歯の治療に使う器具などの話
2025/07/24

歯の治療には、いろいろな治療器具を使います。
治療を待っている間、
「あれ、何をするものなんだろう?」
「あれを使って何をされるんだろう?」
と思ったりした事はありませんか?
ここでは、よく使う定番の器具や材料から~ちょっとレアなものまでご紹介します。
ベースセメント

今回は、虫歯の治療後によく使うお薬のお話です。
奥歯の大きな虫歯治療の後には、型をとってつめもの(インレー)にする事が多いですが、インレー(特に保険治療で行うメタル・インレー)を虫歯を削った部分にそのまま入れてしまうと、しみてしまう事があります。
患者さんには
「虫歯が残ってるのですか?」と言われてしまうのですが、そうではありません。
特に金属材料などは、冷たい物を口に含んだ時の刺激などが、歯の神経にダイレクトに伝わってしまうので、しみたり痛んだりしやすいのです。
さぁ、こうなってしまうと、最悪、つめものを外して治療のやり直しです。
ただし、やり直したからといって、症状がおさまるとも限りません。
歯の神経の反応はきまぐれ、一度、過敏になった神経は原因を除去してもそのまま症状が残ってしまう事もありますし、つめものを壊して外した時の刺激があらたな痛みを誘発する事もあります。
このように「虫歯治療後の痛み」は対処しづらい事が多いのです。



では、できるだけ「大きな虫歯治療後のしみや痛み」を起こさないようにするためにはどうすればよいでしょうか?
つめものと虫歯の間にクッション材になるお薬を使うと、かなり症状は緩和されます。
そのクッション材が今回ご紹介する
「ベースセメント(グラスアイオノマー・セメント)」です。
このセメントは
・歯の神経に対する刺激が少ない
・歯質や金属に接着性がある
・知覚過敏を起こしづらい効果
などの優れた性質を持つ材料です。




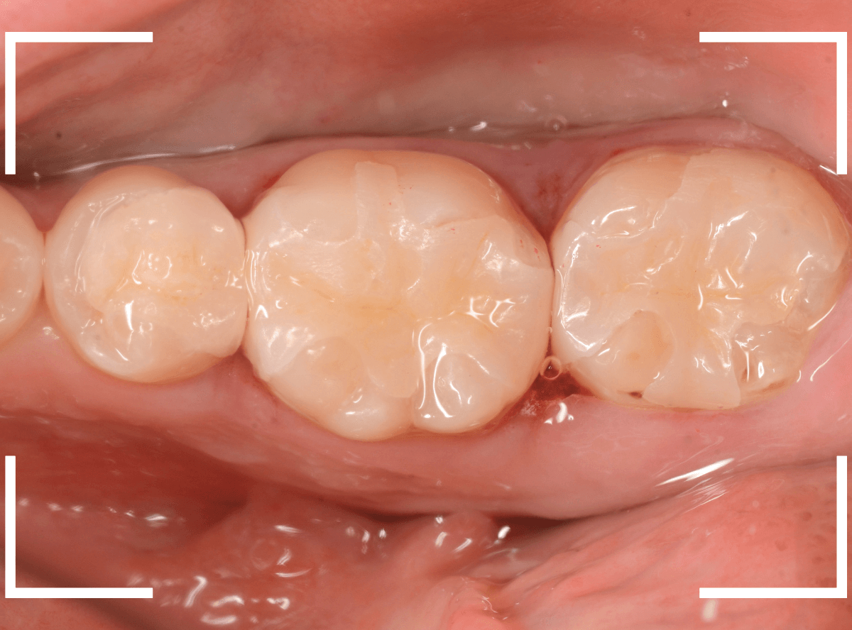
直近の患者さんの例で説明しましょう。
3本の大きな虫歯を除去した後に、ベースセメントで歯を保護します。
ここでこのまま、つめものが入るように歯をトリミングして型どりをしてもいいのですが、症状が出ないかしばらく経過観察します。
症状がないのを確認できたら、改めて歯のトリミングをして型どりをして、つめものをsetします。
この方法は、来院回数がかかりますが、症状がない事を確認してからつめものを作るステップに入るために、その後のトラブルは非常に少ないと感じています。
余談ですが、他院の経験者の助手さんが当院で働いた時に、つめものをsetした後、しみるなどのトラブルがほとんどない事に驚いていました。
以前のクリニックでは、その場で型どりまで治療を進めていたそうで、ベースセメントで歯を保護するなどの処置もしていなかったのかもしれませんね。
ここまでこのブログを読んでいただいた、歯の治療に関心の高いあなたのご来院、お待ちしています。
https://kp-dental.com/Reservation
今後ともよろしくお願いします。
ZOO

