セラミック治療(クラウン・前歯)
2025/07/24
| ジルコニア・セラミックと保険のさし歯(硬質レジン前装冠)の比較 | ||
| ジルコニア・セラミック | 保険のさし歯(硬質レジン前装冠) | |
| 審美性(見た目) |
透明感・色調が自然 周囲の歯になじむ |
細かく色調を合わせる事が出来ない |
| 変色 | ほぼ変色しない | 細かく色調を合わせる事ができない |
| 強度 | 強度が非常に高く、割れにくい |
強度はそこそこ プラスチック部分が剥げる |
| 金属の使用 |
メタルフリー 金属アレルギーなし |
内部に金属を使用 アレルギーアリ |
| 歯肉との相性 | 良好 | 金属がすけたり、歯肉が黒ずむ事があり(ブラック・マージン) |
| 精度(適合性) | 精密な型取りと技工によりぴったりフィット |
保険範囲内の精度 隙間ができやすい場合もあり |
| 費用 | 自費治療(約100,000円程度~) | 保険適応(約10,000円程度~) |
| 使用できる部位 | 前歯~奥歯まで自由に選択可能 | 原則前歯のみ、保険適応。 |
実際の治療例
Case.4 <動画編>深い虫歯が進行したさし歯を、セラミックで何とか治療したケース
今回は、深い虫歯が進行してしまったさし歯をセラミックで治療し直したケースをご紹介します。
検査をすると、さし歯の周りの歯肉から出血が多いため、レントゲン写真で確認すると、さし歯の中で虫歯が進行していると診断されました。
神経を取っているさし歯の中の虫歯は、レントゲン写真でも正確にはわからず痛みもないため、さし歯をはずしてみないと、どれくらい進行しているかははっきりわかりません。 虫歯と診断されたさし歯の中は一体どうなっているのでしょうか?
ぜひ、ご覧ください。
Case.3「前歯がいつも欠けてしまう」というケース

今回は、前歯につめたレジンが、毎回、すぐに欠けてしまうので直してほしいと来院された患者さんのケースです。

お口を閉じてもらうと、下のがレジンをつめたを突き上げて当たってしまうようです。
これでは、すぐに外れてしまっても仕方ありません。
治療を変える必要がありそうです。

レントゲン写真上では、歯は問題なさそうでしたが、隣の歯に比べてやけに変色しているので「怪しい」と、歯の神経を調べてみると、神経が死んでいました。
下の歯が常に突き上げている刺激が原因で、死んでしまったのかもしれません。
また、歯の周りの歯石も多く、歯周病も進行気味でしたので、
- 歯の神経の治療
- 歯周病の治療
- さし歯(クラウン)の治療
- 下の歯を含めた嚙み合わせの調整
といった治療が必要で、最終修復まで期間がかかる事をご説明の上、同意されました。

まず、歯周病の治療と並行して、神経の治療を行います。

さし歯を被せるために、歯の土台をたてて、歯を削ります。

歯の高さが低く、このままさし歯を作っても、すぐに取れてしまう事が予想されます。

隣りの歯と比べても歯肉の際が浅いため、若干歯肉を切開して、歯の高さを稼ぎます。

歯肉を切開した部分に、仮歯のレジンを盛って確認します。
大体、隣の歯の高さと合わせる事が出来ました。

しばらく経過観察して、歯肉が落ち着いたところです。
さし歯を入れるのに心配ない程度の歯の高さが確保でき、さし歯を作るための準備が整いました。
今回は、審美性と、清掃性が高く、歯周病が進行しにくいという利点を考慮して、ジルコニア・セラミックでの治療を選択されました。


