セラミック治療(クラウン・奥歯)
2025/07/24
セラミック・クラウンとは?
クラウン(さし歯)は、歯全体を覆うようにかぶせる治療です。
虫歯や破折などで歯の形を大きく失った場合に、見た目・噛み合わせ・歯の強度を回復する目的で行われます。
セラミック・クラウンは、通常の保険治療で行われる金属素材にかわり、より審美性・生体親和性・耐久性のバランスが取れた素材として、セラミック素材を使用した治療です。
⇒高円寺PAL歯科医院のセラミック治療のページ
奥歯に精度の高いクラウンが必要な理由
奥歯は、 噛む力を支える“要”の役割
歯歯は、噛む力の7〜8割を受け持つほど、咬合機能にとって非常に重要です。
食事中の圧力は1本の奥歯に数十kg〜100kg近い力がかかることもあります。
そんな奥歯を守るためには、高い耐久性と精密な適合性を備えたクラウンが必要不可欠です。
再治療にもなりやすい部位
奥歯は、磨きにくく汚れがたまりやすいため、虫歯や歯周病のリスクも高い部位です。
適合の悪いクラウンや金属製の補綴物を長年使っていると、すき間から虫歯が再発(二次う蝕)したり、金属が溶け出して歯ぐきが黒ずんだりすることもあります。
セラミッククラウンは、こうしたトラブルを回避するための、「より上質なクラウン」です。
セラミック・クラウンのメリット
高い 強度と精密性による「長持ち」
咬合力に耐えられる設計
精密な型取りと接着ですき間ができにくく、虫歯の再発リスクが低い
金属を使わないため、アレルギーのリスクがない
金属イオンが溶け出さないため、金属アレルギーの心配なし
歯ぐきが黒ずまない(ブラックマージンが出ない)
審美性が高く、口元が清潔に見える
たとえ奥歯でも、銀歯がないことで口の中全体の印象が良くなる
お口を開けた時に銀歯が見えて笑うのをためらっていた方には大きな自信に
| セラミッククラウン | 銀歯 | |
| 審美性 | 白くて自然な外観 | 銀色で目立つ |
| 耐久性 | 高い | 摩耗・腐食など劣化しやすい |
| 虫歯再発リスク | 歯との接着精度が高いためしにくい | セラミックに比べて、接着精度が低く起こりやすい |
| 金属アレルギー | なし | 可能性あり |
| 歯肉の色調変化(ブラック・マージン) | なし | 可能性あり |
| 保険適応 | × | 〇 |
セラミッククラウンの種類
ジルコニア・セラミック(¥120,000(税込))
ジルコニアという耐熱性セラミックス材料のフレームに審美用セラミックスを焼き付けたものです。
金属を一切使わないので、透明度が高く内面も白いです。
表面がつるつるしているので、歯の周りに細菌がたまりにくく、虫歯・歯周病の予防効果により歯を長持ちさせます。
フレームに使われるジルコニアは人工ダイヤモンドと言われているほど強度に優れていますので、耐久性も抜群です。
お口の中のどの部分にも、オススメできる治療です。
オール・ジルコニア(¥100,000(税込))
ジルコニアフレーム単体のさし歯です。
セラミックスの焼き付けを省くためジルコニア・セラミックに比べて、歯の削除量とコストを抑えられます。
さし歯としての性質はジルコニア・セラミックとほぼ変わりませんが、やや見た目の自然観や透明度が劣るため、奥歯を変えたい方にお薦めしています。
消耗の激しい奥歯こそ、精度の高いクラウンを
奥歯は、噛む・食べる・支えるという機能の大黒柱となる、大切な歯です。
最も噛み合わせの力がかかり、酷使される歯であるために、前歯よりも抜歯のリスクが高い歯としても知られています。
そして、口の中の健康は、全身の健康とも直結しています。
「見えづらい場所だから」と妥協せず、機能も見た目も妥協しない治療を考えてみませんか?
実際の治療例
Case.10
さし歯を入れるスペースがない!

