ビューティー・クリーニング
2025/07/24
こんにちは、高円寺PAL歯科医院の新井です。
「歯石を取ってほしい」という理由で来院された患者さんの中で、お話を聞くと、歯が黒くて見た目が気になる方がいます。
これは厳密には「着色」です。
着色除去は治療ではありませんので、保険適応外の処置になります。
また、濃い着色が広くついている方は、除去に時間もかかります。
患者さんのご希望や状況に応じて、保険適応外の「ビューティークリーニング」をご提案してます。
ビューティークリーニングでは、通常の歯石除去では使用しない機材などを使って、細かく着色除去やクリーニングを行います。
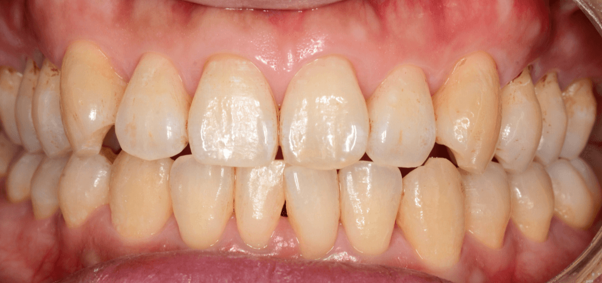
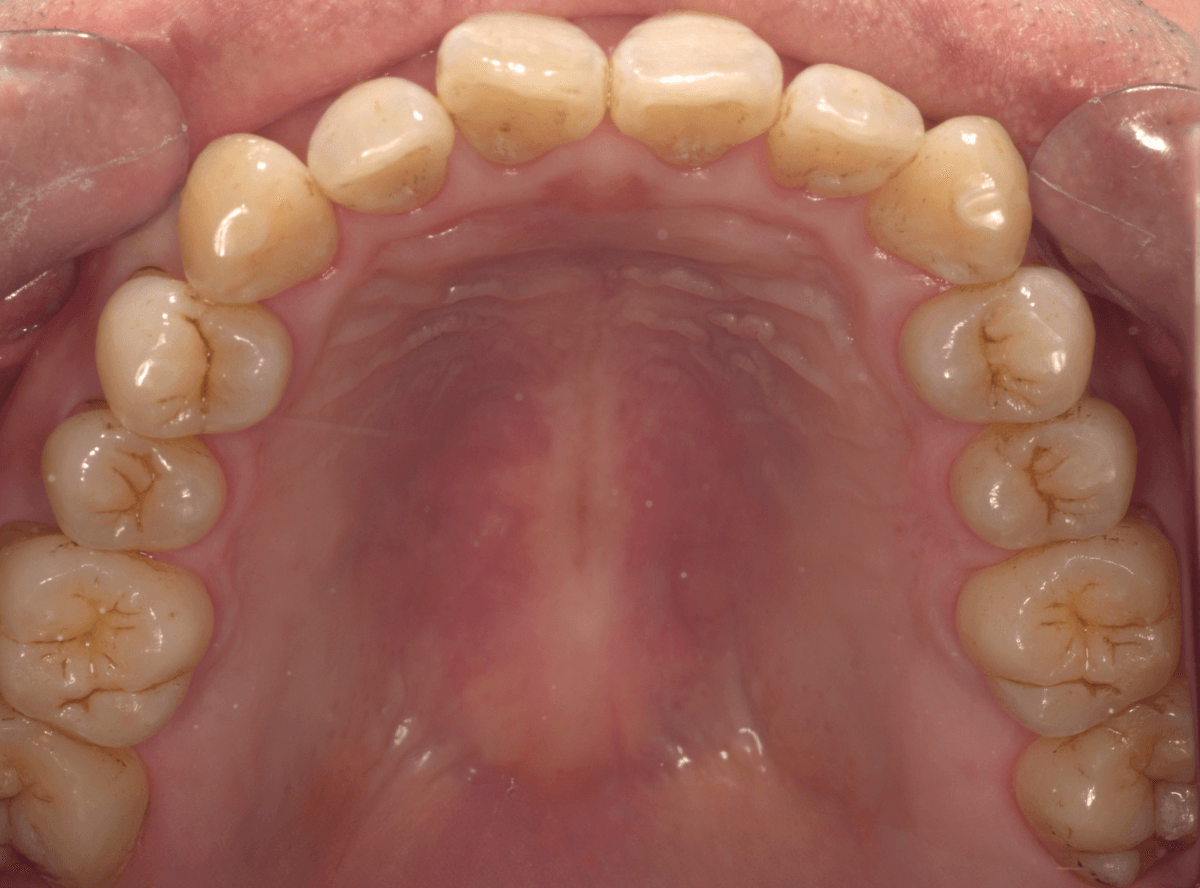
Case.2



検査と歯石除去を希望されて来院された患者さんです。
歯石と着色が歯の裏側まで広範囲についていましたので、まず、通常の歯周病処置である、歯石除去や歯ブラシ指導を行った後に、仕上げにビューティークリーングで仕上げを行いました。



ビューティークリーニング後の状況です。
通常の歯石除去時には落としきれない、歯の裏側の着色まで専用器具をつかって、時間をかけてしっかり除去します。

特に汚れの多かった下の前歯の裏側を比較すると、より変化がわかりやすいかと思います。
ビューティークリーニングは、主に着色除去を目的に行いますが、歯の表面をより滑沢にしますので、歯石の元になる、プラークが付着しにくくなるため、歯周病予防効果も期待できます♪