ジルコニア・セラミックset後の状態です。
仮歯で細かく調整したおかげで、下の歯のかみ合わせは若干の調整で済む事ができました。


set前との比較です。
たった一本の歯でも、時には治療に時間と回数を要する場合があります。
今回は、患者さんが治療に協力的で根気よく通院していただいたため、順調に治療を進める事が出来ました。
| 治療回数 | 6回 |
| 治療期間 | 約4か月 |
| 費用 |
ジルコニアセラミック |
(2024年6月現在)
ここまでこのブログを読んでいただいた、歯の治療に関心の高いあなたのご来院、お待ちしています。
https://kp-dental.com/Reservation
今後ともよろしくお願いします。
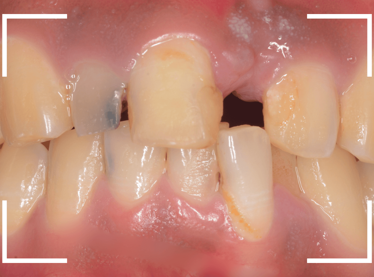
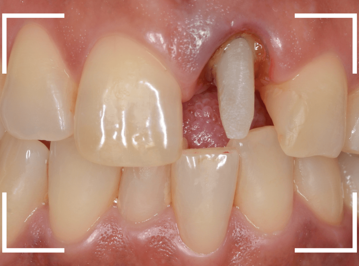
Case.2 前歯を抜歯後、放置してしまったケース

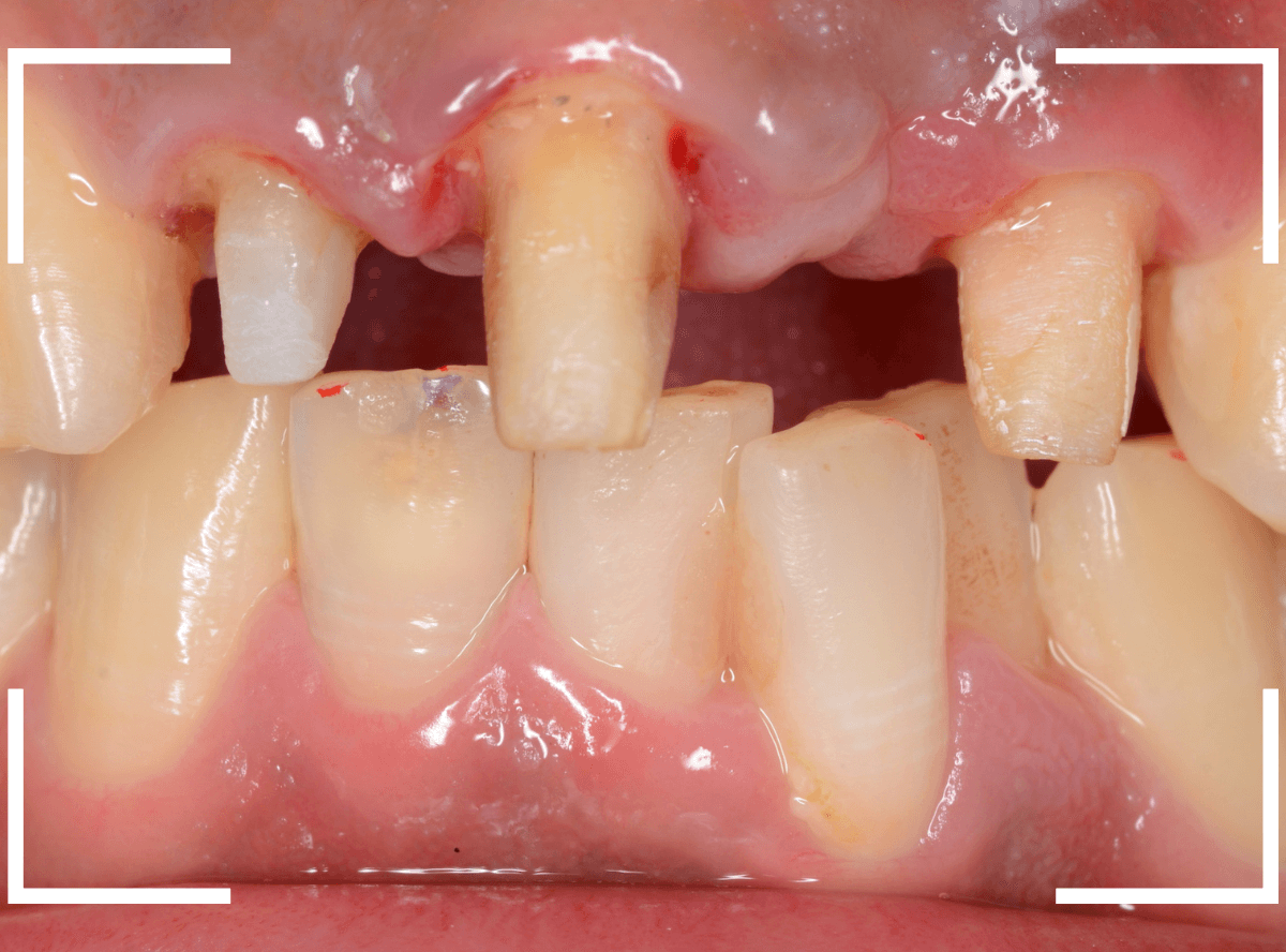
今回は、上の前歯を抜歯した後に放置してしまったので、そろそろ綺麗に作り直したいという患者さんです。
インプラント治療もご提案したのですが、セラミックのブリッジ治療をご希望されました。

