つめものが取れた歯の治療の話
2025/07/24

こんにちは、高円寺PAL歯科医院の新井です。
以前に治療した歯のつめものが取れてしまった。。。
痛くもないし、古いつめものも持ってるんだけど、治療に行った歯医者で「再治療が必要です」と言われたり、以前よりも大きく歯を削られた経験、ありませんか?
私達歯科医は、どこを見て、何を考えてそのような治療の判断をしてるのでしょうか。

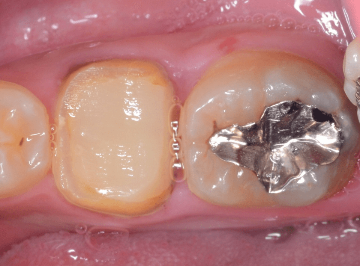
「つめものが取れた」と来院された患者さんです。
痛みはありませんでしたが、取れてしまったつめ物もありませんでしたので、いずれにしても再治療が必要な状態ですが、どこを見てどう判断しているのかご紹介します。

まずは、レントゲン写真で状態を精査します。
どうやら、過去に歯の神経を取る治療をしているみたいで、そのせいで痛みを感じなかったようです。
歯そのものは、大きな問題なさそうです。

神経を取った歯は、脆く脆弱になってしまうため、歯の土台で補強をして、さし歯で被せるのが基本ですが、前に治療をした先生は、保険治療では銀歯になり見た目が落ちる点などを考慮して、最低限の歯の削除量で済むつめものの治療を選択したのではないかと思われます。
このあたりの考え方は、状況によりケースバイケースで、その先生の治療方針などにも左右されるところです。

さて、前の先生の考えを引き継ぎ、そのまま型どりをしてつめものを作り直すこともできなくはないのですが、土台にしているセメントも劣化して中に虫歯があるかもしれませんし、神経を取って大分経過していますので、歯の外周部分も脆くなっていると判断して、再治療は、通法通りさし歯で被せる治療を選択します。

前の治療のセメントを外して、中を調べました。
幸い、虫歯はあまり広がっておらず、ホッとしました。
この辺りはレントゲン写真からわかりづらい時もあり、問題なさそうと思っていても、調べてみると中が虫歯でボロボロで歯を抜かざるを得なかった、という時もあります。

レジンで歯の土台を製作し、仮に歯の形を整えたところです。
しばらくはこの状態で、他の歯の治療やお口の中のお掃除をし、最終的に、歯の型を取ってさし歯を製作します。


その後、隣の歯も虫歯治療を行い、白い歯を希望という事で、ジルコニアクラウンで最終治療を行いました。
| 治療回数 | 2回 |
| 治療期間 | 2週間 |
| 費用 | (オール)ジルコニア・クラウン (100,000円) |
| デメリット | 保険治療に比べて高額 |
ここまでこのブログを読んでいただいた、歯の治療に関心の高いあなたのご来院、お待ちしています。
https://kp-dental.com/Reservation
今後ともよろしくお願いします。
高円寺PAL歯科医院 :https://kp-dental.com/
〒166-0003 杉並区高円寺南4-25-4 RESTA高円寺3F
電話:03-6383-1963
電車でお越しの方:
JR線 高円寺 駅南口より 徒歩2分
