虫歯を放置して、抜歯
2025/07/24
虫歯を放置してしまうと
こんにちは、高円寺PAL歯科医院の新井です。
虫歯を放置すると、神経まで達し、多くの場合で大きな痛みになります。
ですが、まれに痛みが出ない方もいたり、痛みが出ても一定期間我慢すると、神経が死んで痛まなくなります。
もしくは、痛みが取れたからといって、治療途中で放置してしまうなど。。。
その状態で放置すると、歯は完全に内部崩壊し、治療でリカバーできなくなり、抜歯するしかなくなってしまいます。
「忙しくて、歯医者に行けないうちに・・・」
「忙しくて歯医者に行けないうちに、気づいたら虫歯が悪化していて…抜歯しかないと言われました」
これは、歯医者から帰ってきた患者さんからよく聞かれる言葉ではないでしょうか。
そのような状況になるまでに、痛みや腫れが出たり引いたり・・・を繰り返したりなどあったと思いますが、最悪その状況で来院していれば、抜歯せずに何とかなったかもしれません。
抜歯が必要な虫歯の状態とは?
虫歯はその進行段階から、C0~C4に分かれます。
確実に抜歯処置が必要になるのは、C4(歯の根まで虫歯が進行)した段階です。
この状況になると、歯の神経が死んで痛みはなくなりますが、歯は噛み合わせに耐え切れないほど崩壊し、抜歯をするしかない状況なのです。
C3(歯髄まで達した虫歯)の時も、治療の経過が悪ければ抜歯が必要になる事もありますが、遅くともほとんどの方が痛みを明確に感じるC3の段階で歯科医院で治療を受けないと、抜歯を避けられない状況になってしまいます。
「痛くなくなった=治った」は大きな誤解
虫歯が進行して神経が死ぬと、一時的に痛みが消えることがあります。
これを「自然に治った」と思って放置する方が非常に多く、気づいた時には歯が手遅れというケースが多いです。
神経が死んだ後は、細菌が歯の中で静かに増殖し続け、根の先に炎症や膿を作るという二次被害が発生します。
さらに悪化すれば、顎の骨に感染が広がる(骨髄炎)・顔が腫れる・発熱する・入院が必要になるといった全身への影響にまで及ぶこともあります。
歯を失わないために、早めの行動を
虫歯は、放置すればするほど、治療の選択肢が減っていきます。
治療費も高額になります。
そして失った歯は、二度と元には戻りません。
「しみるけど、忙しいから今度にしよう」
「痛みが引いたから大丈夫だろう」
その判断が、数ヶ月後に「抜歯」という選択肢しか残っていない状態を招くこともある事を忘れずに・・・。
実際の症例
Case.7 1年近く放置した虫歯の抜歯


今回は、「虫歯とわかりつつ、1年近く放置してしまった」という患者さんです。
お口の中を確認すると、上の奥歯がひどい虫歯です。
その奥のおやしらずは歯の残骸が残っている状態です。
手前の歯も、大量の歯石がついています。

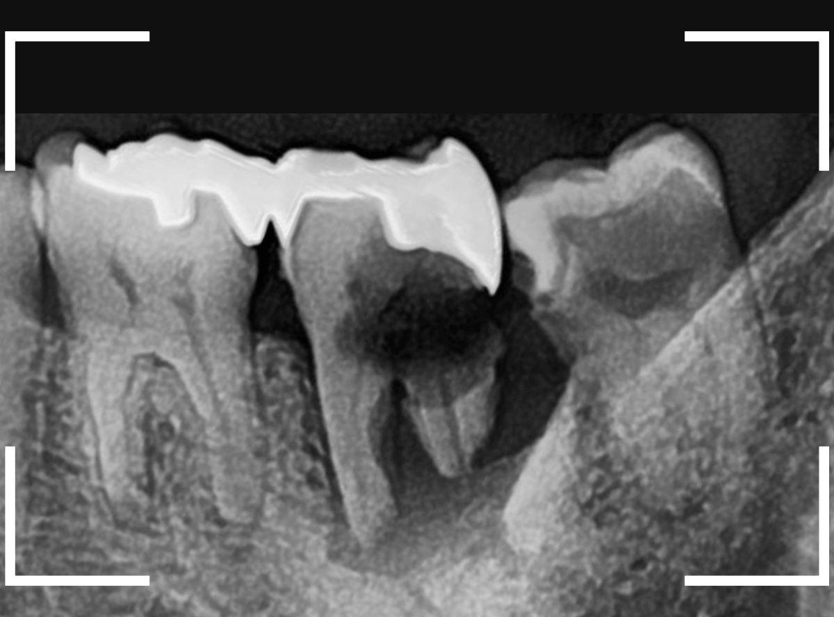
レントゲン写真で確認します。
青い線が歯の形と神経です。
赤い線が、虫歯です。
初見でも想像がつきましたが、かなり虫歯がひどく、治療して再び噛む事が出来るようにするのが不可能で、抜歯をする事になりました。
患者さんも、自覚があったようで、すぐに同意いただきました。

