歯の土台の再治療
2025/07/24
こんにちは、高円寺PAL歯科医院の新井です。
神経の治療をした歯は、歯に土台(コア)を立ててさし歯を作ります。
しかし、神経の治療のやりなおしが必要になった際や、虫歯が再発した際に土台を取る必要が出てきます。
ですが、歯の土台は外れないようにがっちりと歯に固定させているわけで、それを外すのは容易ではなく、力ずくで無理に外そうとすると、歯そのものをダメにしてしまう可能性もあります。
土台の入り方によっては、外すことができない事もあります。
歯を傷つけないように、そっと土台だけを除去するためには、患者さんにも口を開けたまま頑張っていてもらう必要がある、ちょっと辛い治療です。
そもそも、歯の土台って何ですか?
虫歯や根管治療などで歯の神経を取った場合、歯の内部は空洞になります。
そのままではさし歯を支えきれないため、芯(心棒)を入れて補強する必要があります。
これを歯の土台(コア)といいます。
役割は大きく2つ
1.クラウンを安定して装着するための支え
2.割れやすくなった歯根の内側から補強する“柱”の役割
歯の土台は「見た目には見えないけれど、治療の成功を左右する非常に大切な存在」なのです。
なぜ歯に「土台」が必要なのか?
神経を取った歯(無髄歯)は、以下のような問題が起こりやすくなります
歯がもろくなって割れやすくなる
内部が空洞なので、被せ物を安定して乗せられない
噛む力がクラウンだけに集中して歯根破折のリスクが高まる
これらを防ぐために、コアで内部からしっかり支えることが重要です。
コアは“柱”、クラウンは“屋根”と考えるとイメージしやすいです。
歯の土台(コア)の種類
歯の土台は、以下の2種類があります。
最近は、歯根破折の可能性が低い、ファイバーコアが選ばれる事が多いです。
1. メタルコア(金属の土台)
特徴
金属(銀合金や金合金)で作られたコア
強度が高め
メリット
噛む力の強い奥歯や大臼歯に適している
長年の使用実績があり、安定性が高い
デメリット
金属の硬さが災いして、歯根破折を引き起こすことがある
銀色の金属が透けて、歯ぐきが黒く見える(ブラックマージン)ことがある
金属アレルギーの心配がある
2. ファイバーコア(グラスファイバー強化樹脂)
特徴
グラスファイバー(ガラス繊維)で補強されたレジン(樹脂)製のコア
天然歯に近い“しなやかさ”があり、歯への負担が少ない
メリット/span>
歯根破折のリスクを低減
金属を使わないので、アレルギーや歯ぐきの変色が起こりにくい
審美性に優れている
デメリット/span>
メタルコアより若干強度が劣る(強い咬合力には注意)
| メタルコアとファイバー(レジン)コアの違い | ||
| メタルコア | ファイバー(レジン)コア | |
| 強度(噛む力) | 高い | 十分あるが、極端に強い力には注意 |
| 歯根破折リスク | 高い(硬すぎて歯に負担) | 低い(しなやかで歯になじむ) |
| 審美性 | 金属が透けて歯ぐきが黒くなることも | 透けずに自然な仕上がり |
| 金属アレルギー | 可能性あり | なし(メタルフリー) |
歯の「土台」(コア)も、虫歯になる?
厳密に言うと、歯の土台は人工物でそのものが虫歯になるわけではなく、その周囲に残っている「天然の歯質」が虫歯になります。
これを「二次う蝕」と言います。
なぜ、さし歯で守られてる歯の中が虫歯になるのでしょうか?
① クラウンと歯の境目にできたすき間
時間の経過や接着剤の劣化により、クラウンとコアの境目にわずかなすき間が生じることがあります。
この隙間から細菌が侵入して、歯の内側で虫歯が進行します。
② ブラッシング不足・清掃不良
特にクラウンの縁の部分は磨き残しが出やすい場所。
プラークや食べかすがたまり、虫歯菌が再活動してしまいます。
③ 不適合なクラウンや劣化
精度の低い補綴物(保険のクラウンなど)や古くなったクラウンは、すき間ができやすく虫歯の再発リスクが高くなります。
④ 根管治療後の歯がもろくなっている
神経の除去をした歯は、内部がもろく、虫歯が進行したり破折しやすくなっています。
と言った理由からです。
歯の「土台」(コア)の周囲が虫歯になった時の恐ろしさ
歯の土台の周囲が虫歯になった時にまずやっかいなのは、「多くの場合で無症状」という事です。
土台が入っている歯は、100%無髄歯(神経のない歯)です。
少しくらい虫歯になったところで症状はありません。
また、その周囲がさし歯で覆われているため、レントゲン撮影をしても、虫歯かどうかは判別できません。
その上、土台の周囲まで虫歯になってしまっていた場合、相当に深い虫歯で、抜歯をしなければいけない状態である事も多いです。
「虫歯になっても、症状がないので本人にはわからない。歯科医院でレントゲン写真を撮ってもわからない事が多い。さし歯を不適合などの理由で外した時に初めて発見され、その時には手遅れになっている事も多く、治療中に突然抜歯を宣告される。」
患者さんにとっても、歯科医師にとっても、非常に恐ろしい虫歯なのです。
歯の「土台」(コア)の周囲の虫歯予防
100%ではありませんが、以下の方法でさし歯の中の虫歯を大きく予防する事ができます。
精度の高いクラウン・コアを選ぶ
セラミッククラウン+ファイバーコアは接着性・密閉性が高く、再発リスクを抑えやすい
毎日のセルフケアの徹底
歯ブラシ+デンタルフロスや歯間ブラシで、クラウン周辺のプラーク除去を徹底
歯ぐきの境目やクラウンの付け根を丁寧に磨く
定期検診を欠かさない
目に見えないところでの虫歯再発は、プロのチェックで早期発見が鍵です
さし歯を入れて「もう安心」ではありません
神経を取って、さし歯を入れて「もう安心」ではありません。
見えない場所で、神経がないからこそ虫歯が進行してしまうリスクがあるのを知っておいてください。
特に「数年以上前に入れたクラウンがある」「最近違和感がある」「神経を取った歯がある」という方は、油断せずに歯科医院での定期メンテナンスを受けることをおすすめします。
実際の治療例
Case.3

