お口の中の写真撮影の話
2025/07/24

こんにちは、高円寺PAL歯科医院の新井です。
お口の中の撮影を、通称「口腔内撮影」といいます。
説明用に治療中の歯を簡易的な小さなカメラで撮影して、というのは割とポピュラーかと思いますが、一眼レフなどの専用機材を使って日常的に記録を残してるクリニックの割合はそれほど多くないのではないかと思うのですが、どうでしょう。
それには理由がありまして、カメラについてのそれなりの知識、短時間で奇麗に撮影するためのテクニックやノウハウが必要、撮影した膨大なデータの保存問題など、日常的に行うにはなかなかハードルが高かったりするからです。
ですが、それらをクリアすると、患者さんへの治療の啓蒙、肌感覚ではわかりづらい歯周病の改善の様子がわかったり、自分の行った治療に対する振り返りができるなど、大きなメリットがあるため、当院では、できる限り患者さんにご協力いただき、写真撮影をさせていただいてます。
今回は、そんなお口の中の撮影の裏話、苦労話などを書いてみました。
口腔内カメラ・セット

治療前~治療中~治療後など、お口の中の状態を精密に記録するためのカメラ・セットです。
お口の中は暗いため、スマホやコンパクトカメラで精密な写真を撮影する事は現在のところ難しい(無理?)です。
そのため、一眼レフカメラやミラーレスカメラなど、しっかりとしたカメラとレンズをお口の中が撮影できる用にカスタマイズ・設定する必要があります。
僕は、スマホでの写真撮影すらあまりしなかったくらい、カメラなどは全然詳しくなかったので(歯科大学でもお口の中の写真撮影の授業・実習はなかったです)、ある程度の知識・技術の習得にはかなり苦労しました。
最初はわけがわからなさすぎて、当院のホームページの写真撮影なども頼んだ知り合いのカメラマンに、カメラやレンズの事を何度もLINEで質問したりしていました。
今でも、本当に詳しい先生には遠く及ばないとは思いますが、短時間でそこそこの写真撮影はできるようになったかとは思います。
カメラ本体

撮影setのカメラ本体です。
ニコンのカメラが良いとの話を聞き購入、そのままニコンのカメラを使い続けてきてきました。
そんなわけで、他のメーカーのカメラはよくわかりません。
一眼レフカメラの撮影については、ずぶの素人が奇麗に撮れる設定などを理解するのにもちんぷんかんぷんで苦労しました。
万が一にも撮影時に患者さんにカメラを落とさないように、ストラップを手首につけて撮影します。
一眼レフカメラを使っていて一番の不満点は、
やっぱり「重い事、でかい事」です。
当院ではかなりコスパよく撮影機材を組んでますが、撮影機材を少しでも軽くしようとシステムを組みなおすと、一気にコストが跳ね上ってしまうのが難しいところです。
レンズ

写真の画質に一番大きく影響するのは、レンズだそうです。
お口の中の歯の写真を撮るには、日常の風景などを撮る時と違い、被写体に接近して撮る必要があり、それに特化したレンズ(マクロレンズといいます)も必要になります。
歯科に適したマクロレンズは大体決まっているのでググれば何を買えばいいのか大体わかりますが、同じレンズでも自身のカメラに適合したマウントのレンズを選ばなければなりません。
間違えると、カメラにレンズがはまりません。
最初は、「マクロ?」「マウント?」とちんぷんかんぷんで投げ出しそうになりました。
これもやっぱりそれなりの重さがあるので、カメラにレンズをつけると、ぐっと重くなります。
そして、たまに落として壊す事があるので、バックアップにヤフオクで安く出品されてた時に購入してストックしてあります。
リングストロボ

撮影setのストロボ部分、リングストロボといいます。
お口の中を奇麗に撮影するのに、スマホやコンパクトカメラではダメな理由の一つが、このリングストロボがつけられないからです。
お口の中はとても暗いので、奇麗に撮影するにはレンズの正面から強力に照らしてあげる必要があります。
(患者さんにはご協力いただいてマス(>o<))
また、安物のリングストロボでも光が弱くてダメみたいで、奇麗に撮れません。
色々奥が深いですね。
そして、やっぱり重いので、カメラとレンズにこいつを装着すると、ずっしり重くなります。
フォグライト


お口の中を撮影する時、ミラーを使ってミラーに写った像をカメラで撮影します。
お口の中を撮影するのに苦労するのは、「暗い事」の他に、患者さんの息で「ミラーが曇る事」です。
これを防ぐために、通常は患者さんのお口にミラーを挿入する直前までお湯につけておいたりするのですが、ミラーとカメラの角度を調節している間に曇ってきたり、となかなかうまくいかない事が多いです。
写真撮影に避ける時間も限られてますから、ついつい、写真撮影から足が遠のいてしまいがちです。
「さぁどうしたものか」と思っていたところ、みつけたのが、フォグライトです。
これは、暗いお口の中をライトで照らしてくれるのと、送風でミラーが曇らないようにしてくれるものです。
Amazonで安価に売られていたのを見つけて、気軽に&あまり期待せずに購入してみたのですが、効果絶大で、かなりお口の中の撮影のハードルが下がり稼働率がグッと上がりました。
何故か、歯科専門通販サイトでもひっそりと売られている程度で、どの歯科写真撮影サイトや動画でも取り上げられてるのを見かけないですね。
ここが初めてかもしれません。
いい機材だと思うんだけどな。