こちらが、抜歯後の写真です。
ここまで虫歯が進行していると、虫歯の治療をしても、ほとんど歯は残っていなかったでしょう。
歯の頭が無くなってしまうと、抜歯も困難にな行ってしまいます。
少しでも虫歯が進行しないうちに、と抜歯を行いましたが、やはりかなり手こずりました。

こちらが抜歯後のおやしらずの写真です。
根だけの状態になっていました(残根といいます)が、こちらは苦労なく抜歯できました。
抜歯した手前の歯をお見せして、
「半年くらい前に受診していたら、歯を残せたかもしれない」というお話をすると、残念がっていました。
歯科受診はお早めに・・・。
ここまでこのブログを読んでいただいた、歯の治療に関心の高いあなたのご来院、お待ちしています。
https://kp-dental.com/Reservation
今後ともよろしくお願いします。
Case.6 奥歯がボロボロで痛む

今回は、「下の奥歯が痛む」という訴えで来院された患者さんのケースです。
お口の中を確認すると、一番奥(右側)のおやしらずが虫歯のようです。

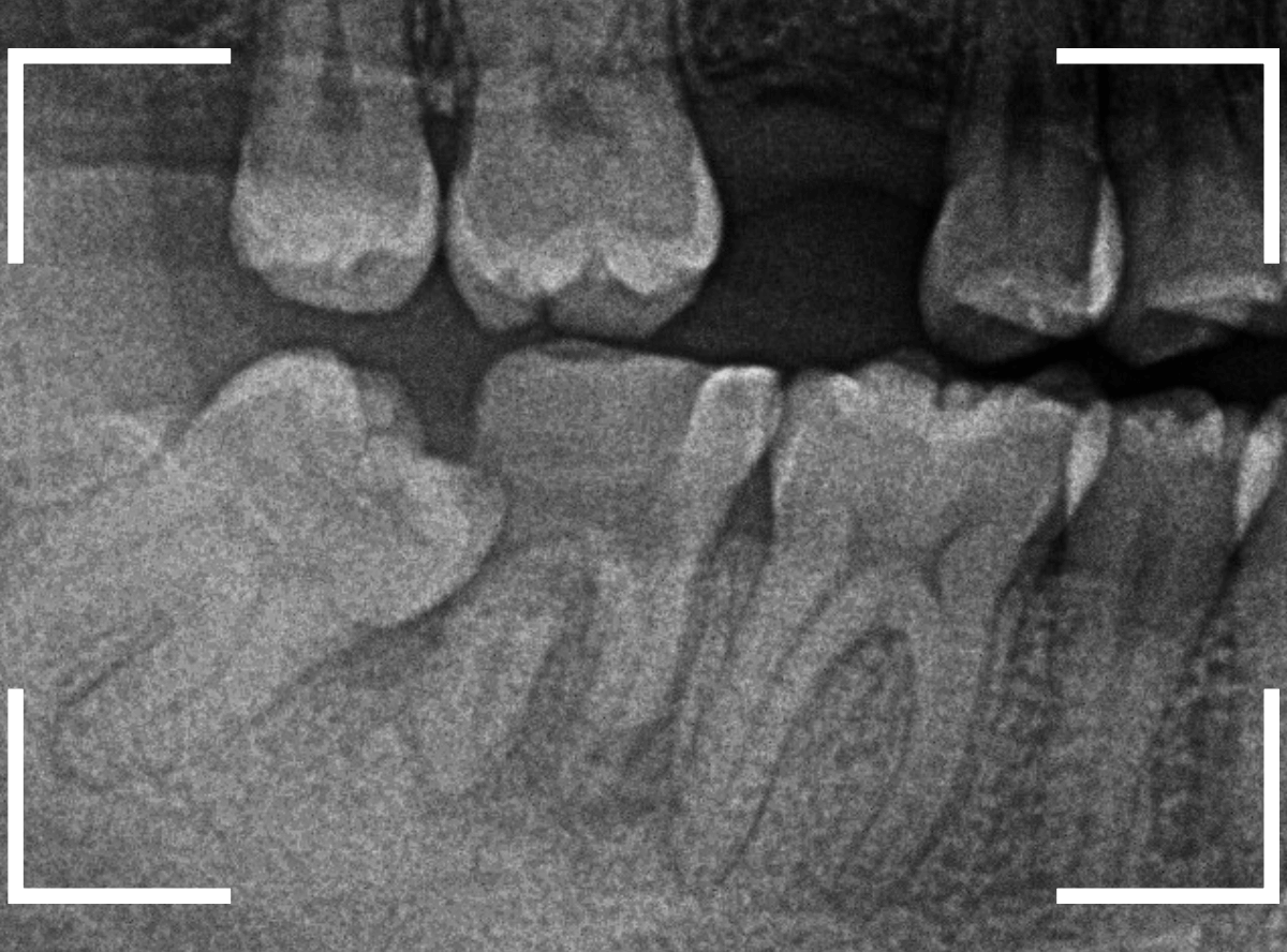
レントゲン写真で確認します。
一つ手前の歯も大きな虫歯で根元までボロボロです。
これではどちらが痛みの原因になってもおかしくありません。