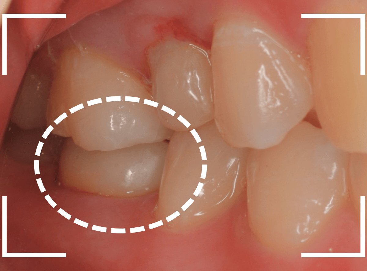
一番奥の歯が土台(コア)の治療までで中断してしまってる患者さんの例です。
本来であれば、この上にさし歯を作らなければいけないのですが、この時点でかみ合ってしまい、さし歯を作ろうにも作りづらい状況でうやむやのうちに治療中断になってしまったようです。

まず、土台の治療をしてから時間が経過していることと、不適合になっている事から、外して中を調べます。
すると、土台の中で虫歯にもなっていました。
(〇部の赤い部分)
こういった事は、レントゲン写真でもよくわからない事が多く、土台を外す治療は本当に神経を使います。
今回は、歯肉の中まで歯が欠損しているので、このまま土台とさし歯を作り直しても、いい結果にはなりません。

患者さんに状況を説明し、歯の周りの歯肉を麻酔をして電気メスでトリミングします。
このように歯の際が歯肉からしっかり出てる状況で製作しないと、さし歯はしっかりお口の中で安定しません。
この状態で新しい土台(ファイバー・コア)の型を取ります。

模型上でファイバーコアを製作します。

ファイバーコアをsetし、歯の周りの歯肉が落ち着くまで、仮歯を入れて様子を見ます。

頃合いをみて、歯の型をとってさし歯の製作に移ります。
今回は、オール・ジルコニア・クラウンで製作することになりました。


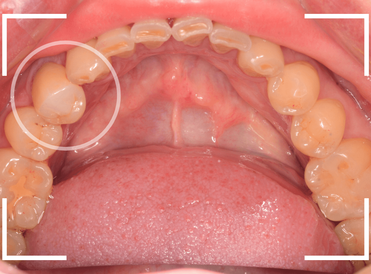
最終setした状態です。
今回は厳しい条件でしたが、なんとか最終setまでする事ができました。
| 治療回数 | 5回 |
| 治療期間 | 6週間 |
| 費用 | オール・ジルコニア・クラウン (100,000円) +保険治療費用 |
(2024年12月)
ここまでこのブログを読んでいただいた、歯の治療に関心の高いあなたのご来院、お待ちしています。
https://kp-dental.com/Reservation
今後ともよろしくお願いします。
Case.9
破折したCAD/CAM冠を、オール・ジルコニア・クラウンで修復

他院で、以前に入れたCAD/CAM冠(保険治療で作製できる白いさし歯)が破折した患者さんです。
CAD/CAM冠は、保険治療で比較的安価に製作できますが、銀歯に比べて壊れやすい、外れやすい、耐久年数が短いなどのデメリットがあるさし歯です。
中のメタルコアも透けて見えてますので、厚みもあまりない状態かと思われます。
それらの点を踏まえ、今回は、手前の歯と同時にセラミックで再製する事になりました。

まず、CAD/CAM冠を外します。
中のメタルコアも外して再製します。

歯を傷つけないように、時間をかけてそ~っとメタルコアを除去します。

メタルコアを除去して中を調べてみると、うっすらと虫歯になっていました。
このような状況は、入っているものを外してみないとわかりません。

虫歯を一層除去し、型どりします。

メタルコアよりも、歯に優しいファイバー・コアで再製します。

ファイバーコアをsetした状態で、手前の歯とともにトリミングし、もう一度、型どりをします。

模型上で精密に製作します。


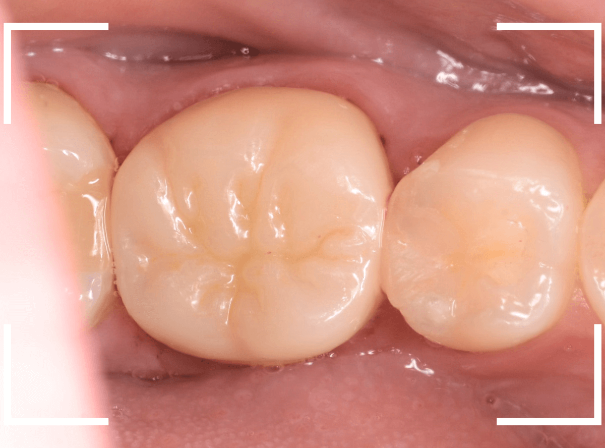
最終setした状態です。
患者さんにも満足いただける仕上がりなったかと思います。