ブリッジ治療をする隣の歯も神経処置をした後の虫歯になっていますので、4本同時に治療する事になりました。

まずは虫歯のある歯の治療とファイバーコアのsetを行い、支えとなる歯(支台歯)の形を整えます。

完成の前に、ジルコニアフレームにワックスを盛ったもので、患者さんと完成型のシュミレーションをします。


患者さんからも、ゴーサインをもらったのを確認して、完成させます。


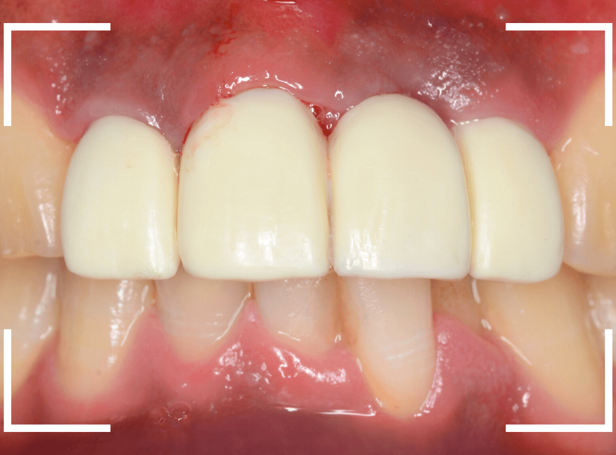
微調整をして、最終setしたところです。
患者さんにも満足していただけたようで、ホッとしました。
セラミックの舌触りにも驚かれていました。


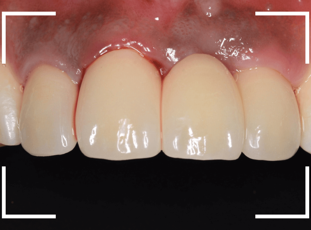
治療前後の比較です。
治療はさし歯を入れて終わりではありません、末永く使うために、定期メンテナンスにも忘れずに来ていただくよう、お話しました。
| 治療回数 | 6回 |
| 治療期間 | 約2ヶ月 |
| 費用 |
ジルコニア・セラミックx4 |
(2024年5月現在)
ここまでこのブログを読んでいただいた、歯の治療に関心の高いあなたのご来院、お待ちしています。
https://kp-dental.com/Reservation
今後ともよろしくお願いします。
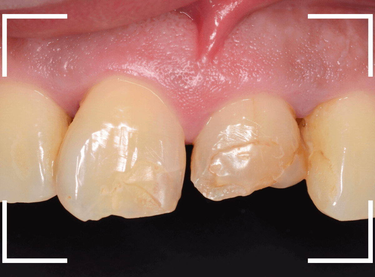
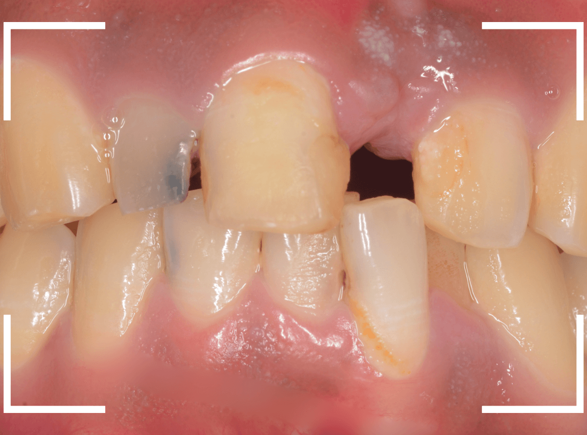
Case.1 下に下がってしまった上前歯のセラミックのやり替えの治療