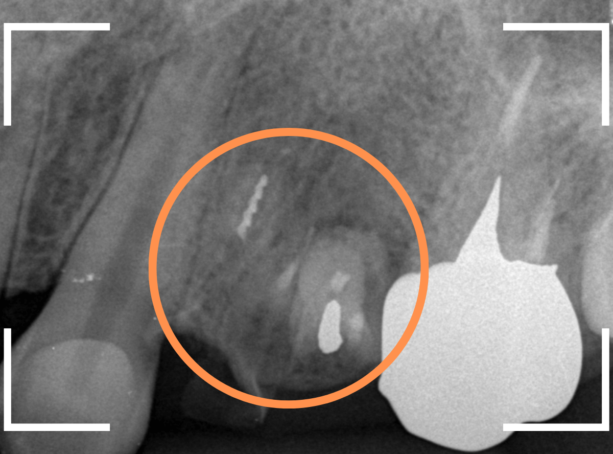
側面から確認します。
手前の歯の根元がボロボロなのも確認できます。

お薬で痛みがおさまるまで待ち、後日、抜歯をしました。
ボロボロの歯が骨内に残らないように神経を使いましたが、何とか無事に抜歯する事ができました。
おそらくここまで虫歯が悪化するまで、何度も痛みが出てひいて、というのを繰り返していたと思います。
虫歯の痛みには波があり、楽になったといっても、決して改善しているわけではありません。
治療が遅れるほど、結果的に大変な目にあってしまいます。
ここまでこのブログを読んでいただいた、歯の治療に関心の高いあなたのご来院、お待ちしています。
https://kp-dental.com/Reservation
今後ともよろしくお願いします。
Case.5 残根状態の歯の抜歯3

今回も、根っこだけ残ってしまった状態の歯の抜歯ケースです。
歯肉の外にわずかに歯の部分が露出している状態です。

レントゲン写真で確認します。
へし折れてしまっている根もありますが、わりとはっきり根の状態がレントゲンに写ってますので、抜きやすい状態かもしれません。

何とか、短時間で無事に抜くことができました。
問題は、「抜歯後にどう噛めるようにしていくか」ですね。
経過観察後、患者さんと相談になりますが、このような状態にならないように、皆さんも気をつけてくださいね。
ここまでこのブログを読んでいただいた、歯の治療に関心の高いあなたのご来院、お待ちしています。
https://kp-dental.com/Reservation
今後ともよろしくお願いします。
Case.4 見た目よりひどい虫歯になってしまっていたケース

