知覚過敏の話
2025/07/24
知覚過敏とは?
こんにちは、高円寺PAL歯科医院の新井です。
TVなどでもよく耳にする知覚過敏とはどういったものでしょうか?
簡単に説明すると、虫歯ではないけれど、歯の神経が過敏になり、冷たいもの(場合によっては熱い物)がしみる症状の事をいいます。
はっきりとした原因と考えられるものがある事もあれば、そうでない事もあり、なかなか症状が改善されず、患者さんや歯科医師の悩みの種になる事もあります。
知覚過敏の症状
アイスクリームや冷たい飲み物がしみる
熱いものを飲んだときに違和感がある
歯ブラシが当たるとピリッとする
冷たい風に歯が反応する
虫歯の初期症状とほぼ変わらないため、患者さんに「虫歯ではないです」と説明すると、驚かれるのも歯科医院あるあるです。
知覚過敏の原因
知覚過敏の原因にはさまざまな要素があります。
1. 歯ぎしり・くいしばり
強い力で歯を噛みしめることで、歯の根元(歯頚部)がダメージを受けて削れてしまう(くさび状欠損)ことがあります。
これによって歯の痛みやしみを感じる象牙質が露出し、知覚過敏が起きやすくなります。
2. 歯の磨きすぎ(ブラッシング圧が強すぎる)
ゴシゴシと強く磨くことで、歯の表面を摩耗させてしまい、エナメル質が薄くなってしまうことがあります。
特に硬めの歯ブラシや研磨剤の多い歯磨き粉の使用には注意が必要です。
3. 歯周病による歯ぐきの後退
歯周病によって歯ぐきが下がると、普段は歯ぐきに覆われている“歯の根の部分”が露出します。
この部分にはエナメル質がないため、刺激に対して敏感になりやすいのです。
4. ホワイトニング
歯のホワイトニングは、歯を内部から漂白するため、一時的に知覚過敏の症状を引き起こすことがあります。
ほとんどの場合は数日で治まりますが、事前に歯科医師の診断を受けることが大切です。
5. 加齢
40代以降になると、長年のブラッシングや噛み合わせによる微細な摩耗の蓄積により、エナメル質が少しずつ失われていくことがあります。
そのため、年齢を重ねるほど知覚過敏のリスクは高まります。
知覚過敏の対処法・治療法
知覚過敏は、状況によって対処法・治療法があり、症状の改善が期待できます。
1. 歯面コーティング(薬剤塗布)
歯の表面に目立った傷や欠損がない場合、歯の表面に薬剤(フッ素やコーティング剤)を塗布することで刺激を遮断する方法です。
2. レジンでの充填
歯の根元がダメージを受けて象牙質が露出いる場合(くさび状欠損といいます)、露出した象牙質をレジン(プラスチック)でカバーすることで、刺激から神経を守ります。
歯の根元にくさび状の欠損がある場合によく行われる処置です。
3. ナイトガードの装着(歯ぎしり対策)
睡眠中の歯ぎしり・くいしばりを軽減するために、マウスピース型のナイトガードを装着する方法です。
歯にかかる過剰な力を抑えることで、歯の破損や摩耗を防ぎます。
4.抜髄
症状が重症で上記の処置で改善が見られない場合は、歯の神経を除去する処置(抜髄)が必要になる事もあります。
知覚過敏のご自身の対処・予防法
正しいブラッシング習慣を身につける
やわらかめの歯ブラシを使用
力を入れすぎず、歯や歯の周りを小刻みにやさしく磨く
電動歯ブラシを使う場合は過圧防止機能のあるものを選ぶ
定期的な歯科検診を受ける
歯ぐきの状態や咬み合わせ、歯の摩耗状況を定期的にチェックすることで早期対策が可能になります。
生活習慣を見直す
酸の強い飲食物(柑橘類・炭酸飲料)の過剰摂取に注意する
就寝前の歯ぎしり防止策としてナイトガードをつける
実際の治療例
Case.5


今回も「奥歯がしみる」という訴えで来院された患者さんのケースです。
「以前に通っていた歯医者さんで知覚過敏と診断され、薬を塗って様子をみていたが、最近痛くなってきた。」
との事でした。
お口の中を拝見すると、奥歯が二本、側面がえぐれていて、そっと風をかけると飛び上がるほどしみるようでした。
以前の先生に受診された時の詳細な状況はわかりませんが、この状況ではおそらくお薬を塗っても厳しいと感じ、レジンで側面をつめる処置をする事になりました。


今回もしみる症状が強いため、麻酔をして、えぐれている部分にレジンをつめて経過観察します。
あとは、経過観察で症状が改善される事を祈るしかありません、症状も強かったため、これで改善されなかった場合は、歯の神経を除去する治療も考える必要もあります。
→後日来院時、劇的に改善されたとの事でした。
ただし、歯ブラシ圧でこの部分のレジンは簡単に外れてしまいます。十分注意するように磨き方も指導しました。
ここまでこのブログを読んでいただいた、歯の治療に関心の高いあなたのご来院、お待ちしています。
https://kp-dental.com/Reservation
今後ともよろしくお願いします。
Case.4