大分昔に虫歯治療後、上の奥歯に土台までいれて長期放置してしまっていたという患者さんです。
向かって右側にはプラスチック素材のレジンコア、
左側には金属素材のメタルコアが入っています。
右側のレジンコアには虫歯も少し見えますね。

レントゲン写真で確認します。
左側のメタルコアの内側も少し虫歯がありそうな気がします。
できるだけ土台を外すリスクは避けたいのが本音ですが、治療から長期間経っていることもあり、両歯とも土台を外して再治療する事になりました。

まずは右側のレジンコアから除去します。
ある程度、虫歯とレジンを除去したところです。
幸い、虫歯はあまり深くなさそうですが、歯の根にささったピンの部分が思いの他硬くて、なかなか外れません。

この感じですと、ピンを無理に外さずに土台を作り直しても支障なさそうですが、ここまできたらしっかり中を綺麗にできたらとも思います。
時間がかかりますが、超音波でピンを少しずつ揺らして除去してみます。

かなり時間がかかりましたが、なんとは無事に歯を傷つける事なく、ピンを外すことが出来ました。

綺麗になり、スッキリしましたね。
次は左側のメタルコアを除去します。

メタルコアをある程度除去したところです。
予想したとおり、中は少し虫歯になっていました。

写真ですとわかりづらいですが、青い部分の歯肉が歯の部分を覆ってしまっています。
このまま土台を作り直しても、短期間で土台ごとさし歯が外れてしまう可能性があがってしまいますので、麻酔をして余分な歯肉を除去する処置をします。

歯を覆っていた歯肉、虫歯、歯の根に残っていたピンを全て外しました。
相当な時間がかかりましたが、何とか歯を傷つける事なく処置ができました。
ここで、土台を作る型を取ります。
今回は、歯に負担の少ない、ファイバーコアを製作する事になりました。