治療前のCAD/CAM冠と、ジルコニア・クラウンの比較です。
CAD/CAM冠も見た目は白いですが、人工物っぽさが大きいのがわかると思います。
また、ジルコニアに比べると素材が脆弱で、長持ちさせるのは難しいです。
さし歯の治療を受ける際は、素材のメリット・デメリットをよく理解した上で選んでいただければと思います。
| 治療回数 | 3回 |
| 治療期間 | 3週間 |
| 費用 |
オール・ジルコニア・クラウン |
(2024年11月)
ここまでこのブログを読んでいただいた、歯の治療に関心の高いあなたのご来院、お待ちしています。
https://kp-dental.com/Reservation
今後ともよろしくお願いします。
Case.8
破折したセラミック・インレーを、オール・ジルコニア・クラウンで修復

以前治療した、セラミック・インレーが破折してしまった患者さんです。
セラミック・インレーを修復した後に、抜髄(歯の神経を取る治療)をすることになってしまったそうで、今回は、さし歯(クラウン)で修復する事になりました。

さし歯を作る前にまず、歯の補強(コア)処置をします。
セラミック・インレーを除去し、歯の内部もある程度削ります。

歯の内側をコアで補強後、さし歯で被せるために、歯全体を削ってトリミングし、型取りします。

模型上で、精密に製作します。


最終setした状態です。
見た目も問題なく、患者さんにも満足いただけました。
このように、神経を取ってしばらく経った歯は思ったよりももろくなって破折しやすいため、全体を覆うさし歯で修復する事が基本になります。
| 治療回数 | 2回 |
| 治療期間 | 2週間 |
| 費用 | オール・ジルコニア・クラウン (100,000円) |
(2024年11月)
ここまでこのブログを読んでいただいた、歯の治療に関心の高いあなたのご来院、お待ちしています。
https://kp-dental.com/Reservation
今後ともよろしくお願いします。
Case.7
治療中断の歯を、オール・ジルコニア・クラウンへ

歯の神経の治療後、土台まで作って長期間放置してしまった方です。
このような方は多く見受けられます。
ご本人には「痛くもないし、少し咬みづらい」くらいの感覚かもしれませんが、この状態で放置すると、歯はない方に動く習性がありますので、咬み合わせる反対の歯がずれてきてしまい、さし歯を作る際の支障になってしまいます。

この方も、反対の歯が大分ずれてきてしまいましたので、歯を大きく削る必要があり、調整に苦労しました。

模型上で精密に製作します。


最終setした状態です。
通常よりかみ合わせの調整もに苦労しましたが、何とか無事にset出来ました。
皆さんも、歯の治療は途中で中断せず、最後まで受診するように、気をつけてください。
| 治療回数 | 2回 |
| 治療期間 | 2週間 |
| 費用 |
オール・ジルコニア・クラウン |
(2024年9月)
ここまでこのブログを読んでいただいた、歯の治療に関心の高いあなたのご来院、お待ちしています。
https://kp-dental.com/Reservation
今後ともよろしくお願いします。
Case.6
破折した保険クラウンを、オール・ジルコニア・クラウンへ

「さし歯が割れた」という訴えで来院された方のケースです。
さし歯が真っ二つに割れています。
お話を聞くと少し前に保険治療で修復したさし歯だそうで、おそらくCADCAM冠だと思われます。
CADCAM冠は、保険適応で製作できる白いさし歯ですが、金属冠やジルコニアなどに比べて脆弱で、今回にように、短期間で破折するケースも多いため、当院では取り扱っておりません。
「今回は、しっかりしたもので治療したい」という患者さんの要望により、オールジルコニア・クラウンでの製作となりました。

さし歯を外して、色合わせ・型取りをします。

模型上で精密に製作します、

お口の中でsetしたところです。
オール・ジルコニアは、CADCAM冠に比べて、審美性や耐久性だけではなく、舌感なども向上します。
さし歯の作り直しなどをご検討されている方は、参考にしてください。
| 治療回数 | 2回 |
| 治療期間 | 2週間 |
| 費用 | オール・ジルコニア・クラウン (100,000円) |
(2024年9月)
ここまでこのブログを読んでいただいた、歯の治療に関心の高いあなたのご来院、お待ちしています。
https://kp-dental.com/Reservation
今後ともよろしくお願いします。
Case.5
大きな虫歯の治療後、オールジルコニア・クラウン