今回は、痛みもなく、見た目にはまだ治療で何とかなりそうに見えるケースです。
大きな虫歯なのはわかりますが、治療で何とかなりそうにも見えます。

しかし、レントゲン写真で確認すると、実際には虫歯でボロボロで、歯の根っこだけの状態なのがわかります。
残念ながら抜歯が必要ですが、抜歯も難しくなる可能性が高いケースです。

予想通り、処置時に歯がバラバラになってしまい、時間がかかってしまいましたが、何とか抜歯を終わらせました。
虫歯の状態は見た目や症状だけではわかりません。
くれぐれも自己判断で放置することは避けてくださいね。
こちらのブログを最後まで読んでいただいた、歯の治療に関心の高いあなたのご来院、お待ちしています。
今後ともよろしくお願いします。
ここまでこのブログを読んでいただいた、歯の治療に関心の高いあなたのご来院、お待ちしています。
https://kp-dental.com/Reservation
今後ともよろしくお願いします。
Case.3 残根状態の歯2

今回は、虫歯が進行しすぎて、根っこだけの状態になってしまったケースです。
このような状態を残根といい、治療をして嚙み合わせに耐える機能はありませんので、腫れて痛みが出る前に抜歯する必要があります。

今回は、虫歯が進行しすぎて、根っこだけの状態になってしまったケースです。
このような状態を残根といい、治療をして嚙み合わせに耐える機能はありませんので、腫れて痛みが出る前に抜歯する必要があります。

処置中に歯が砕けないように、慎重に抜歯しました。
幸い、トラブルなく短時間で終える事ができました。
ここまでこのブログを読んでいただいた、歯の治療に関心の高いあなたのご来院、お待ちしています。
https://kp-dental.com/Reservation
今後ともよろしくお願いします。
Case.2 放置してボロボロの歯

今回は、虫歯治療途中の歯を放置してボロボロになってしまった歯の抜歯のケースです。
痛みがないせいか、歯に穴が空いたまま長期間放置してしまったために、残念な状況になってしまいました。

以前の先生が治療した際のの状況は詳しくはわかりませんが、
後ろに生えていたおやしらずを抜歯せずに放置してしまったために虫歯になってしまった
→神経の治療の途中で放置したために歯がボロボロになってしまった
という流れかと思います。
本格的に腫れたり痛みが出る前に抜歯する必要があります。

虫歯で歯がボロボロになってしまうと、抜歯の際に歯に力をかけた際に砕けてしまって思わぬ難抜歯になってしまう事があります。
今回は運よくトラブルなく抜歯できましたが、難抜歯になれば、抜歯後の痛みや腫れも大きくなる可能性も格段に上がります。
ご自身のためにも、痛みがないからといって、虫歯を放置しないようにしてください。
ここまでこのブログを読んでいただいた、歯の治療に関心の高いあなたのご来院、お待ちしています。
https://kp-dental.com/Reservation
今後ともよろしくお願いします。
Case.1 残根状態の歯

虫歯を放置してしまい、ボロボロになってしまった歯の抜歯ケースです。
歯肉の中まで虫歯が広がってしまうと、多くの場合、抜歯をしなくてはいけません。
その上、抜歯も苦労するケースになってしまいます。
※出血多く、閲覧注意です!

レントゲン写真でも、ほとんど残ってる歯が確認できません(残根状態(歯の根っこだけ残っている状態)といいます)。
これでは、抜くのも大変そうです(><)

歯肉をかきわけながら、何とか全て抜歯しました。
歯は細かく砕けてしまい、大変な抜歯になりました。
このような状態になる前に、歯科受診するようにおすすめします。
ここまでこのブログを読んでいただいた、歯の治療に関心の高いあなたのご来院、お待ちしています。
https://kp-dental.com/Reservation
今後ともよろしくお願いします。
高円寺PAL歯科医院 :https://kp-dental.com/
〒166-0003 杉並区高円寺南4-25-4 RESTA高円寺3F
電話:03-6383-1963
電車でお越しの方:
JR線 高円寺 駅南口より 徒歩2分