最初から、ちょっとマニアックな製品の紹介です。
お口の中の唾液は、お口の中の健康を保つための重要な要素ですが(唾液のないお口の中は虫歯だらけになってしまいます)、歯の治療の際には、お口の中をからからに乾燥させる必要がある処置も多く、障害になってしまう事が多いです。
歯の治療の際に、やけに神経質にエアーをかけられたり、唾液を吸われたり、綿をたくさんつめられたり・・・という経験はありませんか?
それは、こういった理由からです。
しかしそれでも、唾液の量が多い人や舌の形や位置が絶妙に歯に被ってくる人など、うまく乾燥状態を作れない事がよくあります。
そんな時に効果を発揮する器具です。

実際に使用したところです。
セラミック・インレーをsetするところで、セラミックインレーをしっかり接着させるために、お口の中を乾燥させる必要があります。
(接着力が弱いと、外れたり、割れたりしやすくなります)
歯の周りを管で挟み込みながら唾液を吸う事で、乾燥状態を維持しています。
慣れると短時間で乾燥状態にできるため、便利な器具なのですが、欠点は
「高い」
事です。
いくつかストックを揃えておきたいのですが、なかなか手が出ません。
人生は塩辛いですね(><)
ここまでこのブログを読んでいただいた、歯の治療に関心の高いあなたのご来院、お待ちしています。
https://kp-dental.com/Reservation
今後ともよろしくお願いします。
う蝕検知液

う蝕検知液は、虫歯を除去した部分に滴下して使います。
滴下した部分を水洗・乾燥して、染色されている部分は虫歯の取り残しあり、と判断します。
実際には、虫歯は歯を溶かして進みますので、歯は柔らかくなります。
長年治療をしていると、歯を削った時の手の感触で、その部分が虫歯かどうかの判断はかなり(ほぼといっても良いかも)つきます。
という事で、「う蝕検知液を使わない」という先生も結構いらっしゃいます。
では、私が使う理由はどういった理由でしょうか。
「最終チェックのため」です。
自分の感覚だけでなく、目に見えるチェックラインが欲しいのですね。
「声に出して安全確認」に近い感覚かもしれません。
また、神経に近い大きな虫歯の場合は、少し削っては検知液で慎重に確認という使い方をする場合もあります。
う蝕検知液を使う私のまわりの先生も同じような意見でした。


実際に使っている場面です。
虫歯の治療のブログでも紹介した症例ですが、レントゲン写真で、破折したレジンの中で神経の近くまで虫歯になっているのがわかります。


神経に近い虫歯ですので、いつも以上に慎重に虫歯をある程度除去したところで、虫歯の状況を検知液で確認します。
薄く赤く染まっているところが虫歯です。
逆に、他の色がついているところは、虫歯ではないので、削らなくてもよいという事ですね。

全く染色されなくなりました。
これで全ての虫歯を除去したことになります。

実際の検知液を使い方です。
ノズルをう蝕部に直接挿入して使うのが一般的ですが、それですとノズルの先端が汚染されてしまいます。


という事で、当院では使い捨てのアプリケーターを使い、ノズルが歯に直接触らないようにして使用しています。
ここまでこのブログを読んでいただいた、歯の治療に関心の高いあなたのご来院、お待ちしています。
https://kp-dental.com/Reservation
今後ともよろしくお願いします。
高円寺PAL歯科医院 :https://kp-dental.com/
〒166-0003 杉並区高円寺南4-25-4 RESTA高円寺3F
電話:03-6383-1963
電車でお越しの方:
JR線 高円寺 駅南口より 徒歩2分
