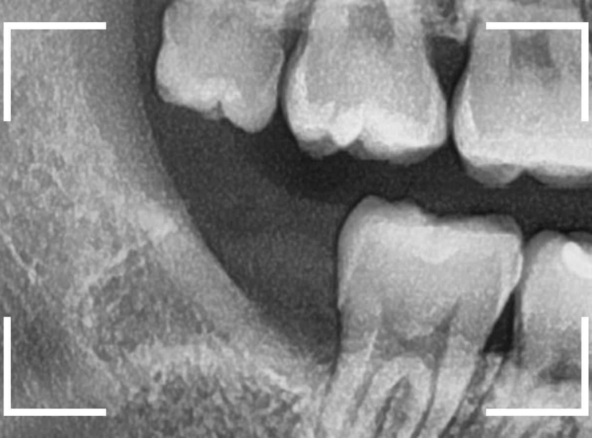
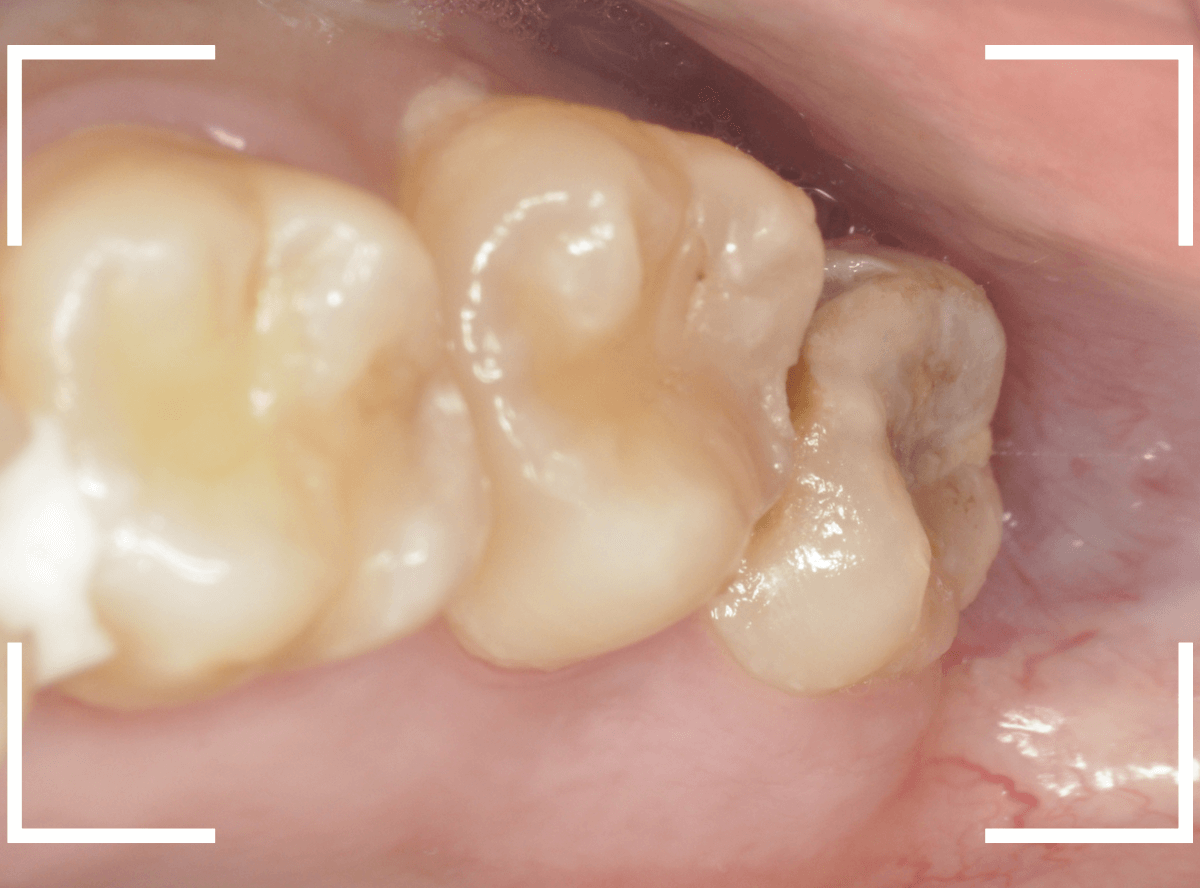
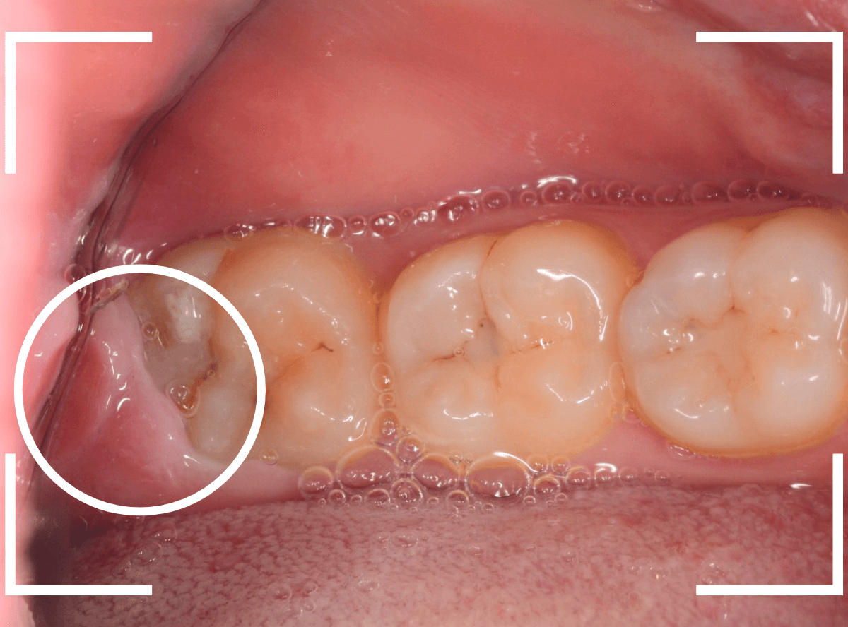
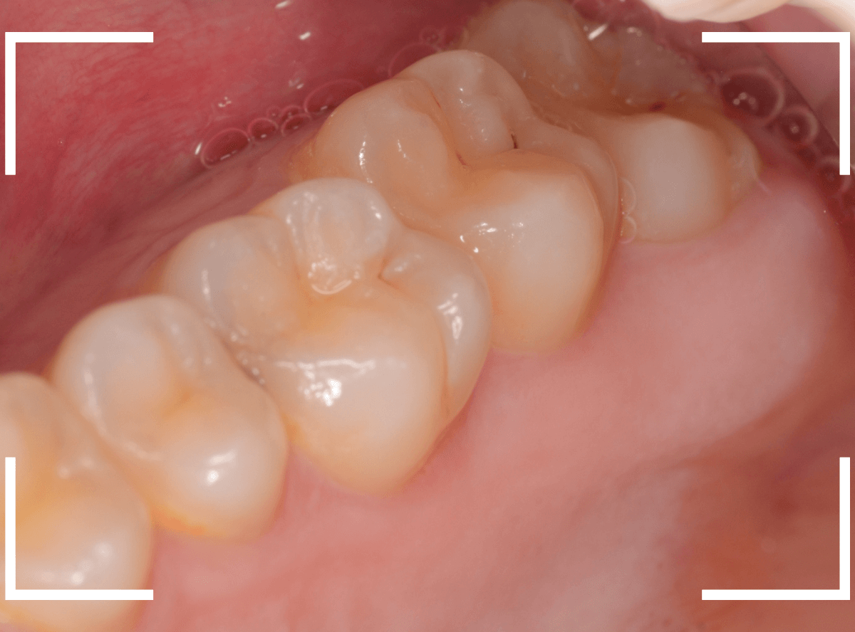
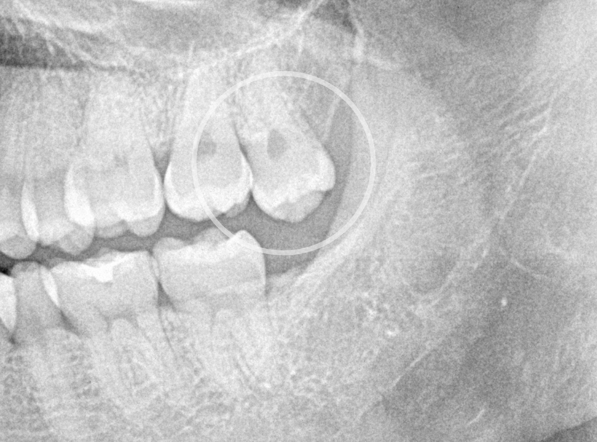
このようなおやしらず、あなたはありませんか?







































































