「前歯が折れた」という患者さん
2025/07/24

こんにちは、高円寺PAL歯科医院の新井です。
上の前歯が折れたという患者さんが来院されました、痛みはないそうです。
拝見すると、大きく歯が欠けています。
何故に、こんなに歯が欠けていて痛くないのでしょうか。
何が原因で歯が折れてしまったのでしょうか。
ここでは、治療の流れまでをご紹介します。

歯の根元までぽっきり折れてしまっています、赤い線の範囲が虫歯です。
大きな虫歯で歯の根元が柔らかくなってしまい、折れる原因になってしまったと思われます。
レントゲン写真からも、大きな虫歯であることが確認できます。

さらに歯の神経の入ってる空洞(歯髄腔)が見えています。
歯の神経がむき出しになっている状態ですので、通常であれば、かなり痛いはずですが、おそらくは歯の神経がいつの間にか死んでしまって、痛みを感じなくなってしまったのでしょう。
まずは、数回に分けて、神経の治療をしました。

神経の治療が終ると、さし歯をつくる必要があります。
大きく歯が欠けている場合、さし歯を作る前に、歯の土台(コア)を作る必要があります。
今回は、お口の型を取って、模型上で歯の土台を作りました。

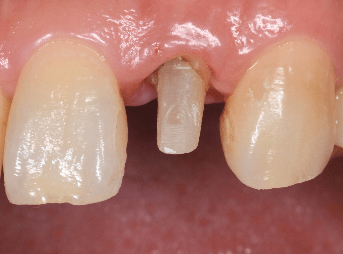
外してみると、こんな感じです。
今回は、ファイバーコアという白くて歯に優しい素材の土台を製作しました♪

ファイバーコアをセットし、仮に形成したところです。
ここから、歯肉の治療後に、さらに型を取ってさし歯をお作りする流れになります。
今回は、ジルコニアセラミック(120,000円(税込/2024年1月現在)での製作をご希望されました。
セラミックは審美性だけでなく、まわりにプラークがつきづらいので、歯を長持ちさせるためにも大変有利です♪

その後、最終的なさし歯をセットしたところです。
まわりの歯との明るさもうまく合わせられたかと思います。
患者さんにも満足していただき、ほっとしました。
ここまでこのブログを読んでいただいた、歯の治療に関心の高いあなたのご来院、お待ちしています。
https://kp-dental.com/Reservation
今後ともよろしくお願いします。
高円寺PAL歯科医院 :https://kp-dental.com/
〒166-0003 杉並区高円寺南4-25-4 RESTA高円寺3F
電話:03-6383-1963
電車でお越しの方:
JR線 高円寺 駅南口より 徒歩2分