今回は「奥歯がしみる」という訴えで来院された患者さんのケースです。
知覚過敏の方は歯の側面がしみるケースが多いですが、今回は側面もしみるが、かみ合わせの面(咬合面)もしみるといいます。
しみる歯を拝見して「ちょっとこれは難しいケースかもしれないな」と思いました。

さて、なにが難しいかといいますと、
赤線の部分、歯の溝にあたる部分がかけてるというよりも、不自然に鋭角にえぐれている状態です。
くいしばりなどかみ合わせの力がここに不自然に集中してる可能性が高く、「何かスポーツなどされてますか?」とやんわりお聞きすると、心当たりがあるのか「職場で重い物を持ってくいしばる事が多いです」との事でした。

レントゲン写真で歯を確認します。
特に中に異常はなさそうですが、油断はできません。
このように大きな力がかかった歯にはレントゲンや見えない傷がついてたりする事もあります。
すると、不定期にしみや不快感が起こる事もあり、原因がわからず途方に暮れてしまう事もあるのです。

今回は幸運にもえぐれている部分にレジンを薄くつめる事で症状はかなり緩和されましたが、かみ合わせで短期でレジンが剥がれてしまう事も大いに考えられます。
できれば、マウスピースを作製し、日中も歯を保護してほしいですが、仕事中は難しいそうです。。。
状況を説明し、定期的に経過観察に来院してもらう事になりました。
ここまでこのブログを読んでいただいた、歯の治療に関心の高いあなたのご来院、お待ちしています。
https://kp-dental.com/Reservation
今後ともよろしくお願いします。
Case.3

「歯の側面が虫歯になってしみる」という訴えで来院された患者さんです。
これは、くさび状欠損といって、歯ブラシ圧の強すぎや歯ぎしりなどが原因で歯の側面が摩耗した状態の部分が若干の虫歯になった状態です。
くさび状欠損は、知覚過敏の原因になる事が多いですが、症状がなければ経過観察にする事も多いです。
今回は、表面が虫歯になっている事と、しみるという症状があるため、治療をする事になりました。

麻酔をして、虫歯の部分を除去します。
幸い、表面上の虫歯でしたので、歯の削除量は少なく済みました。

削った部分にレジンを充填して終わりです。
これでしみる症状は改善されると思いますが、麻酔をしているので、確認は次回来院時になります。
ここまでこのブログを読んでいただいた、歯の治療に関心の高いあなたのご来院、お待ちしています。
https://kp-dental.com/Reservation
今後ともよろしくお願いします。
Case.2

こちらも、虫歯がとてもしみるという事で来院された患者さんです。
おそらく、以前にもレジンをつめていて、何かの拍子に外れてしまったと思われます。
虫歯ではないとご説明したら安心していました。

通法通り、上からレジンをつめておしまいです。
今回は、かなりしみるという事で、麻酔をしての処置となりました。
症状の改善については、次回に聞かせていただくことになります。
ここまでこのブログを読んでいただいた、歯の治療に関心の高いあなたのご来院、お待ちしています。
https://kp-dental.com/Reservation
今後ともよろしくお願いします。
Case.1