当院では、患者さんの状況に応じて、最善と思われる処置をご提案しています。
ここまでこのブログを読んでいただいた、歯の治療に関心の高いあなたのご来院、お待ちしています。
https://kp-dental.com/Reservation
今後ともよろしくお願いします。
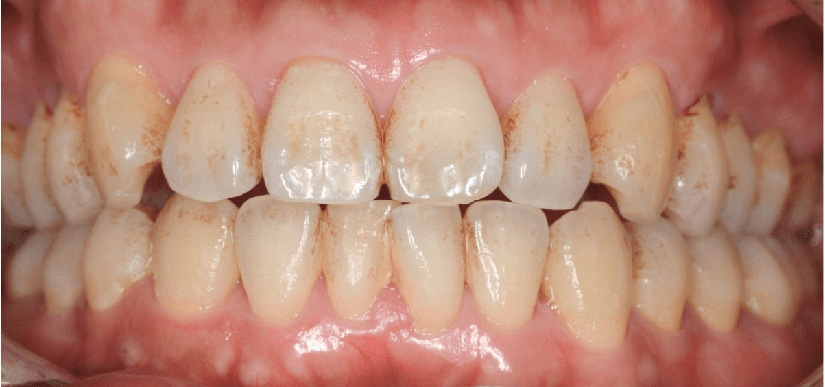
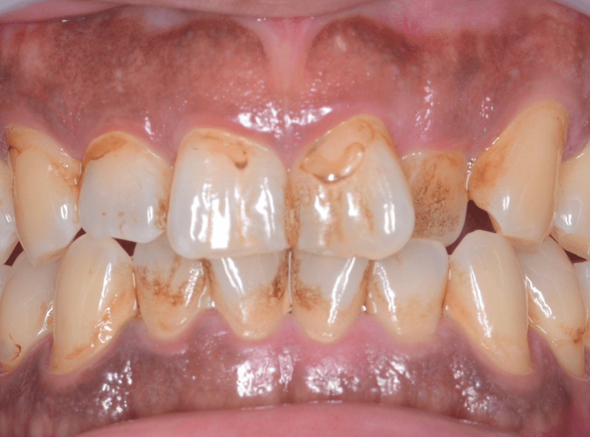
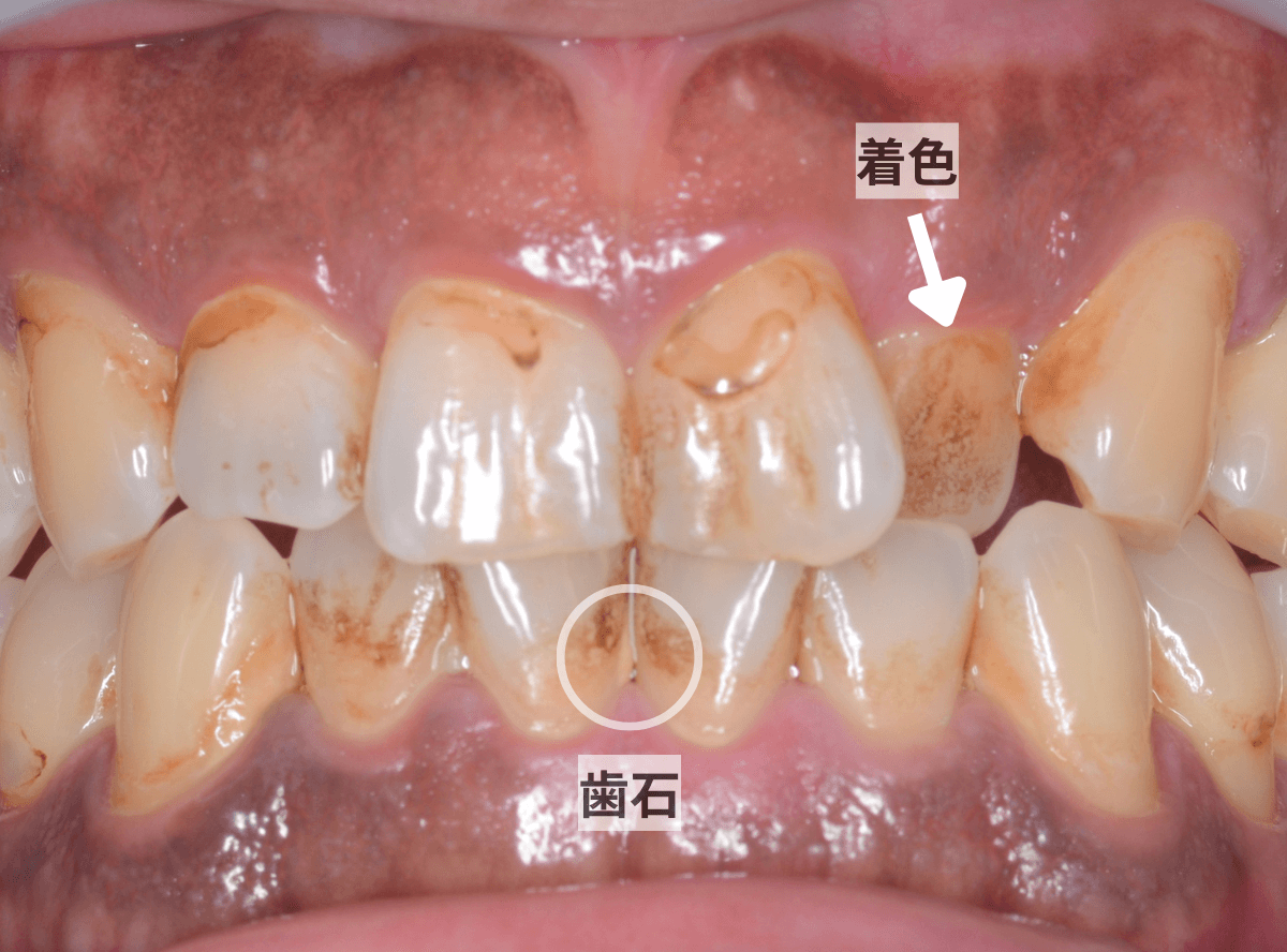
Case.1

こちらの患者さんも、「見た目を綺麗にしたい」というご希望で来院された患者さんです。

主な着色部位と歯石はこちらです。