ファイバーコアをsetしてしばらく経過観察したところです。
まだ、少し歯肉の炎症が残っていますが、かなり綺麗になってきました。
歯ブラシでのお手入れを頑張っていただければ、もっと歯の周りの歯肉が引き締まってきますので、それを待って最終のさし歯をお作りする予定です。
ここまでこのブログを読んでいただいた、歯の治療に関心の高いあなたのご来院、お待ちしています。
https://kp-dental.com/Reservation
今後ともよろしくお願いします。。
Case.2

神経の治療後に、土台を入れたまま放置をしてしまった患者さんです。
虫歯が歯肉の中まで入り込んでしまっていて、歯肉も腫れてしまっています。
神経を取ってしまっているので、どんなに虫歯が進んでも痛みもなくご自身では状況に全く気づけませんし、金属の土台(メタルコア)が入っているため、レントゲン写真でもどの程度まで虫歯が進んでいるのかわからず、慎重に土台を外して調べてみるしかありません。

土台を全て外したところです。
ギリギリ修復可能な歯の状態と判断して、治療を進めます。

歯を覆っている歯肉を麻酔をして除去してしっかりと歯の表面を出し、虫歯も全て取り切りました。
新しくファイバーコアを製作するために、型どりをします。

ファイバーコアをsetして、しばらく経過観察したとろです。
周りの歯肉も綺麗になっていますね。
綺麗なさし歯の型が取れる環境が整いました。
こちらのブログを最後まで読んでいただいた、歯の治療に関心の高いあなたのご来院、お待ちしています。
今後ともよろしくお願いします。
Case.1

こちらは比較的簡単な歯の土台の再治療のケースです。
下の奥歯の虫歯の治療後に、金属の土台(メタル・コア)をsetして、長期間放置してしまいました。
見た目的にはあまり問題なさそうにみえましたが、奥歯との間の歯肉が若干炎症気味でぶよぶよしてるのが気になりました。

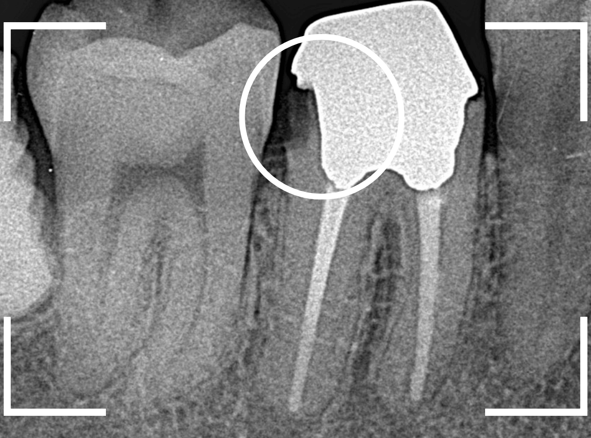
レントゲン写真で確認すると、歯の奥側が虫歯になり始めています。
虫歯のすき間に物がつまりやすくなり、歯肉の状態がイマイチだったのかもしれません。
この虫歯を除去しないままさし歯をお作りしても、よい治療にはなりません。
短期間で外れて再治療になる可能性も高いですので、まずは虫歯の再治療をします。

メタル・コアを除去して、明視野で虫歯を確認します。
幸い、浅い状態に入っていたメタル・コアでしたので比較的容易に除去する事ができました。
虫歯が歯肉の下まで進んでいるようですので、麻酔をして歯肉を少し除去しながら虫歯の処置をします。

全ての虫歯を除去して綺麗になりました。
今回は、土台の型をお取りして、歯に優しいファイバーコアという素材で土台を作り直す事にします。

ファイバーコアをsetして、しばらく経過観察したところです。
隣の歯との間の歯肉も綺麗になったのが確認できるかと思います。
良いさし歯をお作りできる環境になりました。

最終のさし歯が入ったところです。
ほとんど調整もなく、ぴったりと周りの歯に合わせる事ができました!
ここまでこのブログを読んでいただいた、歯の治療に関心の高いあなたのご来院、お待ちしています。
https://kp-dental.com/Reservation
今後ともよろしくお願いします。
高円寺PAL歯科医院 :https://kp-dental.com/
〒166-0003 杉並区高円寺南4-25-4 RESTA高円寺3F
電話:03-6383-1963
電車でお越しの方:
JR線 高円寺 駅南口より 徒歩2分
