小さな虫歯の治療の話
2025/07/24

こんにちは、高円寺PAL歯科医院の新井です。
今回は、歯の表面に限局した、小さな虫歯のお話です。
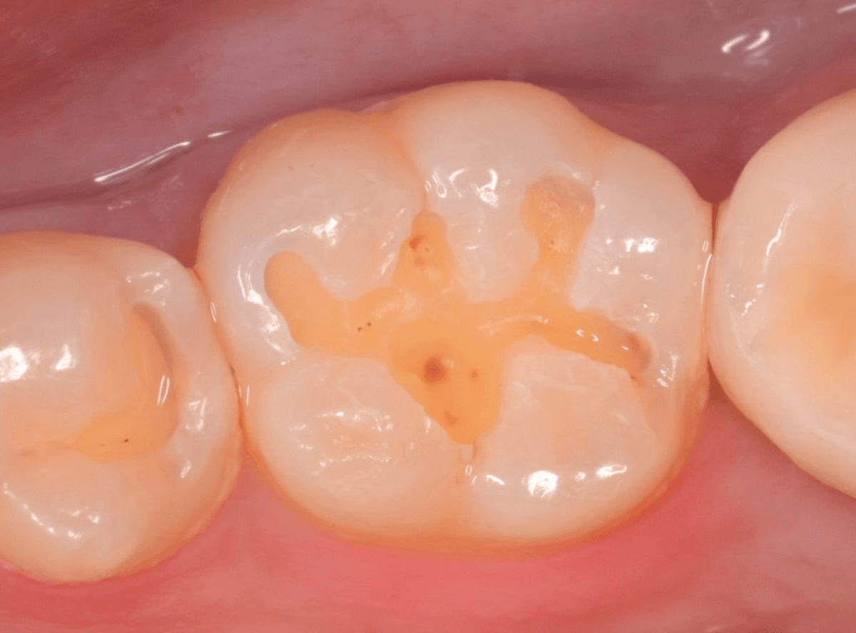
Case.2

奥歯のレジンの中で2次う蝕になっています。
レントゲン写真では、あまりはっきりした虫歯に見えませんでしたが、肉眼で確認すると、レジンがつめてある中で広がっているようにも見えました。
長期に日本を離れてしまう予定という事もあり、レジンの中を調べてみる事になりました。

幸運にも、今回はレントゲン写真通りの浅い虫歯ですんでいました。
たまには、こういうケースもありですね。

お口の中は、患者さんが思っている以上に劣悪な環境です。
日々、お手入れをしっかりしている方でも、治療した部分がレジンなど材料の劣化とともに虫歯になってしまう事もありますので、何も症状がなくても、定期的に歯科受診をしてくださいね。
ここまでこのブログを読んでいただいた、歯の治療に関心の高いあなたのご来院、お待ちしています。
https://kp-dental.com/Reservation
今後ともよろしくお願いします。
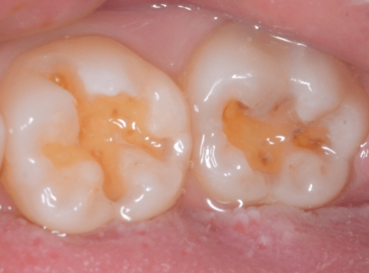
Case.1

奥歯の溝に虫歯が見つかりました。
このような虫歯のことを小窩裂溝う蝕(しょうかれっこううしょく)といいます。
見た目は小さな虫歯ですが、このような虫歯は中で洞穴のように大きく広がってる場合がありますので、注意が必要です。

虫歯を全て除去したところです。
今回は虫歯は表面で留まっており、あまりたくさん削らずにすみました。

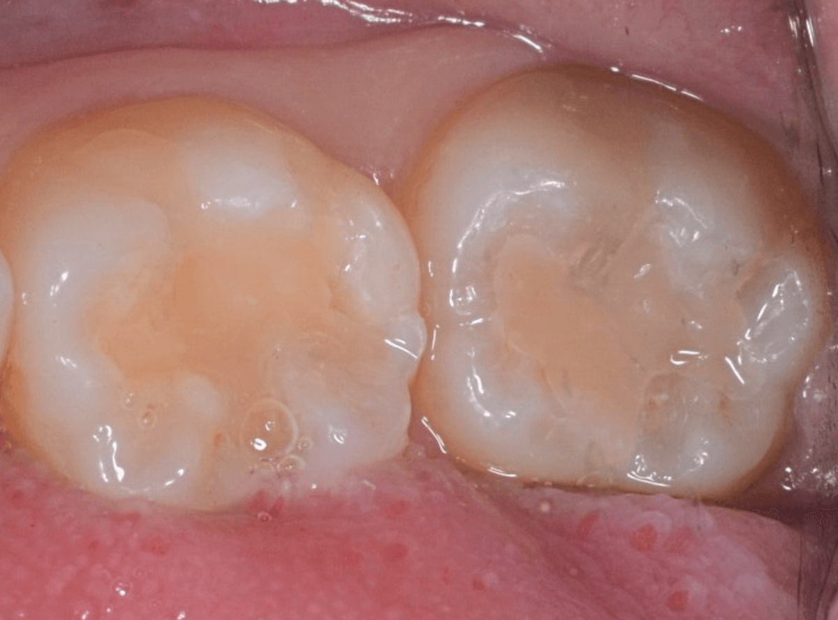
小さな虫歯の場合は、削った部分をレジンと言われるプラスチックをつめる治療で1回で終われます。
費用もあまりかからず、見た目も悪くないと思います。
たくさん削ると、銀歯にしなければいけない可能性が出てきます。
早めの検診・治療で、少なく歯を削る治療で歯の寿命を延ばしましょう♪
ここまでこのブログを読んでいただいた、歯の治療に関心の高いあなたのご来院、お待ちしています。
https://kp-dental.com/Reservation
今後ともよろしくお願いします。
高円寺PAL歯科医院 :https://kp-dental.com/
〒166-0003 杉並区高円寺南4-25-4 RESTA高円寺3F
電話:03-6383-1963
電車でお越しの方:
JR線 高円寺 駅南口より 徒歩2分