さて、これを使ってもお口の写真撮影の時に、特に手こずるのが全体写真を撮る時です。
これが辛くて、お口の中の写真を撮るのが苦手というスタッフも多いかと思います。
虫歯の多い方などの治療前の写真は撮っておきたいんですよね。
しかし、ただでさえ重いカメラを片手で持って、もう一方の手でミラーを持って、狭いお口の中の全体を撮影できるように短時間でベストポジションを探らねばなりません。
ミラーを持つ手首の角度がツラい状態の時で手がつりそうになる事も多かったです。
死にそうにあたふたしてると、口を開けてる患者さんの苦悶の声が聞こえてきてさらに焦ります。
女性スタッフの鬼門ですが、男の僕も今でも苦手です。
とはいえ、どうにかして少しでも楽にならないもんかと試行錯誤してたどり着いたのが、Amazonで売ってる折り畳み式の手鏡を強引に両面テープで裏面に固定する方法でした。
ミラーの持ち手の角度がスムーズに自由に変えられるので、だいぶ撮影が楽になりました。
最初は100均で売ってる製品で試したのですが、開閉がぎこちなくて力がいるのと無駄にでかくて全く使い物にならず、Amazonで色々調べてたどり着きました(>o<)
また、両面テープで固定する位置によっても使い勝手が変わるので、何度も試してみて、今の状況に落ち着きました。
他のクリニックで口腔内撮影が苦手な衛生士さん、当院では、だいぶ楽に撮影できますので、ご検討を(笑)
アングル・ワイダー


お口の中全体を撮影する時に、口唇を排除する器具です。
大きさや素材、色によって、種類があります。
色は、お口の中の写真を撮る時は、やっぱり透明がいいですね。
ぎりぎり写真にアングルワイダーが映り込んでも、あまり目立ちません。
色々買ってみると、見た目が同じでも、メーカーによって、硬さなどが結構違いがありました。
あんまり硬いと患者さんも辛いので、もっぱら透明でよく曲がるタイプを使っています。
口角鉤


補助的に口唇を広げる器具です。
ほとんどの場合、使わなくても何とかなってしまうのですが、下の前歯などはアングル・ワイダーを使っても口唇が被ってしまう事が多いので、そんな時に使う事が多いです。
ほとんどの場合、おしりの方の小さいひっかけでちょこっと広げるくらいの使い方で十分です。

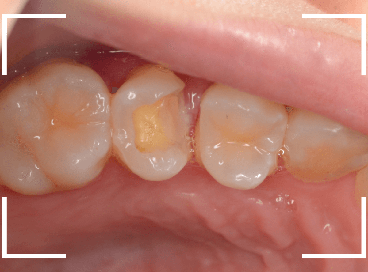
口角鉤を使わなかった場合です。
口唇が被り気味なのがわかります。
そのため、フラッシュの光も遮られ、暗めの写真になってしまいます。

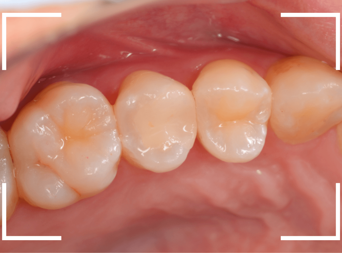
口角鉤を使った場合です。
歯の周りが十分見渡せ、フラッシュの光も届くため、より鮮明な写真になります。
口腔内カメラ

お口の中の状態を手軽に撮影できる、口腔内カメラです。
形状からイメージできるかと思いますが、狭いお口の奥まで挿入して、手軽に写真撮影ができます。
一眼レフのカメラを使わずに、こちらのカメラで全てまかなえれば、簡単でそれに越した事はないのですが、どういったところが違うのでしょうか。



一番の理由が「画像の鮮鋭度に劣る」ことですね。
この3枚の写真が、口腔内カメラで撮影した画像です。
こちらはUSB接続タイプの口腔内カメラで、以前使用していた無線接続の口腔内カメラから入れ替え、画像はかなり向上しました。
なかなかの画像でその場での患者さんの説明用には十分な画像でありますが、記録・保存用にはちょっと向きません。
そんなわけで
・治療の記録用=一眼レフカメラ
・患者さんへのその場での説明用=口腔内カメラ
という使い方になります。
高円寺PAL歯科医院 :https://kp-dental.com/
〒166-0003 杉並区高円寺南4-25-4 RESTA高円寺3F
電話:03-6383-1963
電車でお越しの方:
JR線 高円寺 駅南口より 徒歩2分