着色は病気ではなく見た目だけの問題ですので、厳密に言いますと、保険診療で着色除去はできません。
「歯石除去を受けてさっぱりしたけど、見た目の黒いところは全部取ってくれなかったな~」という経験はありませんか?それは、こういう理由からです。

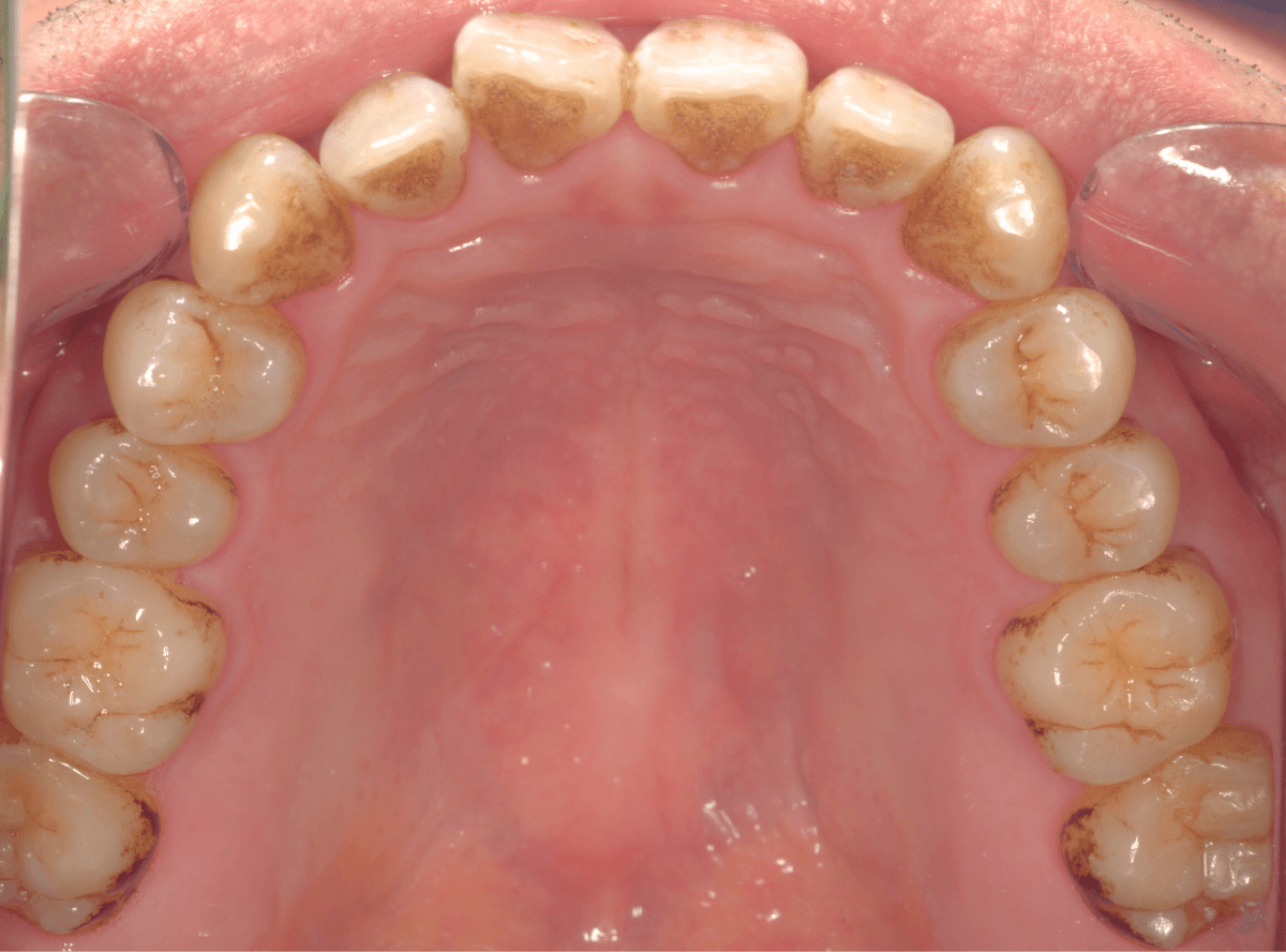
歯石を拡大した様子です。
こちらの方は、着色の割には歯石は少量が表面上にとどまっている状態でしたので、時間をお取りしてしっかり歯周辺をクリーニングする「ビューティー・クリーニング:60分 1万円」をご提案し、選択されました。

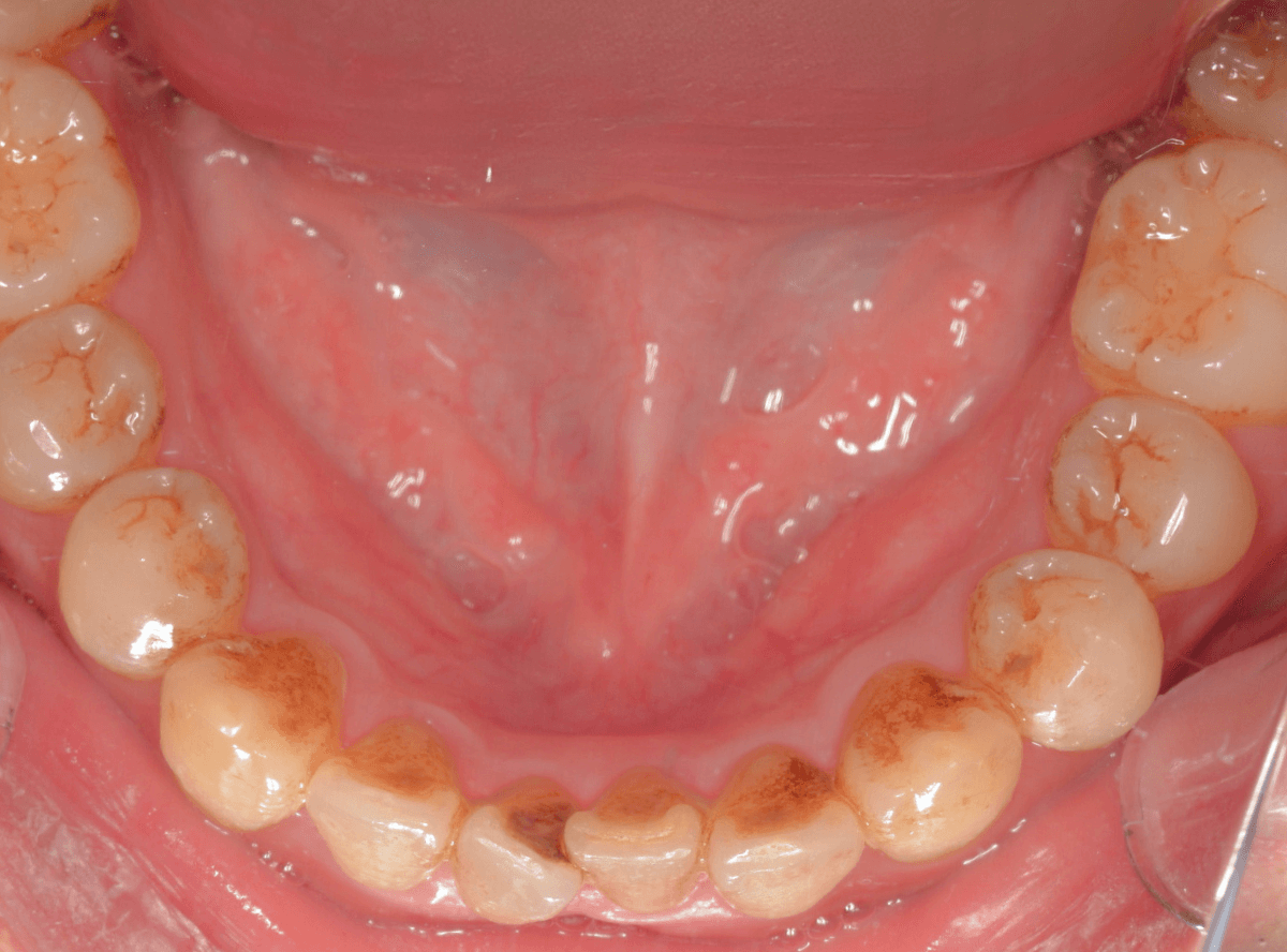
60分かけて、歯をクリーニング・仕上げにコーティングをしました。
着色をしっかり除去するのは意外と時間がかかります。お風呂の掃除をイメージしてもらうといいかもしれません。
着色が残っている部分は、歯ではなく虫歯の治療後につめるレジンが変色しているからです。
こちらを綺麗にする場合は、別途レジンのつめ直しが必要です。
後日の、やり直しの希望をされて帰られました。
ここまでこのブログを読んでいただいた、歯の治療に関心の高いあなたのご来院、お待ちしています。
https://kp-dental.com/Reservation
今後ともよろしくお願いします。
高円寺PAL歯科医院 :https://kp-dental.com/
〒166-0003 杉並区高円寺南4-25-4 RESTA高円寺3F
電話:03-6383-1963
電車でお越しの方:
JR線 高円寺 駅南口より 徒歩2分
