ばねのない入れ歯(ノンクラスプ・デンチャー)
2025/07/24

Case.1

過去に前歯を都合により抜歯された患者さんです。
入れ歯のご相談で来院されました。
将来的にインプラントを検討しているが、もう少し先にしたいとの事で、現状入れ歯を使われているそうですが、見た目が気になるためあまり使ってないそうです。


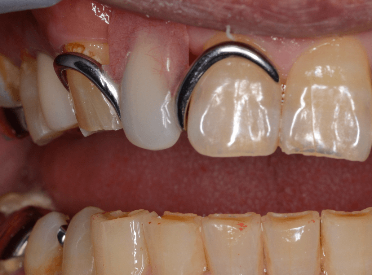
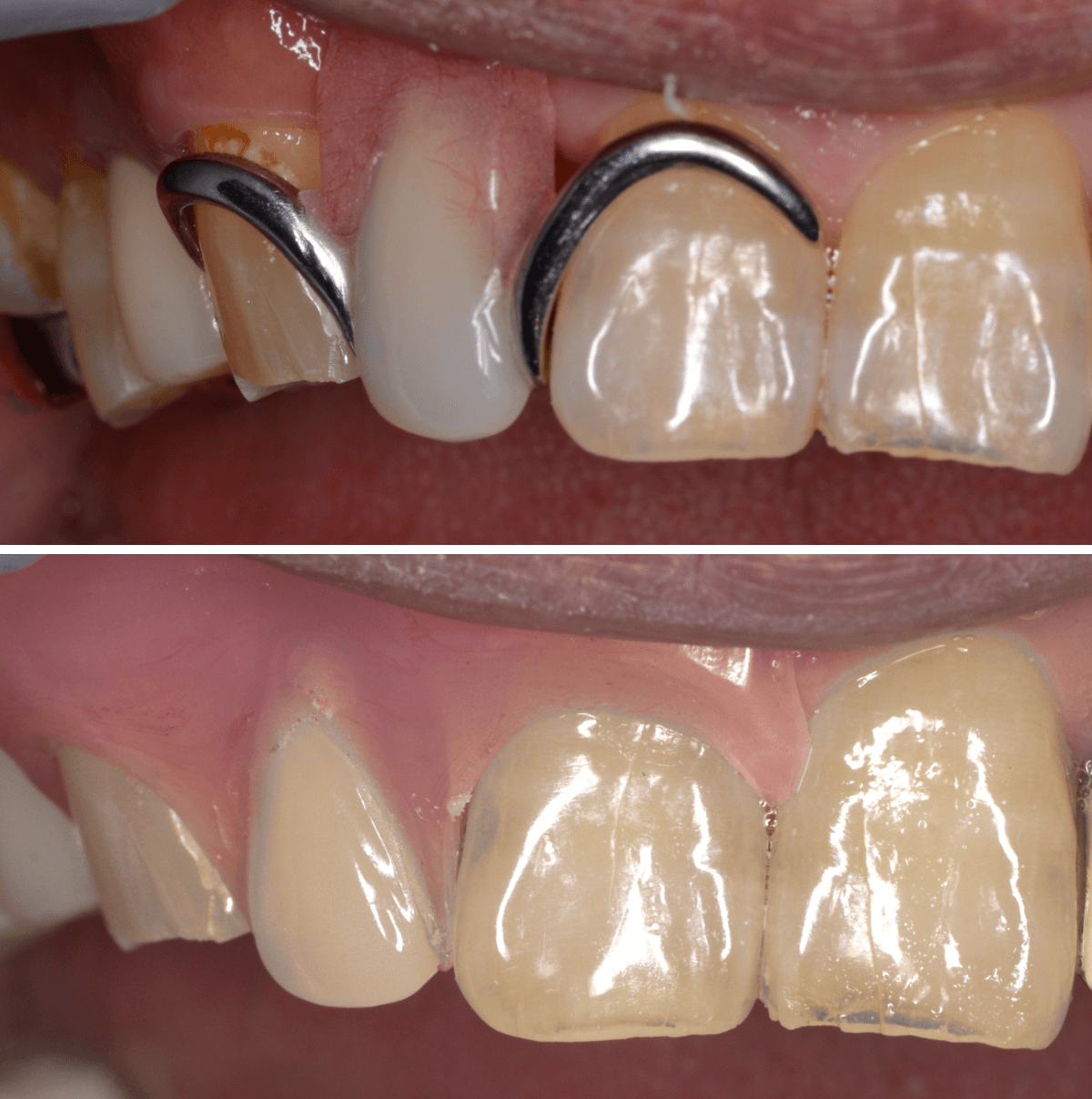
入れ歯を見せてもらいました。
たしかに前歯ですと、気になりますね。
違和感もありますし、これなら使わなくてもいいやと思ってしまってうのもうなずけますね(作った先生が悪いわけではないですが(^^;))。
将来のインプラントに備えて、前後の歯は削らずにしておきたいので、もう少し審美性や使い勝手を向上させたノンクラスプ・デンチャーをご提案し、試していただく事をご了承いただきました。


こちらが当院で製作した、ばねのない入れ歯、ノンクラスプデンチャー(10万円(2023年現在))になります。
治療費は歯の本数や入れ歯の形態などによって変わりますので、ご来院の上、ご相談にあります。

正直、この入れ歯もインプラントやブリッジには、見た目も嚙み心地も遠く及びませんが、インプラント前のつなぎの治療や、外科処置や前後の歯を削る処置を避けたい方への選択肢としてご案内しています。
ここまでこのブログを読んでいただいた、歯の治療に関心の高いあなたのご来院、お待ちしています。
https://kp-dental.com/Reservation
今後ともよろしくお願いします。。
高円寺PAL歯科医院 :https://kp-dental.com/
〒166-0003 杉並区高円寺南4-25-4 RESTA高円寺3F
電話:03-6383-1963
電車でお越しの方:
JR線 高円寺 駅南口より 徒歩2分