歯の裏側の大きな虫歯を処置した方です。
白いセメントで埋まっている部分が虫歯の処置をした部分なのですが、虫歯が大きく、歯の2/3くらい削る必要がありました。
しばらく経過観察したのですが、特に症状もなかったとの事でしたので、歯の形をトリミングして、型どりにはいる段階です。
悩むところですが、なるべく歯の白い部分を残すつめもの(インレー)では、長持ちするのが難しいかと考えました。
患者さんと相談の上、審美性の高い、さし歯、オールジルコニア・クラウンでしっかり覆うことになりました。

さし歯を製作するために、歯全体を大きく削り、色合わせ、型どりをします。

模型上で精密に制作します。


お口の中でsetしたところです。
さし歯の治療は、歯の削除量が多く、歯の神経の治療をした歯が適応になることが多いです。
今回は、虫歯は大きかったですが、歯の神経は残っている状態でしたので、治療後の歯のしみなどが心配でしたが、特に症状もなく経過しているとの事でホッとしました。
| 治療回数 | 2回 |
| 治療期間 | 2週間 |
| 費用 |
オール・ジルコニア・クラウン |
(2024年8月)
ここまでこのブログを読んでいただいた、歯の治療に関心の高いあなたのご来院、お待ちしています。
https://kp-dental.com/Reservation
今後ともよろしくお願いします。
Case.4
神経の治療後、オールジルコニア・クラウンで修復

お痛みで下の歯の神経の治療をした患者さんのケースです。
神経の治療をした歯は、見た目が問題なさそうでも非常にもろくなりますので土台(コア)をたててさし歯を作る必要があります。
ここでは、土台まで製作してあります。
白い歯での治療をご希望されましたので、ジルコニアクラウンでの治療をする事になりました。

白いさし歯を製作する際は、周りの歯に歯の明るさを出来るだけ合わせるために、毎回、患者さんと色の打ち合わせをします。
歯の明るさは、角度や光の具合によって印象が変わりますので、なかなか決めるのが難しい時があります。

明るさを決めたら、型をとって、模型上でさし歯を製作します。


お口の中にsetしたところです。
周りの歯と自然に合わせられたかと思います。
| 治療回数 | 2回 |
| 治療期間 | 2週間 |
| 費用 | オール・ジルコニア(100,000円) |

お口の中全体でみたところです。
全体で見ても、違和感少なく仕上げられたかと思います。
ここまでこのブログを読んでいただいた、歯の治療に関心の高いあなたのご来院、お待ちしています。
https://kp-dental.com/Reservation
今後ともよろしくお願いします。
Case.3
神経の治療後、オールジルコニア・クラウンで修復

下の奥歯の神経の治療をした患者さんのケースです。
神経の治療をした歯は大きく削る必要がある上、比重に歯がもろくなり短期で歯がかけたりしますので、原則、歯全体を覆うさし歯にする治療が必要になります。
今回は、オールジルコニアでの治療を選ばれました。

まず、さし歯にする歯は歯を土台(コア)で補強します。
今回は、ファイバーコアでの補強を行いました。
また、前後の歯も虫歯になっていましたので、治療を行っています。

手前の歯もつめものにする必要がありましたので、同時にE-max・インレーでの治療をすることになりました。


模型上で精密に製作します。


set後の写真になります。
お口の状態に、問題なく合わせられたかと思います。
| 治療回数 | 3回 |
| 治療期間 |
約3週間 |
| 費用 | (オール)ジルコニア・クラウン (100,000円) E-MAX・インレー (50,000円) |
(2024年6月)
ここまでこのブログを読んでいただいた、歯の治療に関心の高いあなたのご来院、お待ちしています。
https://kp-dental.com/Reservation
今後ともよろしくお願いします。
Case.2
欠けてしまった歯を、土台から再治療

つめものごと、歯が欠けてしまったという患者さんのケースです。
歯全体が欠けてしまっていますので、今回はさし歯(クラウン)で治療をする必要がある旨ご説明したところ、(オール)ジルコニア・クラウンでの治療を選ばれました。

