他の歯医者さんで虫歯と言われなかった虫歯の話
2025/07/13

こんにちは、高円寺PAL歯科医院の新井です。
今回は、他の歯医者さんで虫歯で言われなかった虫歯のお話です。
皆さんも、前の歯医者の先生には虫歯と言われなかったけど・・・という経験、あるのではないでしょうか?
Case.1

引っ越しをきっかけに、検診を希望されて来院された患者さんです。
一か月目に、引っ越し前に通っていた歯医者さんで問題なしと言われたそうです。
一か月前?お早い受診で・・・(^^;)
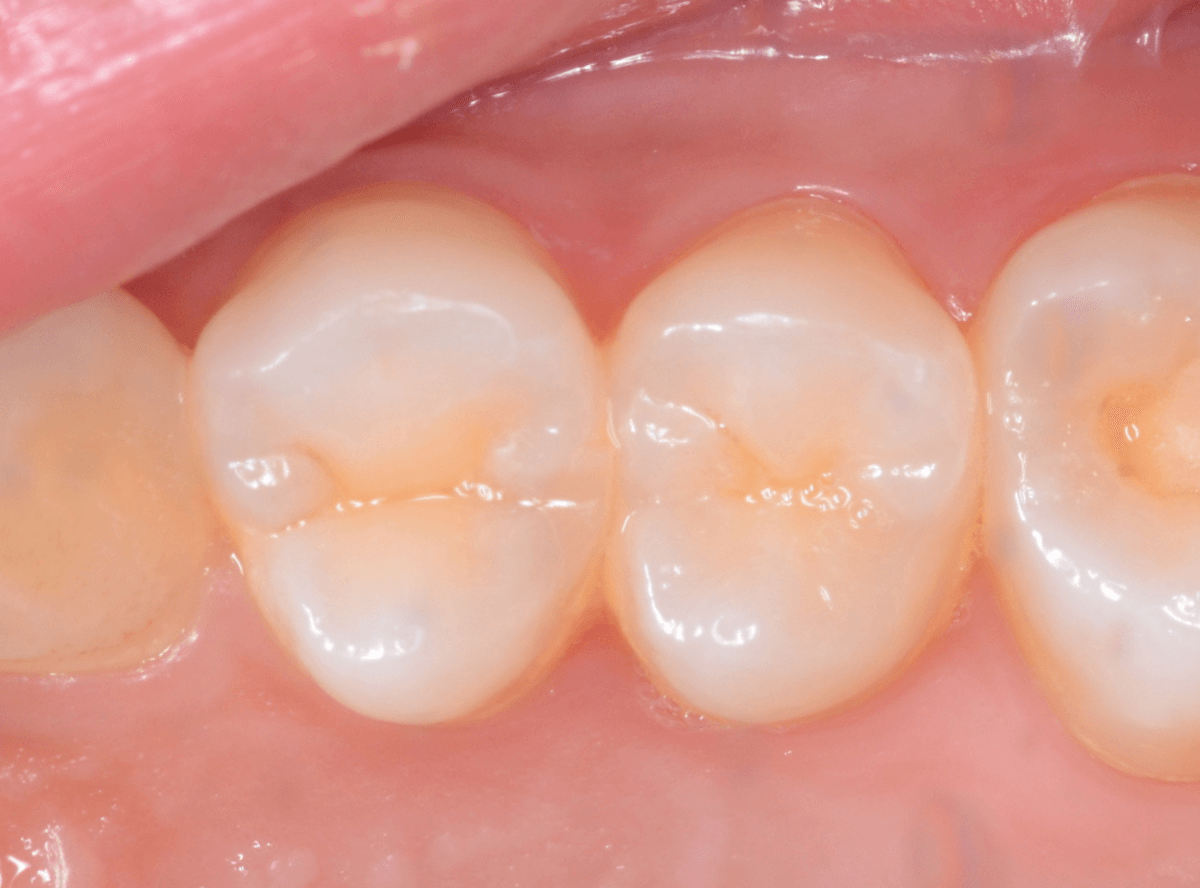
お口の中を拝見すると、数か所アヤシイ箇所がありました。その中の一つです。
この写真では、問題なさそうですね。