今回は、上の前歯のセラミックの形が気になるので、大分時間も経っているので新規に作り直したいというご希望の患者さんのお話です。
たしかに、隣の歯に比べてかなり下に下がってしまっています。
治療した時の状況がわからないので、治療時からどれくらい下がったのかは正確にはわかりません(><)

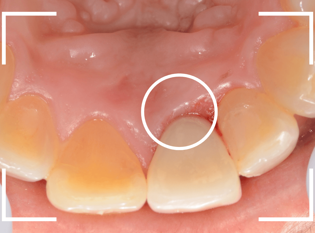
裏側を見ると少し歯肉が腫れています。
歯周病の治療と並行して、セラミックの作り直しをすることになりました。

さし歯の中には大きなメタル・コアが入っています。。。
さし歯の周りの歯肉が若干黒ずんでるのも、これが原因でしょう。
せっかくさし歯をやり直すのであれば、このメタル・コアもやりなおしたいところです。


かなり怖かったですが、患者さんにも頑張っていただいて、さし歯を除去後、時間をかけて慎重にメタルコアを除去しました。

無事にメタルコアを除去できましたので、ファイバーコアに置き換えます。

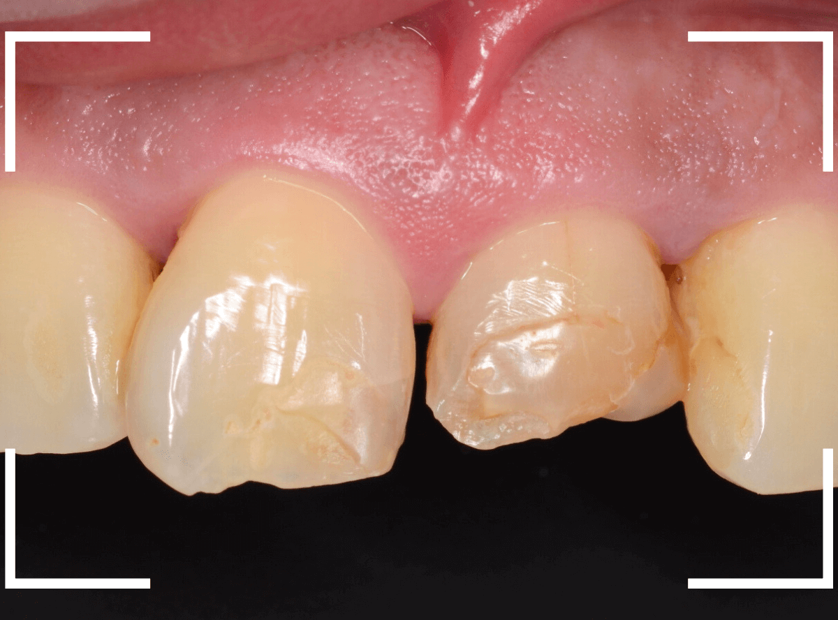
歯肉の治療がひと段落したところで、ジルコニア・セラミックで再製しました。


治療前と治療後の比較、前から見たところです。
患者さんにも満足いただけまして、ホッとしました。


裏側の歯肉も綺麗に治りました。
セラミックの表面はつるつるしていますので、歯周病の原因になるプラークがたまりづらく、治療後の経過も期待できます。
| 治療回数 | 4回 |
| 治療期間 | 約一か月 |
| 費用 | ジルコニア・セラミック (120,000円) +保険治療費用(歯周病治療など) |
(2024年5月)
ここまでこのブログを読んでいただいた、歯の治療に関心の高いあなたのご来院、お待ちしています。
https://kp-dental.com/Reservation
今後ともよろしくお願いします。
高円寺PAL歯科医院 :https://kp-dental.com/
〒166-0003 杉並区高円寺南4-25-4 RESTA高円寺3F
電話:03-6383-1963
電車でお越しの方:
JR線 高円寺 駅南口より 徒歩2分
