虫歯じゃないけど、歯がとても痛くて眠れない
2025/07/24

こんにちは、高円寺PAL歯科医院の新井です。
「上の前歯が痛くて、夜も眠れない」という若い患者さんが来院されました。
お口の中を検査しましたが、特に虫歯も、その他異常はありません。
しかし、はっきりとした痛みがあります。

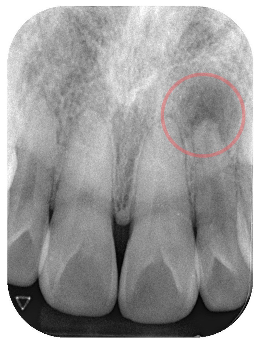
レントゲン撮影で歯の内部を確認します。
すると、前歯の根尖(根っこの先)に黒い影(炎症)があります。
これは、歯の神経が死んでしまっている証拠です。
歯の神経が死んでしまう原因は、ほとんどの場合、虫歯による細菌感染ですが、この方のように原因不明で起こってしまう方もごくまれにいます。
「でも神経が死んでれば、歯は痛くないんじゃないの?」
と思われるかと思います。
確かに、歯の神経からの痛みはありません。
今回の場合、死んで腐った神経の中でバイ菌がたまり、細菌が原因のガスがたまってパンパンになっている状況なのだと思われます。
これは相当に痛いです。

痛みをとるために、歯の後ろに小さな穴を開けてガスの抜け道を作ってあげます。
神経が死んでいるので麻酔も不要です。
すると、中から大量の膿、その後血が噴き出してきました。
見た目は少々壮絶ですが、この状況になれば、まずは一安心です。
まれに炎症が歯の根の奥でとどまってしまっているのか、膿も血も出てこない場合があります。
この場合、治療後にかえって大きな腫れや痛みを引き起こしてしまう事もありますので、むしろ心配です。

出血が止まったのを確認して、お薬を出して当日は治療終了です。
炎症がぶりかえして、痛みが再発するのを防止するために、歯の裏の穴は数日間開けっぱなしにします。
歯の中のガスは逃げていきますが、外からもバイ菌が入ってきますので、症状が抜けたら短期間で穴をふさぐ必要があります。
→後日、穴をふさぎに来院された際、痛みはすっかりなくなったそうです。
ただし、炎症がまだくすぶって痛みがぶり返す可能性があるため、しばらくは経過観察が必要です。
ここまでこのブログを読んでいただいた、歯の治療に関心の高いあなたのご来院、お待ちしています。
https://kp-dental.com/Reservation
今後ともよろしくお願いします。
高円寺PAL歯科医院 :https://kp-dental.com/
〒166-0003 杉並区高円寺南4-25-4 RESTA高円寺3F
電話:03-6383-1963
電車でお越しの方:
JR線 高円寺 駅南口より 徒歩2分