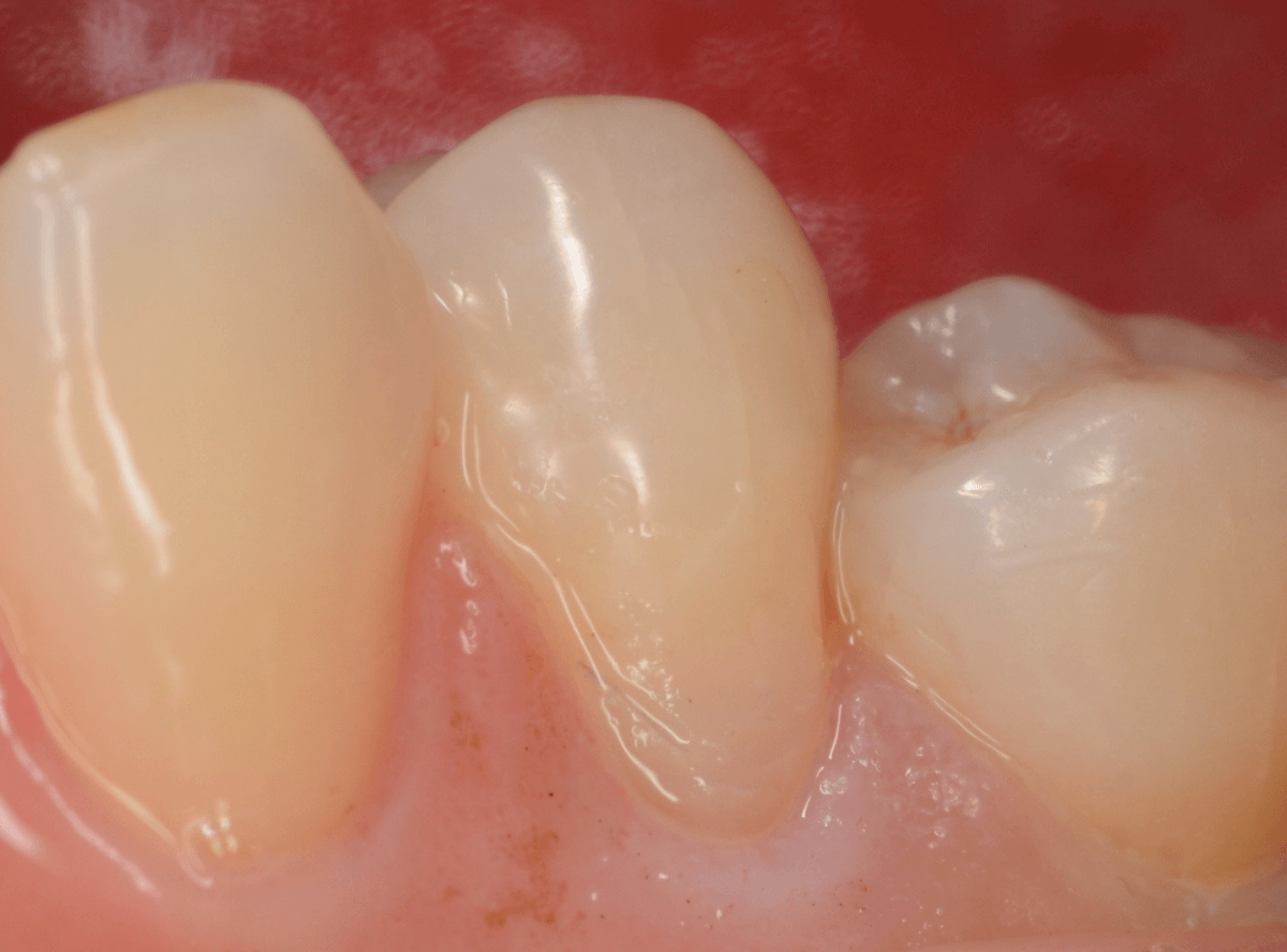
時々、下の奥歯がしみるという症状で、久しぶりに来院された患者さんです。
風を当てる機械でしみる場所を探ってみると、歯の付け根あたりでとても反応がありました。
典型的な知覚過敏といっていいでしょう。

先ほどの画像ではよくわかりづらかったですが、しみる部分を上から見てみると、少し凹んでるのがわかりますでしょうか。
これは、過度な歯ブラシや歯ぎしりなどが原因で歯の側面が摩耗している状態です。
何も感じない方も多く、その場合はあえて何もしない事も多いのですが、今回のように、大きな知覚過敏症状が出てしまう事もあります。
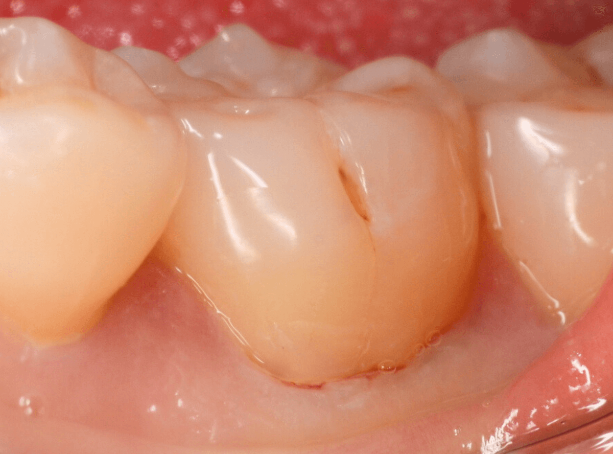
今回のように目に見えて凹んでる部分が見られる場合は、対処が簡単な事が多いです。

こちらの写真でもわかりづらいですが、摩耗した部分に、レジンを少し盛ってあげる。
これだけで、劇的に症状が治まる事がほとんどです。
今回も、症状は劇的に緩和されました。
ただし、過度な歯ブラシや歯ぎしりが続く場合、レジンも短期間で外れてしまう事も多いですので、歯ブラシの仕方を変えたり、歯ぎしり防止のマウスピースを作るなどの対処も一緒に考える必要があります。
ここまでこのブログを読んでいただいた、歯の治療に関心の高いあなたのご来院、お待ちしています。
https://kp-dental.com/Reservation
今後ともよろしくお願いします。
高円寺PAL歯科医院 :https://kp-dental.com/
〒166-0003 杉並区高円寺南4-25-4 RESTA高円寺3F
電話:03-6383-1963
電車でお越しの方:
JR線 高円寺 駅南口より 徒歩2分