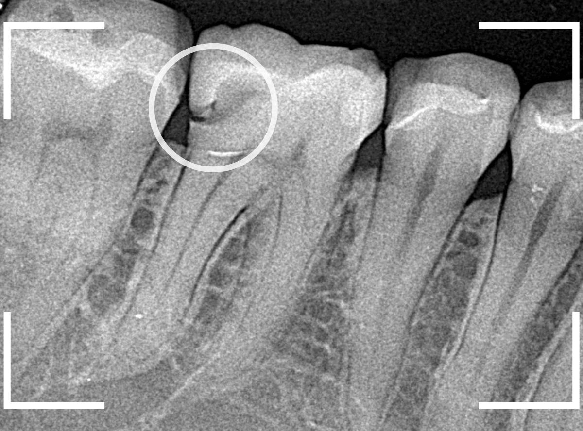
まずは、レントゲン写真で歯の内部を確認します。
幸い歯が欠けたのは表面のみで済んでいましたが、矢印の歯の土台(コア)からしっかり作り直したいのですが、細い歯に金属ピンの部分が歯の根までしっかり入っているので、これを外すのはかなり大変そうです(><)
一番懸念されるのは、金属ピンを外す時に歯が割れてしまう事です。
あまりに危険な際は無理に外そうとせずに、そのままさし歯だけ作り直す方が良い事もあるのですが、今回は患者さんの同意を得て、金属を外してコアを作り直す事にしました。

歯を傷つけないように、専用の超音波チップの振動を使って、30分ほどかけて金属ピンを何とか外せました。
私も患者さんも少々ぐったりでしたが、これで心置きなくコアを作り直せます。

コア全体を外して、洗浄したところです。
型を取って、ファイバーコアで作り直します。

模型上でファイバーコアを製作したところです。
当院では、自費治療でファイバーコアなどの処置が必要な際には、無料でお直ししています。

ファイバーコアをsetしたところです。
この状態で、最終型どりをします。
ファイバーコアは金属ピンなどを使ったコアに比べて歯の負担が少なく、歯の破折などの可能性が下がると言われています。



模型上で、ジルコニアを製作し、最終setしました。
問題なく、お口の中に合せられたかと思います。
| 治療回数 | 3回 |
| 治療期間 | 3週間 |
| 費用 | (オール)ジルコニア・クラウン (100,000円) |
(2024年3月)
ここまでこのブログを読んでいただいた、歯の治療に関心の高いあなたのご来院、お待ちしています。
https://kp-dental.com/Reservation
今後ともよろしくお願いします。
Case.1
大きな虫歯の治療後、オール・ジルコニア・クラウンへ

検診で受診された患者さんです。
過去に治療したセラミック・インレーが不適合になっているのが、レントゲン写真で見つかりました。
初見では特に問題なかったのですが。。。

後ろの歯とのすき間の部分が欠けてしまったのか、不適合になり、中で虫歯が進行しているように見えます。
初めて来院する患者さんや、治療してから年月が経っている患者さんは、定期的にレントゲン写真で確認する事は大事ですね。

セラミックを外して、虫歯を処置したところです。
幸い、中で大きな虫歯になってはおらずホッとしましたが、セラミック・インレーで作り直すのに支えになるエナメル質の部分が薄く、早期に脱落や破折する可能性がある事、また、手前とのすき間に物がつまりやすくなってきたという訴えもありましたので、今回はさし歯(クラウン)に置き換える事になりました。
つめもの(インレー)にするか、思いきってさし歯(クラウン)で対応するかは、まれに悩むケースがあり、意見が分かれるところでもあると思います。

今回は、神経が残っている歯でしたので、つめものからさし歯に置き換える際のデメリットは、歯の削除量が多いため歯がしみる症状が出る可能性がある事です。
しかし、良いさし歯を作るためには、ある程度歯を削り込む必要もあるため、そのバランスが毎回難しいです(絶対に正解はありません)。

仮歯でしばらく経過観察し、症状がないのを確認した後に、型どりをして(オール)ジルコニア・クラウンを製作しました。


お口の中でジルコニアに置き換えた後も、特に症状なく経過されているようで、ホッとしました。
| 治療回数 | 3回 |
| 治療期間 | 3週間 |
| 費用 | (オール)ジルコニア・クラウン (100,000円) +保険治療費用 |
(2024年3月)
ここまでこのブログを読んでいただいた、歯の治療に関心の高いあなたのご来院、お待ちしています。
https://kp-dental.com/Reservation
今後ともよろしくお願いします。
高円寺PAL歯科医院 :https://kp-dental.com/
〒166-0003 杉並区高円寺南4-25-4 RESTA高円寺3F
電話:03-6383-1963
電車でお越しの方:
JR線 高円寺 駅南口より 徒歩2分