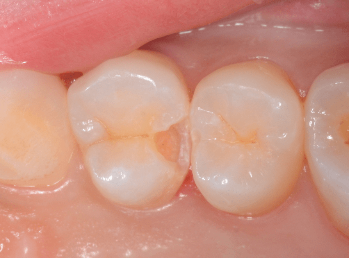
角度を変えてみたところです。
ちょっと黒っぽいところが見えますね。

レントゲン写真を撮影してみました。
以前に小さな虫歯の治療をして、その中が虫歯になっているようです。
経過観察にする先生もいそうな、微妙な映り方です。

患者さんに説明後、慎重に歯を削って虫歯を探すと、やはり虫歯がありました(赤く染色されている部分です)。

虫歯の部分を全部除去したところです。
少し中で広がっていました。早めに治療ができてよかったです。

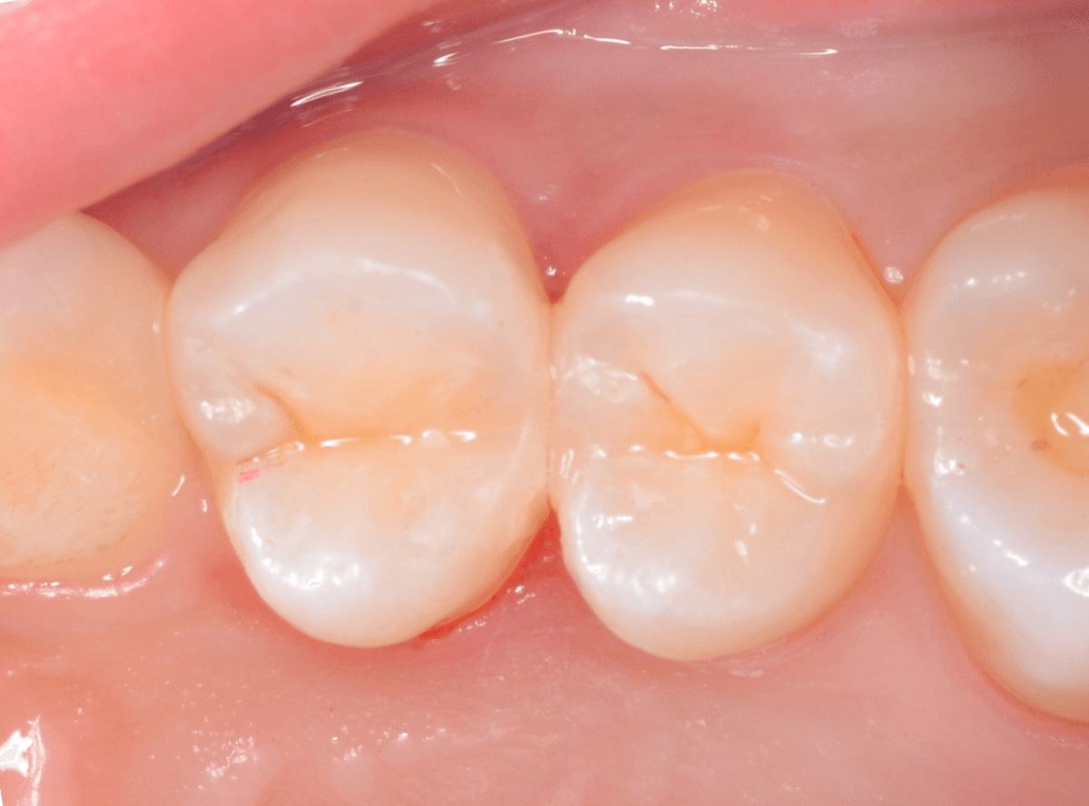
今回は、歯を削った部分にレジンをつめる簡単な処置ですみました。
このように、先生によって判断が分かれる微妙な虫歯もありますので、よく相談して治療を受けてください。
ここまでこのブログを読んでいただいた、歯の治療に関心の高いあなたのご来院、お待ちしています。
https://kp-dental.com/Reservation
今後ともよろしくお願いします。
高円寺PAL歯科医院 :https://kp-dental.com/
〒166-0003 杉並区高円寺南4-25-4 RESTA高円寺3F
電話:03-6383-1963
電車でお越しの方:
JR線 高円寺 駅南口より 徒歩2分
